Абсцесс поджелудочной железы
Абсцесс поджелудочной железы определяется как ограниченное внутрибрюшное скопление гноя, обычно расположенное вблизи поджелудочной железы и содержащее некротизированную ткань поджелудочной железы. Считается, что инфицирование происходит вследствие транслокации бактерий из толстой кишки. Как правило, он развивается у пациентов с инфицированными панкреатическими псевдокистами[1].
История
Развитие абсцесса поджелудочной железы (АПЖ) впервые описал Фитц в 1889 году, а Брюэр в 1907 году успешно вылечил двух пациентов с таким диагнозом с помощью дренирования.
Классификация
АПЖ может быть классифицирован в зависимости от его происхождения на первичный и вторичный:
- первичный АПЖ — возникает в структуре поджелудочной железы без предшествующей псевдокисты. Возникает вследствие гематогенного или лимфогенного заноса инфекции либо прямого распространения из соседних органов. Чаще всего присутствует капсула.
- вторичный АПЖ возникает на фоне псевдокисты поджелудочной железы.
Этиология
АПЖ обычно развивается у пациентов с инфицированными панкреатическими псевдокистами в результате транслокации бактерий из толстой кишки. Поэтому возбудителями чаще всего являются грамотрицательные бактерии, особенно Escherichia coli, Klebsiella и Pseudomonas, хотя также встречаются и грамположительные бактерии, наиболее часто — Enterococcus. Также АПЖ может возникнуть как осложнения острого панкреатита. В редких случаях причиной развития АПЖ могут стать лекарственные препараты, тупая травма живота и распространение абсцессов из соседних структур[1].
Патогенез
Существует множество теорий, объясняющих патофизиологические механизмы развития острого панкреатита и его осложнений. В 1896 году Чиари предложил теорию «триптического аутопереваривания» поджелудочной железы. Многочисленные исследования подчёркивают важность протеолитических ферментов, особенно как причины шока и дыхательной недостаточности. В кровотоке обнаруживаются высокие уровни иммунореактивного трипсина и эластазы, что указывает на высвобождение активированных ферментов. Также описана фосфолипазная и простагландиноподобная активность в плазме. Однако причина активации протеолитических ферментов, которые в норме присутствуют в клетках железы в виде неактивных проферментов, остаётся неясной. Среди возможных механизмов рассматривают ишемию, повреждение капилляров, разрушение протоков, их обструкцию, рефлюкс дуоденального содержимого, нарушение барьера слизистой панкреатического протока или дисбаланс между активированными протеазами и их ингибиторами.
При этом поджелудочная железа имеет собственный специфический ингибитор трипсина, который защищает от внутрижелезистой активации трипсиногена. У пациентов с тяжёлым панкреатитом его уровни снижены. Дисбаланс между протеазами и антипротеазами при тяжёлом панкреатите считается ответственным за развитие серьёзных осложнений.
У пациентов с тяжёлым острым панкреатитом наблюдаются микроскопические изъязвления слизистой желудочно-кишечного тракта, что создаёт путь для проникновения кишечных бактерий в мезентериальные лимфатические узлы, откуда они могут распространяться в зоны некроза.
Эпидемиология
АПЖ является редким осложнением острого панкреатита и встречается примерно в 2 % случаев[2].
Диагностика
Клиническая картина
Клинически проявляется ухудшением состояния после периода мнимого улучшения: нарастающей лихорадкой гектического характера, усилением болей в эпигастрии с иррадиацией в спину, появлением интоксикации (слабость, тахикардия, ознобы). При пальпации может определяться болезненное образование в верхних отделах живота, у 30 % пациентов развивается картина сепсис[1][3].
Лабораторная диагностика
Общий анализ крови: характерен лейкоцитоз, повышение скорости оседания эритроцитов, может быть анемия и повышение гематокрита.
Биохимический анализ крови: повышение концентрации билирубина и активности щелочной фосфотазы, аланинаминотрансферазы, аспартатаминотрансферазы, лактатдегидрогеназы, амилазы и липазы[1].
Инструментальная диагностика
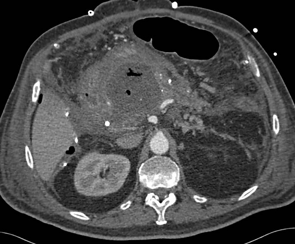
При компьютерной томографии и магнитно-резонансной томографии АПЖ характеризуется очаговым скоплением жидкости с плотной капсулой в парапанкреатической клетчатке, наличием газовых пузырей, признаками некроза, сдавлением соседних органов и реактивным выпотом[1].
Дифференциальная диагностика
Дифференциальную диагностику проводят со следующими состояниями:
- панкреатические псевдокисты;
- язва желудка;
- холангит;
- острый холецистит;
- мезентериальный тромбоз;
- кишечная непроходимость;
- перфорация полого органа[1].
Осложнения
К возможным осложнениям относятся:
- сепсис;
- септический шок;
- полиорганная недостаточность;
- формирование свищей;
- летальный исход[1].
Лечение
При лечении абсцесса поджелудочной железы может выполняться некрсеквестрэктомия. К малоинвазивным методам лечения относятся эндоскопическая некрсеквестрэктомия с дренированием или чрескожное дренирование под контролем ультразвукового исследования или под навигацией под контролем компьютерной томографии[1].
Прогноз
Прогноз зависит от тяжести инфекционного процесса. АПЖ является потенциально жизнеугрожающим осложнением, которое без своевременного и адекватного лечения может привести к летальному исходу. У пациентов существует высокий риск развития полиорганной недостаточности и сепсиса. В случаях, когда инфицированный абсцесс не дренируется хирургическим или эндоскопическим путём, летальность может достигать 100 %[1][4].
Примечания
Литература
- Кригер А. Г., Котельников А. Г. Хирургическая панкреатология. — М.: РИА «Внешторгиздат», 2021. — 332 с. — ISBN 978-5-9022-71-35-2.
- Чистохин С. Ю., Белоцкая Л. В. К лечению кист и абсцессов поджелудочной железы // Acta Biomedica Scientifica. — 2007. — № 4S.
- Королёв Михаил Павлович, Аванесян Рубен Гарриевич, Михайлова Елена Анатольевна. Трансселезёночное миниинвазивное дренирование абсцессов и постнекротических кист хвоста поджелудочной железы // Вестник хирургии имени И. И. Грекова. — 2016. — № 6.


