Ультразвуковое исследование
Ультразвуковое исследование (УЗИ), сонография — неинвазивное исследование организма человека или животного с помощью ультразвуковых волн.
Физические основы
Физическая основа УЗИ — пьезоэлектрический эффект[2]. При деформации монокристаллов некоторых химических соединений (кварц, титанат бария) под воздействием ультразвуковых волн, на поверхности этих кристаллов возникают противоположные по знаку электрические заряды — прямой пьезоэлектрический эффект. При подаче на них переменного электрического заряда в кристаллах возникают механические колебания с излучением ультразвуковых волн. Таким образом, один и тот же пьезоэлемент может быть попеременно то приёмником, то источником ультразвуковых волн. Эта часть в ультразвуковых аппаратах называется акустическим преобразователем, трансдьюсером (transducer) или датчиком (датчик преобразователя содержит один или множество кварцевых кристаллов, которые также называются пьезоэлементами). Одни и те же кристаллы используются для приема и передачи звуковых волн. Также датчик имеет звукопоглощающий слой, который фильтрует звуковые волны, и акустическую линзу, которая позволяет сфокусироваться на необходимой волне.
Ультразвук распространяется в средах в виде чередующихся зон сжатия и расширения вещества. Звуковые волны, в том числе и ультразвуковые, характеризуются периодом колебания — длительностью одного полного цикла упругого колебания среды; частотой — числом колебаний в единицу времени; длиной — расстоянием между точками одной фазы и скоростью распространения, которая зависит главным образом от упругости и плотности среды. Длина волны обратно пропорциональна её периоду. Чем выше частота волны, тем выше разрешающая способность ультразвукового датчика. В системах медицинской ультразвуковой диагностики обычно используют частоты от 2 до 29 МГц. Разрешающая способность современных ультразвуковых аппаратов может достигать долей мм.
Любая среда, в том числе и ткани организма, препятствует распространению ультразвука, то есть обладает различным акустическим сопротивлением, величина которого зависит от их плотности и скорости распространения звуковых волн. Чем выше эти параметры, тем больше акустическое сопротивление. Такая общая характеристика любой эластической среды обозначается термином «акустический импеданс».
Достигнув границы двух сред с различным акустическим сопротивлением, пучок ультразвуковых волн претерпевает существенные изменения: одна его часть продолжает распространяться в новой среде, в той или иной степени поглощаясь ею, другая — отражается. Коэффициент отражения зависит от разности величин акустического сопротивления граничащих друг с другом тканей: чем это различие больше, тем больше отражение и, естественно, больше интенсивность зарегистрированного сигнала, а значит, тем светлее и ярче он будет выглядеть на экране аппарата. Полным отражателем является граница между тканями и воздухом.[3]
В простейшем варианте реализации метод позволяет оценить расстояние до границы разделения плотностей двух тел, основываясь на времени прохождения волны, отраженной от границы раздела. Более сложные методы исследования (например, основанные на эффекте Доплера) позволяют определить скорость движения границы раздела плотностей, а также разницу в плотностях, образующих границу.
Ультразвуковые колебания при распространении подчиняются законам геометрической оптики. В однородной среде они распространяются прямолинейно и с постоянной скоростью. На границе различных сред с неодинаковой акустической плотностью часть лучей отражается, а часть преломляется, продолжая прямолинейное распространение. Чем выше градиент перепада акустической плотности граничных сред, тем большая часть ультразвуковых колебаний отражается. Так как на границе перехода ультразвука из воздуха на кожу происходит отражение 99,99 % колебаний, то при ультразвуковом сканировании пациента необходимо смазывание поверхности кожи водным желе, которое выполняет роль переходной среды. Отражение зависит от угла падения луча (наибольшее при перпендикулярном направлении) и частоты ультразвуковых колебаний (при более высокой частоте большая часть отражается).
Для исследования органов брюшной полости и забрюшинного пространства, а также полости малого таза используется частота 2,5 — 3,5 МГц, для исследования щитовидной железы используется частота 7,5 МГц.
Особый интерес в диагностике вызывает использование эффекта Доплера. Суть эффекта заключается в изменении частоты звука вследствие относительного движения источника и приемника звука. Когда звук отражается от движущегося объекта, частота отраженного сигнала изменяется (происходит сдвиг частоты).
При наложении первичных и отраженных сигналов возникают биения, которые прослушиваются с помощью наушников или громкоговорителя.
Составляющие системы ультразвуковой диагностики
Генератором ультразвуковых волн является датчик, который одновременно играет роль приемника отраженных эхосигналов. Генератор работает в импульсном режиме, посылая около 1000 импульсов в секунду. В промежутках между генерированием ультразвуковых волн пьезодатчик фиксирует отраженные сигналы.
В качестве детектора или трансдьюсера применяется сложный датчик, состоящий из нескольких сотен или тысяч[4][5] мелких пьезокристаллических преобразователей, работающих в одинаковом или разных режимах, аналогично цифровым антенным решеткам. В классический датчик вмонтирована фокусирующая линза, что дает возможность создать фокус на определённой глубине. За счет цифрового формирования луча в современных датчиках возможна также реализация его динамической фокусировки по глубине с многомерной аподизацией[4][5].
Все ультразвуковые датчики делятся на механические и электронные. В механических сканирование осуществляется за счет движения излучателя (он или вращается или качается). В электронных развертка производится электронным путём. Недостатками механических датчиков являются шум, вибрация, производимые при движении излучателя, а также низкое разрешение. Механические датчики морально устарели и в современных сканерах не используются. Электронные датчики содержат решётки излучателей[4][5], например из 512 или 1024х4 элементов[4][5], обеспечивающих за счет цифрового формирования луча три типа ультразвукового сканирования: линейное (параллельное), конвексное и секторное. Соответственно датчики или трансдьюсеры ультразвуковых аппаратов называются линейные, конвексные и секторные. Выбор датчика для каждого исследования проводится с учетом глубины и характера положения органа.
Линейные датчики используют частоту 5-15 МГц. Преимуществом линейного датчика является полное соответствие исследуемого органа положению самого трансдьюсера на поверхности тела. Недостатком линейных датчиков является сложность обеспечения во всех случаях равномерного прилегания поверхности трансдьюсера к коже пациента, что приводит к искажениям получаемого изображения по краям. Также линейные датчики за счет большей частоты позволяют получать изображение исследуемой зоны с высокой разрешающей способностью, однако глубина сканирования достаточно мала (не более 11 см). Используются в основном для исследования поверхностно расположенных структур — щитовидной железы, молочных желёз, небольших суставов и мышц, а также для исследования сосудов.
Конвексный датчик использует частоту 1,8-7,5 МГц. Имеет меньшую длину, поэтому добиться равномерности его прилегания к коже пациента более просто. Однако при использовании конвексных датчиков получаемое изображение по ширине на несколько сантиметров больше размеров самого датчика. Для уточнения анатомических ориентиров врач обязан учитывать это несоответствие. За счет меньшей частоты глубина сканирования достигает 20-25 см. Обычно используется для исследования глубоко расположенных органов: органов брюшной полости и забрюшинного пространства, мочеполовой системы, тазобедренных суставов.
Секторный датчик работает на частоте 1,5-5 МГц. Имеет ещё большее несоответствие между размерами трансдюсора и получаемым изображением, поэтому используется преимущественно в тех случаях, когда необходимо с маленького участка тела получить большой обзор на глубине. Наиболее целесообразно использование секторного сканирования при исследовании, например, через межреберные промежутки. Типичным применением секторного датчика является эхокардиография — исследование сердца.
В отличие от слышимого диапазона, ультразвук заметно ослабляется и искажается тонкими (доли мм) препятствиями, а высокое разрешение сканирования возможно только при минимальных искажениях амплитуды и времени прохождения звука. При простом прикладывании датчика образуется воздушная прослойка постоянно меняющейся толщины и геометрии. Ультразвук отражается от обеих границ прослойки, ослабевая и интерферируя с полезным отражением. Для устранения отражающих границ в месте контакта применяются специальные гели, заполняющие область между датчиком и кожей.
Обычный состав геля: глицерин, натрий тетраборнокислый, сополимер стирола с малеиновым ангидридом, вода очищенная. Например: Air polymer-type A[6].
Методики ультразвукового исследования
Отраженные эхосигналы поступают в усилитель и специальные системы реконструкции, после чего появляются на экране монитора в виде изображения срезов тела, имеющие различные оттенки серого. При позитивной регистрации максимальная интенсивность эхосигналов проявляется на экране белым цветом (эхопозитивные участки), а минимальная — чёрным (эхонегативные участки). При негативной регистрации наблюдается обратное положение. Выбор позитивной или негативной регистрации определяется личными предпочтениями оператора. Изображение, получаемое при исследовании, может быть разным в зависимости от режимов работы сканера. Выделяют следующие режимы:
- A-режим (англ. amplitude). Методика даёт информацию в виде одномерного изображения, где первая координата — это амплитуда отраженного сигнала от границы сред с разным акустическим сопротивлением, а вторая — расстояние до этой границы. Зная скорость распространения ультразвуковой волны в тканях тела человека, можно определить расстояние до этой зоны, разделив пополам (так как ультразвуковой луч проходит этот путь дважды) произведение времени возврата импульса на скорость ультразвука.
- B-режим (англ. brightness). Методика даёт информацию в виде двухмерных серошкальных томографических изображений анатомических структур в масштабе реального времени, что позволяет оценивать их морфологическое состояние.
- M-режим (англ. motion). Методика даёт информацию в виде одномерного изображения, вторая координата заменена временной. По вертикальной оси откладывается расстояние от датчика до лоцируемой структуры, а по горизонтальной — время. Используется режим в основном для исследования сердца. Дает информацию о виде кривых, отражающих амплитуду и скорость движения кардиальных структур.
Доплерография
Методика основана на использовании эффекта Доплера. Сущность эффекта состоит в том, что от движущихся объектов ультразвуковые волны отражаются с изменённой частотой. Этот сдвиг частоты пропорционален скорости движения лоцируемых структур — если движение направлено в сторону датчика, то частота увеличивается, если от датчика — уменьшается.
Различают слепую доплерографию (не считается ультразвуковым исследованием, выполняется в составе функциональной диагностики) и B-режимную (современная).
Первый устаревший вариант получил своё название из-за того, что выбор лоцируемого потока (сосуда) происходит на основании установки на приборе глубины сканирования вслепую, то есть прибор имеет только доплеровский режим, без B-режима, таким образом невозможно точно установить из какого именно сосуда получаются спектральные данные.
В современных ультразвуковых сканерах доплерография, как правило, производится в дуплексном или даже триплексном режиме, то есть сначала в В-режиме находится сосуд, потом на нём устанавливается область (контрольный объём) измерения данных соответствующая нужной глубине сканирования и получается спектр потока.
Предназначена для оценки движения подвижных сред. В частности, кровотока в относительно крупных сосудах и камерах сердца, стенок сердца. Основным видом диагностической информации является спектрографическая запись, представляющая собой развертку скорости кровотока во времени. На таком графике по вертикальной оси откладывается скорость, а по горизонтальной — время. Сигналы, отображающиеся выше горизонтальной оси, идут от потока крови, направленного к датчику, ниже этой оси — от датчика. Помимо скорости и направления кровотока, по виду доплеровской спектрограммы можно определить характер потока крови: ламинарный поток отображается в виде узкой кривой с четкими контурами, турбулентный — широкой неоднородной кривой.
Методика основана на постоянном излучении и постоянном приеме отраженных ультразвуковых волн. При этом величина сдвига частоты отраженного сигнала определяется движением всех структур на пути ультразвукового луча в пределах глубины его проникновения. Недостаток: невозможность изолированного анализа потоков в строго определённом месте. Достоинства: допускает измерение больших скоростей потоков крови.
Методика базируется на периодическом излучении серий импульсов ультразвуковых волн, которые, отразившись от эритроцитов, последовательно воспринимаются тем же датчиком. В этом режиме фиксируются сигналы, отраженные только с определённого расстояния от датчика, которые устанавливаются по усмотрению врача. Место исследования кровотока называют контрольным объёмом. Достоинства: возможность оценки кровотока в любой заданной точке.
Аналогична импульсной СД, только адаптирована не для кровотока, а для миокарда (стенки сердца).
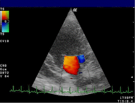
Основано на кодировании в цвете значения доплеровского сдвига излучаемой частоты. Методика обеспечивает прямую визуализацию потоков крови в сердце и в относительно крупных сосудах. Красный цвет соответствует потоку, идущему в сторону датчика, синий — от датчика. Темные оттенки этих цветов соответствуют низким скоростям, светлые оттенки — высоким. Недостаток: невозможность получения изображения мелких кровеносных сосудов с маленькой скоростью кровотока. Достоинства: позволяет оценивать как морфологическое состояние сосудов, так и состояние кровотока по ним.
Методика основана на анализе амплитуд всех эхосигналов доплеровского спектра, отражающих плотность эритроцитов в заданном объёме. Оттенки цвета (от темно-оранжевого к жёлтому) несут сведения об интенсивности эхосигнала. Диагностическое значение энергетической доплерографии заключается в возможности оценки васкуляризации органов и патологических участков. Недостаток: невозможно судить о направлении, характере и скорости кровотока. Достоинства: отображение получают все сосуды, независимо от их хода относительно ультразвукового луча, в том числе кровеносные сосуды очень небольшого диаметра и с незначительной скоростью кровотока.
Применяются также и комбинированные варианты, в частности ЦДК+ЭД — конвергентная цветовая доплерография.
Методики, дающие возможность наблюдать объемную картину пространственного расположения кровеносных сосудов в режиме реального времени в любом ракурсе, что позволяет с высокой точностью оценивать их соотношение с различными анатомическими структурами и патологическими процессами, в том числе со злокачественными опухолями. В этом режиме используется возможность запоминания нескольких кадров изображения. После включения режима исследователь перемещает датчик или изменяет его угловое положение, не нарушая контакта датчика с телом пациента. При этом записываются серии двухмерных эхограмм с небольшим шагом (малое расстояние между плоскостями сечения). На основе полученных кадров система реконструирует псевдотрёхмерное[неизвестный термин] изображение только цветной части изображения, характеризующее кровоток в сосудах. Поскольку при этом не строится реальная трехмерная модель объекта, при попытке изменения угла обзора появляются значительные геометрические искажения из-за того, что трудно обеспечить равномерное перемещение датчика вручную с нужной скоростью при регистрации информации. Метод, позволяющий получать трёхмерные изображения без искажений, называется методом трёхмерной эхографии (3D).
Эхоконтрастирование
Методика основана на внутривенном введении особых контрастирующих веществ, содержащих свободные микропузырьки газа (диаметром менее 5 мкм при их циркуляции не менее 5 минут). Полученное изображение фиксируется на экране монитора, а затем регистрируется с помощью принтера.
В клинической практике методика используется в двух направлениях.
Существенно улучшается визуализация кровотока, особенно в мелких глубоко расположенных сосудах с низкой скоростью кровотока; значительно повышается чувствительность ЦДК и ЭД; обеспечивается возможность наблюдения всех фаз контрастирования сосудов в режиме реального времени; возрастает точность оценки стенотических поражений кровеносных сосудов.
Обеспечивается избирательностью включения эхоконтрастных веществ в структуру определённых органов. Степень, скорость и накопление эхоконтраста в неизменённых и патологических тканях различны. Появляется возможность оценки перфузии органов, улучшается контрастное разрешение между нормальной и пораженной тканью, что способствует повышению точности диагностики различных заболеваний, особенно злокачественных опухолей.[7]
Применение в медицине
Эхоэнцефалография, как и доплерография, встречается в двух технических решениях: A-режим (в строгом смысле не считается ультразвуковым исследованием, входит в функциональную диагностику и в настоящее время практически не используется) и B-режим, получивший неофициальное название «нейросонография». Так как ультразвук не может эффективно проникать сквозь костную ткань, в том числе кости черепа, нейросонография выполняется только грудным детям через большой родничок.
Так же, как и эхоэнцефалография, существует в двух технических решениях (разные приборы): A-режим (обычно не считается УЗИ) и В-режим.
Ультразвуковые зонды применяются для измерения размеров глаза и определения положения хрусталика.
Ультразвуковое исследование играет важную роль в постановке диагноза заболеваний внутренних органов, таких как:
- брюшная полость и забрюшинное пространство
- органы малого таза
Ввиду относительно невысокой стоимости и высокой доступности ультразвуковое исследование является широко используемым методом обследования пациента и позволяет диагностировать достаточно большое количество заболеваний, таких как онкологические заболевания, хронические диффузные изменения в органах (диффузные изменения в печени и поджелудочной железе, почках и паренхиме почек, предстательной железе, наличие конкрементов в желчном пузыре, почках, наличие аномалий внутренних органов, жидкостных образований в органах.
В силу физических особенностей не все органы можно достоверно исследовать ультразвуковым методом, например, полые органы желудочно-кишечного тракта труднодоступны для исследования из-за содержания в них газа. Тем не менее, ультразвуковая диагностика может применяться для определения признаков кишечной непроходимости и косвенных признаков спаечного процесса. При помощи ультразвукового исследования можно обнаружить наличие свободной жидкости в брюшной полости, если её достаточно много, что может играть решающую роль в лечебной тактике ряда терапевтических и хирургических заболеваний и травм.
Ультразвуковое исследование печени является достаточно высокоинформативным. Врачом оцениваются размеры печени, её структура и однородность, наличие очаговых изменений, а также состояние кровотока. УЗИ позволяет с достаточно высокой чувствительностью и специфичностью выявить как диффузные изменения печени (жировой гепатоз, хронический гепатит и цирроз), так и очаговые (жидкостные и опухолевые образования). Обязательно следует добавить, что любые ультразвуковые заключения исследования как печени, так и других органов, необходимо оценивать только вместе с клиническими, анамнестическими данными, а также данными дополнительных обследований.
Кроме самой печени оценивается состояние жёлчного пузыря и жёлчных протоков — исследуются их размеры, толщина стенок, проходимость, наличие конкрементов, состояние окружающих тканей. УЗИ позволяет в большинстве случаев определить наличие конкрементов в полости желчного пузыря.
При исследовании поджелудочной железы оцениваются её размеры, форма, контуры, однородность паренхимы, наличие образований. Качественное УЗИ поджелудочной железы часто довольно затруднительно, так как она может частично или полностью перекрываться газами, находящимися в желудке, тонком и толстом кишечнике. Наиболее часто выносимое врачами ультразвуковой диагностики заключение «диффузные изменения в поджелудочной железе» может отражать как возрастные изменения (склеротические, жировая инфильтрация), так и возможные изменения вследствие хронических воспалительных процессов.
Исследование забрюшинного пространства, почек и надпочечников является достаточно трудным для врача ввиду особенностей их расположения, сложности строения и многогранности и неоднозначности трактовки ультразвуковой картины этих органов. При исследовании почек оценивается их количество, расположение, размер, форма, контуры, структура паренхимы и чашечно-лоханочной системы. УЗИ позволяет выявить аномалии почек, наличие конкрементов, жидкостных и опухолевых образований, также изменения вследствие хронических и острых патологических процессов почек.
В исследовании щитовидной железы ультразвуковое исследование является ведущим и позволяет определить наличие узлов, кист, изменения размера и структуры железы.
Эхокардиография (ЭхоКГ) — это ультразвуковая диагностика заболеваний сердца. В этом исследовании оцениваются размеры сердца и его отдельных структур (желудочки, предсердия, межжелудочковая перегородка, толщина миокарда желудочков, предсердий и т. д.), наличие и объём жидкости в полости перикарда, состояние клапанов сердца, а также, в допплеровском режиме, кровоток в сердце и магистральных сосудах. С помощью специальных расчетов и измерений эхокардиография позволяет определять массу миокарда, сократительную способность сердца (фракцию выброса, сердечный выброс и др.). Обычно ЭхоКГ проводится через грудную клетку (трансторакально), также существует чреспищеводная ЭхоКГ (ЧП-ЭхоКГ), когда специальный эндоскопический датчик помещается в пищевод. ЧП-ЭхоКГ позволяет лучше рассмотреть сердце, так как датчик располагается к сердцу ближе, чем при обычной ЭхоКГ и поэтому становится возможным использовать датчик с более высокой частотой ультразвука, что повышает разрешающую способность изображения. Также существуют специальные высокочастотные интраоперационные датчики, которые помогают во время операций на сердце.
4D-ЭхоКГ представленная на изображении, позволяет получать живое 3D-изображение сердца, то есть в реальном времени, что может быть также полезно, для проведения данной методики требуется специальный 4D-датчик.
Ультразвуковое исследование используется для изучения внутренних половых органов женщины, состояния беременной матки, анатомии и мониторинга внутриутробного развития плода.
Этот эффект широко применяется в акушерстве, так как звуки, идущие от матки, легко регистрируются. На ранней стадии беременности звук проходит через мочевой пузырь. Когда матка наполняется жидкостью, она сама начинает проводить звук. Положение плаценты определяется по звукам протекающей через неё крови, а через 9 — 10 недель с момента образования плода прослушивается биение его сердца. С помощью ультразвукового исследования можно также определять количество зародышей или констатировать смерть плода.
Ультразвуковое исследование в целом считается безопасным способом получения информации.[8]
Диагностическое ультразвуковое исследование плода также в целом рассматривается как безопасный метод для применения в течение беременности. Эта диагностическая процедура должна применяться, только если есть веские медицинские показания, с таким наименьшим возможным сроком воздействия ультразвука, который позволит получить необходимую диагностическую информацию, то есть по принципу минимального допустимого или АЛАРА-принципу.
Отчёт № 875 Всемирной организации здравоохранения за 1998 год поддерживает мнение, что ультразвук безвреден[9]. Несмотря на отсутствие данных о вреде ультразвука для плода, Управление по контролю качества продуктов и лекарств (США) рассматривает рекламу, продажу и аренду ультразвукового оборудования для создания «видео плода на память» как нецелевое, несанкционированное использование медицинского оборудования.
Аппарат ультразвуковой диагностики
Аппарат ультразвуковой диагностики (УЗ-сканер) — прибор, предназначенный для получения информации о расположении, форме, размере, структуре, кровоснабжении органов и тканей человека и животных[2][4][5].
По форм-фактору УЗ-сканеры можно разделить на стационарные и портативные (переносные)[4][5], к середине 2010-х годов получили распространение мобильные УЗ-сканеры на основе смартфонов и планшетов.
Одним из таких инновационных решений от Philips Healthcare, является мобильный датчик Lumify, который совместим с устройствами на базе Android и iOS.[10]
В зависимости от функционального назначения приборы подразделяются на следующие основные типы:
- ЭТС — эхотомоскопы (приборы, предназначенные, в основном, для исследования плода, органов брюшной полости и малого таза);
- ЭКС — эхокардиоскопы (приборы, предназначенные для исследования сердца);
- ЭЭС — эхоэнцефалоскопы (приборы, предназначенные для исследования головного мозга);
- ЭОС — эхоофтальмоскопы (приборы, предназначенные для исследования глаза).
В зависимости от времени получения диагностической информации приборы подразделяют на следующие группы:
- С — статические;
- Д — динамические;
- К — комбинированные.
Официально аппараты для УЗИ можно разделить по наличию тех или иных режимов сканирования, программ измерений (пакеты, например, кардиопакет — программа для эхокардиографических измерений), высокоплотных датчиков (датчики с большим количеством пьезоэлементов, каналов и соответственно более высокой поперечной разрешающей способностью), дополнительных опций (3D, 4D, 5D, эластография и других).
Под термином «ультразвуковое исследование» в строгом смысле может подразумеваться исследование в B-режиме, в частности, в России это стандартизовано и исследование в A-режиме не считается УЗИ[источник не указан 1518 дней]. Приборы старого поколения без B-режима считаются морально устаревшими, но пока используются в рамках функциональной диагностики.
Коммерческая классификация аппаратов УЗИ в основном не имеет чётких критериев и определяется фирмами-производителями и их дилерскими сетями самостоятельно, характерные классы оборудования:
- Начальный класс (В-режим)
- Средний класс (ЦДК)
- Высокий класс
- Премиум-класс
- Экспертный класс
- Advanced 3D — расширенная программа трёхмерной реконструкции.
- ATO — автоматическая оптимизация изображения, оптимизирует качество изображения нажатием одной кнопки.
- B-Flow — визуализация кровотока непосредственно в В-режиме без использования доплеровских методов.
- Coded Contrast Imaging Option — режим кодированного контрастного изображения, используется при исследовании с контрастными веществами.
- CodeScan — технология усиления слабых эхосигналов и подавления нежелательных частот (шумов, артефактов) путём создания кодированной последовательности импульсов на передаче с возможностью их декодирования на приеме при помощи программируемого цифрового декодера. Эта технология позволяет добиться непревзойденного качества изображения и повышения качества диагностики за счет новых режимов сканирования.
- Color doppler (CFM или CFA) — цветовой доплер (Color Doppler) — выделение на эхограмме цветом (цветное картирование) характера кровотока в области интереса. Кровоток к датчику принято картировать красным цветом, от датчика — синим цветом. Турбулентный кровоток картируется сине-зелено-желтым цветом. Цветовой доплер применяется для исследования кровотока в сосудах, в эхокардиографии. Другие названия технологии — цветное доплеровское картирование (ЦДК), color flow mapping (CFM) и color flow angiography (CFA). Обычно с помощью цветового доплера, меняя положение датчика, находят область интереса (сосуд), затем для количественной оценки используют импульсный доплер. Цветовой и энергетический доплер помогают в дифференциации кист и опухолей, поскольку внутреннее содержимое кисты лишено сосудов и, следовательно, никогда не может иметь цветовых локусов.
- DICOM — возможность передачи «сырых» данных по сети для хранения на серверах и рабочих станциях, распечатки и дальнейшего анализа.
- Easy 3D — режим поверхностной трёхмерной реконструкции с возможностью задания уровня прозрачности.
- M-mode (M-режим) — одномерный режим ультразвукового сканирования (исторически первый ультразвуковой режим), при котором исследуются анатомические структуры в развертке по оси времени, в настоящий момент применяется в эхокардиографии. M-режим используется для оценки размеров и сократительной функции сердца, работы клапанного аппарата. С помощью этого режима можно рассчитать сократительную способность левого и правого желудочков, оценить кинетику их стенок.
- MPEGvue — быстрый доступ к сохранённым цифровым данным и упрощенная процедура переноса изображений и видеоклипов на CD в стандартном формате для последующего просмотра и анализа на компьютере.
- Power doppler — энергетический доплер — качественная оценка низкоскоростного кровотока, применяется при исследовании сети мелких сосудов (щитовидная железа, почки, яичник), вен (печень, яички) и др. Более чувствителен к наличию кровотока, чем цветовой доплер. На эхограмме обычно отображается в оранжевой палитре, более яркие оттенки свидетельствуют о большей скорости кровотока. Главный недостаток — отсутствие информации о направлении кровотока. Использование энергетического доплера в трёхмерном режиме позволяет судить о пространственной структуре кровотока в области сканирования. В эхокардиографии энергетический доплер применяется редко, иногда используется в сочетании с контрастными веществами для изучения перфузии миокарда. Цветовой и энергетический доплер помогают в дифференциации кист и опухолей, поскольку внутреннее содержимое кисты лишено сосудов и, следовательно, никогда не может иметь цветовых локусов.
- Smart Stress — расширенные возможности стресс-эхо исследований. Количественный анализ и возможность сохранения всех настроек сканирования для каждого этапа исследования при визуализации различных сегментов сердца.
- Tissue Harmonic Imaging (THI) — технология выделения гармонической составляющей колебаний внутренних органов, вызванных прохождением сквозь тело базового ультразвукового импульса. Полезным считается сигнал, полученный при вычитании базовой составляющей из отраженного сигнала. Применение 2-й гармоники целесообразно при ультразвуковом сканировании сквозь ткани, интенсивно поглощающие 1-ю (базовую) гармонику. Технология предполагает использование широкополосных датчиков и приемного тракта повышенной чувствительности, улучшается качество изображения, линейное и контрастное разрешение у пациентов с повышенным весом. * Tissue Synchronization Imaging (TSI) — специализированный инструмент для диагностики и оценки сердечных дисфункций.
- Tissue Velocity Imaging, Tissue Doppler Imaging (TDI) — тканевой доплер — картирование движения тканей, применяется в режимах ТСД и ТЦДК (тканевой спектральной и цветной доплерографии) в эхокардиографии для оценки сократительной способности миокарда. Изучая направления движения стенок левого и правого желудочков в систолу и диастолу тканевого доплера, можно обнаружить скрытые зоны нарушения локальной сократимости.
- Transducer — акустический преобразователь.
- TruAccess — подход к получению изображений, основанный на возможности доступа к «сырым» ультразвуковым данным.
- TruSpeed — уникальный набор программных и аппаратных компонентов для обработки ультразвуковых данных, обеспечивающий идеальное качество изображения и высочайшую скорость обработки данных во всех режимах сканирования.
- Virtual Convex — расширенное конвексное изображение при использовании линейных и секторных датчиков.
- VScan — визуализация и квантификация движения миокарда.
- Импульсный доплер (PW, HFPW) — импульсный доплер (Pulsed Wave или PW) применяется для количественной оценки кровотока в сосудах. На временной развертке по вертикали отображается скорость потока в исследуемой точке. Потоки, которые двигаются к датчику, отображаются выше базовой линии, обратный кровоток (от датчика) — ниже. Максимальная скорость потока зависит от глубины сканирования, частоты импульсов и имеет ограничение (около 2,5 м/с при диагностике сердца). Высокочастотный импульсный доплер (HFPW — high frequency pulsed wave) позволяет регистрировать скорости потока большей скорости, однако тоже имеет ограничение, связанное с искажением доплеровского спектра.
- Постоянно-волновой доплер — постоянно-волновой доплер (Continuous Wave Doppler или CW) применяется для количественной оценки кровотока в сосудах с высокоскоростными потоками. Недостаток метода состоит в том, что регистрируются потоки по всей глубине сканирования. В эхокардиографии с помощью постоянно-волнового доплера можно произвести расчеты давления в полостях сердца и магистральных сосудах в ту или иную фазу сердечного цикла, рассчитать степень значимости стеноза и т. д. Основным уравнением CW является уравнение Бернулли, позволяющее рассчитать разницу давления или градиент давления. С помощью уравнения можно измерить разницу давления между камерами в норме и при наличии патологического, высокоскоростного кровотока.






