Гемангиобластома
Гемангиобласто́ма (др.-греч. αἷμα — «кровь» + ἀγγεῖον — «сосуд» + βλαστός — «зародыш» + -ωμα — сокращение от ὄγκωμα «опухоль») — доброкачественная опухоль неясного гистологического происхождения.
Наиболее характерным местом локализации является задняя черепная ямка[1][2][3]. Может возникать спорадически или в сочетании с новообразованиями внутренних органов, что является характерным для наследственной болезни Гиппеля — Линдау[4].
Клинически в большинстве случаев проявляется симптомами нарушения оттока спинномозговой жидкости и/или поражения мозжечка. Прогноз при спорадических гемангиобластомах положительный, они не возникают повторно после их полного удаления хирургическим путём.
У пациентов с болезнью Гиппеля — Линдау прогноз менее позитивен: даже полное удаление очага не предотвращает возникновения новых опухолей подобного типа[5].
Что важно знать
История изучения
Изучение гемангиобластом во многом связано с исследованиями наследственного заболевания — болезни Гиппеля — Линдау. Немецкий офтальмолог Евгений фон Гиппель в 1904 году описал характерные для болезни изменения сетчатки глаза[6]. В 1926 году шведский патолог Арвид Линдау описал характерные изменения центральной нервной системы — гемангиобластомы мозжечка и спинного мозга[2]. А. Линдау на вскрытии 50 больных с изменениями на сетчатке, характерными для описанного Гиппелем заболевания, обнаружил характерные изменения в области мозжечка у 10 из них. У двух больных именно они стали непосредственной причиной смерти[2].
В 1927 году Линдау сделал литературный обзор 15 наблюдений «ангиоматоза нервной системы». В этой работе он провёл описание характерных для заболевания изменений внутренних органов. После классических работ шведского учёного, именем которого стала называться патология, стали появляться другие публикации, которые, цитируя Линдау, описывали сходные клинические наблюдения[2].
В частности, в 1928 году основоположник американской и мировой нейрохирургии Х. Кушинг описал 11 пациентов, прооперированных по поводу гемангиобластом мозжечка[2]. Из них пятеро умерло либо непосредственно после операции, либо короткое время спустя — высокая смертность после нейрохирургических операций была характерна для описываемого времени[7]). Ознакомившись с работами Линдау, Кушинг провёл дообследование 6 пациентов. У одного из них на сетчатке были обнаружены описанные Гиппелем и Линдау изменения. Кроме этого, Кушинг показал наследственный характер процесса. Также проанализировав своё наблюдение и описанные Линдау случаи, он отметил, что первые клинические проявления болезни возникают во взрослом возрасте и отсутствуют в детском[2].
В своей работе Кушинг сделал вывод, что при обнаружении характерных изменений на сетчатке следует обратить внимание на наличие или отсутствие симптомов поражения мозжечка, так как при лечении на ранних стадиях развития заболевания результаты будут лучшими[2].
Эпидемиология
Гемангиобластомы составляют около 2 % всех внутричерепных новообразований и около 10 % опухолей задней черепной ямки[8][9]. Их доля среди интрамедуллярных опухолей спинного мозга составляет от 2 до 3 %[10][11][12]. Очень редко наблюдаются в области конуса и корешков спинного мозга, концевой нити и периферических нервов[13][14][15][16]. В четверти наблюдений данная патология является одним из проявлений болезни Гиппеля — Линдау. При этом следует подчеркнуть, что в ряде случаев больные с данными опухолями не проходят соответствующий скрининг на определение болезни Гиппеля — Линдау. Соответственно доля ассоциированных с ней гемангиобластом может быть большей[8][9].
Спорадические гемангиобластомы чаще возникают у больных в 40—50-летнем возрасте, в то время как ассоциированные с болезнью Гиппеля — Линдау — в 20—30-летнем[1][3]. Мужчины болеют чаще женщин — 1,3—2:1[8][17].
Патологическая анатомия
Макроскопически данные новообразования представлены двумя вариантами[18]:
- Мягкотканные опухоли, которые имеют вид тёмно-вишнёвого инкапсулированного узла
- Крупная гладкостенная киста с желтоватым прозрачным содержимым, на одной из стенок которой расположен небольших размеров узел опухоли
Достаточно редко в ткани опухоли встречаются некроз и кровоизлияния[18].
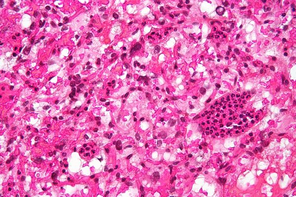
Микроскопически гемангиобластомы представляют собой скопления тонкостенных сосудов различного размера. В межсосудистых пространствах располагаются интерстициальные клетки с богатой липидами светлой цитоплазмой[18].
На 2010 год не существует ни одного сообщения об озлокачествлении данного типа опухолей. Гистологически основным признаком гемангиобластомы является наличие множества капиллярных каналов, которые выстланы однослойным эпителием и окружены ретикулярными волокнами. Новообразования состоят из трёх типов клеток[19]:
- Эндотелиальные;
- Перициты;
- Клетки стромы — по форме полигональные. Содержат жировые включения.
По гистологическому строению выделяют 3 типа гемангиобластом[19][20]:
- Ювенильный — расположенные вплотную тонкостенные растянутые капилляры;
- Переходный — тонкостенные и растянутые капилляры располагаются вперемешку со стромальными клетками, часть из которых полностью заполнена жиром;
- Чистоклеточный — опухоль состоит из слоёв ксантохромных (желтоватых) клеток, расположенных на патологических сосудах.
Клиническая картина
Характерный возраст больных при возникновении гемангиобластомы, не связанной с болезнью Гиппеля — Линдау, — 40—60 лет. При наследственном заболевании данные новообразования возникают в более молодом возрасте — до 35 лет. Множественность процесса свидетельствует о наследственном характере заболевания. В большинстве случаев гемангиобластомы представляют собой медленно растущие новообразования мозжечка, сетчатки либо спинного мозга[4]. Полицитемия может быть одним из проявлений за счет повышение синтеза эритропоэтина.
Новообразования в области задней черепной ямки приводят к нарушению оттока спинномозговой жидкости в связи с компрессией ликворопроводящих путей — IV желудочка. Симптомом сдавления ликворопроводящих путей и нарушения оттока спинномозговой жидкости из места её продукции (боковых желудочков) является вынужденное положение головы. У одних оно является следствием рефлекторного напряжения мышц шеи, у других — сознательного придания голове положения, при котором улучшается отток ликвора и соответственно уменьшаются головные боли[21].
Головная боль возникает вследствие повышения внутричерепного давления — внутричерепной гипертензии. В начальных стадиях боли носят припадочный характер с более или менее длительными промежутками. Приступ головной боли может возникать без каких-либо видимых причин, но чаще наступает после физических нагрузок, кашля, дефекации, быстрой перемены положения тела в пространстве, а также при некоторых положениях головы (чаще при запрокидывании её назад)[21].
Рвота является весьма частым симптомом заболевания. Обычно она возникает на фоне приступа головной боли, вызванной повышением внутричерепного давления. Также может наблюдаться рвота в качестве изолированного симптома, который не зависит от головной боли. В таких случаях она представляет собой очаговый симптом, так как является следствием прямого раздражения рвотного центра. Приступ может возникать при резком повороте головы. Сочетание рвоты и систематического головокружения свидетельствует о поражении вестибулярных ядер дна IV желудочка[21].
Относительно реже наблюдается систематическое головокружение. Характерно возникновение головокружения и рвоты при резком повороте головы или быстром изменении положения туловища — синдром Брунса. У ряда больных головокружение является первым симптомом заболевания[21].
Важным, хотя и неспецифическим симптомом опухолей IV желудочка, являются приступы длительного напряжения мышц, или децеребрационной ригидности. Внезапно, иногда сопровождаясь криком, возникает тоническое напряжение мускулатуры конечностей, туловища и шеи. Кисть сжата в кулак, предплечья слегка согнуты, голова запрокинута назад, спина вогнута. Судороги не переходят в клонические. Приступ длится 2—3 минуты. Непроизвольного мочеиспускания и прикусов языка обычно не наблюдается[21].
Психические расстройства (вялость, раздражительность, оглушённость и т. п.) возникают в далеко зашедших стадиях заболевания. Опухоль не поражает центры, которые ответственны за психику. Однако длительное существование повышенного внутричерепного давления может приводить к появлению вышеуказанных симптомов[21].
Клиническая картина заболевания, характер и длительность течения в основном определяются тем, в каком отделе IV желудочка располагается опухоль и куда направлен её рост. Смерть обычно наступает либо из-за паралича дыхательного центра, вследствие его сдавления, либо из-за развития дислокации мозга — смещения миндалин мозжечка в затылочное отверстие[21].
Для поражения мозжечка характерны расстройства статики и координации движений, а также мышечная гипотония.
Поражение червя мозжечка приводит к нарушению статики тела — способности поддержания стабильного положения его центра тяжести, обеспечивающего устойчивость. При расстройстве указанной функции возникает статическая атаксия (др.-греч. ἀταξία — беспорядок). Человек становится неустойчивым, поэтому в положении стоя он стремится широко расставить ноги, сбалансировать положение тела руками. Особенно чётко статическая атаксия проявляется в позе Ромберга. Пациенту предлагается встать, плотно сдвинув ступни, слегка поднять голову и вытянуть вперёд руки. При наличии мозжечковых расстройств больной в этой позе оказывается неустойчивым, тело его раскачивается, и он может упасть. В случае поражения червя мозжечка больной обычно раскачивается из стороны в сторону и чаще падает назад, при патологии полушария мозжечка его клонит преимущественно в сторону патологического очага. Если расстройство статики выражено умеренно, его легче выявить в так называемой усложнённой или сенсибилизированной позе Ромберга. При этом больному предлагается поставить ступни на одну линию с тем, чтобы носок одной ступни упирался в пятку другой. Оценка устойчивости та же, что и в обычной позе Ромберга[22][23].
В норме, когда человек стоит, мышцы его ног напряжены (реакция опоры), при угрозе падения в сторону нога его на этой стороне перемещается в том же направлении, а другая нога отрывается от пола (реакция прыжка). При поражении мозжечка, главным образом его червя, у больного нарушаются реакции опоры и прыжка. Нарушение реакции опоры проявляется неустойчивостью в положении стоя, особенно если ноги его при этом близко сдвинуты. Нарушение реакции прыжка приводит к тому, что если врач, встав позади пациента и подстраховывая его, толкает больного в ту или иную сторону, то последний падает при небольшом толчке (симптом толкания)[22].
Походка у больного с мозжечковой патологией весьма характерна и носит название «мозжечковой». Больной в связи с неустойчивостью тела идёт неуверенно, широко расставляя ноги, при этом его «бросает» из стороны в сторону, а при поражении полушария мозжечка отклоняется при ходьбе от заданного направления в сторону патологического очага. Особенно отчётлива неустойчивость при поворотах. Во время ходьбы туловище человека избыточно выпрямлено (симптом Тома). Походка у людей с поражениями мозжечка во многом напоминает походку пьяного человека[22].
Если статическая атаксия оказывается резко выраженной, то больные полностью теряют способность владеть своим телом и не могут не только ходить и стоять, но даже сидеть[22].
Преимущественное поражение полушарий мозжечка приводит к расстройству его противоинерционных влияний и, в частности, к возникновению динамической нарушение координации движений, пониженного мышечного тонуса и возникновению асинергий[24].
Проявляется неловкостью движений конечностей, которая оказывается особенно выраженной при движениях, требующих точности. Для выявления динамической атаксии проводится ряд координационных проб[22].
- Проба на диадохокинез — больному предлагается закрыть глаза, вытянуть вперёд руки и быстро, ритмично супинировать и пронировать (вращать наружу и внутрь) кисти рук. В случае поражения полушария мозжечка движения кисти на стороне патологического процесса оказываются более размашистыми, в результате эта кисть начинает отставать. Тогда говорят о наличии адиадохокинеза[22][23][24]:359.
- Пальце-носовая проба — больной с закрытыми глазами отводит руку, а затем указательным пальцем пытается попасть в кончик своего носа. В случае мозжечковой патологии рука на стороне патологического очага совершает избыточное по объёму движение, в результате чего больной промахивается. Также выявляется характерный для мозжечковой патологии интенционный тремор (дрожание пальцев), выраженность которого нарастает по мере приближения пальца к цели[22][23][24]:358.
- Пяточно-коленная проба — больной, лежащий на спине с закрытыми глазами, поднимает высоко ногу и пытается пяткой попасть в колено другой ноги. При мозжечковой патологии отмечается промахивание, особенно при выполнении пробы гомолатеральной (на той же стороне) поражённому полушарию мозжечка ногой. Если всё-таки пятка достигает колена, то предлагается провести ею, слегка касаясь голени, по гребню большеберцовой кости вниз к голеностопному суставу. При этом в случае мозжечковой патологии пятка всё время соскальзывает то в одну, то в другую сторону[22][23][24]:358.
- Указательная (пальце-пальцевая) проба — больному предлагается попасть указательным пальцем в кончик направленного на него пальца исследующего. В случае мозжечковой патологии отмечается мимопопадание. Палец больного при этом обычно отклоняется в сторону поражённого полушария мозжечка[22][24]:358.
- Симптом Тома-Жументи — захватывая предмет, больной несоразмерно широко раздвигает пальцы[22][24]:359.
- «Проба с чашей» — больной, держащий в руке стакан с водой, расплёскивает воду.
- Нистагм — подёргивание глазных яблок при взгляде в стороны или вверх. При поражении мозжечка нистагм рассматривается как результат интенционного дрожания глазных яблок. При этом плоскость нистагма совпадает с плоскостью произвольных движений глаз — при взгляде в стороны нистагм горизонтальный, при взгляде вверх — вертикальный[22].
- Расстройство речи — возникает в результате нарушения координации работы мышц, составляющих речедвигательный аппарат. Речь делается замедленной (брадилалия), теряется её плавность. Она приобретает взрывчатый, скандированный характер (ударения расставляются не по смыслу, а через равномерные интервалы)[22][23][24]:359.
- Изменения почерка — почерк больного становится неровным, буквы исковерканными, чрезмерно крупными (мегалография)[22][23].
- Симптом Стюарта-Холмса (симптом отсутствия обратного толчка[23]) — исследующий просит больного сгибать супинированное предплечье и в то же время, взяв его руку за запястье, оказывает сопротивление этому движению. Если исследующий при этом неожиданно отпустит руку больного, то больной не сможет вовремя притормозить дальнейшее сгибание руки, и она, сгибаясь по инерции, с силой ударит его в грудь[22][24]:359.
- Пронаторный феномен — больному предлагается удерживать вытянутые вперёд руки ладонями вверх. При этом на стороне поражённого полушария мозжечка происходит спонтанная пронация (поворот ладони внутрь и книзу)[22][24]:359.
- Симптом Гоффа-Шильдера — если больной держит руки вытянутыми вперёд, то на стороне патологического очага рука отводится кнаружи.
- Феномен Дойникова (изменение постуральных рефлексов[23]) — сидящему больному предлагается кисти с разведёнными пальцами положить на свои бёдра вверх ладонями и закрыть глаза. В случае мозжечковой патологии на стороне патологического очага отмечаются спонтанное сгибание пальцев и пронация кисти[22].
- Проба Шильдера — больному предлагают вытянуть руки вперёд, закрыть глаза, поднять одну руку кверху и опустить её до уровня другой руки, а затем сделать наоборот. При поражении мозжечка больной опустит руку ниже вытянутой[25].
Мышечная гипотония выявляется при пассивных движениях, производимых исследующим в различных суставах конечностей больного. Поражение червя мозжечка ведёт обычно к диффузной гипотонии мышц, тогда как при поражении полушария мозжечка снижение мышечного тонуса отмечается на стороне патологического очага[22].
Маятникообразные рефлексы обусловлены также гипотонией. При исследовании коленного рефлекса в положении сидя со свободно свисающими с кушетки ногами после удара молоточком наблюдается несколько «качательных» движений голени[25].
Асинергии — выпадение физиологических синергичных (содружественных) движений при сложных двигательных актах[23][24]:359.
Наиболее распространены следующие пробы на асинергию:
- Больному, стоящему со сдвинутыми ногами, предлагают перегнуться назад. В норме одновременно с запрокидыванием головы ноги синергично сгибаются в коленных суставах, что позволяет сохранить устойчивость тела. При мозжечковой патологии содружественное движение в коленных суставах отсутствует, и, запрокидывая голову назад, больной сразу же теряет равновесие и падает в том же направлении.
- Больному, стоящему со сдвинутыми ногами, предлагается опереться на ладони врача, который затем неожиданно их убирает. При наличии у больного мозжечковой асинергии он падает вперёд (симптом Ожеховского). В норме же происходит лёгкое отклонение корпуса назад или же человек сохраняет неподвижность.
- Больному, лежащему на спине на твёрдой постели без подушки с ногами, раздвинутыми на ширину надплечий, предлагают скрестить руки на груди и затем сесть. Ввиду отсутствия содружественных сокращений ягодичных мышц больной с мозжечковой патологией не может фиксировать ноги и таз к площади опоры, в результате сесть ему не удаётся, при этом ноги больного, отрываясь от постели, поднимаются вверх (асинергия по Бабинскому)[22].
Для гемангиобластом в области позвоночного канала характерна клиническая симптоматика, вызванная поражением спинальных нервов, белого (проводящих путей) и серого вещества спинного мозга. В зависимости от того, какие структуры поражены, у человека могут возникать слабость в конечностях, спастичность, повышение глубоких рефлексов, боль и нарушение функции тазовых органов в виде недержания либо задержки мочи, очень сильные позывы к мочеиспусканию[4].
Диагностика
Узел гемангиобластомы состоит из клубка тонкостенных сосудов. При введении в кровь контрастных веществ опухоль накапливает вводимые препараты, благодаря чему хорошо контрастируется на ангиограммах, компьютерных и магнитно-резонансных томограммах. Определяются крупные патологические артерии и вены, могут выявляться артерио-венозные шунты[18]. При проведении компьютерной (КТ) и магнитно-резонансной (МРТ) томографий диагностируются две формы опухоли — узел с или без кистозного компонента. Первая форма характеризуется тем, что большие кисты выполняют большую часть объёмного образования. Узел может вообще не определяться с помощью нейровизуализационных методов исследования[18].
Киста гемангиобластом обычно округлой или овальной формы, на компьютерной томографии имеет низкую плотность (8—14 единиц Хаунсфилда). При введении контрастных веществ плотность её содержимого и стенок не изменяется. Узел опухоли определяется на КТ в виде очага повышенной плотности, чаще негомогенной зернистой структуры. Располагается на одной из стенок кисты, вдаваясь в её просвет, хорошо накапливает контрастное вещество[18].
При кистозной форме опухоли на магнитно-резонансных томограммах хорошо определяется кистозный компонент, который характеризуется низкой интенсивностью сигнала на Т1- и высоким сигналом на Т2-взвешенных томограммах. На этом фоне хорошо визуализируется пристеночно расположенный солидный узел гемангиобластомы, хорошо накапливающий контрастное вещество[18].
При солидной форме гемангиобластомы в строме новообразования отмечается наличие округлых и извитых участков потери сигнала за счёт кровотока в крупных сосудах опухоли[18].
Гемангиобластомы в области позвоночного канала обычно располагаются интрамедуллярно (в спинном мозге), но могут находиться и экстрамедуллярно (вне спинного мозга). В 50 % они поражают грудной отдел и в 40 % шейный. Так как гемангиобластомы представляют собой богатоваскуляризированные новообразования, то их клиническая манифестация может дебютировать субарахноидальным кровоизлиянием[12][26].
В большинстве случаев гемангиобластомы в области позвоночного канала представляют собой солитарное образование, однако в 20 % могут наблюдаться множественные новообразования (как правило, при болезни Гиппеля — Линдау). Приблизительно в половине случаев (43—60 %) образуются сирингомиелические полости. Кисты могут достигать больших размеров, располагаясь выше и ниже солидного узла опухоли[26][27][28].
При спинальной ангиографии определяется богато васкуляризированный узел новообразования с крупными приводящими артериями. В связи с этим целесообразным является при подозрении на гемангиобластому проведение селективной ангиографии. Катетеризация артерий, которые кровоснабжают опухоль, может быть использована для одновременной предоперационной эмболизации приводящих сосудов[26].
Компьютерная томография с контрастным усилением позволяет хорошо визуализировать гемангиобластому. На МР томограммах узел опухоли имеет гипо- или изоинтенсивный сигнал на Т1-взвешенных томограммах и гиперинтенсивный — на Т2-взвешенных. Кистозные полости имеют сигнал, близкий по своим характеристикам к ликвору. Узел опухоли хорошо накапливает контрастные вещества. При этом интенсивность сигнала от стенок кист обычно не повышается[26][28].
Хотя гемангиобластомы на магнитно-резонансных томограммах и не имеют признаков, которые с полной достоверностью свидетельствовали бы именно о наличии данного новообразования, можно выделить несколько характерных признаков[26]:
- сочетание больших кистозных образований с небольшим солидным узлом;
- наличие расширенных и извитых сосудов в субарахноидальном пространстве спинного мозга;
- множественность поражения при болезни Гиппеля — Линдау.
Дифференциальная диагностика
В случае обнаружения одиночного внутримозгового поражения задней черепной ямки следует проводить дифференциальную диагностику между следующими патологиями[29]:
- метастаз — «одиночное образование задней черепной ямки у взрослого следует считать метастазом, метастазом и ещё раз метастазом, пока не доказано обратное»[29]. Для метастазов характерно наличие поражения других органов опухолью (лёгких, желудка, грудной железы и т. д.);
- гемангиобластома — наиболее частая внутримозговая опухоль у взрослых. Представляет собой окружённый сосудами (васкуляризованный) узел, часто сочетающийся с кистой. Опухоли задней черепной ямки, за исключением гемангиобластомы, имеют относительно мало сосудов при ангиографии. На МРТ при гемангиобластомах определяются змеевидной формы сигналы, обусловленные повышенным кровотоком в составляющих опухоль сосудах. Для кавернозной гемангиомы данные сигналы нехарактерны[29];
- астроцитома мозжечка;
- абсцесс;
- кавернозная гемангиома;
- кровоизлияние;
- инфаркт.
При множественных поражениях задней черепной ямки дифференциальный диагноз проводится между[29]:
- метастазами;
- гемангиобластомами — множественность новообразований данного типа характерна для болезни Гиппеля — Линдау. Соответственно исключение данного заболевания исключает и множественные гемангиобластомы;
- абсцессами;
- кавернозными гемангиомами.
Лечение
Тотальное хирургическое удаление узла гемангиобластомы в области задней черепной ямки является предпочтительным видом лечения. Наиболее удобным является субокципитальный доступ. После удаления части затылочной кости с дополнительной резекцией задних отделов двух верхних шейных позвонков вскрывается твёрдая мозговая оболочка, и обнажается поверхность мозжечка. При наличии кистозной части её содержимое может быть аспирировано. После определения границ новообразования опухолевый узел должен быть удалён тотально путём диссекции от ткани мозга. Удаление гемангиобластомы частями недопустимо, так как может вызвать неконтролируемое кровотечение[4].
При кистозных формах гемангиобластом стенки кисты удалять не следует. В конце операции проводится тщательное ушивание твёрдой мозговой оболочки с целью профилактики образования рубцово-спаечного процесса в области ткани мозга[4].
Удаление гемангиобластом ствола головного мозга чревато значительно большей частотой осложнений и послеоперационной летальности. Опухоли, которые располагаются в IV желудочке, в большинстве случаев произрастают из сосудистого сплетения, не поражают ядра мозга и могут быть удалены хирургически. Новообразования, которые располагаются непосредственно в ткани стволовых структур мозга, в большинстве случаев являются неоперабельными[4].
Принципы удаления гемангиобластом спинного мозга идентичны — тотальная резекция новообразований одним блоком[4].
Лучевая терапия может быть использована для замедления роста опухоли. Используется для больных, которым нельзя проводить оперативное лечение, в частности при множественных глубоких и мелких очагах, либо при неоперабельных гемангиобластомах ствола головного мозга. Следует отметить, что лучевая терапия при данном типе новообразований не предотвращает рецидив после неполного хирургического удаления[19].
Прогноз
Прогноз при спорадических гемангиобластомах положительный. Новообразования являются доброкачественными, не рецидивируют после их полного хирургического удаления. У пациентов с болезнью Гиппеля — Линдау прогноз хуже. Даже полное удаление очага не предотвращает возникновения новых опухолей подобного типа в других отделах центральной нервной системы[5].





