Астробластома
Астробластома — это редкая первичная опухоль головного мозга нейроэпителиального происхождения, относящаяся к глиальным новообразованиям[1][2].
Эпидемиология
Астробластома является редкой опухолью и составляет лишь 0,45-2,8 % всех глиом головного мозга. Распределение случаев астробластомы по возрасту бимодально, что предполагает два пика диагностики: в возрасте 5-10 лет и 21-30 лет. Частота возникновения астробластомы у женщин значительно превышает частоту возникновения у мужчин, составляя 1:11. Хотя ряд публикаций указывает на генетическую предрасположенность к заболеванию у женщин, точные причины этого заболевания остаются неизвестными[3][4].
Этиология
В литературе до сих пор существуют разногласия относительно этиологии данной опухоли. Бейли и Бьюси полагали, что астробластома происходит из астробластов — промежуточной стадии между глиобластами и астроцитами. Позднее Рассел и Рубинштейн предположили, что астробластомы являются результатом дедифференцировки зрелых астроглиальных клеток. Позднее, в исследовании Рубинштейна и Хермана с использованием электронной микроскопии было доказано, что астробластомы происходят из сохраняющихся групп эмбриональных предшественников, переходных между астроцитами и эпендимальными клетками. В связи с отсутствием консенсуса, на данный момент астробластомы классифицируются ВОЗ как «другие нейроэпителиальные опухоли»[4][5].
Клиническая картина
Внутричерепная гипертензия
У большинства пациентов отмечаются эпизодические головные боли, длящиеся несколько недель. Длительность симптоматики варьируется у разных пациентов и зависит от стадии опухоли. Как низкодифференцированные, так и высокодифференцированные формы астробластомы могут вызывать выраженный болевой синдром. Астробластомы нарушают нормальное функционирование окружающих областей головного мозга. Головная боль, судороги, рвота и очаговый неврологический дефицит являются наиболее часто встречающимися симптомами[4][6].
Выраженная сонливость
Наряду с внутричерепной гипертензией пациенты испытывают сонливость, степень выраженности которой увеличивается по мере прогрессирования опухоли. В первые месяцы заболевания симптоматики, как правило, не выраженная, однако, со временем симптомы становятся более выраженными, особенно в вечерние и ночные часы. Сонливость может негативно сказываться на витальных функциях, снижая уровень энергии и мотивацию к выполнению даже простых когнитивных задач[6].
Частая тошнота
Тошнота наблюдается практически во всех случаях астробластомы, особенно при низкодифференцированных опухолях. Частые эпизоды рвоты приводят к значительной потере массы тела[4][7].
Нарушение зрения
Зрительные расстройства, как правило, возникают при локализации опухолевых очагов в затылочной доле головного мозга. Это приводит к затуманенному восприятию окружающего мира и повышенной светочувствительности. Пациенты испытывают трудности с фокусировкой на мелких предметах, а также с определением границ и контуров объектов. Увеличение размеров опухоли может привести к сужению периферического зрения. В некоторых случаях наблюдаются горизонтальный нистагм и другие офтальмологические нарушения[8].
Снижение чувствительности
В тяжёлых случаях, когда опухоль поражает структуры центральной нервной системы, происходит компрессия или паралич спинного мозга, что приводит к снижению чувствительности в верхних и нижних конечностях[9].
Судорожный синдром
Судороги чаще наблюдаются у пожилых пациентов[7].
Психотические эпизоды
Астробластомы могут постепенно приводить к дестабилизации психического состояния пациента. Галлюцинации могут нарушать когнитивные функции до такой степени, что пациент начинает испытывать потерю идентичности, однако в клинической практике это встречается редко[9].
Когнитивная дисрегуляция
Наиболее распространённые формы когнитивных нарушений включают раздражительность, агрессивность, снижение памяти, неврологический дефицит и рассеянность при выполнении повседневных задач. Вербальная коммуникация также может быть нарушена, но, как правило, не до такой степени, чтобы окружающие люди могли чётко определить наличие когнитивного дефицита[6][8].
Диагностика
Диагностика астробластомы представляет собой сложную задачу из-за её редкости и схожести с другими глиальными новообразованиями. Для точной диагностики используется комплексный подход, включающий клиническую оценку, нейровизуализационные методы и гистопатологическое исследование[4].
Нейровизуализация
Магнитно-резонансная томография (МРТ) является предпочтительным методом визуализации. На МРТ астробластома обычно представляется как хорошо отграниченная масса. Могут наблюдаться как солидные, так и кистозные компоненты, а также периферический отек. После введения контрастного вещества отмечается интенсивное и однородное накопление контраста опухолью[4][10].
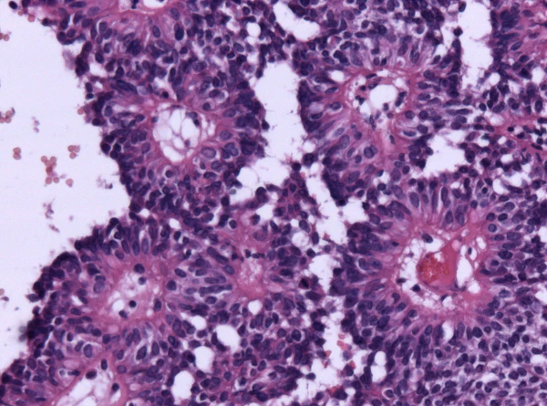
Гистологическое исследование
Окончательный диагноз устанавливается на основе гистологического и иммуногистохимического анализа опухолевой ткани. Характерными признаками астробластомы являются периваскулярные псевдорозетки, образованные опухолевыми клетками с эозинофильной цитоплазмой и эксцентрично расположенными ядрами. Иммуногистохимически клетки опухоли часто экспрессируют глиальный фибриллярный кислый белок и белок S-100, что подтверждает их глиальное происхождение[4][11].
Генетическое исследование
Данные о генетических аспектах астробластомы появились в литературе лишь недавно. Астробластомы имеют характерные хромосомные аберрации, поскольку они демонстрируют увеличение хромосом 19 и 20. Эти аномалии отличаются от аномалий эпендимом или астроцитарных опухолей, что позволяет предположить, что астробластома представляет собой отдельную форму опухоли, а не вариант эпендимомы[4].
Лечение
Хирургическое лечение
Полное хирургическое удаление опухоли остаётся стандартом лечения астробластомы, несмотря на высокий уровень рецидивов при опухолях высокой степени злокачественности. Поскольку случаев астробластомы регистрируется крайне мало во всем мире, хирургическая тактика может варьироваться. Астробластомы низкой степени злокачественности демонстрируют относительно низкий риск рецидива после хирургического вмешательства, однако, существуют клинические данные, свидетельствующие о том, что у некоторых пациентов, независимо от тяжести поражения, опухоль может непредсказуемо рецидивировать[4][12][13].
Лучевая терапия избирательно уничтожает клетки астробластомы, при этом не повреждая окружающие нормальные ткани головного мозга. Эффективность лучевой терапии после выполнения первичного хирургического вмешательства варьируется. Традиционная дистанционная лучевая терапия имеет как положительные, так и отрицательные эффекты для пациентов, но на данный момент она не рекомендуется в качестве универсального метода лечения. Чувствительность астробластомы к лучевой терапии остаётся неясной, поскольку одни исследования подтверждают её эффективность, а другие ставят под сомнение целесообразность применения[13].
Химиотерапия является вторым по эффективности методом лечения после хирургической резекции. Этот метод уничтожает оставшиеся после операции клетки астробластомы и способствует переходу оставшихся опухолевых клеток в неделящийся, доброкачественный фенотип. Обычно химиотерапию не назначают до второго хирургического вмешательства, что свидетельствует о высокой степени злокачественности опухоли и её склонности к рецидиву каждые несколько месяцев[14].
Прогноз
Прогноз астробластомы зависит от гистологических особенностей и объёма резекции. Астробластомы низкой степени злокачественности имеют лучший прогноз, чем астробластомы высокой степени злокачественности. Прогноз астробластомы высокой степени соответствует прогнозу анапластических астроцитом и связан с рецидивами и прогрессированием. Пожилой возраст и супратенториальное расположение являются факторами неблагоприятного прогноза. Пациенты с расположение опухоли в мозжечке имеют более благоприятный прогноз, что связано с ранним появлением клинической симптоматики, что приводит к более быстрой диагностике и своевременному началу лечению[4][15].


