Холестероз желчного пузыря
Холестероз желчного пузыря («земляничный» холестероз, «малиновый» холестероз, «крапчатый» холестероз, холестериновый полипоз, липоидоз желчного пузыря[1]) — заболевание желчного пузыря, связанное с нарушением обмена веществ, которое проявляется диффузным или локальным отложением в его стенке липидов в виде свободных и связанных форм холестерина[2].
Что важно знать
История
Впервые был описан Вирховым Р. в 1857 году[3]. Термин «холестероз», который является наиболее часто употребляемым, был предложен в 1925 году Мендес-Санчес Н[1]. Значительный вклад в исследование заболевания внесли российские учёные Н. К. Пермяков и А. Е. Подольский. Они представили не только общие характеристики, но и детально описали разнообразные макро- и микроскопические формы, разработали уникальную классификацию, изучили сопутствующие патологии, провели гистохимический анализ тканей и охарактеризовали биохимические особенности состава желчи[4].
Классификация
Формы холестероза желчного пузыря в зависимости от наличия или отсутствия полипов:
Классификация по распространённости процесса:
- Очаговая (менее 5 мм);
- Диффузная;
- Комбинированная (сочетание диффузного поражения и полипов)[5].
Также В. С. Савельев предложил объединить в понятие «липидный дистресс-синдром» болезни, патологически связанные с нарушением липидного обмена, в том числе холестероз желчного пузыря.[1].
Этиология
По мнению ряда авторов желчный пузырь является органом — мишенью липидного дистресс-синдрома, запускающего каскад метаболических сдвигов в организме человека. Стенки желчного пузыря способны накапливать атерогенные липиды с формированием патологического субстрата для развития холестероза[5].
Точная причина возникновения заболевания не установлена[1]. К факторам риска возникновения и прогрессирования холестероза желчного пузыря относятся: гипертония[6], неалкогольная жировая болезнь печени[6], атерогенная дислипидемия, инсулинорезистентность, эндотелиальная дисфункция, системное воспаление желчного пузыря, инфекция Helicobacter pylori, индекс массы тела (ожирение), курение, прием алкоголя, наличие полипов и камней в желчном пузыре[5].
Дополнительным фактором развития заболевания служит снижение способности желчного пузыря сокращаться при сохранении нормальной всасывающей активности его стенок. Основным регулятором этих процессов выступает печень, ответственная за производство холестерина, компонентов желчи и формирование их транспортных форм[1].
Патогенез
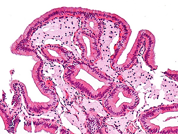
Механизм развития холестероза желчного пузыря исследован достаточно хорошо. Липиды, откладывающиеся в стенке органа, поступают из видоизменённых липопротеинов низкой плотности, отличающихся изменениями в структуре аполипопротеинов. Вследствие этих преобразований липопротеины получают способность связываться с рецепторами макрофагов. Подвергшиеся модификации липопротеины легче проникают внутрь стенки желчного пузыря, поглощаются макрофагами и образуют пенистые клетки. Внешне скопление пенистых клеток на верхушке ворсин выглядит как жёлтые пятна на внутренней оболочке желчного пузыря[5].
Эпидемиология
По разным данным частота обнаружения варьирует от 2—3 % до 40—50 %[1][5][7]. При этом частота выявления при холецистэктомии составляет 39 % случаев, на аутопсии — 46 %. Среди пациентов с заболеваниями желчного пузыря холестероз встречается приблизительно в 40,3 % случаев.
Холестероз преимущественно диагностируется у лиц мужского пола, чем у женщин, в 44,3 % и 38,5 % соответственно. Средний возраст заболевших 36—65 лет[5].
Диагностика
Холестероз желчного пузыря представляет собой редкое заболевание, которое трудно диагностировать. Симптомы зависят от формы, интенсивности повреждения стенок желчного пузыря и уровня снижения его сократительной функции[1].
Аспект самостоятельных клинических признаков холестероза продолжает оставаться предметом научных споров. Некоторые исследователи полагают, что данное состояние, не имея собственных симптомов, становится заметным только при возникновении сопутствующих заболеваний, таких как холецистит, желчнокаменная болезнь или дискинезиях желчевыводящих путей[7].
Выделяют 3 варианта клинического течения болезни: бессимптомный, неосложненный и осложнённый[5].
В 31 % случаев холестероз имеет бессимптомное течение[7]. При наличии клинической картины пациентов беспокоят боли в эпигастральной области и правом подреберье, диспепсические нарушения (44 %)[7], нарушения стула, которые проявляются в чередовании запоров и поносов, что указывает на признаки билиарной недостаточности[5].
Обязательный контроль липидного спектра для выявления атерогенного типа липидограммы, повышения уровня общего холестерина — >5,8 ммоль/л и определение уровня липопротеинов (ХСЛВП3 — <1,1 ммоль/л, ХСЛПНП — >3,8 ммоль/л) и триглицеридов — >1,4 ммоль/л.
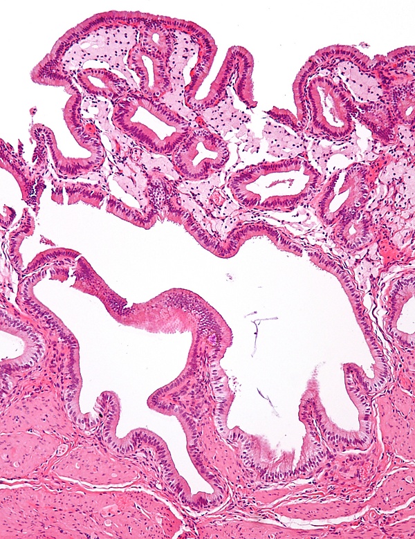
Проводится гистологическое исследование желчного пузыря после холецистэктомии. При котором обнаруживают пенистые клетки или отдельные их скопления в слизистой оболочке и подслизистом слое желчного пузыря, а также признаки дистрофии эпителия[5].
- Дуоденальное зондирование для оценки литогенности желчи (индекс насыщения холестерином увеличивается до 1,02 при норме 0,9) и эвакуаторной функции желчного пузыря, которая характеризуется коэффициентом его опорожнения при холестерозе — <36,6 %[5];
- Бесконтрастная магнитно-резонансная холангиопанкреатография с применением методики HASTE (тонких срезов) применяется для дифференциальной диагностики холестероза с онкопатологией[5];
- Эндоскопическая ультрасонография (эндоУЗИ) — наиболее эффективный и информативный метод по сравнению с трансабдоминальным УЗИ. Его специфичность по выявлению полипов любой природы составляет 97 %. При эндоУЗИ холестериновый полип имеет гомогенную структуру с интактной стенкой желчного пузыря без признаков инвазии полипа в желчный пузырь. Исследование позволяет классифицировать полипы по степени риска злокачественности, что в дальнейшем помогает определиться в необходимости оперативного лечения. Однако инвазивность данного метода, высокая цена, длительность исследования и необходимость в седации пациента не позволяют сделать эндоУЗИ рутинным в гастроэнтерологической практике[5]. Метод включен в «золотой стандарт» предоперационного обследования[7].
- УЗИ желчного пузыря. Для сетчатой формы характерны единичные, отдельно расположенные чёткие эхопозитивные включения в стенке желчного пузыря. При этом протяжённость включений >0,5—1,5 см считается признаком диффузной сетчатой формы, а <0,5 см — очаговой сетчатой. Полипозная форма описана как множественные мелкие (до 0,5 см) гиперэхогенные образования с широким основанием и ровным контуром, без акустической тени[1][7].
Дифференцильная диагностика
Злокачественные полипоидные образования в стенке желчного пузыря[5].
Осложнения
Развитие системных атеросклеротических изменений[5].
Лечение
Своевременное выявление холестероза и ликвидация провоцирующих факторов дальнейшего развития заболевания позволяют на ранних стадиях восстановить обмен веществ ещё до появления распространённых проявлений атеросклероза[5]. Наиболее распространённым подходом к лечению пациентов с холестерозом является наблюдательно-выжидательная стратегия. Суть её заключается в регулярном проведении ультразвукового мониторинга, позволяющего отслеживать морфологические изменения стенки желчного пузыря и характер содержимого внутри органа. Полученная информация служит основанием для принятия решения о целесообразности продолжения консервативной терапии либо необходимости хирургического вмешательства[1].
Метод лечения определяется исходя из конкретной формы холестероза. Проводимая терапия должна осуществляться под строгим лабораторным контролем содержания в крови АЛТ, АСТ, общего холестерина, липопротеинов низкой плотности (ЛПНП) и высокой плотности (ЛПВП). Для пациентов с сетчатой формой заболевания назначается симптоматическое лечение и мероприятия по нормализации липидного обмена. Тем же, у кого диагностированы полипозная или полипозно-сетчатая форма, показано применение консервативной терапии, включающей препараты желчных кислот, спазмолитики и другие медикаменты, направленные на уменьшение выраженности клинических проявлений болезни и восстановление нормального липидного профиля. Обязательным условием является проведение регулярного ультразвукового мониторинга. Ухудшение ситуации, проявляющееся увеличением количества и размера полипов, требует рассмотрения вопроса о хирургическом вмешательстве. Необходимость к проведению холецистэктомии возникает также при подозрении на развитие опухолевых процессов, выявленных при ультразвуковом исследовании, или при неэффективности назначенного лечения в течение 6-12 месяцев[1].
С момента постановки диагноза пациентам предписывается соблюдать режим частого дробного питания, исключающего употребление большого количества сахара, кондитерской продукции, жареной пищи, жирного мяса, сала, птицы (гуся, утки), а также сыров и колбас жирных сортов[5].
Прогноз
При правильном и своевременном лечении исход заболевания чаще всего положительный. Применение комплексного подхода к терапии, учитывающего изменения стенок желчного пузыря, состояние печени и компенсаторные возможности самого органа, помогает предотвратить осложнения и восстановить сократительную способность желчного пузыря[7].
Диспансерное наблюдение
Пациенты с холестерозом желчного пузыря, вне зависимости от клинической картины заболевания, обязаны находиться под наблюдением врача-гастроэнтеролога и регулярно проходить медицинское обследование[7]. Пациентам с сетчатой формой холестероза рекомендуется проводить ультразвуковое исследование желчного пузыря 1-2 раза в год, контролируя уровень общего холестерина и липопротеидов в крови. Пациенты с полипозной и полипозно-сетчатой формами нуждаются в ультразвуковом контроле каждые полгода с обязательной оценкой соответствующих лабораторных показателей[1].
В процессе лечения пациенты проходят контроль состояния стенок желчного пузыря посредством УЗИ и мониторинг изменения лабораторных показателей, включая общий холестерин, его фракции, триглицериды, белки, печёночные ферменты и прочие показатели, каждые 3 месяца на протяжении двух лет. Это необходимо для оценки эффективности терапевтического воздействия и выявления возможных нежелательных реакций организма на лечение[7].
Если признаки холестероза исчезают по данным УЗИ и отсутствуют клинические проявления заболевания, периодичность осмотров сокращается до одного раза в шесть месяцев, а при стабильном положительном результате в течение двух лет пациент наблюдается ежегодно. Общий срок диспансерного наблюдения составляет минимум три года после завершения курса медикаментозного лечения[7].
Профилактика
Специфические профилактические мероприятия не разработаны.


