Экстрамаммарная болезнь Педжета
Экстрамаммарная болезнь Педжета — злокачественное заболевание кожи, развивающееся на участках, богатых апокриновыми потовыми железами (подмышечную зону, веки и наружный слуховой ход), наиболее часто поражает аногенитальную область.
Что важно знать
История
Заболевание впервые описано в 1889 году Рэдклиффом Крокером у пациента с карциномой мочевого пузыря с экзематозным поражением кожи полового члена и мошонки.[1]
Классификация
- первичная;
- вторичная;
- эктопическая.
Первичная экстрамаммарная болезнь Педжета развивается непосредственно в многослойном плоском эпителии и этиология её неизвестна.
При вторичной экстрамаммарной болезни Педжета поражение эпителия возникает при распространении клеток из подлежащей аденокарциномы, как правило, из нижних отделов желудочно-кишечного или мочевыделительного трактов.
Клиническая картина
Заболевание развивается медленно и дебютирует появлением одиночного ограниченного эритематозного шелушащегося пятна, которое с течением времени трансформируется в бляшку с достаточно чёткими границами, неправильной формы, напоминает географическую карту, имеет полициклические края, бывает разных размеров и окраски от красной до коричневатой с разными оттенками, иногда с пигментацией[2].
На поверхности можно обнаружить шелушение, мацерацию, мокнутие, эрозии или изъязвления, покрывающиеся серозно-кровянистыми корками. После снятия корок видна влажная, зернистая, слегка кровоточащая поверхность. Большинство больных жалуются на зуд разной степени интенсивности или чувство жжения.
После фазы медленного роста болезнь протекает относительно благоприятно длительное время.
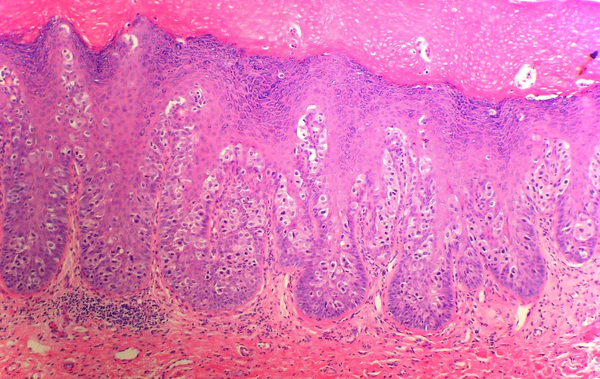
Диагностика
Главными методами диагностики являются цитологическое и морфологическое исследования[2]. В эпидермисе обнаруживаются клетки Педжета.
Примечания
- ↑ А.М. Константинов, К.В. Шелехова, М. Михал, Д.В. Казаков. Первичная экстрамаммарная болезнь Педжета: морфологические особенности опухоли и их значение для развития рецидива // Медико-биологические науки.
- ↑ 1 2 Л. А. Строкова, И. А. Бехтерева, М. Н. Кузьмин, И. В. Рыков. Экстрамаммарная форма болезни Педжета. Клиническое наблюдение // Клиническая больница. — 2019. — № 2. — С. 25.


