Меланома
Мелано́ма (лат. melanoma, melanoma malignum ← др.-греч. μέλας «чёрный» + -ομα «опухоль»), уст. меланобласто́ма — злокачественная опухоль, развивающаяся из меланоцитов — пигментных клеток, продуцирующих меланины. Наряду с плоскоклеточным и базальноклеточным раком кожи относится к злокачественным опухолям кожи. Преимущественно локализуется в коже, реже — сетчатке глаза, слизистых оболочках (полость рта, влагалище, прямая кишка). Одна из наиболее опасных злокачественных опухолей человека, часто рецидивирующая и метастазирующая лимфогенным и гематогенным путём почти во все органы. Особенностью является слабая ответная реакция организма или её отсутствие, из-за чего меланома зачастую стремительно прогрессирует.
Общие сведения
История
Хотя меланома не является новым заболеванием, сведения о её описании в античные времена крайне скудны.
Американский врач Р. Такингтон (Dr. Roger Turkington) в 1965 году обнаружил ген меланомы человека[1].
Эпидемиология
По данным ВОЗ, в 2000 г. во всем мире было диагностировано более 200 000 случаев заболевания меланомой и произошло 65 000 связанных с меланомой случаев смерти[2].
В период с 1998 г. по 2008 г. прирост заболеваемости меланомой в РФ составил 38,17 %, а стандартизированный показатель заболеваемости вырос с 4,04 до 5,46 на 100 тыс. населения[3]. В 2008 г. в РФ количество новых случаев меланомы кожи составило 7744 человека[3]. Смертность от меланомы В РФ в 2008 г. составила 3159 человек, а стандартизированный показатель смертности 2,23 человека на 100 тыс. населения[3]. Средний возраст больных меланомой с впервые в жизни установленным диагнозом в 2008 г. в РФ составил 58,7 лет[3]. Наибольшая заболеваемость отмечена в возрасте 75—84 лет.
В 2005 году США зарегистрированы 59580 новых случаев меланомы и 7700 смертельных случаев, обусловленных этой опухолью. В программе SEER (The Surveillance, Epidemiology, and End Results) отмечается, что заболеваемость меланомой возросла на 600 % с 1950 по 2000 гг.
Согласно этим данным, входит в список редких заболеваний.
Факторы риска и причины
- Ультрафиолетовое излучение: естественное (солнечное) и из искусственных источников (оборудование для загара). Является ведущим фактором риска.
- Фенотип — белая кожа, светлые (голубые) глаза, светлые волосы и розовые веснушки.
- Наличие в анамнезе солнечных ожогов. При этом даже те из них (ожоги), которые были получены в детском, подростковом и юношеском возрасте могут сыграть роковую роль в развитии опухоли в последующие годы.
- Меланоформный невус (синонимы: диспластический меланоцитарный невус, синдром атипического невуса). Относится к доброкачественным новообразованиям кожи.
- Наследственность — семейный анамнез меланомы. В 1987—1989 годах[4][5] первый локус восприимчивости к семейной кожной меланоме (CMM1) был картирован в 36-м бэнде 1-й хромосомы человека (1p36), однако в 1994 году уверенность в связи локуса 1p36 с семейной меланомой поставлена под сомнение[6]. В настоящее время повышенный риск заболеваемости меланомой связывают с нарушением функции супрессоров опухолевого роста, одним из которых является CDKN2A, локус хромосомы 9р21, кодирующий белки p16 и p14ARF и второй — ген CDK4 (cyclin-dependent kinase 4) с локализацией в хромосоме 12q14.
- Невусы — По данным НИИ онкологии им. проф. Н. Н. Петрова, среди больных с установленным фоном для развития меланомы были названы следующие типы невусов: сложный (45 %), пограничный (34 %), интрадермальный (16 %), голубой невус (3,2 %). При этом 70 % невусов были расценены как врождённые, а 30 % — как приобретённые.
- Фактор множественности невусов (более 50) увеличивает риск развития меланомы.
- Пигментная ксеродерма.
- Уже ранее перенесённая меланома.
- Возраст старше 50 лет. Причём у пациентов с диабетом, злокачественные опухоли могут быть спутаны с язвами диабетической стопы[7].
Относительный риск развития меланомы связан с фототипом кожи. При этом наиболее подвержены к развитию опухоли лица с I и II фототипом и наименее с V и VI, что однако не исключает у них полностью вероятность болезни.
| Фототип кожи | Реакция на облучение |
|---|---|
| I | Солнечный ожог всегда возникает после кратковременного (30 мин.) пребывания на солнце; загар никогда не приобретается. |
| II | Солнечные ожоги возникают легко; загар возможен, хотя и с трудом. |
| III | Возможны незначительные ожоги; развивается хороший ровный загар. |
| IV | Никогда не бывает солнечных ожогов; легко возникает загар. |
| V | Смуглая от природы кожа. |
| VI | Чёрная кожа представителей негроидной расы |
Варианты
Клинические формы:
- Поверхностно-распространяющаяся меланома, 70 % случаев: как правило развивается у женщин, характеризуется горизонтальным ростом и в общем имеет благоприятный прогноз.
- Узловая меланома (нодулярная), 15 %: чаще у мужчин, характеризуется ростом в толщу кожи, считается самым неблагоприятным в плане прогноза типом.
- Акролентигинозная меланома (лат. Acral Lentigo Maligna) 10 %: известна и как подногтевая меланома. Растёт также на кончиках пальцев, ладонях. Встречается чаще всего у темнокожих лиц.
- Лентигинозная меланома, (лат. Lentigo Maligna, злокачественная веснушка Хатчинсона, меланоз Дюбрейля) 5 %: развивается на фоне пигментного пятна (родинки), как правило на лице, главным образом у женщин. Характеризуется горизонтальным, медленным ростом и имеет наиболее благоприятный прогноз.
- Ахроматическая меланома (беспигментная) очень редко.
- Меланома сетчатки глаза
- Лентигинозная меланома слизистых оболочек — 1 % от общего числа меланом. Встречается в полости носа, рта, перианальной и вульвовагинальной областях. Характеризуется выраженной, неравномерной пигментацией.
- Малигнизированная меланома мягких тканей (англ. malignant melanoma of soft parts или clear cell sarcoma) — растёт на связках и апоневрозах. Встречается во всех возрастных группах, в том числе у детей и подростков.
Подозрение на меланому
В большинстве случаев невозможно определить макроскопически тип невуса (родинки). Важно, однако, вовремя заметить изменения которые могут характеризовать озлокачествление. Такими изменениями могут быть:
- Чувство зуда в области невуса.
- Выпадение волос с его поверхности.
- Изменение цвета.
- Изъязвление.
- Увеличение размера.
- Изменение очертаний родинки.
- Исчезновение исчерченности кожи в области невуса.
- Кровотечение с его поверхности.
- Узлообразование.
Диагноз
- Дерматоскопия — самая ранняя диагностика меланомы. Проводится как с помощью простой лупы, так и с помощью дерматоскопа (эпилюминисцентного микроскопа) делающего прозрачным роговой слой эпидермиса. При этом можно с высокой вероятностью определить, является ли невус опасным или нет на основании системы ABCDE, предложенную Friedman в 1985 году.
- A — asymmetry, асимметричность родинки
- B — border irregularity, неровный край
- C — color, неодинаковый цвет разных частей родинки
- D — diameter, диаметр родинки более 6 миллиметров
- E — evolving, изменчивость родинки
На сегодняшний день разработанные компьютерные системы микродермоскопии повышают уровень ранней диагностики меланомы с 60 % до 90 %, но часто только в экспериментальных условиях.
- Окончательный диагноз меланомы может быть установлен только после гистологического исследования, проведённого после тотального удаления невуса (опухоли) с достаточным захватом здоровых тканей. Предоперационная биопсия с помощью иглы или частичного удаления противопоказана, во избежание распространения меланомы. Определяется глубина прорастания (Clark, Breslow) и митотический индекс.
- ЛДГ — лактатдегидрогеназа, помогает установить наличие метастазов в печени.
- Компьютерная томография, магнитно-ядерный резонанс и сцинтиграфия (радиоизотопное исследование) c изотопом фосфора применяется для обнаружения метастазов в лимфоузлах и других органах.
Метастазы
Опухоль метастазирует лимфогенным и гематогенным путём. Клетки опухоли, распространяясь по лимфатическим сосудам, образуют первые метастазы в регионарных лимфатических узлах. Гематогенным путём (по кровеносным сосудам) происходит метастазирование в печень, лёгкие, кости, головной мозг.
Специалисты медицинской школы имени Саклера Тель-Авивского университета, которая является научной базой Первого медицинского центра Тель-Авива, совместно с немецкими учёными из института изучения рака (DKFZ) открыли ключевое звено в механизме распространения метастазов меланомы.
Израильские учёные смогли установить, что в механизме распространения клеток меланомы существует особое звено. Речь идёт о микромолекулах рибонуклеиновой кислоты (РНК), с помощью которых происходит метастазирование[8].
Новое исследование, результаты которого опубликованы в журнале Cell, обнаружило механизм, который позволяет агрессивным формам рака кожи быстро распространяться. В эксперименте учёные проанализировали структуру клеток меланомы и факторы, которые помогают ей в распространении. Они обнаружили, что клетки кожного рака высвобождают определённые молекулы, которые взаимодействуют с иммунной системой, посылая сигналы, способствующие росту и распространению опухоли. Исследование показало, что агрессивность рака кожи в значительной степени обусловлена присутствием в клетках белка миозина II в больших количествах. Миозин II способствует подвижности клеток, что означает, что он помогает клеткам двигаться. Таким образом, высокий уровень этого белка позволяет раковым клеткам становиться более мобильными и быстрее распространяться по всему организму. Однако, исследователи также обнаружили, что миозин II стимулирует секрецию веществ, которые посылают сигналы в иммунную систему, «сообщая» ей не «обращать внимания» на раковые клетки[9].
Стадии меланомы кожи
- Уровень I: все опухолевые клетки находятся в эпидермисе, до базальной мембраны
- Уровень II: клетки опухоли инфильтрируют сосочковый слой дермы
- Уровень III: опухоль достигает границы между сосочковым и сетчатым слоями дермы
- Уровень IV: опухолевые клетки обнаруживаются в сетчатом слое дермы
- Уровень V: опухоль прорастает в жировую клетчатку
- Тонкая: глубина инвазии меньше 0,75 миллиметров
- Промежуточная: глубина инвазии 0,76 — 3,99 миллиметров
- Толстая (глубокая): глубина инвазии больше 4 миллиметров
- Первичная опухоль (Т)
- Tis — меланома in situ
- T1a — меланома толщиной ≤ 1 миллиметр, уровень Clark II—III, без изъязвления
- T1b — меланома толщиной ≤ 1 миллиметр, уровень Clark IV—V или с изъязвлением
- T2a — меланома толщиной 1,01 — 2,0 миллиметра без изъязвления
- T2b — меланома толщиной 1,01 — 2,0 миллиметра с изъязвлением
- T3a — меланома толщиной 2,01 — 4,0 миллиметра без изъязвления
- T3b — меланома толщиной 2,01 — 4,0 миллиметра с изъязвлением
- T4a — меланома толщиной > 4,0 миллиметров без изъязвления
- T4b — меланома толщиной > 4,0 миллиметров с изъязвлением
- Регионарные лимфоузлы (N)
- N0 — метастазы в регионарные лимфатические узлы отсутствуют
- N1 — метастаз в 1 лимфоузел
- N1а — определяется только микроскопически
- N1b — виден невооружённым взглядом
- N2 — метастазы в 2 — 3 лимфоузла
- N2a — определяется только микроскопически
- N2b — видны невооружённым взглядом
- N2c — спутниковые (*) или транзиторные метастазы
- N3 — метастазы в 4 лимфоузла, транзиторные или спутниковые метастазы
- Отдалённые метастазы
- M0 — отдалённые метастазы отсутствуют
- M1a — метастазы в кожу, окружающие ткани или отдалённые лимфоузлы
- M1b — метастазы меланомы в лёгкие
- M1c — отдалённые метастазы с подъёмом ЛДГ (Лактатдегидрогеназа)
- Рецидив меланомы (R)
- R0 — отсутствие рецидива
- R1 — микроскопический рецидив
- R2 — макроскопический рецидив
(*) Мелкие 0,05 мм в диаметре очаги, образующиеся в дерме вокруг главной опухоли.
- IA — T1a
- IB — T1b, T2a
- IIA — T2b, T3a
- IIB — T3b, T4a
- IIC — T4b
- IIIA — N1a, N2a
- IIIB — N1b, N1b
- IIIC — N3
- IV — M1a, M1b, M1c
Лечение
В ходе исследования 2016 года, в котором принимали участие учёные Тель-Авивского университета, врачи больниц «Вольфсон» и «Шиба», а также немецкие учёные из исследовательского центра в Гейдельберге, был раскрыт механизм распространения меланомы и найден способ замедлить её перерождение из неагрессивного новообразования в агрессивную и неизлечимую форму. Это исследование впервые предоставило врачам инструмент диагностики на ранней стадии, которого до этого не было. Для создания лекарства от меланомы учёным может потребоваться несколько лет.
В 2018 году учёные Лидского Университета и Института исследования рака в Лондоне обнаружили механизм, позволяющий использовать препарат, созданный на основе вирусов, в лечении меланомы. Препараты на основе живых вирусов T-vec вводится непосредственно в область ткани, поражённой неоперабельной меланомой, и вызывает местный иммунный ответ, который повышает эффективность борьбы с опухолевыми клетками. Однако, при невозможности укола препарата непосредственно в область злокачественного образования, введение T-vec в кровоток больного приводит к формированию антител и последующему уничтожению вирусов, в связи с чем эффективность действия препарата падает. В ходе ранних исследований считалось, что последующие дозы препарата являлись недействующими. Реактивировать T-vec учёным удалось после добавления в вакцину моноцитов, которые захватывают вирусные частицы и переносят их к месту опухоли, где те вызывают гибель раковых клеток изнутри. Таким образом, препарат стало возможно вводить в кровеносную систему пациента[10].
Основной метод лечения начальной меланомы — хирургическое удаление. Как для первичной опухоли, так и для лечения рецидивов выполняется футлярно-фасциальное иссечение опухоли. Опухоль удаляют вместе с прилежащим участком внешне неизменённой кожи — в зависимости от стадии на расстоянии от 1 см до 2-3 см. Вместе с опухолью удаляют подкожную клетчатку до апоневроза или фасции подлежащей мышцы с последующей пластикой. Удаление самой фасции — спорный момент и не признаётся некоторыми авторами. При поражении лимфоузлов проводится их резекция.
Показания к регионарной лимфаденэктомии при первичной меланоме кожи:
| Локализация первичной опухоли |
Факторы риска метастазирования |
Необходимое число для выполнения |
Частота ожидаемого метастазирования |
|---|---|---|---|
| Голова и шея | Мужской пол Возраст 50-69 Локализация в височной доле Толщина 3,0 мм и более IV-V Clark |
2 и более | 59,3 % |
| Верхние конечности |
Изъязвление Толщина опухоли 4,0 мм и более V Clark |
Все 3 | 50,0 % |
| Туловище | Мужской пол Меланома de novo Изъязвление Толщина 2,0 мм и более III-IV Clark |
3 и более | 58,2 % |
| Нижние конечности | Мужской пол Возраст 40-59 лет Локализация на стопе Толщина 3,0 и более Уровень IV-V Clark |
3 и более | 52,7 % |
Вариантом хирургического лечения может быть Mohs-хирургия (Frederick Mohs) — хирургические вмешательства под контролем микроскопа, а также лазерное футлярное иссечение. Криодеструкция меланомы не применяется ввиду того, что нельзя точно определить уровень инвазии в подлежащие ткани.
Основными методами лечения метастазирующей меланомы являются полихимиотерапия, иммунотерапия и лучевая терапия, которые применяются, как правило, в комбинации.
- Интерферон-альфа (IFN-A), интерлейкин 2 (IL-2) и гранулоцитарно-макрофагальный колониестимулирующего фактор (GM-CSF). Исследование, выполненное Восточной кооперативной онкологической группой (ECOG), показало, что применение интерферона-альфа-2b в максимально переносимых дозах обеспечивает значительное удлинение безрецидивного периода и общей выживаемости по сравнению с отсутствием адъювантной терапии.
- Моноклональные антитела (пембролизумаб, атезолизумаб, тебентафусп[11], релатлимаб[12])). Назначая пациентам с меланомой на III и IV стадиях препараты для иммунотерапии — ипилимумаб (ipilimumab) и ниволумаб (nivolumab), удалось в 58 % случаев достичь уменьшения опухоли, более, чем на треть, в остальных — на год остановить рост меланомы. Результаты исследования были представлены на ежегодном съезде Американского общества клинической онкологии в 2015 году[13].
- Ингибиторы протеинкиназы. Лечение пациентов с неоперабельной или метастатической меланомой с BRAF мутацией — вемурафениб (vemurafenib), дабрафениб (dabrafenib)[14], кобиметиниб, траметиниб, энкорафениб, биниметиниб.
- Лучевая терапия — суммарная очаговая доза — 4000…4500 рад. Оптимальная суммарная доза — 10 000 рад. (Разные протоколы отличаются).
- Регионарная и системная химиотерапия применяется при генерализации процесса: дакарбазин (DTIC), кармустин (BCNU), ломустин (CCNU), цисплатин, тамоксифен, циклофосфан и др.
В стадии исследования находится генная терапия меланомы, направленная на внедрение супрессоров опухоли p53 гена, p16INK4a, инактивация сигнального онкогенного пути — ras, — c-myc и т. д.
В доклинической стадии находятся исследования под руководством Михаила Никифорова из Онкологического института в Росвелл Парк (Roswell Park Cancer Institute), которые показывают, что фермент гуанозинмонофосфат-синтаза (GMPS) способен запускать рост меланомы и может стать мишенью для новых лекарственных препаратов против неё[15]. На данный момент изучена роль GMPS в развитии и метастазировании меланомы. Этот фермент может быть заблокирован при помощи давно известного антибиотика ангустимицина A (angustmycin А), известного также под названием декоинин (decoyinine). Оказалось, что в образцах метастазов меланомы повышен уровень GMPS. Предполагается, что ангустимицин A имеет потенциал в качестве средства для таргетинговой терапии опухолей, при которых имеется мутация гена NRASQ61R или BRAFV600E.
Очередные клинические исследования проходит новый препарат Кейтруда (пембролизумаб), который в прошлом году был одобрен FDA для лечения метастатического рака лёгких[16]. На данном этапе в государственной больнице «Шиба» в Израиле проводится набор пациентов для принятия участия в клиническом исследовании препарата в лечении меланомы[17]. Участие в исследованиях могут принять также и иностранные пациенты.
Вакцинация
В феврале 2026 года Минздрав России разрешил применение вакцины «Неовак-РОНЦ» для терапии меланомы производства НМИЦ онкологии имени Н. Н. Блохина[18]. Разработка выполнена совместно с НИЦЭМ имени Гамалеи Минздрава РФ и НМИЦ радиологии Минздрава РФ. Вакцина предназначена для людей с установленным диагнозом меланомы и создаётся индивидуально под пациента[19].
1 апреля 2026 года мРНК-вакцина, получившая название «Неоонковак», была впервые в российской клинической практике применена у 60-летнего мужчины с диагнозом меланома кожи[20].
Профилактика
Учёные из Университета Осло провели исследование на тему влияния солнцезащитного крема на риск заболеть меланомой. Кроме прочих выводов, было выявлено, что женщины, использовавшие солнцезащитные кремы с SPF 15 и выше, имели риск заболеть на 33 % меньше. Свою работу, исследователи опубликовали в журнале Journal of Clinical Oncology[21].
Прогноз
Клеточный состав меланомы не влияет на клиническое течение опухолевого процесса, однако такие признаки, как митотический индекс, уровень инвазии в дерму, изъязвление и некоторые другие, имеют прогностическое значение. Глубина инвазии меланомы остаётся лучшим прогностическим показателем. На этом основан расчёт пятилетней выживаемости больных с этим новообразованием (англ. Five Year Survival FYS).
Немаловажную роль играют также возраст и пол больного (женщины имеют лучший прогноз), локализация опухоли, поражение лимфатических узлов, а также наличие опухолевых генов супрессоров (CDKN2A, CDK4) и пролиферативных маркеров (PCNA, Ki-67).
|
|
(*) — AJCC — American Joint Committee on Cancer (**) — 45 % если один лимфоузел и 20 % если два лимфоузла.
Прогноз пятилетней выживаемости в зависимости от изъязвления, глубины и метастазов в лимфоузлы. По данным AJCC
| Глубина инвазии (mm)* | С изъязвлением | Без изъязвления |
|---|---|---|
| меньше или равно 1,0 | 91 % | 95 % |
| 1,01 – 2,0 | 77 % | 89 % |
| 2,01 – 4,0 | 6 3 % | 79 % |
| больше 4,0 | 45 % | 67 % |
| Число задействованных лимфоузлов | ||
| 1 | 52 % | 69 % |
| 2 - 3 | 50 % | 63 % |
| 4 или больше ** | 37 % | 27 % |
(*) Без поражения лимфатических узлов. (**) С изъязвлением или без него.
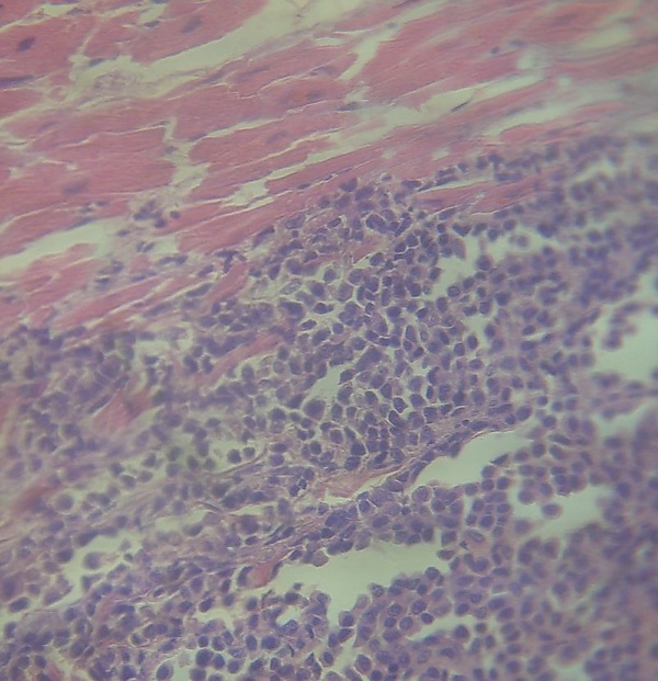
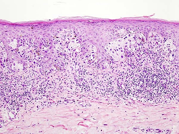
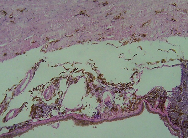
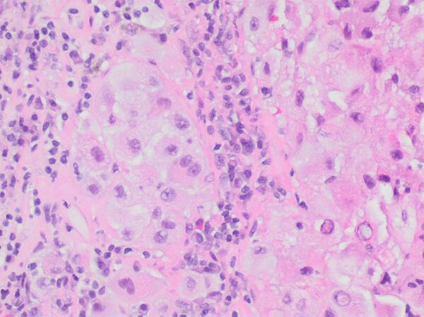
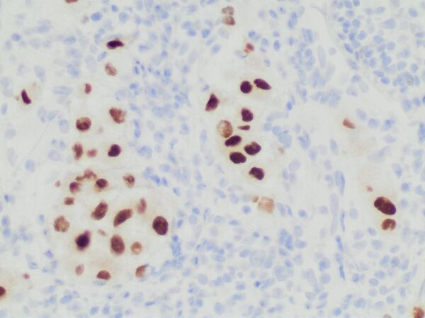
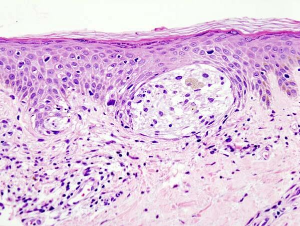
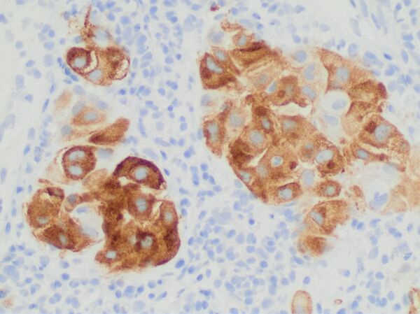
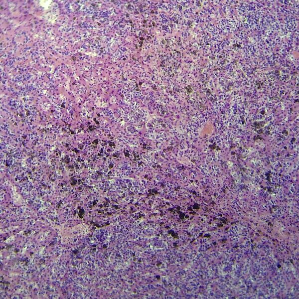
Галерея
Примечания
Литература
- Шанин А. П. Диагностика и лечение злокачественных опухолей кожи. — Л.: Медгиз. Ленингр. отд-ние, 1957. — 168 с. — (Библиотека практического врача).
- Шанин А. П. Пигментные опухоли. — Л.: Медгиз. Ленингр. отд-ние, 1959. — 260 с.
- Ганина К. П., Налескина Л. А. Злокачественная меланома и предшествующие изменения кожи / АН УССР, Ин-т пробл. онкологии им. Р. Е. Кавецкого. — Киев: Наукова думка, 1991. — 168, [48] с. — 1160 экз. — ISBN 5-12-002070-4.
- Фрадкин С. З., Залуцкий И. В. Меланома кожи. — Минск: Беларусь, 2000. — 224 с. — 5000 экз. — ISBN 985-01-0323-X.
- Романова, О. А. Ранняя диагностика и профилактика меланомы кожи : Руководство-атлас. — М. : Медицинское информационное агентство, 2012. — 96 с. — 1000 экз. — ISBN 978-5-8948-1910-5.
Ссылки
- Меланома на Skinmaster.ru Описания клинических случаев
- http://www.melanoma.org/
- Национальный сервер дерматологии
- Российский Онкологический сервер. Меланома
- Информация по гену CDK4
- Mohs Micrographic Surgery
- Как часто встречается меланома?
- Skin Cancer Foundation
- Final Version of the American Joint Committee on Cancer Staging System for Cutaneous Melanoma