Гибернома

Гибернома — редкая доброкачественная опухоль с дифференцировкой в направлении бурой жировой ткани[1].

Общие сведения
Гибернома
МКБ-11 XH1054
МКБ-10 D17
МКБ-О 8880/0

История

Впервые опухоль была описана немецким врачом Х. Меркелем в 1906 году под названием «псевдолипома». Он наблюдал в жировой клетчатке молочной железы пациентки зрелую опухоль дольчатого строения, состоящую из крупных пенистых клеток, содержащих жир[2]. Новый термин «гибернома» был предложен французским анатомом Джерри Луис в 1914 году из-за сходства с бурым жиром у животных, впадающих в спячку[3], и новорожденных детей[1].

Классификация

Согласно МКБ-10 гибернома имеет код D17.9 «Доброкачественное новообразование жировой ткани неуточненной локализации (Липома БДУ)»[4]. В МКБ-11: XH1054 — гибернома[5]. В МКБ-0-3 по морфологическому строению относится к доброкачественным опухолям жировой ткани, код 8880/0 (Опухоль из бурой жировой ткани, липома из фетальной жировой ткани)[6].

По гистологическому строению классифицируются на типичные (82 %), миксоидные (8 %), липомоподобные (7 %) и веретеноклеточные (2 %)[7].

Этиология

Гиберномы составляют менее 2 % всех доброкачественных липогенных опухолей и до 1 % всех липогенных опухолей. Точные причины возникновения гиберномы не выявлены. Среди возможных этиологических факторов рассматривается синдром множественной эндокринной неоплазии 1-го типа[1].

undefined

Патогенез

Гиберномы — опухоли из богатой липохромом бурой жировой ткани[8]. В настоящее время патогенез этих опухолей изучен частично. В некоторых исследованиях цитогенетический анализ гиберном показал, что перестройка участка 11q13-21 длинного плеча 11-й хромосомы может играть большую роль в развитии патологии[1].

Патологическая анатомия

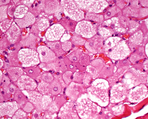
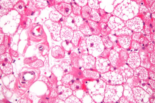
Внешне гиберномы выглядят как мягкоэластичные образования с четкими границами, имеют тонкую капсулу и дольчато снабжены выступающими сосудами. Цвет обычно коричневый или желто-коричневый — в зависимости от доли липофусцина и жировых компонентов в составе, а таже количества кровеносных сосудов. При микроскопическом исследовании гибернома состоит из бурых жировых клеток, окруженных тонкими сосудами. Бурые жировые клетки можно охарактеризовать как вакуолизированные, потому что цитоплазма клетки делится на несколько частей[1].

Эпидемиология

Данная патология в основном встречается в возрасте 20-40 лет. Средний возраст пациентов — 38 лет. Чаще гибернома диагностируется у женщин[1]. Известно несколько случаев обнаружения этой опухоли у грудных детей, так как у новорожденных бурая жировая ткань хорошо развита и составляет примерно 5 % массы тела[8]. У взрослых ее доля незначительна.

Диагностика

Клиническая картина

Опухоль проявляется безболезненным узловым образованием поверхностных мягких тканей. Гибернома выглядит как ограниченная липома диаметром от 3 до 10 см. Она мягкая и легко смещается под кожей. Частые места локализации — шея, лопаточная область, подмышки, грудная клетка и забрюшинное пространство. Также гибернома в 30 % случаев способна развиваться в мягких тканях бедра. Менее 20 % находятся в мышцах[1]. Гибернома характеризуется очень медленным ростом[8]. Быстрый рост опухоли наблюдается лишь у небольшого числа пациентов. Крайне редко гибернома проявляется как бедренная невропатия, что является редким видом очаговой мононевропатии[1].

Лабораторные исследования

Гистологическая верификация является «золотым стандартом» диагностики гиберномы. При образованиях мягких тканей размером более 3 см окончательный диагноз ставится на основании морфологического заключения[1]. Возможно проведение иммуногистохимического исследования на положительную экспрессию FABP4/aP2 и S100 в клетках опухоли[7][9].

Инструментальное исследования

Цветная допплерография является первым методом визуализации для диагностики опухолей мягких тканей. Гибернома визуализируется как образование с высокой эхолокацией и четкими границами, внутри увеличен кровоток. В лучевых методах диагностики гибернома характеризуется чётким контуром за счёт псевдокапсулы, экспансивным характером роста, медленным увеличением размеров при динамическом наблюдении. Магнитно-резонансная томография используется для уточнения целостности капсулы, степени смешения жировой и мышечной тканей, толщины и распределения пучков волокон, содержания жира в опухоли[1].

Дифференциальная диагностика

Дифференциальную диагностику проводят со следующими опухолями:

  • высокодифференцированные липосаркомы;
  • ангиолипомы;
  • светлоклеточной саркомы[7];
  • липобластомы;
  • ксантогранулемы;
  • хондроидные липомы[1]

Осложнения

При большом размере опухоли возможна компрессия соседних тканей[1] и органов с последующим нарушением функций.

Лечение

Если гибернома небольшого размера и протекает бессимптомно, то она не требует хирургического вмешательства и других методик лечения. Когда гибернома большого размера, характеризуется быстрым ростом и имеет потенциал к сдавлению окружающих тканей и органов, рекомендована хирургическая резекция опухоли, поскольку она связана с низким риском послеоперационного рецидива. В большинстве случаев гибернома не спаяна с соседними структурами, локализуется в собственной капсуле, поэтому во время операции её легко отделить от окружающих тканей. Другая терапия малоэффективна[1].

Прогноз

Прогноз благоприятный, рецидивирование опухоли не возникает[10].

Диспансерное наблюдение

Рекомендаций нет.

Профилактика

Рекомендаций нет.

Примечания