Питуицитома
Питуицитома — редкая солидная опухоль с низким потенциалом злокачественности, развивается из нейрогипофиза или воронки гипофиза[2].
Что важно знать
Эпидемиология
Клиническая картина
Клиническая симптоматика питуицитом обусловлена локальным сдавлением опухолью структур головного мозга и зависит от её размеров и локализации. Компрессия хиазмы зрительного нерва может приводить к битемпоральной гемианопсии; сдавление гипофиза может вызывать головную боль и гипопитуитаризм; компрессия инфундибулярной области может нарушать транспорт дофамина в гипоталамусе, что приводит к развитию гиперпролактинемии, аменореи, снижению либидо и сексуальной дисфункции[4].
Описан один случай острого манифестного течение заболевания вследствие спонтанного кровоизлияния в опухолевую ткань с прорывом в третий желудочек[5].
Также зарегистрирован случай, при котором диагноз питуицитомы был установлен случайно после черепно-мозговой травмы[6].
У ряда пациентов в анамнезе отмечались эндокринные заболевания, предшествующие развитию питуицитомы. Среди них выявлены аденомы паращитовидных желёз и фолликулярная карцинома щитовидной железы, сахарный диабет и болезнь Кушинга[4].
Диагностика
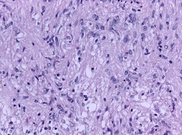
Методы лучевой диагностики не позволяются выявить патогномоничные для питуицитомы признаки. Гистологическое исследование опухолевой ткани является золотым стандартом[4].
Лечение
Хирургическая резекция является предпочтительным методом лечения питуицитомы, поскольку после полного удаления рецидивы наблюдаются крайне редко (4,3 %). Согласно литературным данным, из всех случаев с полным удалением опухоли рецидив зарегистрирован только в одном случае[3].
Описаны случаи проведения адъювантной лучевой терапии. Однако, её эффективность не доказана[3].
Прогноз
Прогноз при питуицитомах в целом считается благоприятным, особенно после полного хирургического удаления опухоли. Полное удаление опухоли связано с низким уровнем рецидивов, который составляет примерно 4,3 %. Питуицитомы редко проявляют злокачественные свойства и не сопровождаются метастазированием или диссеминацией[4].


