Ганглионеврома

Ганглионеврома (ганглиома, ганглионарная неврома, ганглиоцитома[1]) — доброкачественная опухоль периферической и центральной нервной системы, состоящая из зрелых симпатических нервных ганглиев[2].

Общие сведения
Ганглионеврома
МКБ-11 XH03L9
МКБ-10 D36.9
МКБ-О 9490/0
MedlinePlus 001437
MeSH D005729

Классификация

В МКБ-10 ганглионеврома относится к доброкачественным новообразованиям неуточненной локализации (D36.9)[3]. В классификации МКБ-11 код ганглионевромы — XH03L9.

Согласно МКБ-0-3 (онкология) морфологической классификации цифровой индекс новообразования: Нейроэпителиальные новообразования код 949—952, Ганглионеврома код 9490/0[4].

Этиология

Механизмы и причины развития ганглионевромы до конца не выяснены. Ученые склоняются к значительной роли в данном вопросе генетического фактора[1].


Патогенез

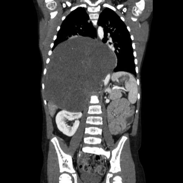
Ганглионевромы образуются как из центральной, так и из периферической нервной системы, являясь опухолью из зрелых клеток нервных ганглиев. Они возникают на фоне нарушения закладки клеток симпатической нервной системы во внутриутробном периоде. Часто локализуются в заднем средостении, мозговом веществе надпочечников, забрюшинном пространстве, полости малого таза и нередко прорастают в позвоночный канал с формированием паравертебрального и экстрамедуллярного компонентов[5]. Патогенез до конца не изучен[1].


Патологическая анатомия

Макроскопически представляет собой плотный, чётко отграниченный, дольчатый узел. Микроскопически характерны клетки ганглиозного типа, локализующиеся среди пучков рыхлой волокнистой соединительной ткани и нервных волокон[6]. Варианты опухолей определяются разным соотношением компонентов в составе новообразования и степенью их дифференцировки. Они могут отличаться по содержанию клеток оболочек периферических нервов, включающих клетки периневрия, шванновские клетки, фибробластические элементы эпиневрия и эндоневрия, униполярные и биполярные нейроны периферических нервных ганглиев и окружающие их клетки-сателлиты[7].

Эпидемиология

Наиболее часто встречаются ганглионевромы средостения и забрюшинного пространства[1]. Нейрогенные опухоли средостения составляют почти 40 % от всех опухолей у детей и подростков. Крайне редко образуются у взрослых. У женщин данная патология встречается чаще, чем у мужчин[2].

Диагностика

Крайняя редкость данной патологии и отсутствие характерной клинической картины (бессимптомное течение заболевания[6]) при небольших размерах образований вызывает объективные трудности при диагностике. Как правило, они являются случайной находкой при обследовании. Каждый случай требует индивидуального подхода с целью выбора активной хирургической тактики или варианта динамического наблюдения[5].


Клиническая картина

Обычно ганглионевромы протекают бессимптомно и выявляются случайно при проведении диагностических исследований[6]. Жалобы пациентов носят неспецифический характер и имеют прямую зависимость от локализации опухоли[1][6].


Лабораторные исследования

Результат гистологического исследования при данном заболевании не всегда однозначен, поэтому рекомендуется выполнение иммуногистохимического исследования (Synaptophysin, S100) операционного материала для точной верификации[2].

Инструментальные исследования

Методы визуализации неспецифичны. Это методы, использующиеся для выявления и диагностики других злокачественных и доброкачественных образований (УЗИ, МСКТ, МРТ органов грудной клетки и брюшной полости)[8]. Диагноз окончательно устанавливается на основании результатов морфологического исследования послеоперационного материала при хирургическом лечении[6].

Дифференциальная диагностика

Необходимо дифференцировать от злокачественной форм других опухолей[6].

Осложнения

В зависимости от размера и локализации опухоль может давить на спинной мозг, что в некоторых случаях приводит к компрессионному параличу[9].

Лечение

undefined

Возможно проведение радикального хирургического лечения, при котором лучевая и химиотерапия в дальнейшем не требуются. Решение об оперативном вмешательстве рекомендуется принимать в индивидуальном порядке с учетом всех имеющихся данных о состоянии здоровья пациента, топографии ганглионевромы и её характеристик, полученных при компьютерной томографии[2].

Прогноз

Прогноз благоприятный. Однако стоит отметить, что нейрогенные опухоли способны к рецидивированию и метастазированию[1].


Диспансерное наблюдение

Индивидуально.

Профилактика

В виду многообразия локализации, особенностей течения заболевания (часто бессимптомное) профилактические мероприятия не разработаны. Рекомендуется проведение периодических медицинских осмотров с плановыми диагностическими обследованиями с целью раннего выявления новообразований. Важно правильно использовать алгоритм диагностических инструментов в качестве скринингового исследования. Одним из методов профилактической медицины можно выделить скрининговое УЗИ[1].

Примечания