Материал из РУВИКИ — свободной энциклопедии

Глиобластома

Глиобластома
Гистологический срез глиобластомы
Гистологический срез глиобластомы
МКБ-11 XH7F82
МКБ-10 C71
МКБ-9 191
МКБ-О M9440/3
OMIM 137800
DiseasesDB 29448
eMedicine neuro/147 med/2692
MeSH D005909
Логотип РУВИКИ.Медиа Медиафайлы на РУВИКИ.Медиа
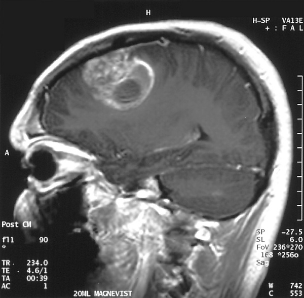
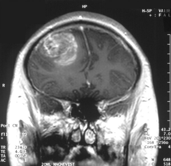
Контрастное МРТ-сканирование при глиобластоме у 15-летнего мальчика

Мультифо́рмная глиобластóма (англ. Glioblastoma multiforme, GBM) — наиболее частая и наиболее агрессивная злокачественная опухоль мозга, которая составляет до 52 % первичных опухолей мозга и до 20 % всех внутричерепных опухолей. Несмотря на то что глиобластома является наиболее частой первичной опухолью мозга, на 100 000 жителей Европы и Северной Америки регистрируется всего 2—3 случая заболевания[1]. Термин «глиобластома» подразумевает два варианта этой болезни: гигантоклеточная глиобластома и глиосаркома.

Классификация

Глиобластома классифицируется в трех вариантах:

  • глиобластома IDH-wt (ген дикого типа), составляющая около 90 % от всех впервые выявленных глиобластом («первичная глиобластома») и встречающаяся в возрасте от 55 лет и более. Помимо гигантоклеточной глиобластомы и глиосаркомы, в IDH-wt глиобластомы добавлен новый вариант — «эпителиоидная глиобластома», встречающаяся преимущественно у детей и молодых взрослых
  • глиобластома IDH-mut (ген мутированного типа), встречающаяся в 10 % всех случаев впервые выявленных глиобластом («вторичная глиобластома»)
  • глиобластома NOS (без иной спецификации), т. е. случаи, когда исследования мутаций генов IDH1 и IDH2 не проводились. Мутация гена IDH может встречаться в первичных глиобластомах[2].

Наиболее частые генетические нарушения при первичных глиобластомах — это: утрата гетерозиготности (LOH) 10q (69 %), затем амплификация EGFR (34 %), мутация TP53 (31 %), гомозиготная делеция p16INK4a (31 %) и мутации PTEN (24 %). Во вторичных глиобластомах часты мутации TP53 и LOH 10q (65 % и 63 %), в то время как другие генетические нарушения редки[3].

Патогенез

По неизвестным причинам глиобластома встречается чаще у мужчин[4]. Большинство случаев глиобластомы носят спорадический характер, без генетической предрасположенности. Не установлена связь между глиобластомой и курением[5], потреблением консервированного мяса[6] или воздействием электромагнитного поля[7][8][9][10]. Возможно, фактором риска является потребление алкоголя[11]. Заболеваемость глиобластомой связана с вирусами SV40[12], ВГЧ-6[13][14] и цитомегаловирусом[15]. Есть небольшая зависимость глиобластомы от ионизирующего излучения[16]. Анализ 2006 года связывает эту опухоль головного мозга с воздействием свинца на рабочем месте[17]. Замечена связь случаев опухоли мозга и малярии. Предполагается, что малярийный комар, переносчик малярии, может передавать вирус или другой агент, который может увеличить риск глиобластомы[18].

Лечение

Сагиттальное контрастное МРТ-сканирование при глиобластоме у 15-летнего мальчика

При лечении может применяться химиотерапия, лучевая терапия и хирургическое лечение. «Золотым стандартом» в первой линии лечения пациентов с глиобластомами является максимально возможное удаление опухоли с последующим проведением комбинированной химиолучевой терапии с темозоломидом и последующей адъювантной химиотерапией темозоломидом в течение года.

Если опухоль нельзя удалить или удаляется менее 90 % её объёма, то такое лечение является паллиативным, нерадикальным, так как опухоль с большей вероятностью продолжит свой рост. Медиана выживаемости для пациентов, в отношении которых применялась лучевая и химиотерапия с темозоломидом, составляет 15 месяцев[19]. Медиана выживаемости без лечения составляет 3 месяца, в то же время довольно часто пациенты проживают 1—2 года[20]. Хотя серьёзных исследований эффективности хирургического лечения при данном заболевании не проводилось, хирургия остаётся стандартным методом лечения[21].

Кетогенная метаболическая терапия в сочетании с лучевой, химиотерапией и гипербарической оксигенацией позволяет увеличить оксидативный стресс в клетках опухоли, одновременно ограничивая доступ к глюкозе и глютамину[22].

В феврале 2025 года учёные из Института молекулярной биологии имени Энгельгардта РАН выяснили, что короткая последовательность РНК, регулирующая активность определённого гена, играет ключевую роль в формировании устойчивости глиобластомы к химиотерапевтическому препарату темозоломид. Эксперименты показали, что, если «заблокировать» выработку этой молекулы, клетки опухоли становятся чувствительными к лечению. Это открывает путь к разработке новых методов онкотерапии[23].

См. также

Примечания

  1. Louis DN, Ohgaki H, Wiestler OD, Cavenee WK, Burger PC, Jouvet A, Scheithauer BW, Kleihues P, The 2007 WHO Classification of Tumours of the Central Nervous System Acta Neuropathol (2007) 114:97-109. PMID 17618441
  2. Яковленко Ю.Г. Глиобластомы: современное состояние проблемы // Медицинский вестник Юга России. — 2019. — № 10(4). — С. 28-35. — doi:10.21886/2219-8075-2019-10-4-28-35.
  3. Hiroko Ohgaki et al. Genetic Pathways to Glioblastoma (англ.) // Cancer Research (журнал). — American Association for Cancer Research, 2004. — October (vol. 64, no. 19). — P. 6892. — doi:10.1158/0008-5472.CAN-04-1337. Архивировано 16 января 2017 года.
  4. Ohgaki, Hiroko; Kleihues, Paul. Population-Based Studies on Incidence, Survival Rates, and Genetic Alterations in Astrocytic and Oligodendroglial Gliomas (англ.) // Journal of Neuropathology & Experimental Neurology : journal. — 2005. — Vol. 64, no. 6. — P. 479—489. — PMID 15977639. Архивировано 9 января 2016 года.
  5. Zheng, Tongzhang; Cantor, Kenneth P.; Zhang, Yawei; Chiu, Brian C. H.; Lynch, Charles F. Risk of Brain Glioma not Associated with Cigarette Smoking or Use of Other Tobacco Products in Iowa (англ.) // Cancer Epidemiology, Biomarkers & Prevention : journal. — 2001. — Vol. 10, no. 4. — P. 413—414. — PMID 11319186. Архивировано 14 августа 2013 года.
  6. Wheeler, Lamar; Huncharek, Michael; Kupelnick, Bruce. Dietary Cured Meat and the Risk of Adult Glioma: A Meta-Analysis of Nine Observational Studies (англ.) // Journal of Environmental Pathology, Toxicology and Oncology : journal. — 2003. — Vol. 22, no. 2. — P. 129—137. — doi:10.1615/JEnvPathToxOncol.v22.i2.60. — PMID 14533876.
  7. Savitz, David A.; Checkoway, Harvey; Loomis, Dana P. Magnetic Field Exposure and Neurodegenerative Disease Mortality among Electric Utility Workers (англ.) // Epidemiology : journal. — 1998. — Vol. 9, no. 4. — P. 398—404. — doi:10.1097/00001648-199807000-00009. — PMID 9647903.
  8. Inskip, Peter D.; Tarone, Robert E.; Hatch, Elizabeth E.; Wilcosky, Timothy C.; Shapiro, William R.; Selker, Robert G.; Fine, Howard A.; Black, Peter M.; Loeffler, Jay S. Cellular-Telephone Use and Brain Tumors (англ.) // The New England Journal of Medicine. — 2001. — Vol. 344, no. 2. — P. 79—86. — doi:10.1056/NEJM200101113440201. — PMID 11150357.
  9. Kan, Peter; Simonsen, Sara E.; Lyon, Joseph L.; Kestle, John R. W. Cellular phone use and brain tumor: A meta-analysis (англ.) // Journal of Neuro-Oncology : journal. — 2007. — Vol. 86, no. 1. — P. 71—8. — doi:10.1007/s11060-007-9432-1. — PMID 17619826.
  10. Hardell, Lennart; Carlberg, Michael; Hansson Mild, Kjell. Epidemiological evidence for an association between use of wireless phones and tumor diseases (англ.) // Pathophysiology : journal. — 2009. — Vol. 16, no. 2—3. — P. 113—122. — doi:10.1016/j.pathophys.2009.01.003. — PMID 19268551.
  11. Baglietto, Laura; Giles, Graham G.; English, Dallas R.; Karahalios, Amalia; Hopper, John L.; Severi, Gianluca. Alcohol consumption and risk of glioblastoma; evidence from the Melbourne collaborative cohort study (англ.) // International Journal of Cancer : journal. — 2011. — Vol. 128, no. 8. — P. 1929. — doi:10.1002/ijc.25770.
  12. Vilchez, Regis A; Kozinetz, Claudia A; Arrington, Amy S; Madden, Charles R; Butel, Janet S. Simian virus 40 in human cancers (англ.) // The American Journal of Medicine. — 2003. — Vol. 114, no. 8. — P. 675—684. — doi:10.1016/S0002-9343(03)00087-1. — PMID 12798456.
  13. Crawford, JR; Santi, MR; Thorarinsdottir, HK; Cornelison, R; Rushing, EJ; Zhang, H; Yao, K; Jacobson, S; MacDonald, T.J. Detection of human herpesvirus-6 variants in pediatric brain tumors: Association of viral antigen in low grade gliomas (англ.) // Journal of clinical virology : the official publication of the Pan American Society for Clinical Virology : journal. — 2009. — Vol. 46, no. 1. — P. 37—42. — doi:10.1016/j.jcv.2009.05.011. — PMID 19505845. — PMC 2749001.
  14. Chi, J.; Gu, B.; Zhang, C.; Peng, G.; Zhou, F.; Chen, Y.; Zhang, G.; Guo, Y.; Guo, D. Human Herpesvirus 6 Latent Infection in Patients with Glioma (англ.) // The Journal of Infectious Diseases : journal. — 2012. — Vol. 206, no. 9. — P. 1394—1398. — doi:10.1093/infdis/jis513. — PMID 22962688.
  15. «Target acquired» Архивная копия от 5 июля 2009 на Wayback Machine, The Economist, May 29th, 2008
  16. Cavenee, W.K. High-grade gliomas with chromosome 1p loss (неопр.) // Journal of Neurosurgery. — 2000. — Т. 92, № 6. — С. 1080—1081. — PMID 10839286.
  17. Van Wijngaarden, Edwin; Dosemeci, Mustafa. Brain cancer mortality and potential occupational exposure to lead: Findings from the National Longitudinal Mortality Study, 1979–1989 (англ.) // International Journal of Cancer : journal. — 2006. — Vol. 119, no. 5. — P. 1136—1144. — doi:10.1002/ijc.21947. — PMID 16570286.
  18. Lehrer, Steven. Anopheles mosquito transmission of brain tumor (англ.) // Medical Hypotheses. — 2010. — Vol. 74, no. 1. — P. 167—168. — doi:10.1016/j.mehy.2009.07.005. — PMID 19656635.
  19. Johnson, Derek R.; O'Neill, Brian Patrick. Glioblastoma survival in the United States before and during the temozolomide era (англ.) // Journal of Neuro-Oncology : journal. — 2011. — Vol. 107, no. 2. — P. 359—364. — doi:10.1007/s11060-011-0749-4. — PMID 22045118.
  20. Krex, D.; Klink, B.; Hartmann, C.; Von Deimling, A.; Pietsch, T.; Simon, M.; Sabel, M.; Steinbach, J. P.; Heese, O. Long-term survival with glioblastoma multiforme (англ.) // Brain (журнал). — Oxford University Press, 2007. — Vol. 130, no. 10. — P. 2596—2606. — doi:10.1093/brain/awm204.
  21. Van Meir, E. G.; Hadjipanayis, C. G.; Norden, A. D.; Shu, H. K.; Wen, P. Y.; Olson, J. J. Exciting New Advances in Neuro-Oncology: The Avenue to a Cure for Malignant Glioma (англ.) // CA: A Cancer Journal for Clinicians : journal. — 2010. — Vol. 60, no. 3. — P. 166—193. — doi:10.3322/caac.20069. — PMID 20445000. — PMC 2888474.
  22. Daniela D. Weber, Sepideh Aminazdeh-Gohari, Barbara Kofler. Ketogenic diet in cancer therapy // Aging (Albany NY). — 2018-02-11. — Т. 10, вып. 2. — С. 164—165. — ISSN 1945-4589. — doi:10.18632/aging.101382. Архивировано 20 августа 2018 года.
  23. В РФ начали разработку нового подхода к лечению устойчивой к химиотерапии глиобластомы. iz.ru (21 февраля 2025). Дата обращения: 21 февраля 2025.