Миксома сердца

Миксома сердца (МС) — первичная доброкачественную опухоль, которая развивается из мультипотентных мезенхимальных клеток эндокарда. Эти клетки способны дифференцироваться в нервные и эпителиальные клетки, а также продуцировать сосудистый эндотелиальный фактор роста, который стимулирует ангиогенез и способствует росту опухоли на ранних стадиях[1].

Общие сведения

Эпидемиология

Заболеваемость МС составляет 0,5 случая на 1 миллион населения среди взрослых людей в возрасте 30-60 лет. Согласно метаанализу 74 публикаций из разных стран, в котором участвовало 8849 пациентов с опухолями сердца, доброкачественные опухоли диагностируются в 84,6 % случаев, причём 68,7 % из них составляют МС. МС чаще встречаются как спорадические случаи, а в 4,5-10 % случаев имеют семейный (наследственный) характер. У женщин заболеваемость выше: соотношение мужчин и женщин с миксомой левого предсердия составляет 2:1, а правого предсердия — 1:0,75. Миксомы в основном выявляются у людей в возрасте 50-60 лет. К редким случаям относятся обнаружение опухоли в 97 лет, внутриутробная диагностика и выявление у детей[1].

Этиология

Мутации в гене PRKAR1A могут быть как наследственными (герминальными), так и спорадическими. Ген PRKAR1A кодирует регуляторную субъединицу 1-α протеинкиназы A, и его мутации приводят к развитию синдрома Карнея — аутосомно-доминантного заболевания, характеризующегося множественными неоплазиями, включая семейную форму МС[2].

Классификация

МС могут поражать любую камеру сердца, однако, наиболее часто они локализуются в левом предсердии. В 75 % случаев опухоли обнаруживаются в левом предсердии, в 15-20 % — в правом предсердии и в 3-4 % — в левом и правом желудочках. Миксомы чаще всего развиваются в области межпредсердной перегородки и овальной ямки, но могут также распространяться из передней или задней стенки предсердия. Такие характеристики типичны для одиночных спорадических миксом. В то же время семейные миксомы могут быть множественными, мультицентричными и возникать в атипичных местах. Поражение клапанов сердца миксомами наблюдается крайне редко[3].

Патогенез

Гистогенез МС остаётся не до конца изученным, однако существуют гипотезы, согласно которым они состоят из мультипотентных мезенхимальных клеток, окружённых миксоидной стромой. Эти клетки могут быть полигональными или звёздчатыми, с гиперхромными ядрами. Гистологически ткань миксомы идентифицируется по овальным или круглым ядрам и эозинофильной цитоплазме. Клетки могут располагаться поодиночке или группами, иметь звёздчатую, овальную или веретенообразную форму. Обычно они находятся в миксоидном матриксе, богатом мукополисахаридами. Вблизи основания или ножки опухоли часто обнаруживаются крупные толстостенные сосуды[2].

Миксомы сердца подразделяются на два основных макроскопических подтипа: солидные (плотные) и ворсинчатые. Солидные опухоли могут иметь сферическую или вытянутую форму с гладкой, блестящей, иногда волнистой поверхностью. Ворсинчатые опухоли характеризуются асимметричной, часто рыхлой папиллярной поверхностью[2].

Клиническая картина

undefined
undefined

Клинические проявления сердечной миксомы зависят от её локализации, размера и подвижности и обычно характеризуются триадой симптомов: нарушение внутрисердечной гемодинамики, эмболизация и конституциональные симптомы[4].

Нарушение внутрисердечной гемодинамики

Нарушение внутрисердечной гемодинамики чаще встречается при полиповидных миксомах. Из-за преимущественной локализации в левом предсердии типичным проявлением является псевдостеноз митрального клапана. Это может сопровождаться лёгочной гипертензией, а в тяжёлых случаях приводить к обморокам. Миксомы правого предсердия могут вызывать обструкцию трикуспидального клапана, что проявляется сердечной недостаточностью или даже коллапсом[4].

Эмболизация

Эмболизация характерна для ворсинчатых миксом из-за их рыхлой структуры и хрупкости. В целом, эмболия наблюдается у 30-40 % пациентов с миксомами. Локализация эмболии зависит от расположения опухоли. Миксомы левого предсердия чаще вызывают эмболию сосудов головного мозга, что может приводить к ишемическому инсульту, образованию аневризм, а также к окклюзии артерий сетчатки с потерей зрения. Также могут поражаться коронарные, почечные и периферические артерии. Эмболизация коронарных сосудов встречается редко, но может быть фатальной. Системная эмболия может затрагивать несколько органов, включая коронарные артерии, внутренние органы и конечности. Миксомы правых отделов сердца реже вызывают эмболию, но могут приводить к тромбоэмболии лёгочной артерии[4].

Конституциональные симптомы

Миксомы часто сопровождаются конституциональными симптомами, имитирующими воспалительные или системные заболевания соединительной ткани. Эти симптомы чаще встречаются у женщин, при правосторонних миксомах, а также при больших и мультицентрических опухолях. Типичные проявления включают слабость, потерю аппетита, лихорадку, артралгию и потерю веса. Патофизиология этих симптомов может быть связана с выделением цитокинов, особенно интерлейкина-6. Миксомы иногда проявляются лихорадкой неясного генеза и могут имитировать бронхиальную астму или туберкулёз лёгких. В редких случаях они сопровождаются плевральным выпотом[4].

Кожные миксоматозные эмболии встречаются крайне редко и обычно выявляются поздно при проведении биопсии кожи с гистологическим исследованием. Описан случай миксоматозной эмболии кожи ладони, которая была диагностирована при биопсии у пациента с МС[1].

Также описаны случаи, когда симптомы острого психоза стали первым проявлением миксомы левого предсердия. Диагноз был установлен на основании клинических признаков и данных компьютерной и магнитно-резонансной томографии у пациента с множественными хроническими инфарктами мозга, развившимися вследствие эмболии сосудов головного мозга[1].

Диагностика

Инструментальная диагностика

Эхокардиография

Классические признаки миксомы на эхокардиографии (ЭХОКГ) включают полиповидное или папиллярное образование, прикреплённое к межпредсердной перегородке через ножку, и его движение в полости предсердия, иногда с проникновением в желудочек через атриовентрикулярный клапан.

  • трансторакальная ЭХОКГ — наиболее практичный метод, который часто предоставляет достаточно информации для планирования хирургического вмешательства. Она позволяет определить локализацию, размер, форму опухоли и её связь с окружающими структурами;
  • чреспищеводная ЭХОКГ - обладает более высокой чувствительностью и специфичностью, особенно для выявления небольших опухолей, атипично расположенных миксом и мультикамерных поражений[1][4].

Электрокардиография

  • Специфических признаков нет. Могут наблюдаться признаки увеличения предсердий или гипертрофии желудочков. Фибрилляция предсердий встречается редко[4].

Лучевая диагностика

  • рентгенография грудной клетки имеет ограниченную ценность, но может показывать признаки митрального стеноза или кальцификации опухоли.
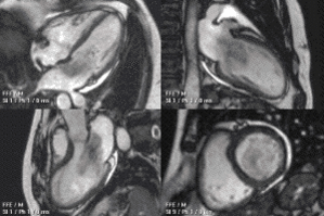
  • магнитно-резонансная томография предоставляет информацию о размере, форме, поверхности и подвижности миксомы. МС обычно изоинтенсивны на Т1-взвешенных изображениях и гиперинтенсивны на Т2-взвешенных изображениях.
  • компьютерная томография менее полезна для дифференциации миксом и тромбов, но может выявлять кальцификации, которые встречаются в 10-30 % случаев.
  • позитронно-эмиссионная томография может быть полезна для визуализации метаболической активности сердечной миксомы. Злокачественные опухоли, характеризующиеся высоким уровнем метаболизма глюкозы и выработкой молочной кислоты, активно накапливают фтордезоксиглюкозу, используемую в позитронно-эмиссионной томографии. Однако в случае миксом сердца накопление радиоактивного маркера может варьироваться по причинам, которые до конца не изучены;
  • ангиография используется редко из-за риска эмболии фрагментами опухоли. МС визуализируются как дефекты наполнения[1][4].

Лабораторные исследования

  • общий анализ крови: повышенный уровень СОЭ, может наблюдаться анемия;
  • биохимический анализ крови: повышенная концентрация С — реактивного белка;
  • цитогенетический анализ на мутации в гене PRKAR1A используется для диагностики синдрома Карнея[4].

Дифференциальная диагностика

Дифференциальный диагноз включает другие опухоли сердца: липомы, рабдомиомы и (редко) тератомы. Эти опухоли сердца, как правило, не на ножке и чаще прорастают в сердечную мышцу. Применение магнитно-резонансной томографии может помочь неинвазивно диагностировать опухоль сердца. Однако, для верификации диагноза обычно требуется изучения образца ткани патогистологом[5].

Лечение

При миксоме сердца предпочтительным методом лечения является хирургическое удаление опухоли, так как это обеспечивает наилучшие отдалённые результаты. Чтобы исключить наличие мультифокальных опухолей, во время операции осматриваются все камеры сердца, так как в редких случаях могут обнаруживаться дополнительные очаги. У пациентов пожилого возраста часто проводятся комбинированные операции, такие как аортокоронарное шунтирование, протезирование клапанов или операции на восходящей аорте. Такие вмешательства составляют 5-25 % всех операций у пациентов с МС[2].

Прогноз

Исследования показали, что 10-летняя выживаемость после хирургического удаления миксомы составляет 96,8±1,8 %, что свидетельствует о благоприятном долгосрочном прогнозе. Ранняя смертность после операции наблюдается в 2 % случаев, а поздняя — в 6,1 %. Рецидивы МС после хирургического удаления чаще встречаются при семейных формах заболевания (у каждого 5-10 пациента), тогда как при спорадических МС они возникают редко — в 1-3 % случаев. В среднем размеры опухоли интервал между удалением и рецидивом может варьироваться от нескольких месяцев до 8 лет[1].

Примечания

Литература

  1. Энциклопедический словарь медицинских терминов. В 3-х томах / Главный редактор Б. В. Петровский. — Москва: Советская энциклопедия, 1982. — Т. 1. — 1424 с. — 100 000 экз. Архивная копия от 29 августа 2009 на Wayback Machine
  2. Малая медицинская энциклопедия. — под ред. В. И. Покровского. — М.: Советская энциклопедия, 1991. — Т. 1. — 577 с. — ISBN 5-85270-040-1. Архивная копия от 6 декабря 2009 на Wayback Machine.
  3. Кардиология: Национальное руководство. Краткое издание / Под ред. Е. В. Шляхто. 2-е изд., перераб. и доп. М.: ГЭОТАР-Медиа, 2018: 617—634