Астроцитома
Астроцито́ма — глиальная опухоль головного мозга, возникающая из астроцитов. Данное новообразование может локализоваться как в больших полушариях головного мозга, так и в мозжечке, а также в стволе головного мозга и спинном мозге. Клиническая картина астроцитомы характеризуется симптоматикой, схожей с таковой при большинстве опухолей головного мозга, и включает в себя как очаговые, так и общемозговые неврологические проявления. Прогноз напрямую зависит от степени злокачествености опухолевого процесса[1][2].
Что важно знать
Классификация
Согласно классификации Всемирной организации здравоохранения, астроцитома относится к диффузным глиомам взрослого типа. По степени злокачественности выделяют следующие типы[1]:
- астроцитома, IDH-мутантная 2-й степени злокачественности — диффузно-инфильтративная астроцитарная глиома с мутацией IDH1 или IDH2, которая хорошо дифференцирована и не имеет гистологических признаков анаплазии. Митотическая активность не выявляется или низкая. Микроваскулярная пролиферация, некроз и гомозиготные делеции CDKN2A/B отсутствуют;
- астроцитома, IDH-мутантная 3-й степени злокачественности — диффузно-инфильтративная астроцитарная глиома с мутацией IDH1 или IDH2, которая проявляет фокальную анаплазию и проявляет значительную митотическую активность. Микроваскулярная пролиферация, некроз и гомозиготные делеции CDKN2A/B отсутствуют;
- астроцитома, IDH-мутантная 4-й степени злокачественности — диффузно-инфильтративная астроцитарная глиома с мутацией IDH1 или IDH2, с микроваскулярной пролиферацией или некрозом, или гомозиготной делецией CDKN2A/B, или любой комбинацией этих признаков.
Отдельно выделяют астроцитому 1-й степени злокачественности, которая является диффузной низкоградиентной глиомой детского типа, обладающей доброкачественным клиническим течением, и не относящейся к злокачественным новообразованиям центральной нервной системы[2].
Этиология
Этиология астроцитом достоверно не определена. К доказанным этиологическим факторам развития астроцитом относятся лучевая терапия и наследственная предрасположенность. Генетическая предрасположенность реализуется как в рамках наследственных синдромов (нейрофиброматоз 1 типа, синдром Ли — Фраумени с мутациями гена p53), так и в виде семейного накопления: наличие родственника первой степени родства с глиомой удваивает риск развития заболевания. На молекулярном уровне ключевое значение имеют нарушения в сигнальных путях p53-MDM2-p21 и p16-p15-CDK4-CDK6-RB, а также мутации в гене IDH1; дополнительную роль играют определённые типы HLA, одни из которых (HLA-A*25, HLA-B*27, HLA-DRB1*15) повышают риск развития заболевания, а другие (HLA-DRB1*07) — снижают его[2][3].
Патогенез
Патогенез астроцитомы связан с патологической пролиферацией астроцитов — глиальных клеток, обеспечивающих структурную и метаболическую поддержку нейронов в центральной нервной системе. Множество механизмов обусловливают локальные эффекты астроцитомы, включая прямую инвазию и конкуренцию за кислород, что приводит к гипоксическому повреждению здоровой паренхимы мозга. Опухолевое микроокружение, характеризующееся взаимодействием с другими типами клеток, компонентами внеклеточного матрикса и кровеносными сосудами, также влияет на прогрессию опухоли, в то время как свободные радикалы, нейромедиаторы и медиаторы воспаления нарушают гомеостаз[2].
Генетические мутации и изменения в сигнальных путях лежат в основе неконтролируемой пролиферации астроцитов. Ключевое значение имеют нарушения в путях PI3K/AKT/mTOR и MAPK, а также мутации в генах IDH1 и MGMT. Мутации IDH1 (особенно R132H) приводят к накоплению 2-гидроксиглутарата, что способствует злокачественной трансформации. Ген MGMT кодирует фермент, восстанавливающий повреждения ДНК, вызванные алкилирующими агентами (например, темозоломидом). Метилирование промотора MGMT приводит к инактивации гена и повышает чувствительность опухоли к химиотерапии, что ассоциировано с увеличением выживаемости пациентов[4].
Помимо молекулярных нарушений, важную роль в прогрессии астроцитом играют механизмы иммунного ускользания. Опухоли ограничивают презентацию антигенов за счёт снижения экспрессии главного комплекса гистосовместимости, индуцируют апоптоз лейкоцитов через повышение экспрессии Fas-лиганда и секретируют иммуносупрессивные цитокины, такие как трансформирующий фактор роста β и интерлейкин-10. Эти механизмы способствуют формированию иммуносупрессивного микроокружения и резистентности к иммунотерапии[4].
Макроскопически новообразование имеет нечёткие границы, характеризуется сглаживанием серо-белой границы и расширением инфильтрированных участков мозга. Консистенция вариабельна (плотная, мягкая, студенистая, зернистая) в зависимости от степени злокачественности, что отражает степень клеточности и наличие некрозов. Отмечаются микрокистозные изменения, придающие ткани губчатый вид, а также кальцинаты. Опухоль типично инфильтрирует окружающую мозговую ткань без выраженного тканевого разрушения, расширяет нативные структуры и на разрезе может создавать впечатление объёмного образования. Нередко присутствуют участки зернистости или размягчения, ткань имеет мягкую серовато-жёлтую окраску с включениями желтовато-коричневого некротического материала. Опухоль часто фрагментирована, граница между опухолью и паренхимой мозга нечёткая[5].
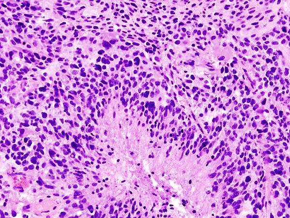
Микроскопически опухоль представлена диффузно-инфильтрирующими опухолевыми клетками с овальными или вытянутыми астроцитарными ядрами и вариабельным видом цитоплазмы и фибриллярных глиальных отростков. На периферии опухолевые клетки могут инфильтрировать ткань в виде диффузного одиночного паттерна, нередко с захваченными нейронами и аксонами. Клеточная морфология вариабельна даже в пределах одной опухоли: обычно присутствует смесь клеток с вытянутыми ядрами и тонкими фибриллярными отростками, клеток с эксцентричными ядрами и стекловидной эозинофильной цитоплазмой, крупных плеоморфных клеток и малых клеток со скудной цитоплазмой. Могут наблюдаться участки, напоминающие олигодендроглиому, а также миксоидный фон и микрокистоз. Митотическая активность, клеточность и ядерная атипия варьируют в зависимости от степени злокачественности[5].
Эпидемиология
Астроцитомы относятся к числу наиболее распространённых первичных опухолей центральной нервной системы. Согласно данным Центрального регистра опухолей головного мозга США, среди взрослых диффузных глиом 19 % составляют астроцитомы. Возраст на момент диагностики варьирует в зависимости от молекулярного подтипа: IDH-мутантные астроцитомы выявляются в более молодом возрасте (медиана 36—38 лет), тогда как опухоли дикого типа — в возрасте 50—60 лет. В США распространённость наиболее высока среди неиспаноязычных белых, у которых риск развития глиом на 30 % выше, чем у испаноязычных белых, и вдвое выше, чем у представителей других расовых групп. Половая предрасположенность зависит от степени злокачественности: для астроцитом низкой степени злокачественности отмечено незначительное преобладание мужчин (соотношение 1,18:1), тогда как для астроцитом высокой степени злокачественности это преобладание более выражено (1,87:1)[3].
Диагностика
Клиническая картина астроцитомы включает как очаговые, так и общемозговые симптомы. К очаговым симптомам относят эпилептические приступы и афазию, тогда как общемозговые симптомы, обусловленные отёком и повышением внутричерепного давления, могут проявляться головной болью, нарушениями зрения и рвотой. Диффузные головные боли присутствуют на момент диагностики у 50 % пациентов, а эпилептические приступы наблюдаются у 20—40 % больных. К возможным клиническим проявлениям также относятся: изменённое психическое состояние, когнитивные, двигательные нарушения, сенсорные аномалии, атаксия. Характер неврологических симптомов определяется в первую очередь локализацией и степенью распространения опухолевого роста в центральной нервной системе[3][4].
С целью оценки общего состояния выполняются клинический анализ крови, коагулограмма, биохимический анализ крови, клинический анализ мочи[1].
С целью выявления мутации в генах IDH1 и MGMT выполняется молекулярно-генетический анализ биоптата опухоли методом секвенирования[1].
Иммуногистохимическое исследование биоптата опухоли: астроцитомы иммуногистохимически характеризуются экспрессией глиального фибриллярного кислого белка, Olig2 и мутантного белка IDH1 (при наличии мутации R132H, составляющей 90 % всех IDH-мутаций). Пролиферативный индекс Ki67 возрастает с повышением степени злокачественности[5].
Магнитно-резонансная томография головного мозга: высокозлокачественные астроцитомы при стандартном исследовании характеризуются выраженным контрастным усилением, перитуморальным отёком (видимым в режиме Т2 с подавлением сигнала от жидкости), объёмным воздействием, неоднородностью структуры, центральным некрозом и внутриопухолевыми кровоизлияниями. Астроцитомы низкой степени злокачественности обычно представлены хорошо отграниченными однородными образованиями с минимальным или отсутствующим объёмным эффектом, отёком и контрастным усилением. Для опухолей низкой степени злокачественности характерны высокий коэффициент диффузии, низкий относительный церебральный объём крови и низкие соотношения холина и липид-лактата к креатину; для опухолей высокой степени злокачественности — противоположные изменения[4].
При компьютерной томографии головного мозга астроцитомы низкой степени злокачественности визуализируются как плохо отграниченные однородные образования пониженной плотности без контрастного усиления, хотя могут наблюдаться незначительное накопление контраста, кальцинаты и кистозные изменения. Астроцитомы высокой степени злокачественности также могут выглядеть как очаги пониженной плотности или неоднородные образования с участками как высокой, так и низкой плотности в пределах одной опухоли, однако, в отличие от опухолей низкой степени злокачественности, для них характерно частичное контрастное усиление[3].
Ангиография может применяться для исключения сосудистых мальформаций и оценки кровоснабжения опухоли. Как при низкой, так и при высокой степени злокачественности обычно наблюдается нормальная ангиографическая картина либо картина, соответствующая бессосудистому объёмному образованию, смещающему нормальные сосуды. В редких случаях может выявляться контрастирование опухоли[3].
Дифференциальная диагностика
Осложнения
Лечение
Лечение астроцитом определяется степенью злокачественности опухоли по классификации Всемирной организации здравоохранения и предполагает мультимодальный подход, включающий хирургическое вмешательство, лучевую и лекарственную противоопухолевую терапию. При астроцитомах низкой степени злокачественности (степень 2) основой служит хирургическое удаление. При наличии факторов высокого риска показана лучевая терапия с последующей адъювантной химиотерапией. При рецидивах или прогрессировании ранее нелеченных опухолей низкой степени злокачественности применяется химиотерапия. При астроцитомах 3-й степени злокачественности стандартом лечения является хирургическая резекция с последующей лучевой терапией и адъювантной химиотерапией. Для астроцитом 4-й степени злокачественности стандарт включает резекцию с последующим одновременным проведением лучевой терапии и химиотерапии, после чего следует адъювантная химиотерапия[1][2].
При рецидивах заболевания рассматриваются повторное хирургическое вмешательство, альтернативные режимы химиотерапии, а также таргетная терапия, воздействующие на мутантный белок IDH, и антиангиогенная терапия, которая позволяет увеличить выживаемость без прогрессирования и уменьшить перитуморальный отек. Повторная лучевая терапия применяется редко[2].
Помимо противоопухолевой терапии, важное место занимает симптоматическое лечение. У пациентов с эпилептическими приступами применяются противоэпилептические препараты. Для уменьшения объёмного воздействия и отёка используются глюкокортикостероиды. Учитывая высокий риск венозных тромбоэмболических осложнений у пациентов с опухолями высокой степени злокачественности, применяются антикоагулянты в профилактических целях у госпитализированных и малоподвижных пациентов[2].
Прогноз
Астроцитомы считаются неизлечимыми, однако лечение позволяет продлить выживаемость пациентов. Медиана выживаемости после диагностики астроцитом в соответствии со степенью злокачественности составляет: при 2-й степени — 10—12 лет, при 3-й степени — 8—10 лет, при 4-й степени — 3—4 года. Делеция CDKN2A/B является неблагоприятным прогностическим фактором. К дополнительным факторам, негативно влияющим на выживаемость, относятся мужской пол, худший функциональный статус и размер опухоли более 5 сантиметров[3].
Диспансерное наблюдение
Пациенты с астроцитомами нуждаются в диспансерном наблюдении нейрохирурга, онколога и невролога. После завершения лечения проводится регулярное обследование с целью своевременного выявления рецидива. Основным методом визуализации служит магнитно-резонансная томография головного мозга с контрастированием, которую проводят в первые 2 года каждые 3 месяца, а в дальнейшем — 1 раз в 6 месяцев[1].
Профилактика
Не разработана.
Примечания
Литература
- Ассоциация онкологов России, Ассоциация нейрохирургов России, Российское общество клинической онкологии. Первичные опухоли центральной нервной системы. Рубрикатор клинических рекомендаций. Министерство Здравоохранения Российской Федерации (29 мая 2025)
- Willman M., Willman J., Figg J., et al. Update for astrocytomas: medical and surgical management considerations (англ.) // Exploration of Neuroscience. — 2023. — 23 February (vol. 2). — P. 1—26. — doi:10.37349/en.2023.00009.


