Материал из РУВИКИ — свободной энциклопедии

Невринома

Невринома
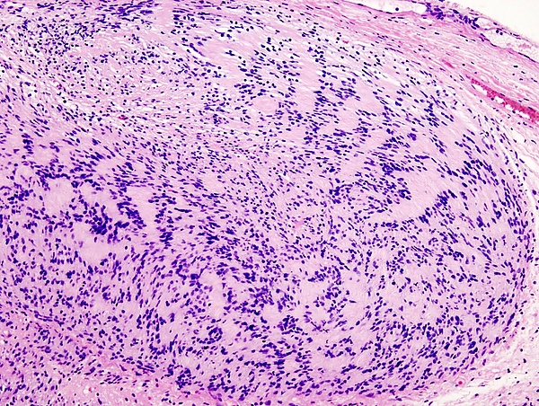
Микропрепарат опухоли окраска гематоксилин-эозин.
Микропрепарат опухоли окраска гематоксилин-эозин.
МКБ-10 D36.1
МКБ-9 225.8
МКБ-О M9560/0
DiseasesDB 33713
MeSH D009442
Логотип РУВИКИ.Медиа Медиафайлы на РУВИКИ.Медиа

Неврино́ма (шванно́ма, шванноглио́ма, неврилеммо́ма, нейрино́ма, леммобласто́ма, периневра́льная фибробласто́ма) — опухоль, растущая из шванновских клеток, образующих миелиновую оболочку нервов. Термин предложен Верокаи и широко распространён[1].

Невриномы являются доброкачественными опухолями. Наиболее частой локализацией является слуховой нерв[1][2]. Опухоль поражает различные нервные стволы, при этом чаще других страдают черепные нервы и спинномозговые корешки. Образование носит, как правило, доброкачественный характер. Заболевание возникает у мужчин и у женщин любого возраста, но преимущественно среднего и старшего[3].

Реже опухоль может стать злокачественной, тогда её называют злокачественной опухолью периферических нервных окончаний.

Патогенез

Одна из причин начала развития опухолевого процесса — мутация генов в 22-й хромосоме, однако сами причины этой мутации так и остаются неизвестными. Среди провоцирующих факторов, которые могут вызвать данную патологию, выделяются следующие:

  • воздействие радиации;
  • длительный контакт с различными химическими веществами;
  • диагностирование нейрофиброматоза второго типа;
  • наследственная предрасположенность к опухолям;
  • наличие других опухолей.

Существенную роль в патогенезе играет и генетическая предрасположенность, особенно если у любого из родителей диагностировано такое заболевание, как нейрофиброматоз второго типа[4].

Эпидемиология

Опухоль относится к довольно распространенным доброкачественным новообразованиям детского возраста, данные опухоли составляют 8 % образований первично возникших в полости черепа, и 20 % развившихся в спинном мозге.

Патологическая анатомия

Макроскопически невринома имеет вид плотного, ограниченного узла округлой, овальной или неправильной формы. Поверхность узла неровная, бугристая. Невринома покрыта соединительнотканной капсулой. Ткань опухоли на разрезе бледно-серая, с участками, имеющими жёлтый, ржавый оттенок за счёт жировых отложений, либо буро-коричневый цвет (следы старых кровоизлияний). Окраска ткани может меняться в зависимости от условий кровоснабжения опухоли; при венозном застое она приобретает синюшный оттенок. В ткани опухоли часто встречаются кисты различных размеров, заполненные буро-коричневой жидкостью. Кистозное перерождение может отмечаться во всей опухоли, либо её части. Часто наблюдаются обширные поля фиброза[3].

Невринома состоит из веретенообразных клеток с палочкоподобными ядрами. Клетки и волокна опухоли образуют «палисадные» структуры (ядерные палисады, тельца Верокаи) с участками, состоящими из волокон.

Традиционно различают два гистологических типа неврином: тип Верокаи, или тип А, и тип Антони, или тип Б. Данное разделение условно и практического значения для диагностики не имеет. Советский нейрохирург, академик АМН СССР Б. Егоров при исследовании неврином слухового нерва обнаружил, что их структурное многообразие зависит не от свойств опухолевой ткани, а от деструктивных и рубцовых процессов[1].

Микроскопическое строение опухоли на разных стадиях роста может быть различным в зависимости от интенсивности дистрофических процессов и нарушений кровообращения. Нарушения кровообращения сопровождаются скоплением гемосидерина и разрастанием фиброзной ткани. Всё это создаёт пёструю гистологическую картину[1].

Количество сосудов в ткани опухоли значительно колеблется. Периферические отделы обычно окружены богатой сосудистой сетью: в центральных участках их количество варьирует от одиночных, до сосудистых клубков, напоминающих по строению кавернозную ангиому. Стенки сосудов тонкие, иногда образованы одним слоем эндотелия, но могут встречаться сосуды с резко утолщёнными гилинизированными стенками[1].

Многообразные изменения, возникающие в результате присущих для неврином дистрофических процессов, послужили поводом для выделения различных гистологических типов[1]:

  • эпителиоидного — с плотным расположением клеток и слабой выраженностью волокнистой ткани
  • ангиоматозного — с образованием кавернозных полостей
  • ксантоматозного — со значительными скоплениями ксантомных клеток
  • и т. д.

Невриномы, как правило, не инфильтрируют окружающие ткани, но вызывают их интенсивное сдавление. Малигнизация происходит редко. Она сопровождается изменением морфологической картины, которая приобретает сходство с так называемыми неврогенными саркомами[1].

Клиника

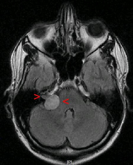
МРТ головного мозга. Невринома слухового нерва указана стрелками

Клиническая картина зависит от локализации невриномы. При наиболее часто встречающемся типе — невриноме слухового нерва она проявляется постепенным снижением слуха на одно ухо. В дальнейшем присоединяются стволовые и мозжечковые нарушения, больше выраженные на стороне опухоли. Данные симптомы вызваны сдавлением соответствующих отделов невриномой. Признаки повышения внутричерепного давления развиваются относительно поздно[2].

При невриномах корешков спинного мозга развиваются симптомы раздражения и сдавления спинного мозга. При невриномах периферических нервов клиническая картина состоит из симптомов раздражения и выпадения функций соответствующих нервов. При типичных формах неврином течение процесса медленное, доброкачественное[1].

Диагностика

Методом выбора при диагностике является магнитно-резонансная томография.

Лечение

Лечение заболевания преимущественно хирургическое, при крупных размерах опухоли, или в тех случаях когда из-за её расположения технически невозможно выполнить оперативное вмешательство, используют лучевую терапию.

Прогноз

Прогноз заболевания в целом благоприятный, после адекватного хирургического лечения заболевание полностью устраняется, без последствий для больного.

Примечания

  1. 1 2 3 4 5 6 7 8 Авцын А. П., Вихерт Т. М. Невринома // Большая медицинская энциклопедия / под общей редакцией Б. В. Петровского. — 3-е издание. — М.:: "Советская энциклопедия", 1981. — Т. 16. — С. 245—247. — 512 с. — 150 000 экз.
  2. 1 2 Deng, Xueyun, Liu, Lizhen, Zhen, Zhiming, Chen, Quan, Liu, Lihua, Hui, Xuhui. Cognitive decline in acoustic neuroma patients: An investigation based on resting-state functional magnetic resonance imaging and voxel-based morphometry (англ.) // Frontiers in Psychiatry. — 2022-08-01. — Т. 13. — ISSN 1664-0640. — doi:10.3389/fpsyt.2022.968859/full.
  3. 1 2 Митьковский С. В. Невринома (шваннома) - симптомы, причины, лечение, диагностика. fnkc-fmba.ru. ФНКЦ ФМБА России. Дата обращения: 25 февраля 2025.
  4. Лутков М.А., Дубских А.О. Хирургическое лечение гигантской невриномы шейного и грудного отделов позвоночника // Уральский медицинский журнал. — 2018. — № 11 (166). — С. 53-56. — doi:10.25694/URMJ.2018.11.22.

Ссылки