Ангиосаркома
| Ангиосаркома | |
|---|---|
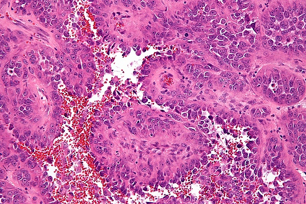
| Микрофотография ангиосаркомы. Окрашено гематоксилином и эозином. | |
| МКБ-11 | XH4E71 |
| МКБ-10 | C49.9 |
| МКБ-О | M9120/3 |
| eMedicine | med/138 |
| MeSH | D006394 |
Ангиосаркóма — опухоль, происходящая из эндотелия и перителия сосудов, злокачественная и часто метастазирующая. К этой группе опухолей по своему гистогенезу относится и саркома Капоши.
Ангиосаркома — весьма редкая болезнь, встречается с одинаковой частотой у мужчин и женщин, преимущественно в возрасте 40—50 лет. Излюбленной локализацией являются конечности (особенно нижние)[1].
Существуют четыре клинические разновидности ангиосарком:
- ангиосаркома, ассоциирующаяся с хроническим лимфостазом конечности (лимфангиосаркома);
- идиопатическая кожная ангиосаркома лица и волосистой части головы[2];
- первичная ангиосаркома молочной железы;
- пострадиационная кожная ангиосаркома[3].
Патологическая анатомия
Ангиосаркома представляет собой бугристую эластической консистенции опухоль, располагающуюся в глубине мягких тканей и инфильтрующую их. На разрезе состоит из полостей, заполненных кровянистым содержимым. Микроскопически опухоль состоит из большого числа тонкостенных кровеносных сосудов и обильного разрастания малодифференцированных полиморфных клеток. В одних случаях преобладают разрастания клеток типа эндотелия (гемангиоэндотелиома), в других — недифференцированные клетки разрастаются вокруг сосудов наподобие муфт (перителиома, перителиальная саркома)[1].
Этиология
Главными причинами развития ангиосарком считаются лимфостаз, канцерогены, например винилхлорид. К веществам, вызывающим ангиосаркомы, относятся также:
- мышьякоорганические инсектициды;
- ароматические углеводороды с конденсированным кольцом (в особенности метилхолантрен)[1].
А также сосудистые факторы, снижение местного иммунитета и частое воздействие радиации.
К другим причинам относят:
- хронический идиопатический гемахроматоз;
- Болезнь Реклингаузена.
Симптомы
Общие симптомы ангиосарком:
- анемия;
- анорексия;
- потеря массы тела;
- лихорадка;
- интоксикация;
- общая слабость.
Помимо общих симптомов, ангиосаркомам свойственна симптоматика со стороны печени, которая выражается в следующем:
- боли в животе;
- гепатомегалия (увеличение печени);
- асцит;
- желтуха.
В 25 % случаев ангиосаркомы печени развивается кровотечение в брюшную полость[4].
Клиника и диагностика
Обычно больной прощупывает опухоль в толще тканей. Опухолевый узел мягкоэластической консистенции, не имеет чётких границ, плохо смещается, болезнен при пальпации. Опухоль растёт быстро, инфильтруя окружающие мышцы и венозные сосуды, что иногда приводит к образованию отёка, склонна к изъязвлению[1].
В отличие от других злокачественных опухолей мягких тканей ангиосаркомы часто (40—50 % случаев) метастазируют в регионарные лимфатические узлы. Характерным является гематогенное метастазирование во внутренние органы (лёгкие, печень, почки, головной мозг и т. д.) и кости[1].
Лечение
На ранних стадиях заболевания может быть произведено удаление опухоли вместе с окружающими тканями с одновременным иссечением регионарных лимфатических узлов. Учитывая высокую злокачественность ангиосарком, при их локализации на конечностях всё же целесообразнее производить ампутацию или экзартикуляцию (вычленение конечности) вместе с регионарными лимфатическими узлами[1].
Метастазы ангиосарком часто поражают внутренние органы и имеют резистентность к лечению, что является главной причиной летальных исходов[5].
При ангиосаркоме печени возможна химиотерапия и/или лучевая терапия[4]. Ангиосаркомы являются одним из типов сарком, наиболее чувствительных к цитотоксической химиотерапии. Несмотря на это, сохраняются неопределенности относительно оптимального ведения при различных клинических проявлениях, что подчеркивает необходимость дальнейшего изучения посредством клинических испытаний[6].
При ангиосаркоме кожи лечение заключается в радикальном удалении опухоли. Практически все операции органосохраняющие, то есть направлены на быстрое восстановление функций. Наилучший прогноз для жизни дает ампутация конечности, но даже она не гарантирует отсутствия рецидивов.
Прогноз
Крайне неблагоприятный, так как ангиосаркома является одной из самых злокачественных опухолей. Выздоровление у больных ангиосаркомой наблюдается в редких случаях (десятичные случаи)[1].
Литература
- Справочник по онкологии под редакцией проф. Б. Е. Петерсона. — Ташкент: Медицина, 1966. −500 с.
- Онкология, учебник для мед. ин-тов / Б. Е. Петерсон. — М.: Медицина, 1980. — 447 с.: ил. — 01.20 р.
- Спавочник Онкология, под редакцией Глыбочко П. В. Москва издательский центр «АКАДЕМИЯ», 2008 — 400с. ISBN 978-5-7695-4754-6
Примечания
- ↑ 1 2 3 4 5 6 7 Справочник по онкологии / под редакцией проф. Б. Е. Петерсона. — Ташкент: Медицина, 1966. — 500 с.
- ↑ Клинический случай ангиосаркомы: дифференциально-диагностический путь. www.mediasphera.ru. Дата обращения: 20 января 2025.
- ↑ Ангиосаркома. Виды и признаки ангиосарком. Дата обращения: 24 апреля 2013. Архивировано 17 января 2013 года.
- ↑ 1 2 Ангиосаркома. Дата обращения: 24 апреля 2013. Архивировано 28 октября 2011 года.
- ↑ Зацаринная О.С., Топорков М.А., Андреева Н.А., Телешова М.В., Уталиева Д.Т., Страдомская Т.В., Щербаков А.П., Грачев Н.С., Большаков Н.А., Сидоров И.В., Коновалов Д.М., Нечеснюк А.В., Шаманская Т.В., Жуков Н.В., Качанов Д.Ю. Ангиосаркома у детей: опыт НМИЦ ДГОИ им. Дмитрия Рогачева и обзор литературы // Вопросы гематологии/онкологии и иммунопатологии в педиатрии. — 2023. — № 22(4). — С. 23-36. — doi:10.24287/1726-1708-2023-22-4-23-36.
- ↑ Elena Palassini, Giacomo Giulio Baldi, Sara Sulfaro, Marta Barisella, Giuseppe Bianchi, Domenico Campanacci, Marco Fiore, Marco Gambarotti, Massimiliano Gennaro, Carlo Morosi, Federico Navarria, Emanuela Palmerini, Claudia Sangalli, Marta Sbaraglia, Annalisa Trama, Sebastian Asaftei, Giuseppe Badalamenti, Rossella Bertulli, Alexia Francesca Bertuzzi, Roberto Biagini, Angela Buonadonna, Antonella Brunello, Dario Callegaro, Ferdinando Cananzi, Marco Cianchetti, Paola Collini, Danila Comandini, Annalisa Curcio, Lorenzo D'Ambrosio, Tommaso De Pas, Angelo Paolo Dei Tos, Virginia Ferraresi, Andrea Ferrari, Alessandro Franchi, Anna Maria Frezza, Elena Fumagalli, Matteo Ghilli, Daniela Greto, Giovanni Grignani, Michele Guida, Toni ibrahim, Marco Krengli, Roberto Luksch, Andrea Marrari, Marinella Mastore, Alessandra Merlini, Giuseppe Maria Milano, Piera Navarria, Maria Abbondanza Pantaleo, Antonina Parafioriti, Ilaria Pellegrini, Elisabetta Pennacchioli, Marco Rastrelli, Elisabetta Setola, Salvatore Tafuto, Salvatore Turano, Sergio Valeri, Bruno Vincenzi, Viviana Vitolo, Andrei Ivanescu, Fiammetta Paloschi, Paolo Giovanni Casali, Alessandro Gronchi, Silvia Stacchiotti. Clinical recommendations for treatment of localized angiosarcoma: A consensus paper by the Italian Sarcoma Group (англ.) // Cancer Treatment Reviews. — 2024-05. — Vol. 126. — P. 102722. — ISSN 0305-7372. — doi:10.1016/j.ctrv.2024.102722.