Аппендицит
Аппендици́т (лат. appendicitis) — воспаление червеобразного отростка слепой кишки (аппендикса). Одно из наиболее частых заболеваний брюшной полости, требующих хирургического лечения.
Что важно знать
История
В Европе описание червеобразного отростка встречается в трудах Леонардо да Винчи, а также Андреаса Везалия в XVI веке. Внимание хирургов привлекали случаи воспалительных процессов в правой подвздошной области, однако они трактовались как воспаление мышц («псоит») или послеродовые осложнения («маточные нарывы») и, как правило, лечились консервативно[3]. Первую достоверную аппендэктомию выполнил в 1735 году в Лондоне королевский хирург, основатель госпиталя Святого Георгия Claudius Amyand[4]. Он оперировал 11-летнего мальчика, который вскоре поправился. В первой половине XIX века французский клиницист Гийом Дюпюитрен высказал предположение, что воспалительный процесс в правой подвздошной области развивается вследствие первичного воспаления слепой кишки; в рамках этой теории немецкий врач и патолог Иоганн Альбер предложил термин «тифлит» (от греч. typhlon), то есть воспаление слепой кишки, а его последователи — термины «паратифлит» и «перитифлит» (1838)[3]. Несколько позже британские хирурги Брайт и Аддисон в своём труде «Элементы практической медицины» (1839) подробно описали клинику острого аппендицита и привели доказательства существования данного заболевания и его первичности по отношению к воспалению кишки (ранее идею о самостоятельности воспаления аппендикса в 20-е годы выдвигали французы Луи Филлерме и Франсуа Милер, однако тогда теория не была принята). Это коренным образом изменило тактику при лечении больных острым аппендицитом, поставив на первое место оперативное лечение. В 1886 г. R. H. Fitz (1843—1913 гг.) ввёл термин «аппендицит» и пришёл к выводу, что лучшее лечение аппендицита — это удаление червеобразного отростка. Клиническую картину описал в 1889 г. Чарльз МакБурней (Charles McBurney) — один из симптомов аппендицита носит его имя. Первые операции удаления червеобразного отростка были проведены в 1884 году в Англии (Фредерик Махоумд) и в Германии (Рудольф Кренлейн) по поводу, соответственно, ограниченного гнойника и разлитого гнойного перитонита. Косой разрез, выполняемый хирургами для доступа к червеобразному отростку, также носит имя Макбурнея, однако впервые его применил Макартур. В России первая операция по поводу аппендикулярного гнойника была сделана в 1888 году, провёл её врач К. П. Домбровский в Петропавловской больнице — трёхлетнему ребёнку червеобразный отросток был перевязан у основания. А. А. Троянов в Обуховской больнице Санкт-Петербурга произвёл первую в России аппендэктомию (1890)[3]. Однако российские хирурги продолжали придерживаться выжидательной тактики, прибегая к оперативному вмешательству лишь при появлении осложнений. Активно же оперировать по поводу аппендицита начали только в 1909 году, после IX Съезда российских хирургов[3].
В 1921 году 60-летний американский хирург Эван Кейн успешно произвёл себе аппендэктомию, изучая вопрос переносимости пациентами местной анестезии[5]. В 1961 году в Антарктиде, будучи единственным врачом в экспедиции, операцию аппендэктомии выполнил сам себе хирург Л. И. Рогозов[6].
Частота и распространение
Аппендицит проявляется в любом возрасте, чаще в молодом и среднем; женщины болеют чаще мужчин. Заболеваемость острым аппендицитом составляет 4—5 случаев на 1000 человек в год. Среди острых хирургических заболеваний органов брюшной полости острый аппендицит составляет 89,1 %, занимая среди них первое место. Острый аппендицит — наиболее частая причина развития перитонита.
Этиология и патогенез
- Экспериментальные данные свидетельствуют о том, что острый аппендицит, по-видимому, возникает в результате обтурации (закупоривания) просвета червеобразного отростка[7][8]. Обтурация приводит к переполнению просвета отростка дистальнее уровня обтурации слизистым секретом. Диаметр отростка возрастает с 4-6 мм в норме до 17-18 и более миллиметров, он становится напряжённым. Нарастающее внутрипросветное давление в течение нескольких часов приводит к сдавлению внутриорганных вен, нарушению венозного и лимфатического оттока, отёку стенки органа и пропотеванию транссудата в его просвет с дальнейшим увеличением внутрипросветного давления («порочный круг»), что приводит к острому воспалению и некрозу (омертвению), прежде всего в зоне давления инородного тела («декубитальная язва», «пролежень», «флегмонозно-язвенный аппендицит»). Иногда копролиты можно обнаружить в просвете червеобразного отростка при остром катаральном или хроническом аппендиците. Почему они не приводят к деструкции органа и как долго находятся в его просвете, пока не ясно.
- Некроз сразу становится в высокой степени инфицированным внутрипросветной микрофлорой (микрофлора толстой кишки — самая разнообразная (около 500 видов бактерий и грибков) и многочисленная (более 10 миллионов микробных тел на грамм) в человеческом организме, поэтому процесс бактериального разрушения повреждённой стенки червеобразного отростка стремителен, часто развитие трансмурального (на всю толщу стенки) некроза занимает менее 12 часов (возможно, в отдельных, так называемых «молниеносных» случаях, ещё быстрее). На этой стадии аппендицита в просвете отростка имеется густой гной бело-розового цвета с колибациллярным (гнилостным) запахом. После того, как дно распространяющейся декубитальной язвы достигает серозной (наружной) оболочки отростка, нарастающее внутрипросветное давление выбивает некротическую пробку — возникает перфорация стенки отростка (прободение, возникновение отверстия, «аппендицит лопнул», по народной терминологии) — внутрибрюшная катастрофа, которая приводит к излиянию гнойного содержимого, содержащего огромное количество микробов, в стерильную брюшную полость. Возникает угрожающее жизни больного осложнение — разлитой гнойный перитонит.
- Причины, вызывающие обтурацию просвета: главная причина — это так называемые «копролиты», они же — «фекалиты», они же — «каловые камни» (причина почти 100 % случаев эмпиемы червеобразного отростка, гангренозного и гангренозно-перфоративного аппендицита)[9]. К обтурации просвета аппендикса могут привести также некоторые внешние факторы:
- перегиб отростка рубцовыми сращениями следствие различных хронических заболеваний органов брюшной полости:
- хронический колит;
- хронический холецистит;
- хронический энтерит;
- хронический аднексит;
- перитифлит;
- спаечная болезнь брюшной полости и так далее.
- Обычно такие случаи протекают с меньшей остротой, появление деструктивных форм при этом не характерно (но не исключается).
- Казуистические причины обтурации червеобразного отростка:
- проглоченные инородные тела (виноградные косточки, рыбьи, птичьи и проч. мелкие кости, шелуха подсолнечных семечек, даже зубные коронки и другие мелкие твёрдые предметы) — встречаются чрезвычайно редко.
- В литературе начала XX века часто сообщалось об обнаружении в просвете воспалённого отростка гельминтов (глистов), в подавляющем большинстве случаев, аскарид. В наше время такие случаи встречаются очень и очень редко.
- Возможны другие, ещё более редкие причины острого аппендицита — например, опухоли червеобразного отростка (чаще всего встречается карциноид).
- Роль запоров и «ленивого кишечника»:
- Согласно некоторым статистическим данным, для тех больных, у которых впоследствии развился острый аппендицит, характерны хронические, многолетние запоры; стул бывает у них реже, чем у тех, кто не болеет острым аппендицитом[10]. Таким образом, на рубеже 1980-х и 1990-х годов в мировой литературе доминирует мнение, согласно которому копролиты червеобразного отростка возникают при задержке калового содержимого в правых отделах толстой кишки, при увеличенном времени пассажа кишечного содержимого[11]. Ограниченные эпидемиологические исследования обнаружили, что в группах населения, не страдавших аппендицитом, реже встречаются рак толстой кишки, дивертикулёз толстой кишки, железистые полипы толстой кишки[12][13]. Существует предположение (пока не имеющее веских доказательств), что острый аппендицит может быть ранним предшественником развития рака ободочной и прямой кишки, одним из основных факторов развития которых считаются хронические запоры[14].
- Есть данные, что заболеваемость острым аппендицитом связана с низким содержанием растительной клетчатки в рационе[15][16]. Действительно, растительная клетчатка возбуждает перистальтику кишечника, обладает послабляющим действием и сокращает время пассажа кишечного содержимого[17].
Инфекционная теория считает, что некоторые инфекционные болезни, такие как брюшной тиф, иерсиниоз, туберкулёз, паразитарные инфекции, амёбиаз самостоятельно вызывают аппендицит, однако специфической флоры для аппендицита до сих пор не выявлено.
Сосудистая теория считает, что системные васкулиты — одна из причин острого аппендицита.
Эндокринная теория отмечает, что в слизистой червеобразного отростка имеется множество ЕС-клеток АПУД-системы, секретирующих гормон серотонин — медиатор воспаления.
Классификация
- Острый аппендицит — острое воспалительно-некротическое заболевание червеобразного отростка слепой кишки, как правило, вызванное обтурацией просвета червеобразного отростка, и протекающее при участии микрофлоры, обитающей в просвете червеобразного отростка (факультативных и облигатных анаэробов).
- При возникновении острого аппендицита показана экстренная операция: аппендэктомия (удаление червеобразного отростка). Острый аппендицит давностью более двух суток — основная причина летальности при этом заболевании. Именно при остром аппендиците давностью более двух суток возникают опасные осложнения: периаппендикулярный инфильтрат, периаппендикулярный абсцесс, разлитой гнойный перитонит, острый пилефлебит и другие.
- Хронический аппендицит — редкая форма аппендицита, развивающаяся после перенесённого острого аппендицита, характеризующаяся склеротическими и атрофическими изменениями в стенке червеобразного отростка. Некоторыми исследователями допускается возможность развития первично-хронического аппендицита (без ранее перенесённого острого).
- Катаральный (простой, поверхностный).
- Деструктивный.
- Флегмонозный.
- Апостематозный.
- Флегмонозно-язвенный.
- Гангренозный.
- Перфоративный.
Клиника, симптомы
Клиническое проявление острого аппендицита весьма вариабельное[18].
Классическое начало заболевания характеризуется неожиданно возникающими болями в животе, чаще всего в часы ночного отдыха. Боли вначале проецируются в подложечной области, почти всегда сопровождаясь тошнотой, иногда рвотой, спустя 3-4 часа эти боли смещаются в правую подвздошную область. Такое «гастрогенное» начало острого аппендицита получило название симптома Кохера — Волковича. Иногда боли смещаются в правую подвздошную область из околопупочной области симптом Кюммеля[18].
При объективном обследовании больных можно выявить ассиметрию передней брюшной стенки при глубоком вдохе, общие и патогномоничные симптомы, из которых наибольшую диагностическую ценность имеют следующие[18].
Общие симптомы:
Симптом Щёткина — Блюмберга (усиление болезненности при резком отнятии руки после продавливания передней брюшной стенки).
Симптом Раздольского (зона перкуторной болезненности) при этом происходит сотрясение париетальной брюшины вовлечённой в воспалительный процесс.
Патогномоничные симптомы:
Симптом Воскресенского или симптом «скольжения» (усиление болезненности в зонах кожной гиперестезии (зоны повышенной чувствительности) при поверхностном проведении руки врача от мечевидного отростка в стороны).
Симптом Ровзинга (усиление боли в правой подвздошной области справа при толчкообразном надавливании на брюшную стенку в левой подвздошной области) происходит вследствие ретроградного смещения газовой волны и перерастяжении червеобразного отростка.
Симптом Образцова (усиление болей при пальпации правой подвздошной области при поднятой выпрямленной правой нижней конечности).
Симптом Ситковского (усиление болей при повороте больного на левый бок происходит из-за смещения воспалённого червеобразного отростка и натяжении брыжейки. Этот патогномоничный симптом у женщин во второй половине беременности может быть отрицательным и для подтверждения диагноза рекомендуется определение симптома Ситковского наоборот (усиление болей при повороте беременной женщины на правый бок). При этом происходит давление на червеобразный отросток беременной матки.
Симптом Бартомье-Михельсона (усиление болей при пальпации правой подвздошной области в положении на левом боку). При этом из-за смещения влево большого сальника и других подвижных органов брюшной полости, червеобразный отросток становится более доступным для пальпации.
Симптом Коупа (усиление болей при переразгибании нижней конечности в тазобедренном суставе или при ротации снаружи правой стопы).
Для катарального аппендицита чаще всего характерно отсутствие стула в первые сутки заболевания, реже дизурические расстройства, особенно при тазовом расположении отростка, верхушка которого находится неподалёку от мочевого пузыря или мочеточника. При внешнем осмотре живота особых изменений не выявляется. Иногда можно заметить ассиметричность брюшной стенки при дыхательной экскурсии. Признаков раздражения брюшины вначале не отмечается, за исключением локальных болей при глубокой пальпации в точке Мак-Бурнея. Затем при поверхностной пальпации боли усиливаются, при вовлечении брюшины самого отростка они уже могут носить распространённый характер с различной иррадиацией, в зависимости от расположения отростка. Наиболее характерный признак в катаральной фазе аппендицита — зона гиперестезии кожи, что следует рассматривать как проявление органно-кутанного рефлекса. При стабильности катарального процесса можно определить симптом Ровзинга, симптом Ситковского, симптом Бартомье — Михельсона, симптом «смещения отростка», усиление болей при поднятии и резком отпускании левой половины брюшной стенки в положении на левом боку. Характерным для всех стадий развития острого аппендицита являются симптомы Образцова, и Коупа.
Флегмонозный аппендицит. В этой стадии больные в большинстве случаев поступают в стационар. Боли в правой подвздошной области носят иногда дёргающий, пульсирующий характер, они более постоянны и сопровождаются частой тошнотой без рвоты. Живот заметно отстаёт в дыхании, особенно правая его половина. При поверхностной пальпации определяется усиление болей в подвздошной области справа и здесь же ощущается напряжение мышц, defans, что свидетельствует о переходе воспалительного процесса за пределы серозного слоя червеобразного отростка и вовлечения париетальной брюшины над слепой кишкой. В стадии флегмонозного процесса в большинстве случаев проявляется наиболее достоверный симптом Щёткина — Блюмберга, симптом Раздольского, определение перкуторной болезненности и зона Раздольского измеряемая в сантиметрах, симптом Воскресенского. Вначале эти симптомы выявляются над слепой кишкой, при дальнейшем распространении воспалительного процесса на другие площади брюшины симптом проявляются во всех отделах живота.
Для гангренозной формы характерно тяжёлое состояние больного, болевой синдром или резко усиливается или совсем исчезает вследствие гибели нервных окончаний. Как проявление быстронарастающей интоксикации появляется эйфория, апатия, обезвоживание, тахикардия, может наблюдаться симптом «ножниц» — несоответствие частоты сердечных сокращений и температуры тела.
Прободная форма острого аппендицита характеризуется сразу же в возникновения резких болей в правой подвздошной области, которые постепенно ослабевают, повторной рвотой, прогрессирующей интоксикацией и по мере развития поражения брюшины клиникой разлитого перитонита.
Атипичные формы
Эмпиема червеобразного отростка встречается в 1,2 % случаев острого аппендицита. Боли сразу же локализуются в правой подвздошной области, носят пульсирующий характер. Мышечное напряжение передней брюшной стенки, а также симптомы раздражения брюшины могут отсутствовать, при этом выявляются характерные для острого аппендицита симптомы Ситковского, Ровзинга, Бартомье-Михельсона.
Ретроцекальный аппендицит составляет 8-20 % случаев острого аппендицита. При этом червеобразный отросток расположен позади слепой кишки и тесно прилегает к ней, что вызывает переход воспалительного процесса из отростка на стенки кишки, вызывая явления тифлита. Начало заболевания при этом такое же, как и при типичной локализации. Одно из характерных клинических проявлений ретроцекального аппендицита — жидкий неоднократный стул как результат вовлечения в процесс слепой кишки. При экстраперитонеальном расположении отростка возможно появление дизурии из-за контакта с мочеточником или лоханкой почки. Признаки раздражения брюшины при этом, как правило, отсутствуют или резко ослаблены, при обследовании поясничной области выявляется напряжение мышц спины или симптом Пастернацкого. Патогномоничными симптомами ретроцекального аппендицита является выявление симптома Образцова, Коупа и Яуре — Розанова (болезненность при пальпации в поясничном треугольнике). Характерно также более быстрое развитие интоксикации, которое может рассматриваться как обострение хронического заболевания почек. Воспалительная картина крови характерна для всех стадий развития ретроцекального аппендицита. Очень часто наряду с этим определяется лейкоцитурия, эритроцитурия из-за контакта аппендикулярного отростка с мочеточником, что требует дифференциальной диагностики с почечной коликой, острым пиелонефритом.
Острый тазовый аппендицит является результатом воспаления червеобразного отростка, расположенного в малом тазу. У мужчин он составляет 11 % всех локализаций, у женщин 21 %. Диагностика острого аппендицита наиболее трудна у женщин, у которых нередко возникает острое воспаление придатков матки. В клинической картине характерно появление частого жидкого стула с тенезмами, вследствие контакта с прямой кишкой. Признаки раздражения брюшины долго могут не определяться. Характерным является появление симптома Коупа. Температурная реакция и лейкоцитоз выражены умеренно.
Острый подпечёночный аппендицит сопровождается резкими болями в правом подреберье, напряжением мышц правой половины живота. Обычно при беседе с пациентом выясняется, что приступ болей начался в эпигастральной области, вместе с тошнотой и рвотой, затем боли переместились в область правого подреберья, но иррадиации в надплечье, в шею, лопатку, как это свойственно для холецистита, не отмечается. При холецистите часто пальпируется увеличенный жёлчный пузырь, отмечается положительный симптом Грекова-Ортнера, горечь во рту и другие признаки. При остром же аппендиците обнаружить увеличенный жёлчный пузырь не удаётся. Правда, в поздних случаях, то есть спустя 3-4 дня, при остром аппендиците в правом подреберье может определяться инфильтрат, но без резко выраженного симптома Щёткина — Блюмберга, в связи с глубоким расположением отростка и прикрытием его печенью.
Левосторонний аппендицит встречается весьма редко, обычно при обратном расположении всех органов, но также бывает при подвижной слепой кишке с длинной брыжейкой отростка. В диагностике левостороннего аппендицита помогают данные, подтверждающие обратное расположение органов (перкуссия, аускультация, УЗИ, лапароскопия).
Диагноз «острый аппендицит» — клинический (обычно его ставит врач-хирург, определяя показания к экстренной операции).
Точная морфологическая форма заболевания (катаральный, флегмонозный, гангренозный) выявляется только интраоперационно, во время диагностической лапароскопии или первом этапе лапаротомии (в отечественной традиции такой диагноз называется «Послеоперационный диагноз»).
- Удалённый червеобразный отросток исследуется гистологически (обычно требуется 5-7 рабочих дней) для подтверждения и детализации интраоперационного диагноза.
- Достоверных лабораторных изменений крови, мочи, других биологических жидкостей, позволяющих определить диагноз острого аппендицита без хирургического вмешательства, в настоящее время не существует.
При остром аппендиците наблюдаются неспецифические изменения анализов крови, характерные для воспалительной реакции как таковой: повышение числа лейкоцитов в крови, повышение скорости оседания эритроцитов, подъём С-реактивного белка после первых 12 часов, небольшое количество эритроцитов и лейкоцитов в моче («токсические изменения мочи»).
- В зарубежной литературе последних 2-3 лет появились сообщения, что при деструктивных формах острого аппендицита может быть характерным повышение общего билирубина сыворотки крови более 18,5 мкмоль/л. Возможное объяснение гипербилирубинемии — всасывание токсических продуктов из червеобразного отростка в вены отростка, поступление по портальной системе в печень, токсические изменения гепатоцитов, которые ведут к повышению уровня билирубина. В настоящее время эти сведения нуждаются в подтверждении.
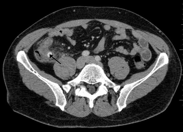
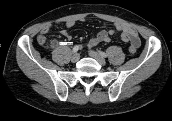
Ультразвуковое исследование — дилятация просвета (диаметр более 6 мм), отсутствие перистальтики, иногда может лоцироваться копролит. Ультразвуковое исследование должно быть первым инструментальным обследованием при подозрении на аппендицит. Обнаруживаются наполненная жидкостью, несжимаемая трубчатая конструкция с диаметром, превышающим 6 мм, аппендиколит, околоаппендикулярная перицекальная жидкость.
- Наиболее частый эхопризнак острого аппендицита — наличие свободной жидкости в правой подвздошной ямке (то есть вокруг отростка) и (или) в полости малого таза (наиболее отлогом месте брюшной полости) — симптомы местного перитонита.
- Ультразвуковое исследование при остром аппендиците не всегда специфично. Для лоцирования (обнаружения) червеобразного отростка требуются: наличие обтурации отростка, опыт и аппарат экспертного класса. При гангренозно-перфоративном аппендиците содержимое отростка изливается в брюшную полость, дилятация исчезает, отросток может не лоцироваться. Вместе с тем, обязательно лоцируется свободная жидкость в брюшной полости, может лоцироваться «свободный газ» в брюшной полости, паретичные петли тонкой кишки.
Усложняют ультразвуковое исследование кишечные газы, ожирение, защитная фиксация, движения. Обнаружение нормального аппендикса при ультразвуковом исследовании является основанием для исключения аппендицита.
Рентгенография брюшной полости на ранних стадиях заболевания не информативна, возможно выявление лишь косвенных признаков патологического процесса в брюшной полости (симптом «сторожевой петли»). При развитии распространённого перитонита (по классификации Симоняна — на паралитической и терминальной стадиях перитонита) — появляются признаки паралитической кишечной непроходимости: «чаши Клойбера», «тонкокишечные арки», исчезает пневматизация толстой кишки. В 10 % — 20 % случаев рентгенография показывает копролит (каловый камень).
Рентгеноскопия (ирригоскопия) показана при подозрении на хронический аппендицит. Один из признаков хронического аппендицита — отсутствие заполнения просвета отростка контрастным веществом.
Диагностическая лапароскопия показана в сомнительных случаях, может переходить в лечебную лапароскопию при технической возможности, когда имеются условия для лапароскопической аппендэктомии..
Компьютерная томография информативна при наличии спирального томографа, когда выявляется обтурация червеобразного отростка, расширение его просвета, утолщение стенки (> 1 мм), признаки свободной жидкости (воспалительного выпота) в брюшной полости.
Радионуклидное исследование с лейкоцитами меченными 99Тс.
Если история болезни, физикальное и лабораторное обследование не позволяют подтвердить или исключить аппендицит, рекомендуется произвести повторный общий анализ крови с повторным клиническим обследованием с пальпацией следующим утром. В большинстве случаев при отсутствии аппендицита наступает улучшение, и пациента можно отправить домой. У детей с аппендицитом наблюдается усиление боли, поэтому применяют антибиотики внутривенно пока не будет произведена аппендэктомия[19].
Острый аппендицит — самая частая причина неотложных хирургических вмешательств у беременных. Частота острого аппендицита у беременных: 1 случай на 700—2000 беременных.
Анатомо-физиологические особенности женского организма затрудняют своевременную диагностику аппендицита. Это приводит к большей частоте развития осложнённых форм, что может привести к прерыванию беременности и гибели плода.
Правильной хирургической тактикой является ранняя аппендэктомия у беременных. Она позволяет избежать осложнений и спасает как жизнь матери, так и ребёнка.
Особенности организма женщины при беременности, влияющие на постановку диагноза и хирургическую тактику:
- стёртая клиническая картина «острого живота» вследствие гормональных, метаболических, физиологических изменений;
- прогрессирующее ослабление мышц передней брюшной стенки за счёт их растяжения растущей маткой;
- смещение внутренних органов растущей маткой: аппендикс и слепая кишка смещаются краниально, брюшная стенка поднимается и отодвигается от отростка.
У беременных при остром аппендиците отмечается острая боль в животе, которая приобретает постоянный ноющий характер и перемещается в место локализации отростка (правый боковой отдел живота, правое подреберье). Отмечают наличие положительного симптома Тараненко — усиление боли в животе при повороте с левого бока на правый.
Дифференциальный диагноз
При остром гастроэнтерите характерно острое начало различных болей в животе, неоднократная рвота, частый жидкий стул. При расспросе выясняется нарушение диеты: употребление жирной пищи, алкоголя и другого. При исследовании живота обнаруживается отсутствие локализованной болезненности и симптомов раздражения брюшины. Больные указывают на наличие слизи при акте дефекации, при этом температура тела и количество лейкоцитов периферической крови остаются нормальными.
Острый панкреатит вначале может имитировать острый аппендицит. Однако боли при панкреатите чрезвычайно сильны, в верхнем отделе носят опоясывающий характер. Мучительная частая рвота, прогрессируют явления интоксикации, больные становятся апатичными, нередко у них проявляется эйфория. Быстро нарастает метеоризм, диастазурия и другие. При деструктивном панкреатите, когда выпот по правому латеральному каналу спускается к подвздошной области, в таз, возникают боли, напоминающие острый аппендицит (симптом Кохера-Волковича). Однако тщательный расспрос, диастазурия, УЗИ, лапароскопия могут помочь дифференцировать панкреатит от аппендицита.
Прикрытая прободная язва двенадцатиперстной кишки — в классическом проявлении её трудно спутать с аппендицитом, а вот диагностика прикрытой перфорации составляет определённые трудности. Тем более в том и другом случае определяется положительный симптом Кохера-Волковича. При остром аппендиците начало заболевания более или менее постепенное. Наличие рвоты свидетельствует больше за острый аппендицит, так как рвоты при прободной язве практически не бывает. Температура тела при аппендиците повышена, а при прободной язве может долгое время быть нормальной или пониженной. При прободной язве может наблюдаться правосторонний или левосторонний френикус-симптом. Сглаженность печёночной тупости при перкуссии, наличие скопления газа в виде серпа в поддиафрагмальном пространстве при обзорной рентгенографии брюшной полости, выраженная брадикардия должны склонить врача к диагнозу прободной язвы желудка. В редких случаях для исключения прободной язвы выполняется фиброгастроскопия с проведением пробы Тейлора, при которой в желудок инсуфлируется 500 мл воздуха. В последующем выполняется обзорная рентгенография брюшной полости для исключения пневмоперитонеума. Окончательно подтвердить диагноз позволяет лапароскопия.
При расположении червеобразного отростка под печенью необходимо исключить острый холецистит. В некоторых случаях при низко расположенном жёлчном пузыре может проявиться клиника острого аппендицита, когда боли и напряжение мышц интенсивнее выражены в правой подвздошной области. Однако иррадиация боли в правое надплечье, лопатку, повторные рвоты желчью, увеличение печени, желтушность, склер, данные ультразвукового исследования (утолщение стенки жёлчного пузыря, выпот в подпечёночном пространстве) свидетельствуют о холецистите.
Заболевания органов мочеполовой системы. Следует остановиться на отличии острого аппендицита от камня почки, камня мочеточника, правостороннего пиелита. Здесь следует помнить, что приступ почечной колики начинается с чрезвычайно сильных болей в правой поясничной или подвздошной области, часто выражен симптом Пастернацкого и напряжения мышц в области поясницы. Отмечается частая рвота рефлекторного генеза. Боли чаще всего иррадиируют в бедро и половые органы, частые позывы на мочеиспускание. При забрюшинном расположении червеобразного отростка близко к мочеточнику или лоханке, при тазовом расположении, когда отросток соприкасается со стенкой мочевого пузыря, также отмечаются дизурические расстройства. Сомнения обычно разрешаются при исследовании мочи, УЗИ почек и проведении урологического обследования.
У женщин нередко трудно отличить острый аппендицит от аднексита, при котором наблюдается гипертермия и характерна боль в нижнем отделе живота с иррадиацией в крестец и поясницу. Диагноз уточняется при влагалищном исследовании, однако даже при этом аппендикулярный инфильтрат или сформированный абсцесс могут быть ошибочно приняты за увеличенные правые придатки.
Внематочная беременность, в отличие от острого аппендицита, характеризуется сильными болями в животе с иррадиацией в прямую кишку или появлением френикус-симптома справа или слева. При этом всегда возникают симптомы кровотечения в брюшную полость (бледность кожных покровов, слабость, симптом «ваньки-встаньки», симптом Кулленкампфа). Характерна задержка менструации или изменение её характера, при влагалищном исследовании отмечаются кровянистые выделения, увеличение матки и придатков, нависание сводов влагалища. Получение крови при пункции заднего свода влагалища помогает полностью исключить острый аппендицит.
Апоплексия яичника проявляется картиной внутреннего кровотечения, возникшего после резкой кратковременной боли внизу живота. Температура тела, как правило, нормальная, но отмечаются тупость в отлогих местах и признаки внутрибрюшного кровотечения. Трудности в диагностике, так же как и при прервавшейся внематочной беременности, возникают при отсутствии симптомов анемии. Диагноз уточняется также при влагалищном исследовании, диагностической пункции заднего свода, УЗИ, лапароскопии.
Клиника Меккелева дивертикулита и терминального илеита мало, чем отличается от аппендицита, поэтому их диагностика, как правило, уточняется во время лапароскопии или операции.
Некоторые трудности диагностики возникают при туберкулёзе слепой кишки. Такие больные иногда оперируются по поводу острого аппендицита. Чтобы избежать ошибок, следует помнить, что при туберкулёзе кишечника имеются общие признаки специфической интоксикации (длительный субфебрилитет, кашель, потливость). Важную роль в диагностике имеет тщательно собранный анамнез.
Важно отличать признаки капилляротоксикоза (болезнь Шенлейн-Геноха), который проявляется кровоизлияниями в подсерозный слой кишечника, в париетальную и висцеральную брюшину. При этом больные ощущают острые боли в животе неопределённой локализации. Диагностика в этих случаях трудна, следует принимать во внимание данные об отсутствии какой-либо общей инфекции и местных признаков острого аппендицита.
Мезаденит (воспаление лимфатических узлов брыжейки тонкой кишки) иногда клинически напоминает острый аппендицит. Возникает у детей и лиц молодого возраста. Характерна высокая температура тела, указание на перенесённое недавно острое респираторное заболевание. В отличие от острого аппендицита при пальпации живота выявляют болезненность по ходу прикрепления брыжейки тонкой кишки. Определяется симптом Клейна (при повороте больного на левый бок боли смещаются в левую подвздошную область).
Особенности течения острого аппендицита у беременных, детей и лиц пожилого возраста
Острый аппендицит у беременных. Проявления острого аппендицита в первой половине беременности ничем не отличается от обычных его проявлений. Во второй половине беременности смещение слепой кишки и червеобразного отростка переходной складкой брюшины приводит к изменению локализации болей при остром аппендиците. Локализация болей смещается в правую фланковую область или область правого подреберья. Больные не обращают внимания на эти боли, относя их за счёт проявлений беременности. Рвота, нередко отмечающаяся у беременных, также не вызывает у них особого беспокойства. Напряжение мышц брюшной стенки в ранние сроки беременности выражено хорошо, но в поздние сроки беременности вследствие сильного растяжения мышц живота выявить их защитное напряжение бывает довольно трудно. Симптом Щёткина — Блюмберга обычно хорошо выражен. Если воспалённый червеобразный отросток расположен позади увеличенной матки, то симптомы раздражения брюшины могут не определяться. Всех беременных, заболевших острым аппендицитом, необходимо оперировать.
Острый аппендицит у детей. У детей острый аппендицит встречается чаще в возрасте старше 4 лет. В более раннем возрасте острый аппендицит встречается очень редко, хотя известны случаи острого аппендицита даже у грудных детей (А. А. Русанов, 1979). Течение заболевания у детей в целом более тяжёлое, чем у взрослых. При этом реже происходит отграничение процесса и чаще развивается разлитой перитонит. Иногда отсутствуют анамнестические симптомы смещения болей из эпигастрия или околопупочной области, и патогномоничные болевые симптомы у детей могут определяться в области пупка. Температура тела, как правило, достигает фебрильных цифр в самом начале заболевания и сопровождается тошнотой и многократной рвотой желудочным содержимым с примесью жёлчи. В связи с этим возникают трудности дифференциальной диагностики аппендицита у детей. С одной стороны, ряд инфекционных заболеваний у них протекают с болями в животе, с другой — аппендицит у детей может протекать с выраженными явлениями интоксикации без местных проявлений. Поэтому дети при жалобах на боли в животе требуют большого внимания всех врачей. Нелегко иногда отличить пневмонию, брюшной тиф, скарлатину, глистную инвазию, болезнь Шенлейн — Геноха. Пневмония у детей начинается, как правило, остро, сопровождается кашлем, одышкой, цианозом. Базальные пневмонии, плевриты могут сопровождаться напряжением мышц передней брюшной стенки, болью в правой подвздошной области, однако они менее выражены, чем при остром аппендиците. Ряд детских инфекций сопровождается воспалительной реакцией лимфатических желёз брюшной полости, особенно в илеоцекальной области.
Пожилые больные. Клинические проявления острого аппендицита у пожилых людей могут ничем не отличаться от проявлений заболевания у лиц молодого и среднего возраста. Однако в 20 % случаев (А. Н. Шабанов, 1975) течение острого аппендицита бывает стёртым, и клинические проявления могут быть не выражены, несмотря на развитие деструктивного процесса. Часто такие больные поступают в стационар на 2-3 сутки от начала заболевания, могут долгое время заниматься самолечением. Нередко имеющиеся сопутствующие заболевания уменьшают клинические проявления катастрофы в брюшной полости, поэтому в этой группе больных часто развивается аппендикулярный инфильтрат. Кроме этого, на фоне системного атеросклероза и сниженной резистентности организма, у пожилых больных чаще развивается первично-гангренозный аппендицит. Необходимо знать, что при основных признаках общей инфекции местные симптомы аппендицита могут быть слабо выражены; температура обычно высокая, частый малый пульс, умеренный лейкоцитоз или даже лейкопения. При проведении дифференциального диагноза врачу необходимо помнить об опухолях правой половины толстого кишечника, которые могут сопровождаться интоксикацией и болевым синдромом в правой подвздошной области.
Лечение
На догоспитальном этапе запрещается: применять местное тепло (грелки) на область живота, вводить наркотики и другие болеутоляющие средства, давать больным слабительное и применять клизмы.
Лечение начинается с введения физиологического раствора и антибиотиков широкого спектра действия внутривенно. Антибиотики одинарного и двойного действия также эффективны, как и антибиотики тройного действия. Дальнейшие действия зависят от того, наблюдается ли перфорированные или неперфорированный аппендицит. Если у пациента симптомы наблюдаются менее 24 часов, риск перфорированности незначителен. Для них терапия антибиотиками и растворами приводит к остановке прогресса заболевания в сторону перфорации и даже к улучшению состояния. Такие пациенты должны подготавливаться к аппендэктомии. В отношении пациентов, у которых симптомы наблюдаются до 5-7 суток, лечение производится подобным же образом. Если симптомы наблюдаются более 7 суток, вероятность перфорации с абсцессом или без него значительна. Если симптомы проявлялись в течение длительного срока, аппендектомия усложняется и учащаются постоперационные осложнения. Это повышает требования к консервативному лечению. Консервативное лечение включает применение антибиотиков внутривенно, обеспечение оттока внутрибрюшного абсцесса при наличии, с использованием хирургической радиологической техники. В то же время применение консервативного лечения является спорным и многие врачи практикуют немедленную аппендэктомию без применения консервативного лечения.
Пациенты с неперфорированным аппендиксом получают лечение антибиотиками в течение максимум суток. Единичная предоперационная доза должна быть такой, чтобы уменьшить риск раневой инфекции. Лечение антибиотиками пациентов с перфорированным аппендиксом продолжается до устранения клинических симптомов (устранение лихорадки, восстановление функций желудочно-кишечного тракта, нормализация лейкоцитарной формулы). Если лечение антибиотиками внутривенно дало результаты менее чем через 5 дней, можно перейти на пероральный приём антибиотиков для того, чтобы закончить 7-дневный курс.
Постановка диагноза острого аппендицита является показанием к проведению экстренного оперативного лечения. При отсутствии явлений разлитого перитонита используется доступ Макбурнея (McBurney), иногда называемый в отечественной литературе доступом Волковича-Дьяконова. Основной этап операции при остром аппендиците — аппендэктомия (удаление червеобразного отростка).
Осложнения
Разрыв червеобразного отростка, периаппендикулярный инфильтрат или же аппендикулярный инфильтрат, периаппендикулярный абсцесс, перитонит, абсцесс брюшной полости, флегмона забрюшинного пространства, пилефлебит, тромбофлебит вен малого таза, гнойный пилефлебит (восходящий септический тромбофлебит системы воротной вены), сепсис.
Прогноз
При своевременной операции прогноз благоприятный. Летальность составляет 0,1 % в случае непрободного острого аппендицита, 3 % — при перфорации и 15 % — при прободном аппендиците у пожилых больных.
См. также
Примечания
Литература
- Петров С. В. Общая хирургия: Учебник для вузов. — 2-е изд. — 2004. — 768 с. — ISBN 5-318-00564-0.
Ссылки
- Appendicitis: Acute Abdomen and Surgical Gastroenterology (англ.) from the Merck Manual Professional


