Тонкая кишка
То́нкая кишка́ (лат. intestinum tenue)[1][2] — отдел кишечника у позвоночных животных, располагающийся между желудком и толстой кишкой. Тонкая кишка осуществляет основную функцию всасывания питательных веществ из химуса в организме животных. Относительная длина и особенности строения тонкой кишки в значительной степени зависят от типа питания животного[3].
Что важно знать
| Тонкая кишка | |
|---|---|
| лат. intestinum tenue | |
| Кровоснабжение | Верхняя брыжеечная артерия |
| Венозный отток | воротная вена |
| Иннервация | чревные ганглии, блуждающий нерв |
| Лимфа | intestinal lymph trunk[d] |
| Каталоги | |
Биологическое значение
В просвете тонкой кишки подвергаются химической обработке все виды питательных веществ — белки, жиры и углеводы. Процесс переваривания питательных ингредиентов происходит в присутствии пищеварительных ферментов — специальных белков-катализаторов, синтезируемых пищеварительными железами и по мере необходимости выделяемых в просвет кишечной трубки. В процессе переваривания белков принимают участие ферменты энтерокиназа, киназоген и трипсин, которые расщепляют простые белки и эрепсин (смесь пептидаз), расщепляющий пептиды до аминокислот, а также нуклеаза, способная расщеплять сложные белки — нуклеопротеиды. Переваривание углеводов обеспечивают ферменты амилаза, мальтаза, сахараза, лактаза и фосфатаза, а расщепление жиров и липидов — липаза. Из просвета тонкой кишки происходит всасывание продуктов ферментативного расщепления пищевых ингредиентов белков, жиров и углеводов в кровеносные и лимфатические сосуды. Непосредственно процесс всасывания осуществляется кишечными ворсинками, основная функция которых — захват питательных веществ, подвергшихся физической и химической обработке жёлчью, поджелудочным и кишечным соком, выделяемым кишечными железами: при этом белки и углеводы всасываются по венозным сосудам и попадают в воротную вену, где и подвергаются химической обработке в печени, а жиры — по системе лимфатических сосудов[1]. Вдобавок ко всему, кишечник (кишечная трубка) на всём протяжении выполняет механическую функцию, то есть благодаря перистальтическим сокращениям мышечной оболочки проталкивает пищевой ком (химус) в каудальном направлении в сторону анального отверстия. Эндокринная функция осуществляется клетками гастроентеропанкреатической эндокринной системы, расположенными по ходу пищеварительного тракта, и заключается в выработке и своевременном выбросе биологически активных веществ (серотонина, гистамина, мотилина, секретина, энтероглюкагона, холецистокинина, гастрина и его ингибиторов) в просвет кишечной трубки[4].
Строение
Стенка тонкой кишки образована слизистой оболочкой, подслизистой основой, мышечной и серозной оболочками.
Слизистая оболочка тонкой кишки характеризуется характерным рельефом, образуемым наличием целого ряда анатомических образований: циркулярных складок, ворсинок и кишечных желез или крипт. Благодаря этим структурам увеличивается общая, в том числе и всасывающая поверхность, что способствует выполнению основных биологических функций тонким отделом кишечника[4]:
- циркулярные складки (лат. plicae circulares) сформированы слизистой оболочкой и подслизистой основой тонкой кишки;
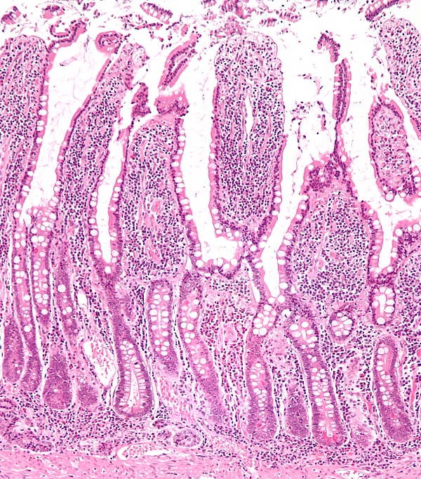
- кишечные ворсинки (лат. villi intestinales) образованы выпячиваниями слизистой оболочки пальцевидной либо листовидной формы, свободно выступающие в просвет тонкой кишки. Число ворсинок в тонкой кишке весьма значительно: наибольшее их количество в двенадцатиперстной и тощей кишках — насчитывается от 22 до 40 ворсинок на один квадратный миллиметр слизистой оболочки. Несколько меньше их в подвздошной кишке — от 18 до 31 ворсинки на один квадратный миллиметр;
- кишечные железы или крипты (лат. glandulae seu cryptae intestinales) представлены трубчатыми углублениями, расположенными в собственной пластинке слизистой оболочки, а их устья открываются в просвет тонкой кишки между кишечными ворсинками. При этом на один квадратный миллиметр поверхности слизистой оболочки тонкой кишки приходится до 100 крипт, общее их количество превышает 150 миллионов кишечных желёз на всём протяжении, а общая площадь крипт в тонкой кишке достигает 14 м2.
Подслизистая основа зачастую содержит дольки жировой ткани, в ней расположены сосуды (артериальные, венозные, лимфатические) и подслизистое нервное сплетение[4].
Мышечная оболочка тонкой кишки предствлена двумя слоями мышечных клеток: более мощного внутреннего (или циркулярного) и менее развитого наружного (или продольного). При этом направление хода пучков мышечных волокон в обоих слоях не строго продольное или циркулярное, а спиральное, а завитки спирали в наружном слое более растянуты по сравнению с внутренним слоем. Между слоями мышечной оболочки тонкой кишки располагается прослойка рыхлой волокнистой соединительной ткани, которая содержит узлы мышечно-кишечного нервного сплетения и сосуды. Биологическое значение (основная функция) мышечной оболочки тонкой кишки заключается в перемешивании и проталкивании химуса по ходу кишечника в каудальном направлении. При этом различают мышечные сокращения двух видов: сокращения местного характера, совершаемые ритмически с частотой 12-13 раз в минуту, обусловленные в основном сокращениями внутреннего слоя мышечной оболочки и другие (перистальтические) сокращения, вызываемые действием мышечных элементов обоих слоёв и распространяющиеся последовательно по всей длине тонкой кишки. Регуляция мышечных сокращений осуществляется волокнами мышечно-кишечного нервного сплетения (лат. plexus myenteriens): усиление перистальтики наблюдается при возбуждении симпатических нервов, а ослабление — при возбуждении блуждающего нерва[4].
Серозная оболочка покрывает тонкую кишку снаружи и со всех сторон (за исключением двенадцатиперстной кишки, которая покрыта брюшиной только спереди, а в остальном имеет только соединительнотканную оболочку), образуя брыжейку[4].
Отделы тонкой кишки
На протяжении тонкой кишки выделяют: двенадцатиперстную (лат. duodenum), в которую открываются выводные протоки больших пищеварительных желёз, тощую (лат. jejunum) и подвздошную кишки (лат. ileum).
Двенадцатипе́рстная кишка́ (лат. duodénum) — начальный отдел тонкой кишки у человека, следующий сразу после привратника желудка. Характерное название связано с тем, что её длина составляет примерно двенадцать поперечников пальца руки. Двенадцатиперстная кишка анатомически и функционально тесно связана с поджелудочной железой и жёлчным пузырём. На внутренней поверхности нисходящей части двенадцатиперстной кишки имеется большой дуоденальный сосочек (фатеров сосочек), в который, через сфинктер Одди, открываются общий жёлчный проток и проток поджелудочной железы (у большинства, но не у всех людей он впадает в общий жёлчный проток, но у некоторых идёт отдельно). Выше фатерова сосочка на 8—40 мм может находиться малый дуоденальный сосочек, через который открывается дополнительный (санториниев) проток поджелудочной железы (эта структура анатомически вариабельна). Двенадцатиперстная кишка имеет особое гистологическое строение слизистой, делающее её эпителий более устойчивым к агрессивности как желудочной кислоты и пепсина, так и концентрированной жёлчи и панкреатических ферментов, чем эпителий более дистальных отделов тонкой кишки. Строение эпителия двенадцатиперстной кишки отличается также и от строения эпителия желудка.
То́щая кишка́ челове́ка (лат. jejunum) — средний отдел тонкой кишки, идущий после двенадцатиперстной и переходящий в подвздошную кишку. Название «тощая» происходит от того, что при препарировании трупа анатомы находили её пустой. Тощая кишка — гладкомышечный полый орган. В стенке тощей кишки располагаются два слоя мышечной ткани: внешний продольный и внутренний циркулярный. Кроме того, гладкомышечные клетки имеются в слизистой оболочке кишки. Петли тощей кишки располагаются в левой верхней части брюшной полости. Тощая кишка со всех сторон покрыта брюшиной. Тощая кишка, в отличие от двенадцатиперстной, имеет хорошо выраженную брыжейку и рассматривается (вместе с подвздошной кишкой) как брыжеечная часть тонкой кишки. От двенадцатиперстной кишки отделяется дуоденоеюнальной Л-образной складкой Трейтца дуоденоеюнальным сфинктером.
Какой-либо чётко выраженной анатомической структуры, разделяющей тощую и подвздошную кишки, не существует. Однако имеются чёткие различия между этими двумя отделами тонкой кишки: подвздошная имеет больший диаметр, стенка её толще, она богаче снабжена сосудами. Петли тощей кишки лежат главным образом влево от срединной линии, петли подвздошной кишки — главным образом справа от срединной линии. Брыжеечная часть тонкой кишки прикрыта спереди на большем или меньшем протяжении сальником.
Подвздо́шная кишка́ челове́ка (лат. ileum) — нижний отдел тонкой кишки, идущий после тощей и перед верхним отделом толстой кишки — слепой кишкой, отделяемой от последней илеоцекальным клапаном (баугиниевой заслонкой). Подвздошная кишка — гладкомышечный полый орган. В стенке подвздошной кишки располагаются два слоя мышечной ткани: внешний продольный и внутренний циркулярный. Кроме того, гладкомышечные клетки имеются в слизистой оболочке кишки. Подвздошная кишка располагается в правой нижней части брюшной полости и в области правой подвздошной ямки впадает в слепую кишку.
Подвздошная кишка со всех сторон покрыта брюшиной. Подвздошная кишка, в отличие от двенадцатиперстной, имеют хорошо выраженную брыжейку и рассматривается (вместе с тощей кишкой) как брыжеечная часть тонкой кишки. Какой-либо чётко выраженной анатомической структуры, разделяющей подвздошную и тощую кишки, нет. Однако имеются чёткие различия между этими двумя отделами тонкой кишки: подвздошная имеет больший диаметр, стенка её толще, она богаче снабжена сосудами. Петли тощей кишки лежат главным образом влево от срединной линии, петли подвздошной кишки — главным образом справа от срединной линии.
Тонкая кишка у животных
Тонкая кишка прочих млекопитающих представляет те же отношения, что и у человека.
У других позвоночных вся часть кишечного пути, начиная от пилоруса до прямой кишки, носит название тонкой кишки, но иногда при отсутствии желудочного расширения (у некоторых рыб) — передняя граница её неотличима. Также не всегда можно отличить и двенадцатиперстную кишку. У круглоротых селахий, двудышащих и ганоидов на внутренней поверхности находится спиральная складка — спиральный клапан. У ганоидов и костистых ближайшая к пилорусу часть образует слепые выступы — пилорические отростки (appendices pyloricae), число коих варьирует от одного (Polypterus и Ammodytes) до 191 (Scomber scombrus). У амфибий и рептилий, имеющих удлиненную змеевидную форму тела (Gymnophiona, змеи и змеевидные ящерицы), в кишке образуются лишь небольшие изгибы, а у форм с расширенным телом (бесхвостые амфибии, крокодилы, черепахи) извивы и петли многочисленны, тогда как хвостатые амфибии и ящерицы занимают середину между этими крайними формами.
У птиц и млекопитающих более или менее извитая тонкая кишка варьирует в длине, причем у домашних форм варьирует более, чем у диких. У птиц посредине протяжения тонкой кишки находится слепой выступ (diverticulum coecum vitelli), остаток сообщения полости кишечника с желточным пузырем. Что касается до внутренней поверхности тонкой кишки, то первичной формой приспособления для увеличения всасывающей поверхности надо считать образование продольных складок, свойственное некоторым рыбам (круглоротые). Затем у других рыб, эти складки соединяются поперечными складками, так что образуется система складок в виде сети, ячеи которой могут быть прямолинейны (селахии) или извилисты (костистые рыбы), наконец, у костистых же рыб эта сеть, вследствие утолщения перекладин и углубления ячей, изменяется в поверхность, покрытую округлыми, овальными или неправильной формы углублениями — криптами, на дне коих и открываются железы. Впервые ворсинки появляются у амфибий, причем у бесхвостых они достигают большего развития, но извилистые или зигзагообразные складки у амфибий тоже имеются. Начиная с некоторых птиц (например, у страуса) появляются хорошо развитые у млекопитающих valvilае Kerckringii. У птиц рядом со складками имеются также и ворсинки, особенно хорошо развитые в двенадцатиперстной кишке. У млекопитающих продольные складки исчезают (поперечные остаются только в прямой кишке), а ворсинки достигают наибольшего развития.
Тонкая кишка человека
Тонкая кишка делится у человека на двенадцатиперстную (лат. duodenum), тощую (лат. jejunum) и подвздошную (лат. ilium), причём тощая составляет 2/5, a подвздошная 3/5 всей длины тонкой кишки, суммарно достигающей 7 — 8 м (от 472 см до 1 055, а в среднем 641,3 см). Вообще же у позвоночных травоядных тонкая кишка, как и весь кишечник, отличается большей протяжённостью, чем у плотоядных. Двенадцатиперстная кишка получила название потому, что размер её практически равен двенадцати поперечникам пальцев руки человека (лат. digiti). У человека она образует три отдела: верхняя часть (лат. párs supérior) тянется поперечно от пилорической части желудка. Эта часть, образовав крутой загиб, переходит в лежащую к ней под прямым углом, почти вертикальную нисходящую часть (лат. párs descéndens). Эта последняя образует ещё загиб и продолжается в идущую горизонтально нижнюю часть (лат. párs inférior). В нисходящую часть впадают рядом выводные протоки поджелудочной железы и печени. В кривизне, образуемой двенадцатиперстной кишкой, помещается головка поджелудочной железы. Верхняя часть одета почти полным брюшинным покровом, тогда как прочие части только прикрыты им спереди. Без какой-либо чётко очерченной (резкой) границы двенадцатиперстная кишка переходит в тощую и подвздошную, разграничить которые между собой в сущности невозможно. Эта часть тонкой кишки образует многочисленные извилины и загибы, заполняя среднюю и нижнюю часть брюшной полости и спускаясь вниз в полость таза. Верхняя часть её шире, а нижняя у́же и с более тонкими стенками.
Стенка тонкой кишки образована серозным слоем, мышечным, состоящим из наружных продольных волокон и внутренних поперечных; и слизистой оболочки, соединяющейся посредством рыхлого подслизистого слоя с мышечным. Для слизистой оболочки тонкой кишки характерны особые поперечные складки (лат. valvulae conviventes Kerckringii), которых, однако, нет в верхней части двенадцатиперстной и в нижней части тонкой. Эти складки более часты в верхней части кишки, и каждая тянется приблизительно на половину окружности кишки. В нисходящей части двенадцатиперстной кишки имеется продольная складка на задней стенке. На нижней части этой складки на плоском сосочке открываются протоки поджелудочной железы и печени. Слизистая оболочка тонкой кишки имеет бархатистую поверхность, так как покрыта густо сидящими ворсинками (лат. villi intestinales). В стенке тонкой кишки залегают Либеркюновы железы (лат. glandulae Lieberkuehnianae), открывающиеся па́рами между ворсинками на всём протяжении тонкой кишки. В двенадцатиперстной кишке находится Бруннеровы железы, особенно многочисленные в её верхней части. По всей кишке разбросаны одиночные лимфатические узлы и скопления их — Пейеровы бляшки, наиболее многочисленные в нижнем отделе тонкой кишки. Внутри ворсинки находится сеть кровеносных капилляров и один или несколько лимфатических сосудов. Эпителий тонкой кишки цилиндрический и содержит бокаловидные клетки.
Рентгеноанатомия тонкой кишки
В процессе рентгенологического исследования (рентгеноскопии) видны тени петель тонкой кишки: петли тощей кишки расположены частью горизонтально, частью вертикально, слева и посредине брюшной полости. Петли подвздошной кишки располагаются в области правой подвздошной ямки и чаще располагаются вертикально и косо, образуя конгломерат. При применении рентгеноконтрастных веществ удаётся обнаружить рельеф слизистой оболочки: в тощей кишке поперечные складки придают наружным контурам тени фестончатый либо перистый характер (характерный признак тонкой кишки), а в определённые фазы перистальтики наблюдается формирование продольных и косых складок. В подвздошной кишке по мере приближения к толстой количество продольных складок увеличивается, они формируют желоба и образуют каналы для прохождения пищи, а наличие поперечных складок способствует более медленному продвижению химуса. В результате перемещения всех этих складок в процессе перистальтики образуются разнообразные рентгенологические картины. Поступление химуса из тонкой кишки в слепую (лат. caecum) осуществляется ритмически и регулируется илеоцекальной заслонкой (лат. valva ileocaecalis), расположенной в слепой кишке, которая работает аналогично привратнику, расположенному в желудке. Таким образом, принятая рентгеноконтрастная масса через полчаса попадает в тощую кишку (лат. jejunum), через полтора часа заполняет подвздошную (лат. ileum), через четыре часа начинает поступать в слепую кишку (лат. caecum) и спустя 7—8 часов полностью переходит в толстую кишку (лат. intestinum crassum)[1].
См. также
Примечания


