Эозинофильный эзофагит
Эозинофильный эзофагит (ЭЭ) — хроническая патология пищевода с медленным прогрессированием, обусловленную аутоиммунными процессами.
Заболевание характеризуется значительным эозинофильным воспалением слизистой оболочки, приводящим к формированию подслизистого фиброза. Клинически проявления включают дисфагию, эпизоды обтурации пищевода пищевыми массами, а также рвоту съеденной пищей[3].
Что важно знать
Эпидемиология
ЭЭ встречается как у детей, так и у взрослых. Эпидемиологические исследования зафиксировали случаи данного заболевания в различных странах на всех континентах, за исключением Африки. По данным популяционных исследований, частота встречаемости ЭЭ в мире составляет от 0,1 до 1,2 случая на 10 000 человек. Среди детей эта патология чаще встречается у мальчиков. Хотя заболевание может развиваться в любом возрасте, наибольшая его распространённость отмечается у мужчин в возрасте 20-30 лет, а средний возраст постановки диагноза составляет 34 года[4][5].
Этиология
Точная этиология ЭЭ до конца не изучена, однако считается, что заболевание развивается в результате взаимодействия факторов окружающей среды, генетической предрасположенности и особенностей иммунного ответа организма. Одним из возможных триггеров может быть пищевая аллергия, однако анафилактические реакции на пищевые продукты у таких пациентов встречаются крайне редко. Существует выраженная связь между ЭЭ и атопией: многие пациенты имеют в анамнезе хронические сезонные аллергии, бронхиальную астму, атопический дерматит или другие иммунологические и аллергические заболевания[3][4].
Патогенез
ЭЭ развивается в результате иммуногенного ответа на различные антигены, содержащиеся в пище и воздухе, при этом важную роль в его патогенезе играет генетическая предрасположенность, о чём свидетельствует высокая степень совпадения диагноза среди членов одной семьи. Первое исследование, доказавшее генетическую основу заболевания, выявило, что ключевым геном, связанным с развитием ЭЭ, является TSLP (тимический стромальный лимфопоэтин), расположенный в регионе 5q22 на Х-хромосоме. Этот ген активирует Th2-клетки, стимулирует продукцию эотаксина-3 и способствует высвобождению провоспалительных цитокинов (IL-5, IL-13, IL-15), что приводит к накоплению эозинофилов в слизистой пищевода. Существенную роль в развитии заболевания также играет TGF-β (трансформирующий фактор роста бета), выделяемый эозинофилами и тучными клетками, который участвует в ремоделировании слизистой и нарушении функции гладкой мускулатуры. Повторное воздействие антигенов способствует хронизации воспаления, формированию фиброза и клиническим проявлениям, таким как дисфагия, эпигастральная боль, диспепсия, боли в грудной клетке и обтурация пищевода. Известно, что даже однократное воздействие ингаляционных или кожных антигенов может вызвать инфильтрацию эозинофилами слизистой пищевода и способствовать развитию ЭЭ[4][6].
Клиническая картина
Проявление болезни зависят от возраста больного и длительности болезни. У детей раннего возраста симптомы часто неспецифичны и включают срыгивания, тошноту, рвоту, затруднения при глотании определённых продуктов (морепродукты, яйца, орехи), боли в животе и, в редких случаях, отставание в физическом развитии. Подростки чаще жалуются на симптомы, схожие с гастроэзофагеальной рефлюксной болезнью: изжогу, загрудинные боли, потребность тщательно пережёвывать пищу и запивать её водой. У взрослых заболевание сопровождается прогрессирующим сужением просвета пищевода, что приводит к дисфагии, болям за грудиной и обтурации пищевода. В тяжёлых случаях возможно развитие синдрома Бурхаве[3].
Диагностика
- Эзофагогастродуоденоскопия: позволяет выявить признаки воспаления и повреждения слизистой оболочки, такие как: отёк, эритема, язвы, ригидность (жёсткость) стенки пищевода[3].
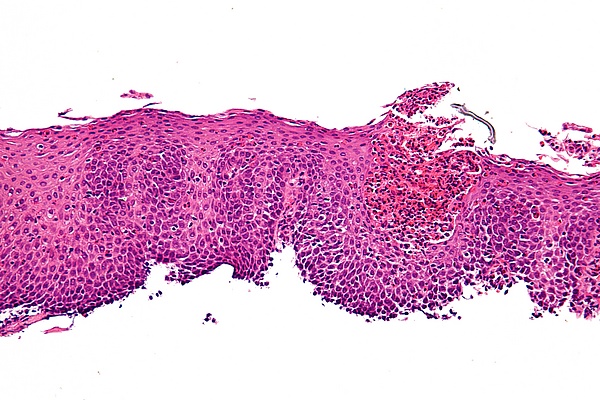
- Гистологическое исследование биоптата пишевода: является золотым стандартом для диагностики ЭЭ. При исследовании ткани под микроскопом можно обнаружить преобладание эозинофилов в слизистой оболочке (более 15 эозинофилов на поле зрения), другие воспалительные клетки, такие как нейтрофилы, могут также быть обнаружены[3][4].
- Клинический анализ крови: повышенные уровни эозинофилов в периферической крови могут свидетельствовать о аллергическом компоненте заболевания[3].
- Ультразвуковое исследование: используется редко, но может быть полезным для оценки утолщения стенок пищевода и исключения других патологических состояний[3].
- Рентгенологическое исследование: может выявить неравномерное сужение пищевода (стеноз), отёк слизистой оболочки, пищеводные кольцеобразные деформации (диффузное утолщение), «травлёные» участки слизистой оболочки, связанные с воспалением[4].
Для окончательной диагностики важно исключить другие возможные заболевания, такие как инфекционный эзофагит, гастроэзофагеальную рефлюксную болезнь или воспалительные заболевания кишечника[3][4].
Лечение
Лечебная диета
Наблюдается выраженная положительная динамика в ответ на диетотерапию. Основной подход — исключение конкретных аллергенов из рациона. Если не удаётся выявить аллерген, применяется диета с исключением шести основных аллергенных продуктов: молоко, пшеница, орехи, яйца, соя и морепродукты. Альтернативой является элементарная диета, основанная на аминокислотах, которая требует специального питания, иногда с использованием назогастрального зонда. Оценка эффективности лечения должна включать контроль симптомов и повторное эндоскопическое исследование с биопсией для проверки уровня эозинофилов в пищеводе[4][7].
Медикаментозное лечение
Для лечения рекомендуются местные стероиды, такие как флутиказон или будесонид. В случае отсутствия ответа на местные стероиды может быть использована системная терапия с преднизоном. Для лечения больных ЭЭ используются различные лекарственные формы топических стероидов: таблетки, длительно растворяющиеся во рту, аэрозоль (по системе впрыск-глоток), густая суспензия. В течение 30-60 минут после применения топических стероидов важно воздержаться от приема пищи и жидкостей во избежание удаления лекарственного препарата со слизистой оболочки пищевода[3][7].
Эндоскопическое лечение
Если у пациента возникают эпизоды обтурации пищевода, проводится эндоскопическое удаление пищи. Дилятация пищевода откладывается до достижения клинического эффекта от диетотерапии или медикаментозного лечения. Если симптомы дисфагии сохраняются, после терапии проводится дилятация с использованием баллонного катетера. Пациенты должны быть предупреждены о возможных болях в груди и риске перфорации или кровотечения после процедуры[4][7].
Прогноз
Прогноз ЭЭ зависит от своевременности и эффективности лечения. При правильном подходе, включая диетическую терапию, медикаментозное лечение и эндоскопическое вмешательство, большинство пациентов могут достичь улучшения симптомов и контроля воспаления. Однако в случае отсутствия ответа на лечение или хронических воспалений возможно развитие стеноза пищевода, что требует длительного наблюдения и возможного повторного лечения. Раннее вмешательство и регулярные осмотры могут значительно улучшить прогноз[4].
Примечания
Литература
- Энциклопедический словарь медицинских терминов. В 3-х томах / Главный редактор Б. В. Петровский. — Москва: Советская энциклопедия, 1982. — Т. 1. — 1424 с. — 100 000 экз. Архивная копия от 29 августа 2009 на Wayback Machine
- Малая медицинская энциклопедия. — под ред. В. И. Покровского. — М.: Советская энциклопедия, 1991. — Т. 1. — 577 с. — ISBN 5-85270-040-1. Архивная копия от 6 декабря 2009 на Wayback Machine.
- Внутренние болезни. Система органов пищеварения: учеб. пособие / Г. Е. Ройтберг, А. В. Струтынский. — 5-е изд., перераб. и доп. — М. : МЕДпресс-информ, 2018. — 576 с. : ил. ISBN 978-5-00-030523-2
- Лурия, Р. А. Болезни пищевода и желудка / Р. А. Лурия. — Москва : Издательство Юрайт, 2024. — 480 с. — (Антология мысли). — ISBN 978-5-534-09498-5


