Лейкоз
Лейко́з (греч. λευκός — белый) (лейкеми́я (греч. λευκός — белый и греч. αἷμα — кровь), алейкеми́я[3], белокровие, Гемобластозы) — клональное злокачественное (неопластическое) заболевание кроветворной системы. К лейкозам относится обширная группа заболеваний, различных по своей этиологии. При лейкозах злокачественный клон может происходить как из незрелых гемопоэтических клеток костного мозга, так и из созревающих и зрелых клеток крови.
Лейкоз выражается системной диффузной гиперплазией всего клеточного аппарата, продуцирующего лейкоциты, независимо от того, сопровождаются ли они белокровием или протекают без него[4].
Что важно знать
Факторы, ассоциированные с повышенным риском лейкозов
По данным Mayo и ACS, точные причины возникновения лейкозов науке неизвестны[5].
Среди факторов, коррелирующих с повышенным риском возникновения лейкозов (по данным Mayo): некоторые виды химиотерапии и радиотерапии, отдельные генетические нарушения, воздействие ряда химикатов, курение (выше риск острого миелобластного лейкоза), наследственность (случаи лейкозов в семье)[5].
Патогенез
При лейкозе опухолевая ткань первоначально разрастается в месте локализации костного мозга и постепенно замещает нормальные ростки кроветворения. В результате этого процесса у больных лейкозом закономерно развиваются различные варианты цитопений — анемия, тромбоцитопения, лимфоцитопения, гранулоцитопения, что приводит к повышенной кровоточивости, кровоизлияниям, подавлению иммунитета с присоединением инфекционных осложнений.
Метастазирование при лейкозе сопровождается появлением лейкозных инфильтратов в различных органах — печени, селезёнке, лимфатических узлах и др. В органах могут развиваться изменения, обусловленные обтурацией сосудов опухолевыми клетками — инфаркты, язвенно-некротические осложнения.
Лейкоз КРС Т-клеточный лейкоз человека вызываются вирусами (Т-лимфотропный вирус человека).
Классификация лейкозов
Можно выделить 5 основных принципов классификации:
- острые, из незрелых клеток (бластов)
- хронические, созревающие и зрелые клетки.
Острый лейкоз никогда не переходит в хронический, а хронический не может обостриться. Таким образом, термины «острый» и «хронический» используются только из-за удобства, значение этих терминов в гематологии отличается от значения в других медицинских дисциплинах. Для хронических лейкозов характерны периоды «обострения» — бластные кризы, когда картина крови становится похожей на острый лейкоз.
- недифференцированные,
- бластные,
- цитарные лейкозы.
Эта классификация основывается на представлениях о кроветворении.
- Острые лейкозы по цитогенезу подразделяются на:
- лимфобластный,
- миелобластный,
- монобластный,
- миеломонобластный,
- эритромиелобластный,
- мегакариобластный,
- недифференцированный.
- Хронические лейкозы представлены лейкозами:
- миелоцитарного происхождения:
- хронический миелоцитарный лейкоз,
- хронический нейтрофильный лейкоз,
- хронический эозинофильный лейкоз,
- хронический базофильный лейкоз,
- миелосклероз,
- эритремия/истинная полицитемия,
- эссенциальная тромбоцитемия,
- лимфоцитарного происхождения:
- хронический лимфолейкоз,
- парапротеинемические лейкозы:
- миеломная болезнь,
- первичная макроглобулинемия Вальденстрема,
- болезнь тяжелых цепей Франклина,
- лимфоматоз кожи — болезнь Сезари,
- моноцитарного происхождения:
- хронический моноцитарный лейкоз,
- хронический миеломоноцитарный лейкоз,
- гистиоцитоз X.
- миелоцитарного происхождения:
С точки зрения данной классификации можно говорить об относительном переходе хронических лейкозов в острые лейкозы при продолжающемся, длительном действии этиологических факторов (действие вирусов, ионизирующего излучения, химических в-в и т. д.). То есть, кроме нарушений клеток-предшественниц миело- или лимфопоэза, развиваются нарушения, характерные для острых лейкозов; происходит «осложнение» течения хронического лейкоза.
В настоящее время стало возможным проводить более точное типирование опухолевых клеток в зависимости от их иммунного фенотипа по экспрессии CD19, CD20, CD5, легких цепей иммуноглобулинов и других антигенных маркеров.
- лейкемические (более 50—80×109/л лейкоцитов, в том числе бласты),
- сублейкемические (9-50×109/л лейкоцитов, в том числе бласты),
- лейкопенические (содержание лейкоцитов в периферической крови ниже нормы, но есть бласты),
- алейкемические (содержание лейкоцитов в периферической крови ниже нормы, бласты отсутствуют).
Морфологические особенности
При высоком блоке дифференцировки лейкозные клетки могут напоминать стволовые и бластные клетки первых четырёх классов клеток-предшественниц. Поэтому по степени дифференцировки эти лейкозы называют бластными и недифференцированными. Поскольку они протекают остро, то можно говорить, что острые лейкозы — это бластные и недифференцированные лейкозы.
При низком блоке дифференцировки лейкозные клетки напоминают процитарные и цитарные клетки-предшественницы, лейкозы протекают менее злокачественно, хронически и называются цитарными.
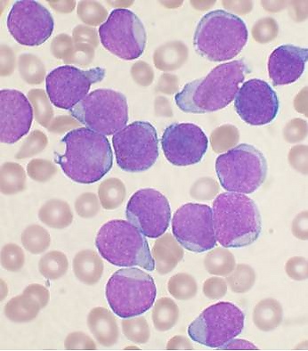
Основные клинические признаки острых лейкозов:
- большое количество бластных клеток и их преимущество (более 30 %, чаще 60—90 %);
- «лейкемический провал» — исчезновение промежуточных форм клеток на фоне большого количества бластов;
- одновременное наличие абазофилии и анэозинофилии;
- быстропрогрессирующая анемия.
Основные клинические признаки хронических лейкозов (признаки те же, но с точностью наоборот):
- небольшое количество бластных клеток или их отсутствие (менее 30 %, чаще 1—2 %);
- отсутствие «лейкемического провала», то есть наличие промежуточных форм клеток (промиелоциты и миелоциты);
- базофильно-эозинофильная ассоциация, то есть одновременное наличие базофилии и эозинофилии;
- медленнопрогрессирующая анемия с увеличением скорости своего развития в период своего обострения.
Диагностика
В диагностике лейкозов большое значение имеет морфологическое исследование. Основными методами прижизненной морфологической диагностики являются исследования мазков периферической крови и биоптатов костного мозга, которые получают при трепанобиопсии гребня подвздошной кости или пункции грудины, а также других органов.
Лечение
При хронических лейкозах врач выбирает поддерживающую тактику, цель которой — отсрочить или исключить развитие осложнений. Острый лейкоз требует немедленного лечения, которое включает в себя приём высоких доз химиотерапевтических средств, что даёт возможность организму очиститься от лейкозных клеток. После этого, при необходимости, назначается трансплантация здоровых донорских клеток костного мозга[6][7].
Примечания
Литература
- Герценштейн Г. М. Белокровие // Энциклопедический словарь Брокгауза и Ефрона : в 86 т. (82 т. и 4 доп.). — СПб., 1890—1907.
- Патологическая анатомия. Курс лекций / Под ред. В. В. Серова, М. А. Пальцева. — М.: Медицина, 1998. — 640 с. — ISBN 5-225-02779-2.
- Масчан М. А. и др. Что важно знать о лейкозах и об их лечении. Москва, 2011.
- Фигель М. Эпидемиология, патогенез и этиология острого лейкоза. Пер. с англ. Н. Д. Фирсовой (2017).
Ссылки
- Гематологический Научный центр РАМН
- Leukemia / American Cancer Society (англ.)


