Гепатобластома
Гепатобластома (ГБ) — это злокачественная низкодифференцированная опухоль печени эмбрионального происхождения, развивающаяся из клеток предшественников гепатоцитов[1].
Что важно знать
Эпидемиология
Заболеваемость ГБ составляет 0,1—0,2 случая на 100 тысяч детей. В структуре онкологической заболеваемости ГБ занимает 72 % от всех злокачественных новообразований печени у детей в возрасте 0—14 лет и 85,5 % среди детей 0—4 лет. В России ежегодно диагностируется 35—40 случаев ГБ. Уровень заболеваемости медленно растёт в Северной Америке и Европе, при этом наблюдается небольшое преобладание среди мальчиков[1][2].
Этиология
Этиология ГБ, как и других злокачественных новообразований у детей, остаётся недостаточно изученной. Большинство случаев ГБ считаются спорадическими, однако, часть из них связана с врождёнными генетическими аномалиями и пороками развития, такими как синдром Беквита-Видемана и семейный аденоматозный полипоз. Основная сложность в определении возможных причин заболевания заключается в крайне низкой распространённости ГБ. Тем не менее, крупные эпидемиологические исследования выявили повышенный риск развития ГБ у детей, рождённых с низкой и экстремально низкой массой тела. Доказанным фактором риска развития ГБ является курение родителей[1].
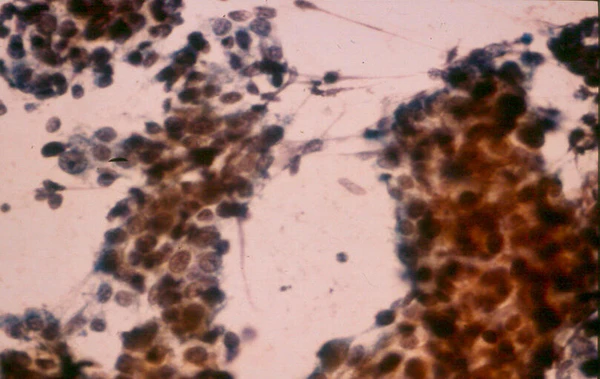
Наиболее распространённая генетическая мутация при ГБ связана с путём передачи сигналов Wnt, что приводит к накоплению бета-катенина; такие мутации встречаются в большинстве спорадических случаев. При иммуногистохимическом исследовании бета-катенин обычно демонстрирует мембранное окрашивание в более дифференцированных фетальных типах и ядерное окрашивание в менее дифференцированных гистологических типах. В случаях агрессивного течения наблюдается активация сигнальных путей TERT и MYC[2][3][4].
Классификация
Традиционно ГБ делятся на две основных типа[2]:
- эпителиальный тип
- смешанный эпителиально-мезенхимальный тип.
Эпителиальный тип включает фетальный, плеоморфный, эмбриональный, макротрабекулярный, мелкоклеточный недифференцированный, холангиобластический и смешанные эпителиальные варианты. Фетальный подтип, в свою очередь, делится на четыре категории: высокодифференцированный, митотически активный, низкодифференцированный и анапластический. Эмбриональный подтип является наиболее часто встречающимся и состоит из базофильных клеток с малым количеством цитоплазмы и повышенной митотической активностью. Холангиобластический подтип характеризуется наличием жёлчных протоков, обычно расположенных на периферии эпителиальных пластов[2].
Смешанный эпителиально-мезенхимальный тип подразделяется на опухоли с тератоидными чертами и без них. Он составляет 20-30 % всех опухолей и содержит комбинацию эпителиальных и мезенхимальных компонентов. Чаще всего эпителиальный компонент представлен фетальным или эмбриональным типом, а мезенхимальный компонент — остеоидом[2].
Клиническая картина
Заболевание часто протекает бессимптомно и проявляется значительным увеличением живота или наличием пальпируемого образования в верхней части брюшной полости. Реже наблюдаются неспецифические симптомы, такие как потеря веса, снижение аппетита, анорексия, рвота, срыгивания, отказ от еды или уменьшение объёма потребляемой пищи, а также болевой синдром в области живота. Несмотря на то, что к моменту постановки диагноза опухоль часто достигает больших размеров, развитие желтухи встречается относительно редко и обычно наблюдаются у пациентов с распространёнными стадиями заболевания[1].
Диагностика
Диагноз ГБ может быть установлен на основании следующих данных:
1. Анамнез.
2. Физикальный осмотр — выявление увеличения живота или пальпируемого образования в брюшной полости.
3. Лабораторные исследования:
- Общий анализ крови (микроцитарная анемия, реактивный тромбоцитоз);
- Концентрация онкомаркеров в крови (Альфа-фетопротеин и β-хорионический гонадотропин человека);
4. Инструментальные обследования:
- ультразвуковое исследование органов брюшной полости;
- компьютерная томография (КТ) или магнитно-резонансная томография органов брюшной полости с контрастным усилением для подтверждения наличия объёмного образования печени и оценки его характеристик в различные фазы контрастирования;
- КТ органов грудной клетки для выявления возможных метастатических очагов.
5. Гистологическое исследование ткани опухоли, полученной при биопсии.
В случаях, когда проведение гистологического исследования невозможно, диагноз ГБ может быть установлен без гистологической верификации[1][2].
Лечение
Хирургическая резекция является основным методом лечения, при этом необходимость в неоадъювантной или адъювантной химиотерапии определяется резектабельностью опухоли. На момент постановки диагноза примерно 60 % опухолей являются нерезектабельными. Если опухоль нерезектабельна, а химиотерапия не позволяет уменьшить её до резектабельных размеров, может быть выполнена трансплантация печени, которая демонстрирует хорошие показатели долгосрочной выживаемости. Эффективность лучевой терапии остаётся неясной, хотя в некоторых случаях нерезектабельных опухолей лучевая терапия позволяет достичь удовлетворительных результатов[2][5].
Прогноз
Прогноз при ГБ зависит от множества факторов, включая возраст на момент постановки диагноза, наличие метастазов, концентрация альфа-фетопротеина, гистологический подтип опухоли, объём резекции и клиническую стадию заболевания. Высокодифференцированный фетальный подтип ассоциируется с более благоприятным прогнозом по сравнению с недифференцированным и макротрабекулярным подтипами, которые связаны с неблагоприятным исходом. Наличие опухоли в краях резекции, мультифокальность и метастазы также являются неблагоприятными прогностическими факторами[2].
Примечания
Литература
- Детская онкология. Национальное руководство / Под ред. МД Алиева, В. Г. Полякова, Г. Л. Менткевича, С. А. Маяковой. — М.: Издательская группа РОНЦ, Практическая медицина, 2012. — 684 с.: ил.


