Острый миелоидный лейкоз
Острый миелоидный лейкоз (также ОМЛ, острый нелимфобластный лейкоз, острый миелогенный лейкоз) — это злокачественная опухоль миелоидного ростка крови, при которой быстро размножаются изменённые белые кровяные клетки. Накапливаясь в костном мозге, они подавляют рост нормальных клеток крови, что приводит к снижению количества эритроцитов, тромбоцитов, и нормальных лейкоцитов. Болезнь проявляется быстрой утомляемостью, одышкой, частыми мелкими повреждениями кожи, повышенной кровоточивостью, частыми инфекционными поражениями. До сих пор явная причина заболевания неизвестна, однако некоторые факторы риска его возникновения выявлены. ОМЛ является острым заболеванием, развивается быстро и без лечения приводит к смерти больного за несколько месяцев, иногда — недель.
Это самый распространённый вид острого лейкоза у взрослых, заболеваемость им с возрастом увеличивается. Хотя острый миелоидный лейкоз заболевание относительно редкое — на его долю приходится лишь 1,2 % смертельных случаев злокачественных опухолей в США[3], — ожидается его учащение вместе со старением населения.
Встречаются несколько разновидностей ОМЛ, лечение и прогноз для них оказывается разным. Уровень выживаемости на протяжении пяти лет колеблется между 15 и 70 %, а частота ремиссии — от 78 до 33 % в зависимости от подвида заболевания. В начале ОМЛ лечат химиопрепаратами для того, чтобы добиться ремиссии; затем может проводиться поддерживающее химиолечение, или проводится пересадка кроветворных стволовых клеток.
Что важно знать
Классификация
Самые часто используемые схемы классификации ОМЛ — это давняя франко-американо-британская (ФАБ) система и более современная система Всемирной организации здравоохранения (ВОЗ).
Система классификации острого миелоидного лейкоза ВОЗ разработана с учётом системы ФАБ и имеет целью более эффективное клиническое применение и учитывает наиболее прогностически значимые признаки заболевания. Каждый из видов (категорий) ОМЛ по классификации ВОЗ включает в себя несколько подвидов (подкатегорий) описательного характера, представляющих интерес для гематологов и онкологов; однако, бо́льшая часть клинически важной информации в классификации ВОЗ взаимосвязана через распределение по перечисленным ниже подвидам.
Подвиды острого миелоидного лейкоза по классификации ВОЗ:[4]
| Название подвида | Описание | МКБ-О |
|---|---|---|
| ОМЛ с характерными генетическими изменениями | Включает:
|
Несколько |
| ОМЛ с изменениями, связанными с миелодисплазией | Этот подвид включает больных с предшествующим миелодиспластическим синдромом (МДС) или миелопролиферативной болезнью (МПБ) или с характерными для него цитогенетическими изменениями. Этот подвид ОМЛ чаще встречается у пожилых людей и отличается неблагоприятным прогнозом.
Включает в себя ОМЛ со следующими изменениями:
|
M9895/3 |
| ОМЛ и МДС, связанные с предыдущим лечением | Этот подвид ОМЛ включает больных, получавших химиотерапию и/или лучевое лечение, после которых возник ОМЛ или МДС. При этих лейкозах могут быть характерные изменения в хромосомах, прогноз при них часто бывает хуже. | M9920/3 |
| Миелоидная саркома | Этот подвид включает больных с миелоидной саркомой | |
| Миелопролиферативные заболевания, связанные с Синдромом Дауна | Этот подвид включает больных как с кратковременными (преходящими) миелопролиферативными состояниями на фоне синдрома Дауна, так и с ОМЛ на фоне синдрома Дауна | |
| Бластная плазмацитоидная дендритноклеточная опухоль | Этот подвид включает больных с бластными дендритноклеточными опухолями | |
| ОМЛ, не подпадающие под признаки перечисленных подвидов | Включает подвиды ОМЛ, не входящие в перечисленные выше, в том числе:
|
M9861/3 |
Бывают такие подвиды острого лейкоза, при которых изменённые лейкоциты невозможно определить как лимфоциты или гранулоциты, или когда присутствуют злокачественно изменённые клетки обоих ростков. Такие лейкозы иногда называют бифенотипными острыми лейкозами.
Франко-американско-британская классификационная (ФАБ) система разделяет ОМЛ на 9 подвидов, от М0 по M8, основываясь на типах клеток — предшественниц лейкоцитов, и на степени зрелости изменённых клеток. Определение злокачественных клеток проводят на основании внешних признаков при световой микроскопии и/или цитогенетически, выявляя лежащие в основе отклонений изменения в хромосомах. У разных подвидов ОМЛ разные прогноз и ответ на лечение. Несмотря на преимущества классификации ВОЗ, система ФАБ до сих пор широко применяется. По ФАБ существует девять подтипов ОМЛ.
| Подвид | Название | Цитогенетические изменения |
|---|---|---|
| M0 | минимально-дифференцированный острый миелобластный лейкоз | |
| M1 | острый миелобластный лейкоз без созревания | |
| M2 | острый миелобластный лейкоз с созреванием | t(8;21)(q22;q22), t(6;9) |
| M3 | острый промиелоцитарный лейкоз (ОПЛ) | t(15;17) |
| M4 | острый миеломоноцитарный лейкоз | inv(16)(p13q22), del(16q) |
| M4eo | острый миеломоноцитарный лейкоз с эозинофилией костного мозга | inv(16), t(16;16) |
| M5 | острый монобластный лейкоз (M5a) или острый моноцитарный лейкоз (M5b) | del (11q), t(9;11), t(11;19) |
| M6 | острые эритроидные лейкозы, включая острый эритролейкоз (M6a), очень редкий острый чистый эритроидный лейкоз (M6b) и острый смешанный эритролейкоз и чистый эритроидный лейкоз (M6c) | |
| M7 | острый мегакариобластный лейкоз | t(1;22) |
| M8 | острый базофильный лейкоз |
Морфологические подтипы ОМЛ включают многие исключительно редкие подтипы не включённые в классификацию ФАБ. Все они, за исключением острого миелоидного дендритноклеточного лейкоза включены в классификацию ВОЗ. В списке ниже перечислены эти подтипы.
Проявления острого миелолейкоза
Бо́льшая часть симптомов ОМЛ вызывается замещением нормальных клеток крови лейкозными клетками. Недостаточное образование лейкоцитов обусловливает высокую восприимчивость больного к инфекциям — несмотря на то, что лейкемические клетки происходят от предшественников лейкоцитов, способность противостоять инфектам у них отсутствует.[5] Снижение количества красных кровяных телец (анемия) может вызывать усталость, бледность, и одышку. Недостаток тромбоцитов может привести к лёгкой повреждаемости кожи и повышенной кровоточивости.
Ранние признаки ОМЛ часто неопределённы и неспецифичны, и могут походить на признаки гриппа или других распространённых болезней. Вот некоторые общие симптомы ОМЛ: лихорадка, усталость, потеря веса или снижение аппетита, одышка, анемия, повышенная повреждаемость кожи и слизистых оболочек и кровоточивость, петехии (плоские, размером с булавочную головку пятнышки внутри кожи на месте кровоизлияний), гематомы, боль в костях и суставах, и стойкие или частые инфекции.[5]
При ОМЛ может быть увеличение селезёнки но обычно оно незначительно и бессимптомно. Увеличение лимфоузлов при ОМЛ случается нечасто, в отличие от острого лимфобластного лейкоза. В 10 % случаев развиваются изменения кожи в виде кожного лейкоза. Изредка при ОМЛ возникает Синдром Свита, он же паранеопластический синдром — воспаление кожи вокруг поражённых хлоромой участков.[5]
У некоторых больных ОМЛ появляется припухлость дёсен из-за инфильтрации тканей лейкозными клетками. Изредка первым признаком лейкоза оказывается хлорома — плотная лейкемическая масса за пределами костного мозга. Иногда заболевание протекает бессимптомно, и лейкоз выявляется общим анализом крови в ходе профилактического осмотра.[6]
Причины
Был выявлен ряд факторов, способствующих возникновению ОМЛ — иные расстройства системы кроветворения, воздействие вредных веществ, ионизирующее излучение, и генетическое влияние.
"Пре-лейкозные нарушения кроветворения, такие, как миелодиспластический синдром или миелопролиферативный синдром могут привести к ОМЛ; вероятность заболевания зависит от формы миелодиспластического или миелопролиферативного синдрома.[7]
Противоопухолевое химиотерапевтическое воздействие, особенно алкилирующими веществами, может увеличивать вероятность возникновения ОМЛ в последующем. Наивысшая вероятность заболевания приходится на 3—5 лет после химиотерапии.[8] Другие химиотерапевтические препараты особенно эпиподофилотоксины и антрациклины, также связываются с постхимиотерапевтическими лейкозами. лейкозы такого вида часто объясняют специфическими изменениями в хромосомах лейкозных клеток.[9]
Воздействие бензола и других ароматических органических растворителей, связанное с профессиональной деятельностью, в качестве возможной причины ОМЛ остаётся спорным. Бензол и многие его производные проявляют канцерогенные свойства in vitro. Данные некоторых наблюдений подтверждают возможность влияния профессиональных контактов с этими веществами на вероятность развития ОМЛ, однако другие исследования подтверждают, что если и существует такая опасность, то она является лишь добавочным фактором.[10][11]
Воздействие ионизирующего излучения повышает вероятность заболеваня ОМЛ. У переживших атомную бомбардировку Хиросимы и Нагасаки заболеваемость ОМЛ повышена,[12] так же как у рентгенологов, получивших высокие дозы рентгеновского излучения в то время, когда меры радиологической защиты были недостаточными.[13]
Вероятно, существует наследственно повышенная вероятность заболевания ОМЛ. Есть большое количество сообщений о множестве семейных случаев ОМЛ, когда заболеваемость превышала среднестатистическую.[14][15][16][17] Вероятность возникновения ОМЛ у ближайших родственников больного втрое выше.[18]
Ряд врождённых состояний может повышать вероятность ОМЛ. Чаще всего это синдром Дауна, при котором вероятность ОМЛ повышена в 10 — 18 раз.[19]
Дефицит GATA2 повышает риск развития ОМЛ[20]
Диагностика
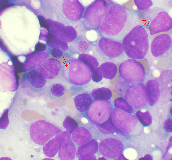
Изменения соотношения клеточных элементов в общем анализе крови — первое, что наводит на мысль о возможности ОМЛ. Наиболее частым оказывается лейкоцитоз- повышение общего количества лейкоцитов, иногда с появлением бластных (незрелых) форм, но бывает так, что ОМЛ проявляется изолированным снижением тромбоцитов, эритроцитов, а количество лейкоцитов может оказаться даже сниженным (лейкопения).[21] Предварительный диагноз ОМЛ может быть определён в случае выявления в мазках периферической крови бластных форм лейкоцитов, но для окончательного диагноза должны быть выявлены соответствующие изменения в анализе аспирационного биоптата костного мозга.
Костный мозг и кровь исследуют световым микроскопированием и поточной цитометрией для установления диагноза и дифференцирования ОМЛ от других лейкозов, например, от острого лимфобластного лейкоза, а также для уточнения подтипа ОМЛ. Образец крови или костного мозга обычно проверяют на присутствие хромосомных транслокаций обычными цитогененитческими способами, или способом флуоресцентной гибридизации in situ. Генетические исследования проводят и для выявления характерных мутаций, которые могут влиять на исход заболевания — например, в FLT3, в нуклеоплазмине, или в KIT.[22]
Цитохимические красители для мазков крови и костного мозга оказываются очень полезными для дифференциальной диагностики ОМЛ и ОЛЛ, а также для выделения подтипов ОМЛ. Сочетание миелопероксидазы или красителя Суданский чёрный и неспецифического эстеразного красителя обеспечивает получение нужной информации в большинстве случаев. Реакции миелопероксидазы или Суданского чёрного оказываются самыми полезными для установления диагноза ОМЛ и его дифференцирования от ОЛЛ. Неспецифический краситель эстеразы используется для моноцитарной составляющей острых миелолейкозов и для дифференцирования от незрелой формы монобластного лейкоза от ОЛЛ.[4]
Диагноз и классификация ОМЛ может оказаться непростой задачей, этим должен заниматься квалифицированный гематопатолог или гематолог. В явных случаях наличие некоторых характерный морфологических признаков, таких, как тельца Ауэра, или специфические для АМЛ результаты поточной цитометрии дают возможность надёжно отделять ОМЛ от других лейкозов; однако при отсутствии такх явных признаков диагностика существенно осложняется.[23]
В соответствии с широко используемыми критериями классификации ВОЗ диагноз ОМЛ устанавливается в том случае, если доказано если в крови и/или костном мозге более 20 % клеток представлены миелобластами.[24] ОМЛ следует тщательно дифференцировать от так называемых прелейкозных состояний, в частности, от миелодиспластического синдрома или миелопролиферативного синдрома, которые лечатся по-разному.
Поскольку острый промиелоцитарный лейкоз (ОПЛ), требуя уникального способа лечения очень хорошо ему поддаётся, очень важно быстро подтвердить или отвергнуть этот подвид лейкоза. Для этого часто используют флюоресцентную гибридизацию in situ, выполненную на крови или костном мозге, поскольку ею легко выявляется хромосомная транслокация (t[15;17]) специфичная для ОПЛ.[25]
Патофизиология
Злокачественными клетками при ОМЛ выступают миелобласты. В нормальном гемопоэзе миелобласты являются незрелыми предшественниками лейкоцитов миелоидного ряда;нормальные миелобласты постепенно созревают, превращаясь в нормальные лейкоциты. Однако при ОМЛ в каком — то из миелобластов накапливаются генетические изменения, которые «замораживают» клетку в незрелом состоянии, останавливая процесс клеточной дифференциации. [26] Сама по себе такая мутация не вызывает лейкоз, но когда «остановка дифференциации» сочетается с другими мутациями, которые приводят к утрате генетического контроля над ростом клеток, результатом оказывается неуправляемое размножение незрелого клеточного клона, определяющего клиническую сущность ОМЛ.[27]
Большое разнообразие и генетическая неоднородность ОМЛ происходит от того, что лейкозная трансформация может возникнуть на множестве этапов дифференциации клетки.[28] Современные схемы классификации ОМЛ признают факт зависимости свойств и поведения лейкозных клеток, а также течения лейкоза от того, на каком этапе остановилась дифференциация.
Специфические цитогенетическиеотклонения обнаруживаются у многих больных ОМЛ. Виды изменений хромосом часто прогностически значимы.[29] Хромосомные транслокации кодируют синтез гибридных белков, чаще всего, факторов транскрипции — вспомогательных белков — помощников РНК-полимераз, изменённые свойства которых могут привести к останову дифференциации.[30] Например, при остром промиелоцитарном лейкозе транслокация t(15; 17) вызывает синтез гибридного протеина PML-RARα, который связывается с рецептором ретиноевой кислоты в промоторах некоторых специфических для миелоидных клеток генов и останавливает в этих клетках дифференциацию.[31]
Клинические проявления и симптомы ОМЛ возникают потому что, умножаясь, клетки лейкозного клона мешают деятельности нормальных клеток и стремятся вытеснить их из костного мозга.[32] Это приводит к нейтропении, анемии, и тромбоцитопении. Чаще всего симптомы ОМЛ определяются недостаточностью нормальных клеток крови. В редких случаях у больных развиваются хлоромы — плотные опухоли из лейкозных клеток за прелами костного мозга, которые могут вызывать различные симптомы в зависимости от локализации хлоромы.[5]
Лечение
Лечение ОМЛ состоит в основном из химиотерапии, и делится на два этапа: индукция и постремиссионное лечение (или консолидация). Цель индукционной терапии является достижение полной ремиссии за счёт уменьшения количества лейкозных клеток до не обнаруживаемого уровня; цель консолидирующей терапии заключается в ликвидации остаточных, не обнаруживаемых современными методами остатками болезни и излечение.[33]
Для всех подтипов ОМЛ за исключением M3 по классификации ФАБ, обычно используют индукционную химиотерапию цитарабином и антрациклиновым антибиотиком (например, даунорубицином или идарубицином).[34] Этот способ индукционной химиотерапии известен под названием «7+3». Название происходит от того, что в этом режиме предусматриваются 7 дней непрерывного инфузионного вливания цитарабина, при этом в первые три дня одновременно болюсно вводится антрациклиновый антибиотик. При таком способе лечения ремиссия наступает почти у 70 % больных ОМЛ.[35] Могут применяться и другие способы индукционного лечения, включая режимы FLAG, DAT, ADE и подобные, или монотерапию высокими дозами цитарабина, или лечение препаратами, находящимися на стадии исследования.[36][37] Вследствие токсического воздействия лечения, в том числе подавления миелоидного ростка и повышения вероятности инфекционных осложнений очень старым больным индукционная химиотерапия не предлагается, и назначается менее интенсивное паллиативное лечение химиопрепаратами. Подвид ОМЛ M3, также известный под названием острый промиелоцитарный лейкоз, почти во всех случаях лечится препаратом ПТРК (полностью транс- ретиноевая кислота) в дополнение к индукционной терапии.[38][39][40] При лечении острого промиелоцитарного лейкоза нужно учитывать возможность развития синдрома диссеминированного внутрисосудистого свёртывания вследствие поступления содержимого гранул промиелоцитов в периферическую кровь. Лечение острого промиелоцитарного лейкоза исключительно эффективно, это достоверно доказано множеством документированных случаев лечения.
3 августа 2017 года Управление по санитарному надзору за качеством пищевых продуктов и медикаментов США(FDA) одобрило к применению VYXEOS (Jazz Pharmaceuticals, Inc) для лечения взрослых с недавно диагностированными двумя подвидами ОМЛ (t- AML и AML-MRC). VYXEOS представляет собой липосомальную комбинацию цитарабина и даунорубицина и показало себя намного эффективнее при лечении этих двух подтипов, чем применение стандартной 7+3 комбинации. Лекарство продемонстрировало среднюю общую выживаемость 9,6 месяцев по сравнению с 5,9 месяцами при комбинации 7+3[41]
В 2018 году FDA одобрила применение гласдегиба в комбинации с низкодозным цитарабином для лечения пациентов в возрасте старше 75 лет, которым невозможно провести интенсивную химиотерапию. Одобрение препарат получил с условием размещения в инструкции предупреждения о высоком риске токсичности для плода.[42]
Целью индукционного этапа лечения является достижение полной ремиссии. Полная ремиссия не означает, что заболевание полностью вылечено. Скорее, состояние полной ремиссии говорит о невозможности обнаружить спящую болезнь существующими способами диагностики.[34] Полная ремиссия достигается у 50-70 % взрослых больных с впервые выявленным ОМЛ, разница зависит от прогностических факторов, о которых сказано выше.[43] Длительность ремиссии зависит от прогностических качеств исходного лейкоза. В основном, все случаи ремиссии без дополнительного, консолидирующего лечения закачиваются рецидивом.[44]
Даже после достижения полной ремиссии вероятно, немногие лейкозные клетки всё же выживают. Их так мало, что обнаружить их пока невозможно. В случае не проведения послеремиссионного, или консолидационного лечения почти у всех больных в конце — концов возникает рецидив.[45] Поэтому для того, чтобы избавиться от неопределимых больных клеток и предотвратить рецидив — то есть, достичь полного излечения, нужна дополнительная терапия. Вид лечения после достижения ремиссии определяется индивидуально в зависимости от прогностических факторов и общего состояния здоровья больного. При прогностически благоприятных подвидах лейкозов (например, при inv(16), t(8;21) и t(15;17) обычно назначают 3-5 дополнительных курса интенсивной химиотерапии, известной как консолидационное лечение. Больным с высоким риском рецидива (например, при наличии цитогенетических изменений, сопутствующего миелодиспластического синдрома, или при ОМЛ, связанном с предшествующим лечением обычно рекомендуется транплантация аллогенных стволовых клеток гемопоэтического ряда, если позволяет общее состояние и есть подходящий донор.[46][47] При ОМЛ со средней вероятностью рецидива (при нормальных цитогенетических показателях или с такими цитогенетическими изменениями, которые не попадают в группы риска)вопрос консолидационного лечения не столь ясен и определяется рядом специфических показателей — возрастом больного, общим состоянием его здоровья, системой ценностей, и наконец, наличием донора подходящих стволовых клеток.[47]
Тем больным, которым пересадка стволовых клеток после консолидационного лечения не показана, проводят иммунотерапию комбинацией гистамина гидрохлорида (цеплена) и пролейкина. Такое лечение позволяет снизить вероятность рецидива на 14 %, удлиняя ремиссию на 50 %.[48]
Таким образом, стандартной терапией ОМЛ признаны высокоинтенсивная химиотерапия (ВХТ) и трансплантация костного мозга.[49]
Однако результаты лечения, несмотря на относительно высокие ответы у молодых, остаются неудовлетворительными у лиц старше 65 лет (30-50 %) связанные с ранней летальностью (10 %) и непродолжительностью ремиссии. Больше половины с ОМЛ — это больные старшего возраста и/или со значимой сопутствующей патологией, которые, как правило, не могут получать высокотоксичные схемы химиотерапии, поэтому для их терапии применяют низкие дозы цитарабина цитарабина и поддерживающее лечение: антибиотики и гемотрансфузии.
С 2010 года в США для лечения ОМЛ рекомендовано применять гипометилирующие агенты (5-азацитидин, децитабин) у пациентов, которые не подходят для трансплантации костногомозговых клеток/интенсивной химиотерапии.[50] В процессе метилирования ДНК гипометилирующие агенты ковалентно связываются с ДНК-метилтрансферазой, что приводит к реактивации генов, после чего восстанавливается дифференцировка гемопоэтических клеток-предшественников и нормальное кроветворение. 5-азацитидин обладает двойным механизмом действия. Он встраивается не только в молекулу ДНК, но и в молекулу РНК. Тем самым 5-азацитидин понижает количество РНК в клетках, что приводит к цитостатическому эффекту вне зависимости от клеточной фазы.
На основании результатов исследования 3 фазы AZA-001 — международное, мультицентровое, контролируемое исследование в параллельных группах, в котором пациенты МДС высокого риска/ОМЛ (ВОЗ критерии) сравнивались со стандартно используемой терапией (сопроводительная терапия, интенсивная химиотерапия, низкие дозы цитарабина), азацитидин был зарегистрирован, в том числе и в РФ, для лечения этих групп больных. Было показано, что азацитидин в 2,5 раза увеличивает общую выживаемость пациентов с ОМЛ (критерии ВОЗ).[51]
При рецидиве ОМЛ единственным испытанным способом лечения, который может оказаться действенным, оказывается пересадка стволовых клеток при условии, если она ещё не применялась.[52][53][54]
При рецидиве ОМЛ больным, которым не планируется пересадка стволовых гемопоэтических клеток, или в случае рецидива после пересадки стволовых клеток можно предложить лечение в рамках клинического испытания, поскольку выбор среди обычных способов лечения весьма ограничен. В настоящее время проходит клинические испытания цитостатическое вещество клофарабин, также испытываются различные способы прицельной терапии с использованием ингибиторов фарнезилтрансферазы, децитабина и ингибиторов белка множественной лекарственной устойчивости, ингибиторы гистондеацетилазы цитарабина, блокаторы ангиогенеза, аналоги дезоксиаденозина. Иногда ограниченное количество методов терапии рецидивов ОМЛ вынуждает обращаться к паллиативному лечению.
После клинических испытаний триоксида мышьяка Управление по контролю за качеством пищевых продуктов и лекарственных препаратовСША одобрило его применение в качестве паллиативного средства лечения рецидивирующего острого промиелоцитарного лейкоза (ОПЛ). Также как и ПТРК триоксид мышьяка неэффективен при других подвидах ОМЛ.[55]
В 2000 году в США для лечения рецидивов ОМЛ у больных старше 60-ти лет, которых нельзя лечить высокими дозами химиопрепаратов, было разрешено применять гемтузумаб озогамицин (Милотарг), препарат, в котором, как предполагалось, цитотоксическое вещество — противоопухолевый антибиотик калихимицин — связан с моноклональным антителом, обеспечивающим доставку антибиотика точно в лейкозную клетку.[56]
20 июля 2018 года Управление по санитарному надзору за качеством пищевых продуктов и медикаментов США(FDA) зарегистрировала первый ингибитор гена IDH1 ивосидениб, предназначенный для лечения пациентов с рецидивом ОМЛ и обладающих мутацией онкогена IDH1. Терапия с применением ivosidenib позволяет пациентам достичь полной ремиссии ОМЛ, а также снизить потребность в трансфузиях эритроцитов и тромбоцитов. В исследовании препарата ивосидениб участвовали 125 взрослых пациентов. КИ показали полный положительный ответ на лечение у 30,4 % испытуемых (также ответ с частичным гематологическим восстановлением 8,8 % пациентов, у которых количество лейкозных клеток находилось на умеренно низком уровне). Препарат стал первым лекарственным средством для лечения острого миелоидного лейкоза, одобренный в США. Регистрационное свидетельство на препарат было выдано компании Agios Pharmaceuticals.[57][58]
В 2022 г. был одобрен олутасидениб.
Прогноз
Острый миелоидный лейкоз — излечимое заболевание. Вероятность выздоровления каждого пациента разная, поскольку определяется множеством прогностических факторов.[59]
Самым значимым для ОМЛ прогностическим фактором оказывается фактор цитогенетический, то есть «конструкция» хромосом лейкозных клеток. Некоторые цитогенетические отклонения связаны с весьма благоприятными исходами (например, транслокация 15;17 при остром промиелоцитарном лейкозе. Примерно у половины больных ОМЛ цитогенетическое состояние выглядит нормальным, таких пациентов относят к группе со средним вероятностью рецидива. Ряд цитогенетических изменений связан с неблагоприятным прогнозом и высокой вероятностью рецидива после лечения.[60][61][62]
Первая публикация, рассматривающая связь цитогенетических изменений с прогнозом появилась в отчёте Совета медицинских исследований в 1998 году.[63]
| Исход | Отклонения | 5-летнее выживание | Частота рецидивов |
|---|---|---|---|
| Благоприятный | t(8;21), t(15;17), inv(16) | 70 % | 33 % |
| Удовлетворительный | Не выявлено, +8, +21, +22, del(7q), del(9q), Нарушения 11q23, все остальные структурные или численные изменения | 48 % | 50 % |
| Неблагоприятный | −5, −7, del(5q), Нарушения 3q, Комбинированные цитогенетические нарушения | 15 % | 78 % |
Позже Юго-западная онкологическая группа и Восточная кооперативная онкологическая группа,[64] а затем и Группа Б по исследованию рака и лейкозов опубликовали другие, в основном совпадающие перечни прогностических цитогенетических изменений при лейкозах.[65]
У ОМЛ, развивающегося на фоне миелодиспластического синдрома или миелопролиферативного синдрома (так называемый вторичный ОМЛ) прогноз хуже, чем у ОМЛ, связанного с предшествующим лечением, который возникает после химиотерапии другого предшествующего злокачественного заболевания. Оба эти состояния связаны с высокой частотой неблагоприятных цитогенетических изменений.[66][67][68]
Некоторые исследования связывают возраст после 60 лет и повышенный уровень лактатдегидрогеназы с повышенной вероятностью неблагоприятного исхода.[69] Как и при большинстве других злокачественных заболеваний общий соматический статус (то есть общее физическое состояние больного и его жизненная активность) тоже имеют большое прогностическое значение.
Доказано, что внутреннее тандемное удвоение FLT3-тирозинкиназы ухудшает прогноз ОМЛ.[70] Более агрессивное лечение таких больных, в частности, пересадкой стволовых клеток в первой ремиссии не увеличивало длительность выживания, поэтому в качестве благоприятного прогностического признака удвоение FLT3-тирозинкиназы определённого клинического значения не имеет.[71] Внутреннее тандемное удвоение FLT3-тирозинкиназы может быть связано с лейкостазом.[72]
Сейчас широко распространены исследования клинического значения мутаций гена CD117, ответственного за синтез рецептора фактора роста стволовых клеток c-KIT при ОМЛ. Важность этих исследований определяется появлением в клинической практике ингибиторов тирозинкиназы, таких, как иматиниб и сунитиниб, обладающих способностью останавливать действие рецептора c-KIT.[73]
Кроме этого, в качестве прогностических факторов и объектов лечебного воздействия изучаются гены CEBPA, BAALC, ERG и NPM1.
Эффективность лечения в клинических испытаниях колеблется от 20 до 45 %.[74][75] Однако в клинических испытаниях участвуют молодые больные, и также те, кто в состоянии перенести агрессивные методы лечения. Эффективность лечения для всех больных, включая престарелых и тех, кому агрессивное лечение противопоказано, скорее всего, ниже. В случае острого промиелоцитарного лейкоза эффективность лечения может достигать 98-ми%.[76]
Эпидемиология
Острый миелоидный лейкоз относительно редко встречающаеся злокачественное заболевание. Так, в США ежегодно выявляется 10 500 свежих случаев ОМЛ, а заболеваемость сохраняется неизменной с 1995 по 2005 г. Смертность от ОМЛ составляет 1,2 % всей онкологической смертности в США.[3]
Уровень заболеваемости ОМЛ увеличивается с возрастом, средний возраст выявления заболевания составляет 63 года. На ОМЛ приходится около 90 % всех острых лейкозов у взрослых, но у детей он встречается редко.[3]
Заболеваемость ОМЛ, связанным с предшествующим лечением (то-есть, ОМЛ, вызванным предшествующей химиотерапией) возрастает. В настоящее время такие формы достигают 10-20 % от всех случаев ОМЛ.[77] ОМЛ несколько чаще встречается у мужчин, заболеваемость соотносится как 1,3 к 1.[78]
Существуют некоторые географические отличия в заболеваемости ОМЛ. У взрослых высшая заболеваемость приходится на Северную Америку, Европу и Океанию, а в Азии и Латинской Америке заболеваемость ОМЛ ниже.[79][80] И наоборот, детский ОМЛ в Северной Америке и в Индии встречается реже, чем других частях Азии.[81] Эти различия могут определяться генетическими особенностями населения и особенностями окружающей среды.
История
Первое описание лейкоза в медицинской литературе относится к 1827, когда французский врач Альфред-Арман-Луи-Мари Вельпо описал болезнь 63-х летнего садовника, которая проявилась лихорадкой, слабостью, камнями в почках и выраженным увеличением печени и селезёнки. Вельпо заметил, что кровь больного напоминала по консистенции «жидкую овсянку», и предположил, что это произошло из-за белых клеток крови.[82] В 1845 году работавший в Эдинбурге патолог Джон Хьюз Беннет опубликовал сообщение о нескольких случаях смерти больных, у которых оказалась увеличенной селезёнка, а «кровь была изменена по цвету и консистенции». Для описания изменений крови Беннет употребил термин «лейкоцитемия».[83]
Термин «лейкемия» был введён знаменитым немецким патологом Рудольфом Вирховом, в 1847 году. Будучи первым исследователем, применившим световой микроскоп в гистопатологии, Вирхов оказался первым учёным, описавшим избыточное количество белых кровяных клеток у больных с клиническими проявлениями, описанными Вельпо и Беннетом. Поскольку Вирхову была неизвестна причина избытка лейкоцитов, для определения состояния он употребил исключительно описательный термин «лейкемия» (Греческ: «белая кровь»).[84]
С развитием современных способов исследований пришло понимание многих деталей процесса возникновения и развития лейкозов. Уже в 1877 году Пауль Эрлих разработал способ окраски мазков крови, позволивший ему детально описать нормальные и изменённые лейкоциты. В 1889 году, чтобы разделить быстро развивающиеся смертельные и относительно медленно текущие хронические лейкозы Вильгельм Эбштайн ввёл термин «острый лейкоз». .[85] Термин «миелоидный» был введён Нойманом в 1869 году, когда он открыл, что лейкоциты образуются в костном мозге (древнегреческий: µυελός, миелос = костный мозг), а не в селезёнке. Способ диагностики лейкоза исследованием мазка костного мозга впервые был описан Мозлером в 1879 году.[86] И, наконец, в 1900 году Негели, разделивший лейкозы на миелоцитарные и лимфоцитарные описал злокачественную клетку острого миелоидного лейкоза — миелобласт.[87][88]
В 2008 году была полностью определена последовательность генов в геноме больного ОМЛ. Геном при ОМЛ стал первым расшифрованным геномом при злокачественных опухолях. Полученная из лейкозных клеток ДНК была сопоставлена с ДНК, полученной из здоровой кожи[89],и в лейкозных клетках были выявлены мутации нескольких генов, ранее не считавшихся связанными с заболеванием.
См. также
Ссылки
- Acute Myeloid Leukemia Архивная копия от 30 октября 2009 на Wayback Machine at American Cancer Society
- Acute Myeloid Leukemia at Leukemia & Lymphoma Society
- Childhood Acute Myeloid Leukemia at cchs.net
- PDQ statement on AML for health professionals at National Cancer Institute



