Моноциты
Моноци́ты (от греч. μονος — «один» и κύτος — «вместилище», «клетка») — крупные лейкоциты системы мононуклеарных макрофагов, их диаметр в мазке крови достигает 18—20 мкм[1]. После выхода в кровь моноциты циркулируют в кровотоке 1—2 дня, после чего оседают в тканях и становятся резидентными макрофагами. Моноциты сами по себе являются клетками врождённого иммунитета и несут паттерраспознающие рецепторы и рецепторы хемокинов, благодаря которым они могут перемещаться в очаг воспаления, где секретируют провоспалительные цитокины и участвуют в фагоцитозе[2].
Структура
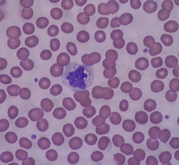
У взрослого человека на долю моноцитов приходится 6—8 % (по другим данным, 5—10 %[2]) общего числа лейкоцитов крови, кроме того, моноциты присутствуют в костном мозге и селезёнке (у взрослого человека до половины всех моноцитов располагается в селезёнке[3]). Моноциты крупнее прочих лейкоцитов: в капле крови их диаметр составляет 9—12 мкм, а в мазке они сильно распластываются, и их диаметр достигает 18—20 мкм[4]. Ядро может иметь различную форму: бобовидную, подковообразную, реже — дольчатую с многочисленными выпуклостями и углублениями. Хроматин менее конденсирован и красится светлее, чем хроматин в ядрах лимфоцитов[5]. В ядре моноцита гетерохроматин представлен зёрнами, рассеянными по всему ядру, также, как правило, он в больших количествах залегает под ядерной мембраной. В ядре присутствует одно или несколько мелких ядрышек[1].
Цитоплазма моноцитов менее базофильна, чем у лимфоцитов, и окрашивается бледно-голубым по Романовскому — Гимзе, причём цитоплазма на периферии клетки, как правило, темнее, чем цитоплазма вблизи ядра. В цитоплазме присутствуют мелкие азурофильные гранулы, которые представляют собой лизосомы и придают цитоплазме синевато-серый цвет при окрашивании мазка крови. Моноциты образуют пальцевидные выросты цитоплазмы и фагоцитозные вакуоли, в которые попадает фагоцитированный материал, а также пиноцитозные вакуоли. Моноциты содержат митохондрии небольшого размера и слабо развитые цистерны гладкого эндоплазматического ретикулума, а также шероховатый эндоплазматический ретикулум и аппарат Гольджи, участвующий в образовании лизосом[1][5].
Функции
Моноциты относятся к системе мононуклеарных макрофагов, также известной как ретикулоэндотелиальная система. Клетки ретикулоэндотелиальной системы происходят от промоноцитов костного мозга, способны к фагоцитозу и несут рецепторы иммуноглобулинов и компонентов системы комплемента. Моноциты, циркулирующие в кровотоке, представляют собой относительно незрелые клетки, которые находятся на пути из костного мозга в ткани, где они становятся тканевыми макрофагами. После пребывания в кровотоке в течение 36—104 часов моноциты оседают в тканях и становятся макрофагами, при этом в их цитоплазме возрастает количество лизосом, фагосом и фаголизосом[6].
Моноциты сами по себе представляют собой эффекторные клетки врождённого иммунитета и имеют паттернраспознающие рецепторы и рецепторы хемокинов, благодаря которым способны к миграции в очаг воспаления. В очаге воспаления моноциты осуществляют фагоцитоз и продуцируют провоспалительные цитокины, и под действием провоспалительного микроокружения моноциты дифференцируются в воспалительные макрофаги и воспалительные дендритные клетки, которые впоследствии мигрируют в лимфатические узлы и активируют CD4+ и CD8+ T-лимфоциты[2]. Производные моноцитов, такие как остеокласты, микроглия и другие тканевые макрофаги, являются антигенпрезентирующими клетками[5]. Показано, что активированные моноциты экспрессируют PD1, которые при активации соответствующим лигандом — PD-L1 — начинают продуцировать IL-10, активирующий T-хелперы типа Th2 и ингибирующий T-хелперы типа Th1[7].
Моноциты периферической крови человека подразделяют на три функционально различные субпопуляции на основании экспрессии поверхностных молекул CD14 и CD16, а также молекул адгезии и рецепторов хемокинов[2][8].
- Классические моноциты, композиция поверхностных маркёров которых выглядит как CD14++CD16-, составляют 85 % всех моноцитов крови человека. Они также несут паттернраспознающие рецепторы и скавенджер-рецепторы, с помощью которых опознают и фагоцитируют клетки микроорганизмов, липиды и отмершие клетки. Моноциты этой группы также выделяют большие количества антимикробных пептидов и продуцируют активные формы кислорода. Для классических моноцитов характерна экспрессия хемокинового рецептора CCR2, который распознаёт белок-хемоаттрактант MCP-1, за счёт которого моноциты попадают в очаги воспаления. Моноциты классического фенотипа выходят из костного мозга и селезёнки и при оседании в тканях становятся макрофагами или дендритными клетками[9].
- Промежуточные, или воспалительные моноциты (CD14++CD16+) обладают способностью к секреции провоспалительных цитокинов, таких как фактор некроза опухоли и IL-1β. На их долю приходится 5 % моноцитов крови, однако они особенно многочисленны в костном мозге[10]. Промежуточные моноциты несут на своей поверхности хемокиновые рецепторы CCR5 и CX3CR1, и под действием лигандов первого из них (в частности, RANTES и MIP-1α) моноциты этой субпопуляции мигрируют в ткани, где становятся воспалительными M1-макрофагами. Промежуточные моноциты также функционируют как антигенпрезентирующие клетки, так как экспрессируют молекулы главного комплекса гистосовместимости II класса (MHC-II) и CD74. Кроме того, они несут скавенджер-рецептор CD163[11].
- Неклассические моноциты (CD14+CD16++) составляют оставшиеся 10 % всех моноцитов в кровотоке. Они способны к адгезии к эндотелиальным клеткам за счёт рецептора CX3CR1, распознающего фракталкин. Неклассические моноциты осуществляют «патрулирование» стенок сосудов и постоянно проверяют их на наличие повреждений или патогенов, причём вирусы активируют их при участии TLR7 и TLR8 гораздо сильнее, чем антигены бактериального происхождения, такие как липополисахарид (есть сведения, что к подобному «патрулированию» способны и классические моноциты[12]). После оседания в тканях неклассические моноциты становятся противовоспалительными M2-макрофагами и продуцируют противовоспалительный цитокин IL-10[11].
У мышей выделяют две субпопуляции моноцитов крови: классические (воспалительные) и неклассические (патрулирующие)[11].
При беременности моноциты периферической крови играют важную роль в регуляции иммунного ответа и контролируют развитие плаценты. Моноциты у беременных женщин отличаются, в частности, усиленной адгезией к эндотелию. При миграции моноцитов в децидуальную оболочку матки они преобразуются в макрофаги, за счёт чего в этой ткани образуется пул макрофагов[13].
Развитие
Моноциты образуются в костном мозге от предшественников, известных как промоноциты — бипотентных клеток, дифференцировавшихся от гемопоэтических стволовых клеток. Созревание моноцитов известно как моноцитопоэз. После выхода в кровь моноциты циркулируют в кровотоке 1—3 дня, после чего оседают в тканях и становятся макрофагами или дендритными клетками. Моноциты являются самыми крупными клетками крови[14]. Около половины всех моноцитов взрослого человека находится в селезёнке в красной пульпе в обрасти трабекул Бильрота[3].
В условиях in vitro дифференцировку моноцитов в дендритные клетки можно запустить, добавив гранулоцитарно-макрофагальный колониестимулирующий фактор и интерлейкин 4[15]. Однако эти клетки всё же сохраняют черты моноцитов в своём транскриптоме и не являются полноценными дендритными клетками[16].
Клиническое значение
Моноцитоз — относительно редкое состояние, форма лейкоцитоза, при котором количество моноцитов в крови повышено (у человека превышает 800—1000 клеток на мм³ крови)[17]. Моноцитоз может наблюдаться при стрессе[18], ряде хронических заболеваний, таких как сахарный диабет[19] и атеросклероз[20], при бактериальных и протозойных инфекциях, а также при раковых заболеваниях, саркоидозе и коллагенозах[21]. При сепсисе может увеличиваться количество CD14+CD16++ моноцитов[22], а увеличение количества промежуточных (CD14++CD16+) моноцитов может служить фактором риска атеросклероза[23][24]. Злокачественное заболевание крови, сопровождающееся увеличением числа в крови моноцитов, незрелых и аномальных форм других клеток крови, известно как хронический миеломоноцитарный лейкоз[25]. При этом заболевании резко возрастает количество классических моноцитов при отсутствии неклассических[26], причём отсутствие неклассических моноцитов может использоваться как диагностический признак[27].
Монопения — форма лейкопении, при которой в крови снижается количество моноцитов. Крайне низкое количество моноцитов может наблюдаться после курса иммунодепрессантов Глюкокортикоидов[28]. Снижение количества неклассических моноцитов характерно для пациентов с наследственной диффузной лейкоэнцефалопатией, сопровождающейся образованием сфероидов. Причиной этого заболевания могут быть мутации в гене, кодирующем рецептор гранулоцитарно-макрофагального колониестимулирующего фактора[29].
Примечания
Литература
- Афанасьев Ю. И., Кузнецов С. Л., Юрина Н. А., Котовский Е. Ф. и др. Гистология, цитология и эмбриология. — 6-е изд., перераб. и доп.. — М.: Медицина, 2004. — 768 с. — ISBN 5-225-04858-7.
- Хаитов Р. М. Иммунология: структура и функции иммунной системы. — М.: ГЭОТАР-Медиа, 2019. — 328 с. — ISBN 978-5-9704-4962-2.
- Ярилин А. А. Иммунология. — М.: ГЭОТАР-Медиа, 2010. — 752 с. — ISBN 978-5-9704-1319-7.
- Anthony L. Mescher. Junqueira's Basic Histology (англ.). — McGraw-Hill Education, 2016. — ISBN 978-0-07-184270-9.




