Гингивит
Гингиви́т (лат. gingivitis; от лат. gingiva — «десна» и лат. -itis — «воспаление») — это воспаление десен без нарушения целостности зубодесневого соединения[3]. При отсутствии лечения гингивит может прогрессировать в деструктивную форму заболеваний пародонта — пародонтит[4].
Что важно знать
Этиология
Гингивит, как правило, возникает из-за скопления микробного налёта на зубах, в результате несоблюдения гигиены полости рта. Гингивит также может обусловить неправильное ортодонтическое лечение, которое в комплексе с плохим уходом за зубами и полостью рта провоцирует интенсивное развитие патогенных микроорганизмов. Бактерии (реже — вирусы, грибы) являются непосредственной причиной воспаления дёсен (Streptococcus oralis, Bacteroides gingivalis, Porphyromonas gingivalis, Actinomycetes comitans, Prevotella intermedia, Actinomyces israelii)[5][6].
- табакокурение[7];
- нарушение гигиены полости рта;
- иммунодепрессивные состояния;
- отсутствие доступа к адекватной стоматологической помощи;
- недоедание;
- зубной камень;
- возраст от 3 до 6 лет;
- сахарный диабет;
- беременность;
- дефицит витамина C;
- депрессии[8];
- ОРЗ, грипп, ангина, СПИД, туберкулёз и другие заболевания;
- отравление организма тяжёлыми металлами (ртуть, висмут, свинец);
- применение оральных контрацептивов[9];
- патологии прикуса;
- проблемные пломбы;
- нарушение носового дыхания.
Патогенез
Биоплёнки (преимущественно Актиномицеты, Tannerella forsythia, Fusobacterium nucleatum, Спирохеты, Synergistetes) ответственны за образование зубного налёта и развитие гингивита, кариеса, пародонтита[10].
Эпидемиология
Гингивит чаще возникает у мужчин, чем у женщин. Заболевание преобладает больше среди групп с неблагополучным социально-экономическим положением, также лиц, не имеющих доступ к адекватной стоматологической помощи, а также среди групп населения, имеющих психические отклонения.
Классификация и симптомы гингивита
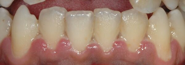
Катаральный гингивит является самой распространённой формой заболевания. Основные симптомы — это покраснение, немного отекшая десна, часто возникают мягкие и твердые отложения на зубах. При чистке зубов может наблюдаться воспаление десны и кровоточивость.
Хронический гингивит характеризуется тем, что больной практически не испытывает болевых ощущений, а само воспаление имеет длительное вялое течение. Поэтому хронический гингивит нередко обнаруживается лишь на профилактических осмотрах у стоматолога.
Во время хронического гингивита периодически возникает кровоточивость при чистке зубов, появляется неприятный запах изо рта, происходит лёгкое покраснение десны и набухание десневых сосочков. При обострении заболевания десна приобретает яркую окраску, отекает и кровоточит. Отмечается наличие зубных отложений, иногда с поражением твёрдых тканей зуба.
Характеризуется интенсивным покраснением и обильным слущиванием десневого эпителия.
Гипертрофический (гиперпластический) гингивит возникает в более редких случаях и зачастую связан с эндокринными изменениями в организме. Такой вид заболевания может встречаться у подростков (ювенильный гингивит), беременных женщин и у людей страдающих сахарным диабетом. При гипертрофическом гингивите объём зубодесневых сосочков увеличивается.
При заболевании возникает кровоточивость, выделение гноя, дёсны становятся багрово-синюшного оттенка, во рту появляется неприятный запах, зубные отложения, образуются ложно-патологические карманы.
Для гипертрофического гингивита степень тяжести определяется выраженностью гиперплазии десны: при легкой степени — до 1/3. при средней степени — до 1/2 и при тяжелой — более 1/2 коронки зуба[11].
Наиболее часто встречается в детском возрасте и связан с нарушением гигиены полости рта.
Характеризуется сильным зудом, жжением, кровоточивостью и изъязвлением дёсен.
Характеризуется уменьшением объёма десневой ткани.
В МКБ-10 классифицируется отдельно. Причиной заболевания является бактериальная инфекция, чаще всего анаэробы такие как P. intermedia, фузобактерии, а также спирохеты такие как Borrelia и Treponema. Слизистая рта воспаляется, появляется кровоточивость, неприятный запах, возникает некроз межзубных сосочков. Наблюдаются увеличение региональных лимфных узлов и повышение температуры тела. Заболевание возникает при недостаточной гигиене полости рта у молодых людей (17—30 лет). Может возникать при ОРЗ, гриппе, ангине, СПИДе, туберкулёзе и др. заболеваниях[12].
Хотя изменение гормонального баланса в организме в принципе не может стать причиной воспаления десны, оно может осложнить течение уже существующего гингивита, вызванного накоплением зубной бляшки в полости рта. Существуют несколько форм гингивита, обусловленных влиянием половых гормонов.
Эпидемиологические исследования показывают, что эта форма гингивита более характерна для годов жизни либо предшествующих, либо идущих непосредственно после полового созревания (пубертата). Данное состояние характерно для подростков с плохой гигиеной полости рта и для тех, у кого наблюдаются нарушения носового дыхания. Обычно появляется гиперплазия десны, особенно в преддверии полости рта. Лечение заключается в удалении зубного камня и улучшении личной гигиены. Иногда необходимо провести гингивэктомию[13].
Сравнительно редкий. Проявляется даже у женщин с хорошей гигиеной полости рта. Слизистая дёсен отечна и склонна кровоточить[14].
В настоящее время встречается очень редко. Характеризируется незначительной кровоточивостью, реже эритрема и припухлость дёсен[13].
Исключительно редкое состояние. В принципе эпителий десны меняется у женщин циклически в 28-дневном менструальном цикле таким образом, каким меняется и эпителий влагалища. Десквамация эпителия гингивы может быть настолько выражена, что вызывает эту особую клиническую форму гингивита. Необходимо улучшение гигиены для предотвращения вторичного гингивита[13].
Эта клиническая форма заболевания встречается у женщин после наступления менопаузы и при этом довольно редко. Слизистая полости рта бывает сухой и с маленькими красными крапинками. Пациентка жалуется на ксеростомию, иногда на ощущение жжения во рту. Лечение состоится в профессиональной гигиене, витамин А местно, в более тяжёлых случаях — консультация с гинекологом и принятие эстроген-содержащих препаратов[13].
Дифференциальная диагностика
Гингивит необходимо отличать от пародонтита и пародонтоза. Основной признак, отличающий гингивит от других заболеваний пародонта, в том, что воспалительный процесс затрагивает лишь ткань десны, остальные структуры (периодонтальные связки, удерживающие зуб в челюсти, и костная ткань) остаются без изменений. В норме глубина зубодесневого соединения составляет 1—1,5 мм, при деструкции зубодесневого соединения наблюдаются пародонтальные карманы (глубиной 4 мм и более) которые являются признаком пародонтита. При гингивите не бывает пародонтальных, но бывают ложные пародонтальные карманы, образующиеся при гипертрофической форме гингивита, и вообще при любом отёке десны. Наряду с этим признаком, для гингивита не характерны пародонтальные карманы, обнажение шеек зубов, их подвижность — эти признаки свидетельствуют о поражении костного аппарата. В целях дифференциальной диагностики используется рентгенография — для гингивита нехарактерны изменения высоты межальвеолярных перегородок[15].
Лечение гингивита
В зависимости от течения заболевания, проводят соответствующее лечение, которое может заключаться как в профессиональной чистке ротовой полости, так и в хирургическом методе лечения[16]. При тяжёлом или затяжном течении гингивита возможно системное применение антибиотиков таких как пенициллин, ципрофлоксацин, клиндамицин, противомикробных препаратов — метронидазол[17]. Для облегчения боли применяют анальгетики. Для снятия боли, отечности, ускорения заживления тканей могут применяться растворы для полоскания рта, содержащие экстракты трав, а также раствор хлоргекседина.
Осложнения
- Пародонтит и последующая потеря зубов[4];
- Инфицирование апикального периодонта, а также костей челюсти;
- Переход заболевания в язвенно-некротическую форму;
- Гематогенные инфекции — инфекционный эндокардит, гломерулонефрит.
Профилактика
- соблюдение гигиены полости рта (зубные пасты, гели, ополаскиватели)
- отказ от курения
- использование электрических зубных щёток[18]
- стоматологические гели с метронидазолом, например «Метрогил Дента»
- амбазон, 2,4-дихлорбензиловый спирт, амилметакрезол в виде таблеток для рассасывания
- полоскание полости рта растворами содержащими хлоргексидин, пероксид водорода, этанол, тимол, цинеол, метилсалицилат, ментол, метилпарабен, бензалкония хлорид, фториды и ксилит. Последние научные исследования также показали благотворное воздействие жидкостей для полоскания рта с эфирными маслами[19]
- применение зубных паст с триклозаном[20]
- употребление препаратов кальция[21]
- применение зубной нити[22].
Указанные выше профилактические меры также используются и для лечения.
Прогноз
Как правило наступает полное выздоровление, так как зубодесневое соединение не нарушено.
Примечания
Литература
- Боровский E. В. Гингивит // Большая медицинская энциклопедия, 3-е изд. — М.: Советская энциклопедия. — Т. 5.



