Неалкогольная жировая болезнь печени
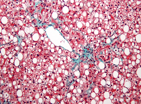
Неалкогольная жировая болезнь печени (НЖБП[источник не указан 2257 дней] или НАЖБП[2]) — частный случай стеатогепатоза, возникающего у людей, не злоупотребляющих алкоголем. Он связан с инсулинорезистентностью и метаболическим синдромом. Лечение включает в себя снижение веса, приём сахароснижающих препаратов (метформин, тиазолидиндионы)[3]. Неалкогольный стеатогепатит — наиболее тяжёлая форма НЖБП, приводящая к циррозу печени[4].
По результатам Всероссийского эпидемиологического исследования распространённости неалкогольной жировой болезни печени, которое проводилось в 16 городах РФ в 2013—2014 годах, и в котором приняли участие более 50 тысяч пациентов, неалкогольная жировая болезнь печени (НАЖБП) выявлена у 37,3 % россиян[2].
Что важно знать


