Опухоль головного мозга
О́пухоли головно́го мо́зга — гетерогенная группа различных внутричерепных новообразований, доброкачественных или злокачественных, возникающих вследствие запуска процесса аномального неконтролируемого деления клеток, которые в прошлом являлись нормальными составляющими самой ткани мозга (нейроны, глиальные клетки, астроциты, олигодендроциты, эпендимальные клетки), лимфатической ткани, кровеносных сосудов мозга, черепных нервов, мозговых оболочек, черепа, железистых образований мозга (гипофиза и эпифиза), или возникающих вследствие метастазирования первичной опухоли, находящейся в другом органе.
Тип опухоли определяется клетками, её формирующими. В зависимости от локализации и гистологического варианта формируется симптоматика заболевания.
Что важно знать
| Опухоль мозга | |
|---|---|
| МКБ-11 | 2A00 |
| МКБ-10 | C71, D33.0-D33.2 |
| МКБ-9 | 191, 225.0 |
| DiseasesDB | 30781 |
| MedlinePlus | 007222 |
| eMedicine | emerg/334 |
| MeSH | D001932 |
Классификация
Опухоли мозга можно разделить на группы по следующим признакам:
- По первичному очагу
- Первичные опухоли — опухоли, развивающиеся из тканей головного мозга, его оболочек и черепных нервов (глиобластома, глиома).
- Вторичные опухоли — опухоли метастатического происхождения[1].
- По клеточному составу
Современная гистологическая классификация опухолей центральной нервной системы, разработанная экспертами ВОЗ в 2007 году, позитивно отличается от предыдущих редакций 1979, 1993, 2000 годов. В первую очередь тем, что в ней достаточно полно нашли отражение изменения во взглядах на гистогенез и степень злокачественности ряда новообразований, которые произошли в результате широкого использования в нейроморфологии целого ряда новейших методик, в частности — иммуногистохимии и молекулярно-генетического анализа. В ней описано более 100 различных гистологических подтипов опухолей ЦНС, объединённых в 12 категорий. Наиболее часто встречающиеся морфологические подтипы приведены ниже:
- Нейроэпителиальные опухоли (эпендимома, глиома, астроцитома). Развиваются непосредственно из мозговой ткани. Составляют порядка 60 %.
- Оболочечные опухоли (менингиома). Развиваются из тканей мозговых оболочек.
- Опухоли гипофиза (аденома гипофиза). Формируются из клеток гипофиза.
- Опухоли черепных нервов (невриномы). Возникают по ходу черепных нервов.
- Метастазы из внемозговых очагов. Попадают в мозг из других очагов путём метастазирования.
- Дизэмбриогенетические опухоли. Возникают в процессе эмбриогенеза. Достаточно редкий, но серьёзный вид патологии.
Клиника
Клинические проявления опухолей головного мозга определяются их расположением в ограниченном объёме полости черепа. Сдавливание или разрушение ткани мозга в области опухоли (за счёт прорастания новообразования) обуславливает так называемую первичную, или очаговую, симптоматику. По мере прогрессирования заболевания проявляется так называемая общемозговая симптоматика, обусловленная нарушением гемодинамики и внутричерепной гипертензией.
Очаговая симптоматика во многом определяется локализацией опухоли. Можно выделить следующие группы:
- Нарушение чувствительности
- Снижается или исчезает способность воспринимать внешние раздражители, действующие на кожу — термические, болевые, тактильные. Может утрачиваться способность определять положение частей своего тела в пространстве. Например, с закрытыми глазами больной не способен сказать, держит он руку ладонью вверх или вниз.
- Нарушение памяти
- При поражении коры мозга, отвечающей за память, происходит полная или частичная потеря памяти. От невозможности узнать своих близких до невозможности распознавать или узнавать буквы.
- Двигательные нарушения (парезы, параличи)
- Снижается мышечная активность в связи с поражением путей, передающих двигательную импульсацию. В зависимости от локализации опухоли отличается и картина поражения. Могут развиваться как поражения отдельных частей тела, так и полные или частичные поражения конечностей и туловища. При нарушении передачи двигательной импульсации из коры головного мозга возникают параличи центрального типа, то есть сигнал из спинного мозга к мышцам поступает, они в гипертонусе, но управляющие сигналы головного мозга не поступают в спинной мозг, произвольные движения невозможны. При поражении спинного мозга развиваются периферические параличи, сигнал из головного мозга попадает в спинной мозг, но спинной мозг не может передать его мышцам, мускулатура в гипотонусе.
- Эпилептические припадки
- Появляются судорожные припадки, возникающие из-за формирования очага застойного возбуждения в коре.
- Нарушение слуха и распознавания речи
- При поражении слухового нерва происходит утрата способности получать сигнал от органов слуха. При поражении участка коры, отвечающего за распознавание звука и речи, для больного все слышимые звуки превращаются в бессмысленный шум.
- Нарушение зрения, распознавания предметов и текста
- При расположении опухоли в районе зрительного нерва или четверохолмия наступает полная или частичная утрата зрения в связи с невозможностью доставить сигнал от сетчатки к коре головного мозга. При поражении областей в коре, отвечающих за анализ изображения, происходят разнообразные нарушения — от неспособности понимать поступающий сигнал до неспособности понимать письменную речь или узнавать движущиеся предметы.
- Нарушение речи устной и письменной
- При поражении областей коры, отвечающих за письменную и устную речь, происходит их полная или частичная утрата. Процесс этот, как правило, постепенный и усиливается по мере роста опухоли — сначала речь больного становится невнятной (как у 2-3-летнего ребёнка), постепенно изменяется почерк, затем изменения нарастают до полной невозможности понять его речь и почерка в виде зубчатой линии.
- Вегетативные расстройства
- Появляются слабость, утомляемость, больной не может быстро встать, у него кружится голова, происходят колебания пульса и артериального давления. Это связано с нарушением контроля за тонусом сосудов и влиянием блуждающего нерва.
- Гормональные расстройства
- Изменяется гормональный фон, может колебаться уровень всех гипоталамо-гипофизарно зависимых гормонов.
- Нарушение координации
- При поражении мозжечка и среднего мозга нарушается координация, изменяется походка, больной без контроля зрения не способен совершать точные движения. Например, он промахивается, пытаясь с закрытыми глазами достать до кончика носа. Неустойчив в позе Ромберга.
- Психомоторные и когнитивные нарушения
- Нарушается память и внимание, больной становится рассеян, раздражителен, изменяется характер. Тяжесть симптомов зависит от величины и локализации области поражения. Спектр симптомов колеблется от рассеянности до полной утраты ориентации во времени, пространстве и собственной личности.
- Нарушения интеллекта и эмоциональной сферы
- При поражении мозга за счёт объемных образований в наибольшей степени страдают интеллектуальные функции и те личностные характеристики, которые отражают особенности социального взаимодействия: социальная конформность и психотизм. Латеральные особенности этого эффекта заключаются в том, что при нарушении функций левого полушария за счёт развития опухоли в большей степени усиливается психотизм, а при дефиците функционирования правого — социальная конформность. Полушарные особенности в изменениях когнитивного статуса при объемных образованиях головного мозга выражены в меньшей степени, чем изменения личностных характеристик. Следует, однако, отметить, что поражение левого полушария вызывает сравнительно большее снижение интеллекта, а правого — творческих показателей.
- Галлюцинации
- При поражении областей в коре мозга, отвечающих за анализ изображения, у больного начинаются галлюцинации (как правило, простые: больной видит вспышки света, солнечное гало).
- Слуховые галлюцинации
- Больной слышит монотонные звуки (звон в ушах, бесконечные стуки).
Общемозговая симптоматика — это симптомы, возникающие при повышении внутричерепного давления, сдавливании основных структур мозга.
- Головная боль
- Отличительной особенностью при онкологических заболеваниях является постоянный характер и высокая интенсивность головной боли, её плохая купируемость ненаркотическими анальгетиками. Снижение внутричерепного давления приносит облегчение.
- Рвота (вне зависимости от приёма пищи)
- Рвота центрального генеза, как правило, возникает из-за воздействия на рвотный центр в среднем мозге. Тошнота и рвота беспокоят больного постоянно, при изменениях внутричерепного давления срабатывает рвотный рефлекс. Также больной не способен принимать пищу, иногда и пить воду из-за высокой активности рвотного центра. Любой инородный предмет, попадающий на корень языка, вызывает рвоту.
- Головокружение
- Может возникать в результате сдавливания структур мозжечка. Нарушается работа вестибулярного анализатора, у больного головокружение центрального типа, горизонтальный нистагм, зачастую возникает ощущение, что он, оставаясь неподвижным, поворачивается, сдвигается в ту или иную сторону. Также головокружение может вызываться ростом опухоли, приводящим к ухудшению кровоснабжения головного мозга.
Диагностика
Диагностика, вследствие локализации опухоли внутри черепа, затруднена. Диагноз онкологического заболевания окончательно ставится только после гистологического заключения, без гистологического или цитологического исследования диагноз неправомочен. В связи с тем, что опухоль находится в полости черепа и прорастает в ткань мозга, забор биоптата представляет собой сложную нейрохирургическую операцию. Диагноз «опухоль мозга» выставляется поэтапно — сначала амбулаторно, затем подтверждается в стационаре. Можно выделить три этапа в диагностике[2][3][4].
Больной поступает, как правило, к терапевту (реже — к неврологу или врачу другой специальности). Обратиться больного вынуждает прогрессирование очаговой или общемозговой симптоматики — пока клиника выражена слабо, больные редко попадают в поле зрения врачей, и только когда ситуация начинает быстро ухудшаться, человек обращается за помощью к специалисту.
Врач оценивает состояние поступившего больного и, в зависимости от его тяжести, принимает решение о госпитализации или амбулаторном лечении. Критерием оценки тяжести состояния является наличие и выраженность очаговой и общемозговой симптоматики, а также наличие и тяжесть сопутствующих заболеваний. При обнаружении у больного неврологической симптоматики он направляется для консультации к неврологу. При впервые возникшем эпилептическом или судорожном припадке обязательно проводится компьютерная томография головного мозга для выявления онкологической патологии.
Невролог оценивает тяжесть симптомов и производит дифференциальную диагностику. В его задачу входит поставить, как минимум, предварительный, а после дообследований — и клинический диагноз. Врач, на основании жалоб больного и доступных ему методов обследования, должен принять решение, о каких заболеваниях ему думать, какие инструментальные и лабораторные методы обследования следует назначить.
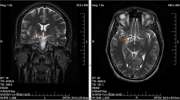
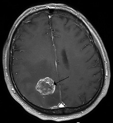
К обязательным методам обследования относятся определение активности сухожильных рефлексов, проверка тактильной и болевой чувствительности. Диагностические мероприятия могут быть расширены в зависимости от жалоб больного и с целью дифференциальной диагностики. Так, например, если больной отмечает нарушения координации, следует провести пальце-носовую пробу, проверить устойчивость в позе Ромберга. Если возникает подозрение на опухоль мозга, то больной направляется на компьютерную (КТ) или магнитно-резонансную томографию (МРТ). МРТ с контрастным усилением является «золотым стандартом» в диагностике опухолей головного мозга[5]. При обнаружении на томограмме объёмного образования решается вопрос о госпитализации больного в специализированный стационар.
После поступления в онкологический диспансер проводится ряд обследований с целью решить вопрос о тактике лечения данного больного, требуется ли ему хирургическое вмешательство и, если требуется, то как он его перенесёт, целесообразно ли его стационарное лечение. Проводится повторная КТ или МРТ головного мозга. Определяются режимы и дозы лучевой и химиотерапии, картируется опухоль, определяются её границы, размеры, точная локализация. Если больному показано хирургическое лечение, то берут биоптат опухоли и производят её гистологическую верификацию с целью подбора оптимального режима последующей терапии. Также препарат ткани опухоли может быть получен путём стереотаксической биопсии.
Лечение
Лечение опухолей головного мозга, как и всех онкологических заболеваний, — комплексное и довольно дорогостоящее мероприятие. Все мероприятия, проводимые в ходе курса лечения, можно разбить на следующие группы[4][6].
Все мероприятия, относящиеся к этой группе, не влияют на саму причину заболевания, а лишь смягчают его течение, позволяя сохранить жизнь больному или улучшить его качество жизни.
- Глюкокортикостероиды (преднизолон) — снимают отёк ткани головного мозга и снижают общемозговую симптоматику.
- Противорвотные препараты (метоклопрамид) — снимают рвоту, возникающую в результате нарастания общемозговой симптоматики или после комбинированной химио-лучевой терапии.
- Седативные препараты — назначаются в зависимости от уровня психомоторного возбуждения и тяжести психических нарушений.
- Нестероидные противовоспалительные средства (НПВС — например, кетонал) — купируют болевой синдром.
- Наркотические анальгетики (морфин, омнопон) — купируют болевой синдром, психомоторное возбуждение, рвоту центрального генеза.
Хирургическое лечение опухолей головного и спинного мозга является основным, наиболее эффективным методом, однако удаление опухоли из ткани мозга представляет значительную трудность. Каждое такое вмешательство — это сложная нейрохирургическая операция. Так как хирургу необходимо иссечь опухоль в пределах здоровых тканей (чтобы избежать рецидива), то каждая такая операция травматична, а зачастую и вовсе невозможна из-за больших размеров опухоли или её локализации в жизненно важных участках мозга. В зависимости от размеров, локализации, типа опухоли, состояния больного принимается решение о необходимости проведения операции, объёме оперативного вмешательства и способе его проведения. Применение современной лазерной и ультразвуковой техники в хирургии опухолей головного мозга позволило несколько повысить её эффективность. Конкретный путь вмешательства и метод его осуществления индивидуален и зависит от локализации опухоли, её размеров и клеточного состава.
Лучевая терапия играет важную роль в лечении опухолей головного мозга. Лучевая терапия может проводиться как в дополнение к хирургическому лечению, так и самостоятельно в случаях невозможности проведения хирургического лечения либо отказе пациента от оперативного вмешательства. При планировании лучевой терапии больным с опухолями головного мозга очень важно определить рациональный объём облучения. Для этой цели необходимо использовать данные, полученные во время операции, пред- и послеоперационной компьютерной томографии, магнитно-резонансного исследования, ангиографии, позитронно-эмиссионной томографии. Определение рационального уровня излучения позволит избежать или минимизировать негативные последствия терапии. В основе действия лучевой терапии лежит влияние ионизирующего излучения на клетки тканей, находящихся на пути пучка излучения. Для лечения опухолей головного мозга применяют дистанционную лучевую терапию. Оптимальные сроки начала — через 14-21 дней после оперативного вмешательства и желательно не позже, чем через 2 месяца. Облучение проводится локально на область самой опухоли, ложа опухоли, остаточной опухоли, рецидива или метастаза. Также возможно проведение тотального облучения на весь головной мозг при множественных (>3) метастазах или определённых гистологических типах опухолей (глиобластома, астроцитома и другие). Лучевая терапия обычно проводится за один курс в 10-30 фракций (процедур), суммарная изоэффективная (то есть эквивалентная дозе с фракционированием по 2 Гр) доза ионизирующего излучения при тотальном облучении головного мозга не должна превышать 50-60 Гр, при локальном — 70 Гр. Размер разовой дозы излучения (за 1 сеанс) колеблется от 0,8 до 3 Гр. Лучевая терапия подбирается индивидуально в зависимости от клеточного состава опухоли, её размеров и локализации[6]. Несмотря на эффективность, лучевая терапия — достаточно тяжёлая для больного процедура, её применение сопровождается лучевыми реакциями, которые обычно купируются корректирующей противоотёчной терапией. В зависимости от типов опухолей формируются различные схемы лучевой терапии и комбинаций с химиотерапией.
Стереотаксическая радиохирургия является частью лучевой терапии, но, в связи с возрастающей значимостью для лечения опухолей головного мозга, заслуживает отдельного внимания. Стереотаксическая радиохирургия была впервые использована Шведским нейрохирургом Ларсом Лекселлом в 1969 году как замена хирургической операции для пациентов, которым проведение оперативного лечения противопоказано или нежелательно вследствие высокого риска осложнений. Радиохирургия использует комбинацию преимуществ стереотаксической навигации (пространственной навигации с субмиллиметровой точностью) и избирательного действия ионизирующего излучения именно на опухолевые клетки, характерного для лучевой терапии. Это позволяет добиться полного уничтожения опухолевого очага без инвазивного, высокотравматичного оперативного лечения, но с минимальными осложнениями в сравнении с классической лучевой терапией. Основными случаями, когда показано проведение радиохирургии, являются: метастатическое поражение головного мозга (при выявленной первичной локализации опухоли и небольшом количестве метастазов), рецидив первичной опухоли мозга после проведённого хирургического и/или лучевого лечения. При доброкачественных новообразованиях головного мозга радиохирургия является полной альтернативой хирургическому лечению, и рассматривается как метод выбора пациента. При противопоказаниях или отказе от хирургического лечения возможно проведение радиохирургии как самостоятельного метода лечения, если есть гистологическая верификация диагноза. Иногда возможно проведение радиохирургии в комбинации с тотальным облучением головного мозга.
Перед проведением химиотерапии обязательно необходимо провести гистологическую верификацию опухоли для подбора адекватной дозы и наиболее эффективного препарата. Если хирургическое вмешательство не проводилось, то диагноз следует подтвердить путём стереотаксической биопсии. Применение химиотерапии существенно ограничено малым количеством препаратов, проникающих через гемоэнцефалический барьер. Обязательным условием химиотерапии является определение индивидуальной чувствительности больного к препарату. Путь введения выбирается исходя из возможности создания наибольшей концентрации препарата в тканях опухоли. Для проведения химиотерапии применяют препараты алкилирующей группы, антиметаболиты, препараты природного происхождения, антибластические антибиотики, синтетические и полусинтетические препараты. Наиболее эффективна химиотерапия в сочетании с лучевой терапией и курс, состоящий из нескольких препаратов.
Введение препаратов производится курсами длительностью от 1 до 3 недель, с промежутками в 1-3 дня, пока не будет введена вся назначенная доза препарата. Введение препарата проводится под контролем картины крови, так как все препараты, используемые в терапии, поражают наиболее активно делящиеся клетки, в том числе и клетки костного мозга. По результатам анализов курс терапии может прерываться, а в некоторых случаях и вовсе отменяться[4]. Также большое значение для больного имеет сопутствующая противорвотная терапия. Важным с точки зрения качества жизни больного является такой параметр, как эметогенность — способность вызывать рвоту. Высокая эметогенность свидетельствует о том, что у 90 % получавших препарат без противорвотной терапии возникала рвота. По данному признаку выделяют 4 группы:
- > 90 % — высокая
- 30-90 % — средняя
- 10-30 % — низкая
- < 10 % — минимальная
Адекватность противорвотной терапии достигается сочетанием препаратов, угнетающих активность рвотного центра, совместно с седативными препаратами. Выбор конкретного сочетания зависит от индивидуальной чувствительности, длительности химиотерапии и финансовых возможностей[7].
Для детских глиом эффективность темоцоломида не подтверждена.
Целью криохирургии является криодеструкция клеток в заданном объёме замораживаемой патологической ткани, как на поверхности тела, так и в глубине органа без повреждения окружающих здоровых клеток. В криохирургии используют два основных вида аппаратов: криоаппликаторы и криозонды. Криоаппликаторы предназначены для деструкции крупных массивов биологической ткани, так как находятся в контакте с поверхностью замораживаемого объекта и обладают достаточно крупными размерами. Поэтому криоаппликаторы получили широкое распространение в дерматологии, маммологии, гастроэнтерологии и хирургии печени. Криозонды используются для малоинвазивного воздействия в глубине ткани или органа на патологический очаг малого размера, когда необходимо щадящее отношение к окружающим тканям.
Криохирургия при опухолях головного мозга может как дополнять основной этап хирургического удаления, так и являться самостоятельным видом воздействия на опухолевую ткань.
Криодеструкцию применяют при:
- опухолях расположенных в функционально-значимых зонах головного мозга.
- опухолях неудалимых традиционными методами хирургии.
- глубинно расположенных множественных образованиях (метастазы в головной мозг).
- не удалённых фрагментах опухоли (остаточная ткань менингиом).
- опухолях хиазмально-селлярной локализации.
- метастатических поражениях позвонков.
- Криохирургию можно сочетать с лучевой или химиотерапией и обычными хирургическими воздействиями.
Звенья патогенеза крионекроза:
- деполимеризация трёхмерной сети белков цитоскелета клетки, поскольку от их состояния и свойств зависят такие важные клеточные параметры, как форма, барьерные и структурные свойства плазматических и внутренних мембран, транспорт ионов и метаболитов, энергообеспечение и синтетические процессы;
- значительная дегидратация клеток в процессе образования льда экстра- и интрацеллюлярно, ведущая к резкому повышению «летальной концентрации» электролитов вне- и внутри клеток, а также изменению структурного состояния белков цитоскелета;
- механическое повреждение клеточных мембран кристаллами льда, а также сдавление этими кристаллами внутриклеточных структур;
- нарушение клеточного метаболизма, накопление токсических продуктов в летальных концентрациях;
- ишемическая гипоксия из-за нарушения тканевого кровообращения в результате слайджирования и тромбообразования;
- иммунологическая реакция вследствие формирования антител к замороженной ткани (В настоящее время данный эффект не доказан).
Криохирургический метод обладает большим диапазоном объёмов воздействия, так же актуален при труднодоступных или распространённых опухолях, особенно у больных преклонного возраста и при наличии сопутствующих заболеваний[8].
Недавние клинические исследования показали, что при глиомах с низкой степенью злокачественности более высокая трёхлетняя выживаемость обеспечивается сочетанием лучевой и химиотерапии. Такие глиомы со временем способны прогрессировать до III—IV стадии, переходя в глиобластому.
Вопрос о том, какое средство наиболее эффективно для лечения глиом, является спорным. Исследования II фазы, проведённые совместно центром раковых заболеваний университета США Огайо и университетом Мэриленд, Онтарио, показывает, что сочетание лучевой терапии с химиотерапией темозоломидом улучшает прогноз по сравнению с контрольной группой, в которой применялась только лучевая терапия. Пациенты с глиомами низкой степени злокачественности и высоким риском рецидива показали в ходе исследования трёхлетнюю выживаемость 73 %, если лечение проводится с одновременным применением химиотерапии и лучевой терапии. В контрольной группе, получавшей только лучевую терапию, трёхлетняя выживаемость составила 54 %[9].
Диспансеризация
При подозрении на опухолевое поражение головного мозга больной направляется в онкологический диспансер по месту жительства, где проходит комплекс обследований, призванных подтвердить или снять диагноз — опухоль головного мозга. В случае подтверждения диагноза производится постановка больного на диспансерный учёт. Назначается и проводится курс лечения. После завершения лечения больной выписывается, но продолжает состоять на диспансерном учёте. Ему рекомендуют явиться в диспансер для проведения повторных исследований. Эта система направлена на своевременное выявление рецидивов опухолевого процесса. После выписки больному рекомендуют три раза обратиться через месяц после предыдущего посещения, затем два раза через три месяца, затем два раза через шесть месяцев, в дальнейшем 1 раз в год. Диспансерное наблюдение лиц, состоящих на учёте у онколога, является пожизненным и бесплатным.
Прогноз
Возможность успешного и полноценного излечения зависит от своевременности и адекватности диагностики. При полноценном трёхступенчатом лечении, начавшемся на ранней стадии развития опухоли, пятилетняя выживаемость больных составляет, в зависимости от гистологического варианта опухоли, 60—80 %. При позднем обращении и невозможности оперативного лечения пятилетняя выживаемость, в зависимости от гистологического варианта и размеров опухоли, не превышает 30—40 %.
Примечания
Ссылки
- Резекция малой опухоли головного мозга, видео Архивная копия от 5 ноября 2010 на Wayback Machine


