Материал из РУВИКИ — свободной энциклопедии

Хондросаркома

Хондросаркома
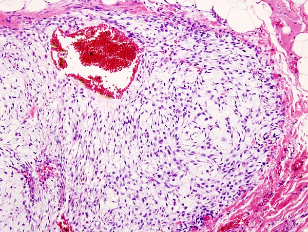
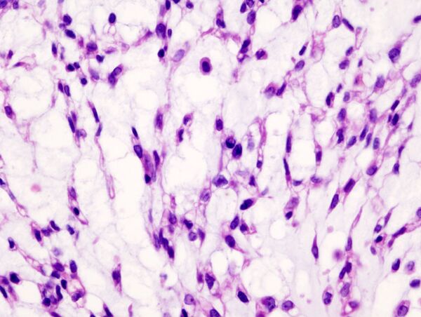
Гистограмма хондромы стенки грудной клетки. Окрашено гематоксилином и эозином.
Гистограмма хондромы стенки грудной клетки. Окрашено гематоксилином и эозином.
МКБ-11 XH8J23
МКБ-10-КМ C49.9
МКБ-9 170.9
МКБ-9-КМ 170.9[1]
МКБ-О 9220/3
OMIM 215300
DiseasesDB 2597
MeSH D002813
Логотип РУВИКИ.Медиа Медиафайлы на РУВИКИ.Медиа

Хондросаркóма — злокачественная опухоль кости. Наблюдается преимущественно в среднем и пожилом возрасте, причём у мужчин в два раза чаще, чем у женщин.

Может возникать в любой кости (будь то длинная трубчатая, плоская или короткая), развивающаяся из хряща путём энхондрального окостенения. Чаще локализуется в костях таза, плечевого пояса и ребрах, реже в конечностях и позвоночнике. Нередко поражает проксимальные концы бедренной и плечевой кости.

У 10-15 % больных хондросаркомы развиваются вторично из предшествующих патологических процессов: остеохондроматоз, энхондромы, экхондромы, солитарные остеохондромы, болезнь Олье (дисхондроплазия), болезнь Пэджета (деформирующая остеодистрофия)[2].

Классификация

Хондросаркомы могут возникать первично (de novo), или вторично в существующем хрящевом образовании[3].

Термин «хондросаркома» используется для обозначения гетерогенной группы опухолей с различными морфологическими свойствами и клиническими проявлениями. В зависимости от происхождения хондросаркомы делятся на первичные и вторичные, а в соответствии с локализацией в поражённой кости — на центральные (костномозговые) и периферические (поверхностные) формы[4].

Первичные
  • интрамедуллярная хондросаркома (первичная центральная хондросаркома)
  • юкстокортикальная хондросаркома
  • светлоклеточная хондросаркома
  • миксоидная хондросаркома
  • мезенхимальная хондросаркома
  • внескелетная хондросаркома
  • дедифферинцированная хондросаркома
Вторичные
  • из остеохондромы
    • солитарная остеохондрома
    • наследственные множественные экзостозы
  • из энхондромы
    • солитарная энхондрома
    • болезнь Олье
    • синдром Маффучи

Этиология

Точные причины первичной хондросаркомы до сих пор неясны и неизвестны.

Симптомы

  1. Сильные бедренные боли (в результате сдавления опухолью седалищного нерва), боли в спине и крестце, реже в позвоночнике, которые усиливаются по мере роста опухоли.
  2. Затруднения движения суставов, сопровождающихся сильной болью.
  3. Частая отечность над местом локализации опухоли.
  4. Пояснично-крестцовый радикулит.

Клиника и диагностика

Основным признаком озлокачествления хондромы является внезапное увеличение размеров ранее существовавшей доброкачественной опухоли. Клиническое течение хондросарком обычно медленное. Опухоль постепенно распространяется по длиннику (диафизу) кости. Инфильтрация, прорастание и разрушение коркового слоя кости опухолью происходит медленно При прорыве опухоли через надкостницу в мягкие ткани её рост обычно ускоряется. Быстро текущие формы хондросарком наблюдается примерно у 10 % больных.

Характерным является гематогенное метастазирование в лёгкие, которое наблюдается значительно реже и позже, чем при остеосаркомах. Местные рецидивы часты и более злокачественны, чем первичные опухоли.

Диагностика

Ведущим методом распознавания хондросарком является рентгенологическое исследование.

  • Рентгенологическими признаками озлокачествления опухоли хрящевой ткани являются быстрое нарастание деструкции, разрушение кортикального слоя, которое может наблюдаться на небольшом участке, выхода опухоли в прилежащие к кости мягкие ткани. Периостальные наслоения в виде козырька или спикул выражены нерезко.

Хондросаркома разделяется на:

  • Центральную (возникает внутри кости)
  • Периферическую (возникает на поверхности кости)
  • Эпиэкзостотическую (похожа на эпиэкзостотическую хондрому)[5].

Патологическая анатомия

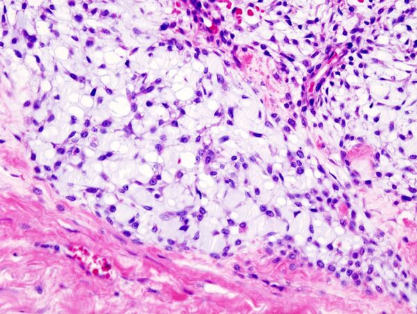
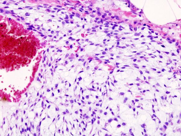
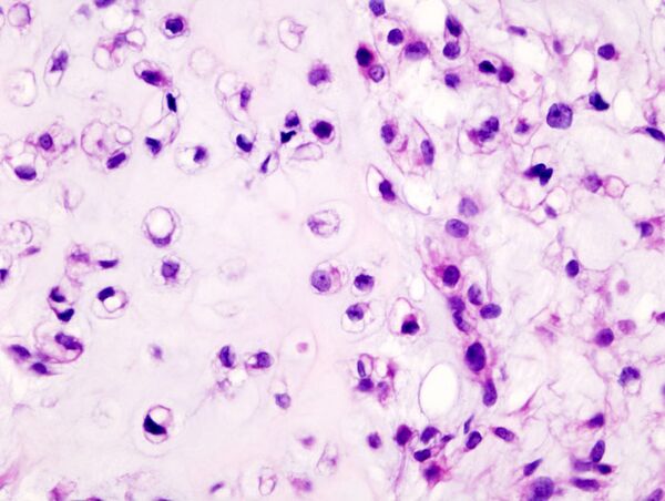
Хондросаркома — злокачественная опухоль хрящевого строения. Хондросаркома периферической локализации хорошо выявляется в виде плотной опухоли, прилегающей к кортикальному слою кости, иногда прорастающей в кость на различную глубину. В ней могут быть очаги оссификации и петрификаты. Опухоль плотноэластической консистенции, при наличии ослизнения, распада или кровоизлияний — более мягкая, не имеет ясного ограничения от соседней ткани. При разрезе нетрудно определить хрящевой её характер. При микроскопическом исследовании опухоль напоминает иногда хондрому, состоит из незрелых клеток с резко выраженным клеточным атипизмом. Часто рисунок опухоли имеет вид микросаркомы, в которой можно найти участки хрящевой ткани с плохо оформленными ячейками, содержащие неправильной формы хондробласты.

Лечение

  • Оперативное вмешательство — включает в себя полное иссечение первичной опухоли вместе с метастазами. Нередко приходится делать ампутации и экзартикуляции конечности с половиной таза или плечевым поясом.
  • Лучевая терапия — подходит только для ранних стадий хондросарком, так как в более поздних стадиях опухоли устойчивы к радиоизлучению.
  • Химиотерапия — подходит для высокодифференцированной и мезенхимной хондросаркомы, которые очень чувствительны к химиотерапевтическим препаратам.
  • Комплексные терапии включают в себя наиболее эффективные методы лечения при всех типах хондросарком — радиохирургическое либо химиохирургическое лечение.

Прогноз

Прогноз у больных хондросаркомами после радикального радиохирургического лечения значительно лучше, чем у больных остеосаркомами. После оперативного лечения 5 лет и более живут 17-25 % больных.

Фотографии

Примечания

  1. Monarch Disease Ontology release 2018-06-29sonu — 2018-06-29 — 2018.
  2. Julian Fromm, Alexander Klein, Andrea Baur-Melnyk, Thomas Knösel, Lars Lindner, Christof Birkenmaier, Falk Roeder, Volkmar Jansson, Hans Roland Dürr. Survival and prognostic factors in conventional G1 chondrosarcoma (англ.) // World Journal of Surgical Oncology. — 2019-09-03. — Vol. 17, iss. 1. — ISSN 1477-7819. — doi:10.1186/s12957-019-1695-4.
  3. WHO classification of bone tumors. Дата обращения: 12 марта 2018. Архивировано из оригинала 8 мая 2018 года.
  4. Берченко Г. Н., Шугаева О. Б. Трудности диагностики хондросарком кости различной степени злокачественности. www.cito-priorov.ru. Дата обращения: 16 января 2025.
  5. Трудности диагностики хондросарком кости различной степени злокачественности. (Г.Н. Берченко, О.Б. Шугаева). www.cito-priorov.ru. Дата обращения: 16 января 2025.

Литература

  • Онкология — учебник для мед. ин-тов / Б. Е. Петерсон. — М.: Медицина, 1980. — 447 с.: ил. — 01.20 р.
  • Общая онкология / Под ред. Н. П. Напалкова.— Л., 1989.
  • Справочник по онкологии /Под ред. акад. РАМН Н. Н. Трапезникова и проф. И. В. Поддубной. М., 1996.

Ссылки

См. также