Мозжечок
Мозжечо́к (лат. cerebellum — дословно «малый мозг») — отдел головного мозга позвоночных, отвечающий за координацию движений, регуляцию равновесия и мышечного тонуса. У человека располагается позади продолговатого мозга и варолиева моста, под затылочными долями полушарий головного мозга. Посредством трёх пар ножек мозжечок получает информацию из коры головного мозга, базальных ганглиев, экстрапирамидной системы, ствола головного мозга и спинного мозга. У различных таксонов позвоночных взаимоотношения с другими отделами головного мозга могут варьироваться.
У позвоночных, обладающих корой больших полушарий, мозжечок представляет собой функциональное ответвление главной оси «кора больших полушарий — спинной мозг». Мозжечок получает копию афферентной информации, передаваемой из спинного мозга в кору полушарий головного мозга, а также эфферентной — от двигательных центров коры полушарий к спинному мозгу. Первая сигнализирует о текущем состоянии регулируемой переменной (мышечный тонус, положение тела и конечностей в пространстве), а вторая даёт представление о требуемом конечном состоянии. Сопоставляя первое и второе, кора мозжечка может рассчитывать ошибку, о которой сообщает в двигательные центры. Так мозжечок непрерывно корректирует как произвольные, так и автоматические движения. В последние десятилетия было обнаружено участие мозжечка и в процессах высшей нервной деятельности: накопления опыта, памяти, мышления[1].
Хоть мозжечок и связан с корой головного мозга, его деятельность не контролируется сознанием.
Объём мозжечка составляет лишь 10 % объёма мозга, но он содержит более половины всех нейронов ЦНС[2].
Что важно знать
| Мозжечок | |
|---|---|
| лат. Cerebellum | |
| Система | Центральная нервная |
| Кровоснабжение | верхняя, передняя и задняя нижние мозжечковые артерии |
| Венозный отток | верхняя и нижняя вены червя мозжечка, верхние и нижние вены мозжечка |
| Каталоги | |
Сравнительная анатомия и эволюция
Мозжечок филогенетически развился у многоклеточных организмов вследствие совершенствования произвольных движений и усложнения структуры управления телом. Взаимодействие мозжечка с другими отделами центральной нервной системы позволяет данному участку мозга обеспечить точные и координированные движения тела в различных внешних условиях[3].
В разных группах животных мозжечок сильно варьирует по размеру и форме. Степень его развития коррелирует со степенью сложности движений тела[4].
Мозжечок есть у представителей всех классов позвоночных, в том числе у круглоротых (у миног), у которых он имеет форму поперечной пластинки, перекидывающейся через передний отдел ромбовидной ямки[3].
Функции мозжечка сходны у всех классов позвоночных, включая рыб, рептилий, птиц и млекопитающих[5]. Даже у головоногих моллюсков (в частности осьминогов) имеется схожее мозговое образование[6].
Имеются значительные различия формы и размеров у различных биологических видов. Например, мозжечок низших позвоночных соединён с задним мозгом непрерывной пластинкой, в которой пучки волокон анатомически не выделяются. У млекопитающих эти пучки формируют три пары структур, называемых ножками мозжечка. Через ножки мозжечка осуществляются связи мозжечка с другими отделами центральной нервной системы[7].
Мозжечок обладает наибольшим диапазоном изменчивости среди сенсомоторных центров мозга. Он расположен у переднего края заднего мозга и может достигать огромных размеров, закрывая собой весь головной мозг. Его развитие зависит от нескольких причин. Наиболее очевидная связана с пелагическим образом жизни, хищничеством или способностью к эффективному плаванию в толще воды. Наибольшего развития мозжечок достигает у пелагических акул. В нём формируются настоящие борозды и извилины, которые отсутствуют у большинства костистых рыб. В этом случае развитие мозжечка вызвано сложным движением акул в трёхмерной среде мирового океана. Требования к пространственной ориентации слишком велики, чтобы это не отразилось на нейроморфологическом обеспечении вестибулярного аппарата и сенсомоторной системы. Этот вывод подтверждается исследованием мозга акул, обитающих около дна. У акулы-няньки нет развитого мозжечка, а полость IV желудочка полностью открыта. Её среда обитания и способ жизни не предъявляет таких жёстких требований к пространственной ориентации, как у длиннокрылой акулы. Следствием стали относительно скромные размеры мозжечка.
Внутренняя структура мозжечка у рыб отличается от человеческой. Мозжечок рыб не содержит глубоких ядер, отсутствуют клетки Пуркинье.
Для миксин и миног как пространственная ориентация, так и контроль за высокими скоростями движения не имеют важного биологического значения. Являясь паразитическими животными или падальщиками, круглоротые не нуждаются в сложной координации движений, что отражает строение их мозжечка[7]. У круглоротых он практически неотличим от структур ствола мозга. Структуры мозжечка у данных организмов представлены парными ядрами, которые соответствуют архи- и палеоцеребеллуму человека[8].
Размеры и форма мозжечка у первичноводных позвоночных могут изменяться не только в связи с пелагическим или относительно оседлым образом жизни. Поскольку мозжечок является центром анализа соматической чувствительности, он принимает самое активное участие в обработке электрорецепторных сигналов. Электрорецепцией обладают очень многие первичноводные позвоночные (70 видов рыб обладают развитыми электрорецепторами, 500 — могут генерировать электрические разряды различной мощности, 20 способны как генерировать, так и рецептировать электрические поля). У всех рыб, обладающих электрорецепцией, мозжечок развит чрезвычайно хорошо. Так, у нильского сомика мозжечок покрыт извилинами, а его размеры примерно равны размерам остального мозга. Если основной системой афферентации становится электрорецепция собственного электромагнитного поля или внешних электромагнитных полей, то мозжечок начинает выполнять роль сенсорного (чувствительного) и моторного центра, становится центральным отделом анализатора боковой линии и электрорецепции. Зачастую размеры мозжечка у них так велики, что закрывают с дорсальной (задней) поверхности весь мозг[9].
Многие виды позвоночных имеют участки мозга, которые схожи с мозжечком в плане клеточной цитоархитектоники и нейрохимии[5]. Большинство видов рыб и амфибий имеют орган боковой линии, который улавливает изменение давления воды. Участок мозга, который получает информацию из этого органа, так называемое октаволатеральное ядро, имеет схожую с мозжечком структуру[5].
У амфибий мозжечок развит очень слабо и состоит из узкой поперечной пластинки над ромбовидной ямкой[10]. У рептилий отмечается увеличение размеров мозжечка, что имеет эволюционное обоснование. Подходящей средой для формирования нервной системы у рептилий могли стать гигантские каменноугольные завалы, состоящие преимущественно из плаунов, хвощей и папоротников. В таких многометровых завалах из прогнивших или полых стволов деревьев могли сложиться идеальные условия для эволюции рептилий. Современные залежи каменного угля прямо свидетельствуют о том, что такие завалы из стволов деревьев были очень широко распространены и могли стать масштабной переходной средой амфибий к рептилиям. Чтобы воспользоваться биологическими преимуществами древесных завалов, требовалось приобрести несколько специфических качеств. Во-первых было необходимо научиться хорошо ориентироваться в трёхмерной среде. Для амфибий это непростая задача, поскольку их мозжечок весьма небольшой. Даже у специализированных древесных лягушек, которые являются тупиковой эволюционной ветвью, мозжечок намного меньше, чем у рептилий[11]. У рептилий формируются нейрональные взаимосвязи между мозжечком и корой головного мозга[12].
Мозжечок у змей и ящериц, как и у амфибий, располагается в виде узкой вертикальной пластинки над передним краем ромбовидной ямки; у черепах и крокодилов он гораздо шире. При этом у крокодилов его средняя часть отличается величиной и выпуклостью[10].
Мозжечок птиц состоит из большей средней части и двух маленьких боковых придатков. Он полностью прикрывает ромбовидную ямку. Средняя часть мозжечка поперечными бороздками разделяется на многочисленные листочки[10]. Отношение массы мозжечка к массе всего головного мозга наибольшее у птиц. Это связано с необходимостью быстрой и точной координации движений в полёте[13].
У птиц мозжечок состоит из массивной средней части (червя), пересекаемой обычно 9 извилинами, и двух небольших долей, которые гомологичны клочку мозжечка млекопитающих, в том числе и человека[14]. Для птиц характерно высокое совершенство вестибулярного аппарата и системы координации движений. Следствием интенсивного развития координационных сенсомоторных центров стало появление крупного мозжечка с настоящими складками — бороздами и извилинами. Мозжечок птиц стал первой структурой головного мозга позвоночных, которая имела кору и складчатое строение[15]. Сложные движения в трёхмерной среде стали причиной развития мозжечка птиц как сенсомоторного центра координации движений[16].
Отличительной чертой мозжечка млекопитающих является увеличение боковых частей мозжечка, которые в основном взаимодействуют с корой головного мозга. В контексте эволюции, увеличение боковых частей мозжечка (неоцеребеллума) происходит вместе с увеличением лобных долей коры головного мозга[17].
У млекопитающих мозжечок состоит из червя и парных полушарий. Для млекопитающих также характерно увеличение площади поверхности мозжечка за счёт формирования борозд и складок[18].
У однопроходных, как и у птиц, средний отдел мозжечка преобладает над боковыми, которые располагаются в виде незначительных придатков. У сумчатых, неполнозубых, рукокрылых и грызунов средний отдел не уступает боковым. Только у хищных и копытных боковые части становятся больше среднего отдела, образуя полушария мозжечка. У приматов средний отдел в сравнении с полушариями является уже весьма неразвитым[10].
У предшественников человека и лат. homo sapiens времени плейстоцена увеличение лобных долей происходило более быстрыми темпами по сравнению с мозжечком[17].
Анатомия мозжечка человека
Особенностью мозжечка человека является то, что он, так же как и головной мозг, состоит из правого и левого полушарий (лат. hemispheria cerebelli) и соединяющей их непарной структуры — «червя» (лат. vermis cerebelli). Мозжечок занимает почти всю заднюю черепную ямку. Поперечник мозжечка (9-10 см) значительно больше его переднезаднего размера (3-4 см)[19].
Масса мозжечка у взрослого колеблется от 120 до 160 г. К моменту рождения мозжечок менее развит по сравнению с полушариями головного мозга, но на первом году жизни он развивается быстрее других отделов мозга. Выраженное увеличение мозжечка отмечается между 5-м и 11-м месяцами жизни, когда ребёнок учится сидеть и ходить. Масса мозжечка новорождённого составляет около 20 г, в 3 месяца она удваивается, в 5 месяцев увеличивается в 3 раза, в конце 9-го месяца — в 4 раза. Затем мозжечок растёт медленнее, и к 6 годам его масса достигает нижней границы нормы взрослого человека — 120 г[20].
Сверху над мозжечком лежат затылочные доли полушарий головного мозга. Мозжечок отделён от большого мозга глубокой щелью, в которую вклинивается отросток твёрдой оболочки головного мозга — намёт мозжечка (лат. tentorium cerebelli), натянутый над задней черепной ямкой. Впереди мозжечка располагается мост и продолговатый мозг.[19][21]
Червь мозжечка более короткий, чем полушария, поэтому на соответствующих краях мозжечка образуются вырезки: на переднем крае — передняя, на заднем крае — задняя. Наиболее выступающие участки переднего и заднего краёв образуют соответствующие передний и задний углы, а наиболее выступающие латеральные участки — латеральные углы[19].
Горизонтальная щель (лат. fissura horizontalis), идущая от средних мозжечковых ножек к задней вырезке мозжечка, разделяет каждое полушарие мозжечка на две поверхности: верхнюю, относительно ровную и косо спускающуюся к краям, и выпуклую нижнюю. Своей нижней поверхностью мозжечок прилегает к продолговатому мозгу, так что последний вдавлен в мозжечок, образуя впячивание — долинку мозжечка (лат. vallecula cerebelli), на дне которой располагается червь[19].
На черве мозжечка различают верхнюю и нижнюю поверхности. Идущие продольно по бокам червя бороздки: на передней поверхности — более мелкие, на задней — более глубокие — отделяют его от полушарий мозжечка[19].
Мозжечок состоит из серого и белого вещества. Серое вещество полушарий и червя мозжечка, расположенное в поверхностном слое, образует кору мозжечка (лат. cortex cerebelli), а скопление серого вещества в глубине мозжечка — ядра мозжечка (лат. nuclei cerebelli). Белое вещество — мозговое тело мозжечка (лат. corpus medullare cerebelli), залегает в толще мозжечка и при посредстве трёх пар мозжечковых ножек (верхних, средних и нижних) связывает серое вещество мозжечка со стволом головного мозга и спинным мозгом[19].
Червь мозжечка управляет позой, тонусом, поддерживающими движениями и равновесием тела. Дисфункция червя у человека проявляется в виде статико-локомоторной атаксии (нарушение стояния и ходьбы).[22]
Поверхности полушарий и червя мозжечка делятся более или менее глубокими щелями мозжечка (лат. fissurae cerebelli) на различные по величине многочисленные дугообразно изогнутые листки мозжечка (лат. folia cerebelli), большинство которых располагается почти параллельно один другому. Глубина этих борозд не превышает 2,5 см[10]. Если бы было возможно расправить листки мозжечка, то площадь его коры составила 17 х 120 см[23]. Группы извилин образуют отдельные дольки мозжечка. Одноимённые дольки обоих полушарий разграничены одной и той же бороздой, которая переходит через червь с одного полушария на другое, в результате этого двум — правой и левой — одноимённым долькам обоих полушарий соответствует определённая долька червя.
Отдельные дольки образуют доли мозжечка. Таких долей три: передняя, задняя и клочково-узелковая[24].
| Дольки червя | Дольки полушарий |
|---|---|
| язычок (лат. lingula) | уздечка язычка (лат. vinculum linguale) |
| центральная долька (лат. lobulus centralis) | крыло центральной дольки (лат. ala lobuli centralis) |
| верхушка (лат. culmen) | передняя четырёхугольная долька (лат. lobulis quadrangularis anterior) |
| скат (лат. declive) | задняя четырёхугольная долька (лат. lobulis quadrangularis posterior) |
| лист червя (лат. folium vermis) | верхняя и нижняя полулунные дольки (лат. lobuli semilunares superior et inferior) |
| бугор червя (лат. tuber vermis) | тонкая долька (лат. lobulis gracilis) |
| пирамида (лат. pyramis) | двубрюшная долька (лат. lobulus biventer) |
| втулочка (лат. uvula) | миндалина (лат. tonsilla) с околоклочковым выступом (лат. paraflocculus) |
| узелок (лат. nodulus) | клочок (лат. flocculus) |
Червь и полушария покрыты серым веществом (корой мозжечка), внутри которого находится белое вещество. Белое вещество, разветвляясь, проникает в каждую извилину в виде белых полосок (лат. laminae albae). На сагиттальных срезах мозжечка виден своеобразный рисунок, получивший название «древа жизни» (лат. arbor vitae cerebelli). Внутри белого вещества залегают подкорковые ядра мозжечка[19].
C соседними мозговыми структурами мозжечок соединяется посредством трёх пар ножек. Ножки мозжечка (лат. pedunculi cerebellares) представляют собой системы проводящих путей, волокна которых следуют к мозжечку и от него:
- Нижние мозжечковые ножки (лат. pedunculi cerebellares inferiores) идут от продолговатого мозга к мозжечку.
- Средние мозжечковые ножки (лат. pedunculi cerebellares medii) — от варолиева моста к мозжечку.
- Верхние мозжечковые ножки (лат. pedunculi cerebellares superiores) — направляются к среднему мозгу[19].
Ядра мозжечка представляют собой парные скопления серого вещества, залегающие в толще белого, ближе к середине, то есть червю мозжечка. Различают следующие ядра:
- зубчатое (лат. nucleus dentatus) залегает в медиальнонижних участках белого вещества. Это ядро представляет собой волнообразно изгибающуюся пластинку серого вещества с небольшим перерывом в медиальном отделе, который получил название ворот зубчатого ядра (лат. hilum nuclei dentati). Зубчатое ядро похоже на ядро оливы. Это сходство не случайно, так как оба ядра связаны проводящими путями, оливомозжечковыми волокнами (лат. fibrae olivocerebellares), и каждая извилина одного ядра аналогична извилине другого.[13]
- пробковидное (лат. nucleus emboliformis) расположено медиально и параллельно зубчатому ядру.
- шаровидное (лат. nucleus globosus) залегает несколько медиальнее пробковидного ядра и на разрезе может быть представлено в виде нескольких небольших шариков.
- ядро шатра (лат. nucleus fastigii) локализуется в белом веществе червя, по обеим сторонам от его срединной плоскости, под долькой язычка и центральной долькой, в крыше IV желудочка.
Ядро шатра, являясь самым медиальным, располагается по бокам от средней линии в области, где в мозжечок вдаётся шатёр (лат. fastigium). Латеральнее него находятся соответственно шаровидное, пробковидное и зубчатое ядра. Названные ядра имеют различный филогенетический возраст: nucleus fastigii относится к самой древней части мозжечка (лат. archicerebellum), связанной с вестибулярным аппаратом; nuclei emboliformis et globosus — к старой части (лат. paleocerebellum), возникшей в связи с движениями туловища, и nucleus dentatus — к самой молодой (лат. neocerebellum), развившейся в связи с передвижением при помощи конечностей. Поэтому при поражении каждой из этих частей нарушаются различные стороны двигательной функции, соответствующие различным стадиям филогенеза, а именно: при повреждении archicerebellum нарушается равновесие тела, при поражениях paleocerebellum нарушается работа мускулатуры шеи и туловища, при поражении neocerebellum — работа мускулатуры конечностей[13].
Ядро шатра располагается в белом веществе «червя», остальные ядра залегают в полушариях мозжечка. Практически вся информация, выходящая из мозжечка, переключается на его ядра (исключением является только связь клочково-узелковой дольки с вестибулярным ядром Дейтерса)[13].
От позвоночных и основной артерии берут начало три крупных парных артерии, доставляющие кровь к мозжечку:
- верхняя мозжечковая артерия (лат. a.cerebelli superior, англ. superior cerebellar artery) (в англоязычной литературе принята аббревиатура SCA);
- передняя нижняя мозжечковая артерия (лат. a.cerebelli inferior anterior, англ. anterior inferior cerebellar artery ) (в англоязычной литературе принята аббревиатура AICA);
- задняя нижняя мозжечковая артерия (лат. a.cerebelli inferior posterior, англ. posterior inferior cerebellar artery ) (в англоязычной литературе принята аббревиатура PICA).
Мозжечковые артерии проходят по гребням извилин мозжечка, не образуя петли в его бороздках, как это делают артерии больших полушарий мозга. Вместо этого почти в каждую бороздку от них отходят маленькие сосудистые веточки[25].
Возникает от верхнего отдела основной (базилярной) артерии на границе моста и ножки мозга перед её делением на задние мозговые артерии. Артерия идёт ниже ствола глазодвигательного нерва, огибает сверху переднюю ножку мозжечка и на уровне четверохолмия, под намётом, делает поворот назад под прямым углом, разветвляясь на верхней поверхности мозжечка. От артерии отходят ветви, которые кровоснабжают:
- нижние холмики четверохолмия;
- верхние ножки мозжечка;
- зубчатое ядро мозжечка;
- верхние отделы червя и полушарий мозжечка[25].
Начальные части ветвей, кровоснабжающих верхние отделы червя и окружающие его области, могут находиться в пределах задней части вырезки намёта мозжечка, в зависимости от индивидуальных размеров тенториального отверстия и степени физиологической протрузии в него червя. Затем они пересекают край намёта мозжечка и направляются к дорсальным и латеральным частям верхних отделов полушарий. Эта топографическая особенность делает сосуды уязвимыми в отношении их возможной компрессии наиболее возвышающейся частью червя при вклинении мозжечка в заднюю часть тенториального отверстия. Результатом такой компрессии являются частичные и даже полные инфаркты коры верхних отделов полушарий и червя мозжечка.[26]
Ветви верхней мозжечковой артерии широко анастомозируют с ветвями обеих нижних мозжечковых артерий.
Отходит от начальной части базилярной артерии. В большинстве случаев артерия проходит по нижнему краю варолиевого моста дугой, обращённой выпуклостью вниз. Основной ствол артерии чаще всего располагается кпереди от корешка отводящего нерва, идёт кнаружи и проходит между корешками лицевого и преддверно-улиткового нервов. Далее артерия огибает сверху клочок и разветвляется на передненижней поверхности мозжечка. В области клочка нередко могут располагаться две петли, образованные мозжечковыми артериями: одна — задней нижней, другая — передней нижней[25].
Передняя нижняя мозжечковая артерия, проходя между корешками лицевого и преддверно-улиткового нервов, отдаёт артерию лабиринта (лат. a.labyrinthi), которая направляется во внутренний слуховой проход и вместе со слуховым нервом проникает во внутреннее ухо. В других случаях артерия лабиринта отходит от базилярной артерии. Конечные ветви передней нижней мозжечковой артерии питают корешки VII—VIII нервов, среднюю ножку мозжечка, клочок, передненижние отделы коры полушария мозжечка, сосудистое сплетение IV желудочка[25].
Передняя ворсинчатая ветвь IV желудочка (лат. r. choroideus ventriculi quarti anterior) отходит от артерии на уровне клочка и проникает в сплетение через латеральную апертуру.
Таким образом передняя нижняя мозжечковая артерия кровоснабжает:
- внутреннее ухо;
- корешки лицевого и преддверно-улиткового нервов;
- среднюю ножку мозжечка;
- клочково-узелковую дольку;
- сосудистое сплетение IV желудочка[25].
Зона их кровоснабжения в сравнении с остальными мозжечковыми артериями является самой незначительной[26].
Отходит от позвоночной артерии на уровне перекрёста пирамид или у нижнего края оливы. Диаметр основного ствола задней нижней мозжечковой артерии 1,5—2 мм. Артерия огибает оливу, поднимается вверх, делает поворот и проходит между корешками языкоглоточного и блуждающего нервов, образуя петли, затем спускается вниз между нижней ножкой мозжечка и внутренней поверхностью миндалины. Затем артерия поворачивается кнаружи и переходит на мозжечок, где расходится на внутреннюю и наружную ветви, первая из которых поднимается вдоль червя, а вторая направляется к нижней поверхности полушария мозжечка[25].
Артерия может образовывать до трёх петель. Первая петля, направленная выпуклостью вниз, формируется в области борозды между варолиевым мостом и пирамидой, вторая петля с выпуклостью вверх — на нижней ножке мозжечка, третья петля, направленная вниз, лежит на внутренней поверхности миндалины. От ствола задней нижней мозжечковой артерии идут ветви к:
- вентролатеральной поверхности продолговатого мозга. Поражение этих ветвей вызывает развитие синдрома Валленберга-Захарченко[26];
- миндалине;
- нижней поверхности мозжечка и его ядрам;
- корешкам языкоглоточного и блуждающего нервов;
- сосудистому сплетению IV желудочка через его срединную апертуру в виде задней ворсинчатой ветви IV желудочка (лат. r. choroideus ventriculi quarti posterior)[25].
Вены мозжечка (лат. vv.cerebelli) образуют широкую сеть на его поверхности. Они анастомозируют с венами большого мозга, ствола головного мозга, спинного мозга и впадают в близлежащие синусы[27].
Верхняя вена червя мозжечка (лат. v. vermis superior) собирает кровь от верхнего червя и прилегающих к ней отделов коры верхней поверхности мозжечка и над четверохолмием впадает в большую мозговую вену снизу.
Нижняя вена червя мозжечка (лат. v. vermis inferior) принимает кровь от нижнего червя, нижней поверхности мозжечка и миндалины. Вена идёт кзади и вверх по борозде между полушариями мозжечка и впадает в прямой синус, реже в поперечный синус или в синусный сток.
Верхние вены мозжечка (лат. vv. cerebelli superiores) проходят по верхнелатеральной поверхности мозга и впадают в поперечный синус.
Нижние вены мозжечка (лат. vv. cerebelli inferiores), собирающие кровь от нижнелатеральной поверхности полушарий мозжечка, вливаются в сигмовидный синус и верхнюю каменистую вену[27].
Гистология
Кора мозжечка различных представителей позвоночных, включая человека, построена по единому плану и состоит из трёх слоёв[28]. При этом их внутренняя структура у некоторых биологических видов может различаться. Так мозжечок рыб не содержит глубоких ядер, отсутствуют клетки Пуркинье[29].
На поверхности мозжечка много извилин и бороздок, которые значительно увеличивают её площадь (у взрослого человека — 975—1500 см²). Борозды и извилины создают на разрезе характерную для мозжечка картину «древа жизни». Основная масса серого вещества в мозжечке располагается на поверхности и образует кору. Меньшая часть серого вещества лежит глубоко в белом веществе в виде центральных ядер. В центре каждой извилины имеется тонкая прослойка белого вещества, покрытая слоем серого — корой.[30]
Кора представлена серым веществом, располагающимся на поверхности мозжечка. Она содержит нервные клетки и глиальные элементы. В ней различают 3 слоя:
- наружный, или молекулярный (лат. stratum moleculare);
- ганглионарный (ганглиозный, или слой клеток Пуркинье) (лат. stratum neuronorum piriformium);
- зернистый, или гранулярный (лат. stratum granulosum).
Молекулярный слой содержит два основных вида нейронов: корзинчатые и звездчатые. Корзинчатые нейроны (лат. neuronum corbiferum) находятся в нижней трети молекулярного слоя. Это неправильной формы мелкие клетки размером около 10-20 мкм. Их тонкие длинные дендриты ветвятся преимущественно в плоскости, расположенной поперечно к извилине. Длинные аксоны клеток всегда идут поперёк извилины и параллельно поверхности над грушевидными нейронами. Они отдают коллатерали, спускающиеся к телам грушевидных нейронов, и совместно с другими волокнами, густо оплетая грушевидные нейроны, формируют на них характерную структуру корзинок нервных волокон (лат. corbus neurofibrarum). Активность аксонов корзинчатых нейронов вызывает торможение грушевидных[30].
Звёздчатые нейроны (лат. neuronum stellatum) лежат выше корзинчатых и бывают двух типов.
- Мелкие звездчатые нейроны снабжены тонкими короткими дендритами и слаборазветвлёнными аксонами, образующими синапсы на дендритах грушевидных клеток (клеток Пуркинье).
- Крупные звездчатые нейроны в отличие от мелких имеют длинные и сильно разветвлённые дендриты и аксоны. Ветви из аксонов соединяются с дендритами грушевидных клеток и входят в состав так называемых корзинок.
Корзинчатые и звездчатые нейроны молекулярного слоя представляют собой единую систему вставочных нейронов, передающую тормозные нервные импульсы на дендриты и тела грушевидных клеток Пуркинье[30].
Содержит грушевидные нейроны (клетки Пуркинье) (лат. neuronum piriforme). Клетки Пуркинье являются особыми нейронами мозга. Впервые они были описаны чешским анатомом Яном Пуркинье в 1837 году. Выделяются развитым деревом дендритов, расположенному строго перпендикулярно извилинам мозжечка. Дендриты клеток Пуркинье формируют густую сеть, которая пронизывает всю толщу молекулярного слоя, через которую проходят под прямым углом параллельные волокна (аксоны клеток-зёрен). Дендриты клеток Пуркинье покрыты множеством выпячиваний, благодаря которым формируются синаптические связи с параллельными волокнами. Клетки Пуркинье имеют наибольшее, по сравнению с нейронами других отделов мозга, количество синаптических взаимосвязей[31].
Большие, сферические тела клеток Пуркинье (60х35 мкм) располагаются в один слой (толщина слоя — одна клетка) коры мозжечка, который также называется слоем Пуркинье. Их аксоны, после отделения коллатералей иннервирующих соседние клетки Пуркинье, направляются к клеткам ядер мозжечка. Каждый аксон иннервирует около 1000 нейронов глубоких ядер мозжечка. Клетки Пуркинье являются ГАМКергическими, то есть в виде нейротрансмиттера используют гамма-аминомасляную кислоту (ГАМК) и таким образом осуществляют ингибирующую иннервацию.
Клетки Пуркинье являются основными нейрональными элементами обеспечивающими функционирование мозжечка. Потенциалы действия возникают в них даже при отсутствии внешних стимулов.
Очень богат нейронами зернистый слой. Состоит из нейронов трёх типов:
- Первым типом клеток этого слоя являются зерновидные нейроны, или клетки-зёрна (лат. neuronum granuloforme). У них небольшой объём (5—8 мкм в диаметре), бедный цитоплазмой перикарион с крупным круглым ядром. В отличие от клеток Пуркинье клетки-зёрна являются одними из самых маленьких и в то же время многочисленных (у человека их количество достигает 50 миллиардов)[31] нейронов мозга. Клетка имеет 3—4 коротких дендрита, заканчивающихся в этом же слое концевыми ветвлениями в виде лапки птицы. Вступая в синаптическую связь с окончаниями проходящих в мозжечок возбуждающих афферентных (моховидных) волокон, дендриты клеток-зёрен образуют характерные структуры, именуемые клубочками мозжечка (лат. glomerulus cerebellaris). Моховидные волокна несут возбуждающие импульсы к клеткам зёрнам, в то время как клетки Гольджи — тормозящие.
Тонкие, немиелинизированные аксоны клеток-зёрен поднимаются в верхний молекулярный слой коры мозжечка и в нём Т-образно делятся на 2 ветви, ориентированные параллельно поверхности коры вдоль извилин мозжечка. Преодолевая большие расстояния, эти параллельные волокна пересекают ветвления дендритов многих клеток Пуркинье и образуют с ними и дендритами корзинчатых и звездчатых нейронов синапсы. Таким образом, нейроны клеток-зёрен передают, используя в виде нейротрансмиттера глутамат, полученное ими от моховидных волокон возбуждение, на значительное расстояние грушевидным клеткам Пуркинье. - Вторым типом клеток зернистого слоя мозжечка являются тормозные большие звездчатые нейроны (лат. neuronum stellatum magnum). Различают два вида таких клеток: с короткими и длинными аксонами. Нейроны с короткими аксонами (клетки Гольджи) (лат. neuronum stellatum breviaxonicum) лежат вблизи ганглионарного слоя. Их разветвлённые дендриты распространяются в молекулярном слое и образуют синапсы с параллельными волокнами — аксонами клеток-зёрен. Аксоны направляются в зернистый слой к клубочкам мозжечка и заканчиваются синапсами на концевых ветвлениях дендритов клеток-зёрен проксимальнее синапсов моховидных волокон. Возбуждение звездчатых нейронов может блокировать импульсы, поступающие по моховидным волокнам. Немногочисленные звездчатые нейроны с длинными аксонами (лат. neuronum stellatum longiaxonicum) имеют обильно ветвящиеся в зернистом слое дендриты и аксоны, выходящие в белое вещество. Предполагается, что эти клетки обеспечивают связь между различными областями коры мозжечка.
- Третий тип клеток составляют веретеновидные горизонтальные клетки (лат. neuronum fusiforme horizontale). Они встречаются преимущественно между зернистым и ганглионарным слоями, имеют небольшое вытянутое тело, от которого в обе стороны отходят длинные горизонтальные дендриты, заканчивающиеся в ганглионарном и зернистом слоях. Аксоны этих клеток дают коллатерали в зернистый слой и уходят в белое вещество[30].
Между наружным и зернистым слоями, под клетками Пуркинье, находятся клетки Лугаро.
Белое вещество состоит из аксонов нервных клеток, поступающих в мозжечок, и аксонов клеток Пуркинье, идущих к глубоким ядрам мозжечка и вестибулярному ядру Дейтерса. Афферентные волокна, поступающие в кору мозжечка, представлены двумя видами — моховидными и так называемыми лазающими волокнами.
Моховидные волокна идут от ядер моста, спинного мозга, вестибулярных ядер и опосредованно через клетки-зёрна оказывают на грушевидные клетки Пуркинье возбуждающее действие. Они заканчиваются в клубочках зернистого слоя мозжечка, где вступают в контакт с дендритами клеток-зёрен. Каждое волокно даёт ветви ко многим клубочкам мозжечка, и каждый клубочек получает ветви от многих моховидных волокон. Таким образом происходит усиление поступающих по моховидным волокнам в мозжечок сигналов (каждое волокно образует синаптические взаимосвязи с 400—600 клетками-зёрнами)[31]. Аксоны клеток-зёрен по параллельным волокнам молекулярного слоя передают импульс дендритам грушевидных, корзинчатых, звездчатых нейронов, больших звездчатых нейронов зернистого слоя[30].
Лазающие волокна поступают в кору мозжечка из нижнего ядра оливы. Нижнее ядро оливы располагается в варолиевом мосту и получает информацию из спинного мозга, ствола мозга, коры головного мозга, которую и передаёт в мозжечок. Они пересекают зернистый слой, прилегают к грушевидным нейронам и стелются по их дендритам, заканчиваясь на их поверхности синапсами. Лазающие волокна передают возбуждение непосредственно грушевидным нейронам. Дегенерация грушевидных нейронов ведёт к расстройству координации движений[30].
Таким образом, возбуждающие импульсы, поступающие в кору мозжечка, достигают грушевидных нейронов Пуркинье или непосредственно по лазающим волокнам, или по параллельным волокнам клеток-зёрен. Торможение — функция звездчатых нейронов молекулярного слоя, корзинчатых нейронов, а также больших звездчатых нейронов зернистого слоя (клеток Гольджи). Аксоны двух первых, следуя поперёк извилин и тормозя активность грушевидных клеток, ограничивают их возбуждение узкими дискретными зонами коры. Поступление в кору мозжечка возбуждающих сигналов по моховидным волокнам, через клетки-зёрна и параллельные волокна, может быть прервано тормозными синапсами больших звездчатых нейронов, локализованными на концевых ветвлениях дендритов клеток-зёрен проксимальнее возбуждающих синапсов[30].
Кора мозжечка содержит различные глиальные элементы. В зернистом слое имеются волокнистые и протоплазматические астроциты. Ножки отростков волокнистых астроцитов образуют периваскулярные мембраны. Во всех слоях в мозжечке имеются олигодендроциты. Особенно богаты этим клетками зернистый слой и белое вещество мозжечка. В ганглионарном слое между грушевидными нейронами лежат глиальные клетки с тёмными ядрами. Отростки этих клеток направляются к поверхности коры и образуют глиальные волокна молекулярного слоя мозжечка, поддерживающие ветвления дендритов грушевидных клеток (лат. gliofibra sustenans). Микроглия в большом количестве содержится в молекулярном и ганглионарном слоях[30].
Нейрофизиология
Мозжечок — это функциональное ответвление главной оси «кора больших полушарий — спинной мозг». С одной стороны, в нём замыкается сенсорная обратная связь, то есть он получает копию афферентации (информации, передаваемой из спинного мозга в кору полушарий головного мозга), с другой стороны, сюда же поступает копия эфферентации (информации от коры полушарий к спинному мозгу) от двигательных центров. Говоря техническим языком, первая сигнализирует о текущем состоянии регулируемой переменной, а вторая даёт представление о требуемом конечном состоянии. Сопоставляя первое и второе, кора мозжечка может рассчитывать ошибку, о которой сообщает в двигательные центры. Так мозжечок непрерывно корректирует и преднамеренные, и автоматические движения[23]. У низших позвоночных информация в мозжечок поступает также из акустической области, в которой регистрируются ощущения, относящиеся к равновесию, поставляемые ухом и боковой линией, а у некоторых даже от органа обоняния[4].
| Филогенетические отделы мозжечка | функция | соответствующие образования (у человека) |
|---|---|---|
| Архицеребеллум (вестибулоцеребеллум) | Взаимосвязь мозжечка с вестибулярными ядрами | Клочковая и узелковая дольки; ядро шатра |
| Палеоцеребеллум (спиноцеребеллум) | Взаимосвязь мозжечка со спинным мозгом | Червь мозжечка, околоклочковая долька; ядро шатра, пробковидное и круглое ядра |
| Неоцеребеллум (понтоцеребеллум) | Взаимосвязь мозжечка с корой больших полушарий головного мозга | Полушария мозжечка; зубчатое ядро |
Филогенетически наиболее древняя часть мозжечка (архицеребеллум) состоит из клочка (лат. flocculus) и узелка (лат. nodulus). Здесь преобладают вестибулярные входы (отсюда другое название этой части — вестибулоцеребеллум). В эволюционном плане структуры архицеребеллума возникают в классе круглоротых у миног, в виде поперечной пластинки, перекидывающейся через передний отдел ромбовидной ямки[3]. У низших позвоночных (у рыб) архицеребеллум представлен парными ушковидными частями. В процессе эволюции (земноводных, пресмыкающихся, птиц и млекопитающих) отмечается уменьшение размеров структур древней части мозжечка[13]. Архицеребеллум является важнейшей составляющей вестибулярного аппарата[28].
К «старым» структурам (палеоцеребеллум) у человека относятся также область червя (лат. vermis) в передней доле мозжечка, пирамиды, язычка червя и околоклочка (лат. paraflocculus). В палеоцеребеллум поступают сигналы в основном от спинного мозга[23]. Структуры палеоцеребеллума появляются у рыб и представлены у других позвоночных.
Медиальные элементы мозжечка дают проекции к ядру шатра, а также к шаровидному и пробковидному ядрам, которые в свою очередь образуют связи главным образом со стволовыми двигательными центрами. Ядро Дейтерса — вестибулярный двигательный центр — тоже напрямую получает сигналы от червя и от флоккулонодулярной доли[23].
Повреждения архи- и палеоцеребеллума приводят в первую очередь к нарушениям равновесия, как и при патологии вестибулярного аппарата. У человека проявляется головокружением, тошнотой и рвотой. Типичны также глазодвигательные расстройства в виде нистагма. Больным трудно стоять и ходить, особенно в темноте (когда отсутствует зрительная коррекция положения в пространстве), для этого им приходится хвататься за что-нибудь руками; походка становится шатающейся, как будто в состоянии опьянения[23].
К латеральным элементам мозжечка (неоцеребеллум) идут сигналы преимущественно от коры полушарий головного мозга через ядра моста и нижней оливы. Клетки Пуркинье полушарий мозжечка дают проекции через латеральные зубчатые ядра к двигательным ядрам таламуса и далее к двигательным областям коры полушарий головного мозга. Через эти два входа полушария мозжечка получают информацию от корковых областей, активирующихся в фазу подготовки к движению, то есть участвующих в его «программировании»[23]. Структуры неоцеребеллума имеются только у млекопитающих. При этом у человека в связи с прямохождением, усовершенствованием движений руки они достигли наибольшего развития в сравнении с другими животными[13].
Таким образом, часть импульсов, возникших в коре мозга, достигает противоположного полушария мозжечка, принося информацию не о произведённом, а лишь о намечаемом к выполнению активном движении. Получив такую информацию, мозжечок моментально высылает импульсы, корригирующие произвольное движение главным образом путём погашения инерции и наиболее рациональной регуляции тонуса мышц агонистов и антагонистов. В результате обеспечивается чёткость и отточенность произвольных движений, устраняются какие-либо нецелесообразные компоненты[32].
Роль мозжечка в двигательной адаптации продемонстрирована экспериментально. Если нарушить зрение (например, поместив перед глазами призмы, в классическом варианте инвертоскоп), вестибуло-окулярный рефлекс компенсаторного движения глаз при поворотах головы уже не будет соответствовать получаемой мозгом зрительной информации. Испытуемому в инвертоскопе сначала очень трудно правильно перемещаться в окружающей среде, однако через несколько дней он приспосабливается к аномальной зрительной информации. При этом отмечены чёткие количественные изменения вестибуло-окулярного рефлекса, его долговременная адаптация. Опыты с разрушением нервных структур показали, что такая двигательная адаптация невозможна без участия мозжечка[23]. Пластичность функций мозжечка и двигательное научение, определение их нейрональных механизмов было описано Девидом Марром[33] и Джеймсом Альбусом[34].
Пластичность функции мозжечка ответственна также за двигательное научение и выработку стереотипных движений, таких как письмо, печатание на клавиатуре и др.
Хотя мозжечок и связан с корой головного мозга, его деятельность не контролируется сознанием[35].
Функции мозжечка сходны у различных биологических видов, включая человека. Это подтверждается их нарушением при повреждении мозжечка в эксперименте у животных и результатами клинических наблюдений при заболеваниях, поражающих мозжечок у человека[23][28]. Мозжечок представляет собой мозговой центр, который имеет в высшей степени важное значение для координации и регуляции двигательной активности и поддержания позы. Мозжечок работает главным образом рефлекторно, поддерживая равновесие тела и его ориентацию в пространстве. Также он играет важную роль (особенно у млекопитающих) в локомоции (перемещении в пространстве)[4].
Соответственно главными функциями мозжечка являются:
- координации движений
- регуляция равновесия
- регуляция мышечного тонуса[35]
- мышечная память
Мозжечок связан с другими отделами нервной системы многочисленными проводящими путями, которые проходят в ножках мозжечка. Различают афферентные (идущие к мозжечку) и эфферентные (идущие от мозжечка) пути. Эфферентные пути представлены только в верхних ножках.
Пути мозжечка не перекрещиваются вообще либо перекрещиваются дважды. Поэтому при половинном поражении самого мозжечка либо одностороннем поражении ножек мозжечка симптоматика поражения развивается на стороны поражения (гомолатерально).
Через верхние ножки мозжечка проходят эфферентные пути, за исключением афферентного пути Говерса[35].
- Передний спинально-мозжечковый путь (лат. tractus spino-cerebellaris anterior) (путь Говерса) — первый нейрон этого пути начинается от проприорецепторов мышц, суставов, сухожилий и надкостницы и находится в спинномозговом ганглии. Второй нейрон — клетки заднего рога спинного мозга, аксоны которого переходят на противоположную сторону и поднимаются вверх в передней части бокового столба, проходят продолговатый мозг, варолиев мост, затем вновь перекрещиваются и через верхние ножки поступают в кору полушарий мозжечка, а затем в зубчатое ядро.
- Зубчато-красный путь (лат. tractus dento-rubralis) — начинается от зубчатого ядра и проходят через верхние мозжечковые ножки. Эти пути осуществляют двойной перекрёст (перекрёст Вернекинга) и заканчиваются на красных ядрах (лат. nucleus rubrae). Аксоны нейронов красных ядер формируют руброспинальный путь (путь Монакова). После выхода из красного ядра этот путь вновь перекрещивается (перекрёст Фореля), спускается в стволе мозга, в составе бокового столба спинного мозга и достигает α- и γ-мотонейронов спинного мозга.
- Мозжечково-таламический путь (лат. tractus cerebello-thalamicus) — идёт к ядрам таламуса. Через них связывает мозжечок с экстрапирамидной системой и корой головного мозга.
- Мозжечково-ретикулярный путь (лат. tractus cerebello-reticularis) — связывает мозжечок с ретикулярной формацией, от которой в свою очередь начинается ретикулярно-спинальный путь[35].
- Мозжечково-вестибулярный путь (лат. tractus cerebello-vestibularis) — особый путь, так как в отличие от других проводящих путей, начинающихся в ядрах мозжечка, представляет собой аксоны клеток Пуркинье, направляющиеся к латеральному вестибулярному ядру Дейтерса (ядру преддверно-улиткового нерва)[30].
Через средние ножки мозжечка проходят афферентные пути, которые соединяют мозжечок с корой головного мозга.
- Лобно-мосто-мозжечковый путь (лат. tractus fronto-ponto-cerebellaris) — начинается от передних и средних лобных извилин, проходит через переднее бедро внутренней капсулы на противоположную сторону и переключается на клетках варолиевого моста, которые представляют собой второй нейрон данного пути. От них он поступает в контрлатеральную среднюю ножку мозжечка и заканчивается на клетках Пуркинье его полушарий.
- Височно-мосто-мозжечковый путь (лат. tractus temporo-ponto-cerebellaris) — начинается от клеток коры височных долей головного мозга. В остальном его ход схож с таковым лобно-мосто-мозжечкового пути.
- Затылочно-мосто-мозжечковый путь (лат. tractus occipito-ponto-cerebellaris) — начинается от клеток коры затылочной доли головного мозга. Передаёт в мозжечок зрительную информацию[35].
В нижних ножках мозжечка проходят афферентные проводящие пути, идущие от спинного мозга и ствола головного мозга к коре мозжечка[35].
- Задний спинально-мозжечковый путь (лат. tractus spino-cerebellaris posterior) (путь Флексига) связывает мозжечок со спинным мозгом. Проводит импульсы от проприорецепторов мышц, суставов, сухожилий и надкостницы, которые достигают задних рогов спинного мозга в составе чувствительных волокон и задних корешков спинномозговых нервов. В задних рогах спинного мозга они переключаются на так называемые клетки Кларка, представляющие собой второй нейрон глубокой чувствительности. Аксоны клеток Кларка формируют путь Флексига. Они проходят в задней части бокового столба со своей стороны и в составе нижних ножек мозжечка достигают его коры[35].
- Оливо-мозжечковый путь (лат. tractus olivo-cerebellaris) — начинается в ядре нижней оливы с противоположной стороны и заканчивается на клетках Пуркинье коры мозжечка.[35] Оливо-мозжечковый путь представлен лазящими волокнами[30]. Ядро нижней оливы получает информацию непосредственно от коры головного мозга и таким образом проводит информацию от её премоторных зон, то есть областей ответственных за планирование движений.
- Вестибуло-мозжечковый путь (лат. tractus vestibulo-cerebellaris) — начинается от верхнего вестибулярного ядра Бехтерева (ядра преддверно-улиткового нерва) и через нижние ножки достигает коры мозжечка флоккуло-нодулярной области (архицеребеллума). Информация вестибуло-мозжечкового пути переключившись на клетках Пуркинье достигает ядра шатра(лат. nucleus fastigii)[35].
- Ретикуло-мозжечковый путь (лат. tractus reticulo-cerebellaris) — начинается от ретикулярной формации ствола головного мозга, доходит до коры червя мозжечка. Соединяет мозжечок и базальные ганглии экстрапирамидной системы[35].
Симптоматика поражений
Для поражения мозжечка характерны расстройства статики и координации движений, а также мышечная гипотония. Данная триада характерна как для человека, так и других позвоночных[23][28]. При этом симптомы поражения мозжечка наиболее детально описаны для человека, так как имеют непосредственное прикладное значение в медицине.
Поражение мозжечка, прежде всего его червя (архи- и палеоцеребеллума), ведёт обычно к нарушению статики тела — способности поддержания стабильного положения его центра тяжести, обеспечивающего устойчивость. При расстройстве указанной функции возникает статическая атаксия (греч. ἀταξία — беспорядок). Больной становится неустойчивым, поэтому в положении стоя он стремится широко расставить ноги, сбалансировать руками. Особенно чётко статическая атаксия проявляется в позе Ромберга. Больному предлагается встать, плотно сдвинув ступни, слегка поднять голову и вытянуть вперёд руки. При наличии мозжечковых расстройств больной в этой позе оказывается неустойчивым, тело его раскачивается. Больной может упасть. В случае поражения червя мозжечка больной обычно раскачивается из стороны в сторону и чаще падает назад, при патологии полушария мозжечка его клонит преимущественно в сторону патологического очага. Если расстройство статики выражено умеренно, его легче выявить у больного в так называемой усложнённой или сенсибилизированной позе Ромберга. При этом больному предлагается поставить ступни на одну линию с тем, чтобы носок одной ступни упирался в пятку другой. Оценка устойчивости та же, что и в обычной позе Ромберга[32][36].
В норме, когда человек стоит, мышцы его ног напряжены (реакция опоры), при угрозе падения в сторону нога его на этой стороне перемещается в том же направлении, а другая нога отрывается от пола (реакция прыжка). При поражении мозжечка, главным образом его червя, у больного нарушаются реакции опоры и прыжка. Нарушение реакции опоры проявляется неустойчивостью больного в положении стоя, особенно если ноги его при этом близко сдвинуты. Нарушение реакции прыжка приводит к тому, что, если врач, встав позади больного и подстраховывая его, толкает больного в ту или иную сторону, то последний падает при небольшом толчке (симптом толкания)[32].
Походка у больного с мозжечковой патологией весьма характерна и носит название «мозжечковой». Больной в связи с неустойчивостью тела идёт неуверенно, широко расставляя ноги, при этом его «бросает» из стороны в сторону, а при поражении полушария мозжечка отклоняется при ходьбе от заданного направления в сторону патологического очага. Особенно отчётлива неустойчивость при поворотах. Во время ходьбы туловище человека избыточно выпрямлено (симптом Тома). Походка больного с поражением мозжечка во многом напоминает походку пьяного человека[32].
Если статическая атаксия оказывается резко выраженной, то больные полностью теряют способность владеть своим телом и не могут не только ходить и стоять, но даже сидеть[32].
Преимущественное поражение полушарий мозжечка (неоцеребеллума) ведёт к расстройству его противоинерционных влияний и, в частности, к возникновению динамической атаксии. Она проявляется неловкостью движений конечностей, которая оказывается особенно выраженной при движениях, требующих точности. Для выявления динамической атаксии проводится ряд координационных проб[32].
- Проба на диадохокинез — больному предлагается закрыть глаза, вытянуть вперёд руки и быстро, ритмично супинировать и пронировать (вращать кнаружи и внутрь) кисти рук. В случае поражения полушария мозжечка движения кисти на стороне патологического процесса оказываются более размашистыми, в результате эта кисть начинает отставать. Тогда говорят о наличии адиадохокинеза[32][36].
- Пальце-носовая проба — больной с закрытыми глазами отводит руку, а затем указательным пальцем пытается попасть в кончик своего носа. В случае мозжечковой патологии рука на стороне патологического очага совершает избыточное по объёму движение, в результате чего больной промахивается. Также выявляется характерный для мозжечковой патологии интенционный тремор (дрожание пальцев), выраженность которого нарастает по мере приближения пальца к цели[32][36].
- Пяточно-коленная проба — больной, лежащий на спине с закрытыми глазами, поднимает высоко ногу и пытается пяткой попасть в колено другой ноги. При мозжечковой патологии отмечается промахивание, особенно при выполнении пробы гомолатеральной (на той же стороне) поражённому полушарию мозжечка ногой. Если всё-таки пятка достигает колена, то предлагается провести ею, слегка касаясь голени, по гребню большеберцовой кости вниз к голеностопному суставу. При этом в случае мозжечковой патологии пятка всё время соскальзывает то в одну, то в другую сторону[32][36].
- Указательная (пальце-пальцевая) проба — больному предлагается попасть указательным пальцем в кончик направленного на него пальца исследующего. В случае мозжечковой патологии отмечается мимопопадание. Палец больного при этом обычно отклоняется в сторону поражённого полушария мозжечка[32].
- Симптом Тома-Жументи — захватывая предмет, больной несоразмерно широко раздвигает пальцы[32].
- «Проба с чашей» — больной, держащий в руке стакан с водой, расплёскивает воду.
- Нистагм — подёргивание глазных яблок при взгляде в стороны или вверх. При поражении мозжечка нистагм рассматривается как результат интенционного дрожания глазных яблок. При этом плоскость нистагма совпадает с плоскостью произвольных движений глаз — при взгляде в стороны нистагм горизонтальный, при взгляде вверх — вертикальный[32].
- Расстройство речи — возникает в результате нарушения координации работы мышц, составляющих речедвигательный аппарат. Речь делается замедленной (брадилалия), теряется её плавность. Она приобретает взрывчатый, скандированный характер (ударения расставляются не по смыслу, а через равномерные интервалы)[32][36].
- Изменения почерка — почерк больного становится неровным, буквы исковерканными, чрезмерно крупными (мегалография)[32][36].
- Симптом Стюарта-Холмса (симптом отсутствия обратного толчка[36]) — исследующий просит больного сгибать супинированное предплечье и в то же время, взяв его руку за запястье, оказывает сопротивление этому движению. Если исследующий при этом неожиданно отпустит руку больного, то больной не сможет вовремя притормозить дальнейшее сгибание руки, и она, сгибаясь по инерции, с силой ударит его в грудь[32].
- Пронаторный феномен — больному предлагается удерживать вытянутые вперёд руки ладонями вверх. При этом на стороне поражённого полушария мозжечка происходит спонтанная пронация (поворот ладони внутрь и книзу)[32].
- Симптом Гоффа-Шильдера — если больной держит руки вытянутыми вперёд, то на стороне патологического очага рука отводится кнаружи.
- Феномен Дойникова (изменение постуральных рефлексов[36]) — сидящему больному предлагается кисти с разведёнными пальцами положить на свои бёдра вверх ладонями и закрыть глаза. В случае мозжечковой патологии на стороне патологического очага отмечается спонтанное сгибание пальцев и пронация кисти[32].
- Проба Шильдера — больному предлагают вытянуть руки вперёд, закрыть глаза, поднять одну руку кверху и опустить её до уровня другой руки, а затем сделать наоборот. При поражении мозжечка больной опустит руку ниже вытянутой[37].
Мышечная гипотония выявляется при пассивных движениях, производимых исследующим в различных суставах конечностей больного. Поражение червя мозжечка ведёт обычно к диффузной гипотонии мышц, тогда как при поражении полушария мозжечка снижение мышечного тонуса отмечается на стороне патологического очага[32].
Маятникообразные рефлексы обусловлены также гипотонией. При исследовании коленного рефлекса в положении сидя со свободно свисающими с кушетки ногами после удара молоточком наблюдается несколько «качательных» движений голени[37].
Асинергии — выпадение физиологических синергичных (содружественных) движений при сложных двигательных актах[36].
Наиболее распространены следующие пробы на асинергию:
- Больному, стоящему со сдвинутыми ногами, предлагают перегнуться назад. В норме одновременно с запрокидыванием головы ноги синергично сгибаются в коленных суставах, что позволяет сохранить устойчивость тела. При мозжечковой патологии содружественное движение в коленных суставах отсутствует и, запрокидывая голову назад, больной сразу же теряет равновесие и падает в том же направлении.
- Больному, стоящему со сдвинутыми ногами, предлагается опереться на ладони врача, который затем неожиданно их убирает. При наличии у больного мозжечковой асинергии он падает вперёд (симптом Ожеховского). В норме же происходит лёгкое отклонение корпуса назад или же человек сохраняет неподвижность.
- Больному, лежащему на спине на твёрдой постели без подушки, с ногами, раздвинутыми на ширину надплечий, предлагают скрестить руки на груди и затем сесть. Ввиду отсутствия содружественных сокращений ягодичных мышц больной с мозжечковой патологией не может фиксировать ноги и таз к площади опоры, в результате сесть ему не удаётся, при этом ноги больного, отрываясь от постели, поднимаются вверх (асинергия по Бабинскому)[32].
Патология
Поражения мозжечка встречаются при широком спектре заболеваний. На основании данных МКБ-10 мозжечок непосредственно поражается при следующих патологиях:
Новообразования мозжечка (C71.6 согласно МКБ-10[38]) наиболее часто представлены медуллобластомами, астроцитомами и гемангиобластомами[39].
Абсцессы мозжечка (G06.0 согласно МКБ-10[38]) составляют 29 % всех абсцессов головного мозга. Локализуются чаще в полушариях мозжечка на глубине 1—2 см. Имеют небольшие размеры, круглую или овальную форму[3].
Различают метастатические и контактные абсцессы мозжечка. Метастатические абсцессы встречаются редко; развиваются вследствие гнойных заболеваний отдалённых участков тела. Иногда источник инфекции установить не удаётся[3].
Чаще встречаются контактные абсцессы отогенного происхождения. Путями проникновения инфекции при них являются либо костные каналы височной кости либо сосуды, отводящие кровь из среднего и внутреннего уха[3].
Группа наследственных заболеваний сопровождается развитием атаксии (G11 согласно МКБ-10[38]).
При некоторых из них отмечается преимущественное поражение мозжечка.
Наследственное дегенеративное заболевание с преимущественным поражением мозжечка и его проводящих путей. Тип наследования аутосомно-доминантный[40]..
При данном заболевании определяется дегенеративное поражение клеток коры и ядер мозжечка, спиноцеребеллярных путей в боковых канатиках спинного мозга, в ядрах моста и продолговатого мозга[40].
Группа наследственных заболеваний нервной системы, характеризующихся дегенеративными изменениями мозжечка, ядер нижних олив и моста мозга, в ряде случаев — ядер черепных нервов каудальной группы, в меньшей степени — поражением проводящих путей и клеток передних рогов спинного мозга, базальных ганглиев. Заболевания отличаются типом наследования и различным сочетанием клинических симптомов[40].
Алкогольная мозжечковая дегенерация (G31.2 согласно МКБ-10[38]) является одним из самых частых осложнений злоупотребления алкоголем. Развивается чаще на 5-й декаде жизни после многолетнего злоупотребления этанолом. Обусловлена как непосредственным токсическим действием алкоголя, так и электролитными нарушениями, обусловленными алкоголизмом. Развивается выраженная атрофия передних долей и верхней части червя мозжечка. В поражённых областях выявляется почти полная потеря нейронов как в гранулярном, так и в молекулярном слоях коры мозжечка. В далеко зашедших случаях могут вовлекаться и зубчатые ядра[41].
Рассеянный склероз (G35 согласно МКБ-10[38]) хроническое демиелинизирующее заболевание. При нём наблюдается многоочаговое поражение белого вещества центральной нервной системы[42].
Морфологически патологический процесс при рассеянном склерозе характеризуется многочисленными изменениями в головном и спинном мозге. Излюбленная локализация очагов (или бляшек) — перивентрикулярное белое вещество, боковые и задние канатики шейной и грудной части спинного мозга, мозжечок и ствол мозга[42].
Нарушения мозгового кровообращения в мозжечке могут проходить либо по ишемическому (I63 согласно МКБ-10[38]), либо по геморрагическому (I61.4 согласно МКБ-10[38]) типу.
Инфаркт (нарушение кровообращения по ишемическому типу) мозжечка возникает при закупорке позвоночной, базилярной или мозжечковой артерий и при обширном поражении сопровождается выраженными общемозговыми симптомами, нарушением сознания, Закупорка передней нижней мозжечковой артерии приводит к инфаркту в области мозжечка и моста, что может вызвать головокружение, шум в ушах, тошноту на стороне поражения — парез мышц лица, мозжечковую атаксию, синдром Горнера. При закупорке верхней мозжечковой артерии чаще возникает головокружение, мозжечковая атаксия на стороне очага[43].
Кровоизлияние в мозжечок обычно проявляется головокружением, тошнотой и повторной рвотой при сохранении сознания. Больных часто беспокоит головная боль в затылочной области, у них обычно выявляются нистагм и атаксия в конечностях. При возникновении мозжечково-тенториального смещения или вклинении миндалин мозжечка в большое затылочное отверстие развивается нарушение сознания вплоть до комы, геми- или тетрапарез, поражения лицевого и отводящего нервов[43].
Ушибы мозжечка (S06.3 согласно МКБ-10[38]) доминируют среди поражений образований задней черепной ямки. Очаговые повреждения мозжечка обычно обусловлены ударным механизмом травмы (приложение механической энергии к затылочно-шейной области при падении на затылок либо ударе твёрдым предметом), что подтверждается частыми переломами затылочной кости ниже поперечного синуса[44].
Общемозговая симптоматика (нарушения сознания, головная боль, брадикардия и др.) при повреждениях мозжечка часто имеет окклюзионную окраску (вынужденное положение головы, рвота при перемене положения тела в пространстве, раннее развитие застойных сосков зрительных нервов и др.) в связи с близостью к путям оттока ликвора из головного мозга[44].
Среди очаговых симптомов при ушибах мозжечка доминируют односторонняя либо двусторонняя мышечная гипотония, нарушения координации, крупный тонический спонтанный нистагм. Характерна локализация болей в затылочной области с иррадиацией в другие области головы. Часто одновременно проявляется та или иная симптоматика со стороны ствола мозга и черепных нервов. При тяжёлых повреждениях мозжечка возникают нарушения дыхания, горметония и другие жизненно опасные состояния[44].
Вследствие ограниченности субтенториального пространства даже при сравнительно небольшом объёме повреждений мозжечка нередко развёртываются дислокационные синдромы с ущемлением продолговатого мозга миндалинами мозжечка на уровне затылочно-шейной дуральной воронки либо ущемлением среднего мозга на уровне намёта за счёт смещаемых снизу вверх верхних отделов мозжечка[44].
Пороки развития мозжечка включают в себя несколько заболеваний.
Выделяют тотальную и субтотальную агенезию мозжечка. Тотальная агенезия мозжечка встречается редко, сочетается с другими тяжёлыми аномалиями развития нервной системы (анэнцефалия, амиелия). Чаще всего наблюдается субтотальная агенезия, сочетающаяся с пороками развития других отделов головного мозга (агенезией моста, отсутствием четвёртого желудочка и др.). Гипоплазии мозжечка встречаются, как правило, в двух вариантах: уменьшение всего мозжечка и гипоплазия отдельных частей с сохранением нормальной структуры остальных его отделов. Они могут быть одно- и двусторонними, а также лобарными, лобулярными и интракортикальными. Выделяют различные изменения конфигурации листков — аллогирию, полигирию, агирию[3].
Синдром Денди — Уокера (Q03.1 согласно МКБ-10[38]) характеризуется сочетанием кистозного расширения четвёртого желудочка, тотальной или частичной аплазии червя мозжечка и супратенториальной гидроцефалии[45].
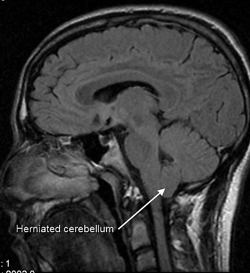
Синдром Арнольда — Киари (Q07.0 согласно МКБ-10[38]) включает в себя 4 типа заболеваний, обозначаемых соответственно синдром Арнольд-Киари I, II, III и IV[46].
Синдром Арнольда — Киари I — опущение миндалин мозжечка более чем на 5 мм за пределы большого затылочного отверстия в позвоночный канал[46].
Синдром Арнольда — Киари II — опущение в позвоночный канал структур мозжечка и ствола мозга, миеломенингоцеле и гидроцефалия[46].
Синдром Арнольда — Киари III — затылочное энцефалоцеле в сочетании с признаками синдрома Арнольда-Киари II[46].
Синдром Арнольда — Киари IV — аплазия или гипоплазия мозжечка[46].
История изучения
В одних из первых работ по анатомии Аристотеля и Галена мозжечку не отводилось какой-либо значимой роли в функционировании и жизнедеятельности человека. Термин греч. Παρεγκεφαλίδα, которым они описали мозжечок, дословно обозначал «подобный мозгу». Таким образом, первые анатомы противопоставляли истинно мозг и подобное мозгу образование — мозжечок. Однако Иоанн Дамаскин в «Точном изложении православной веры», со ссылкой на трактат Немезия «О природе человека», приводит мнение о мозжечке как об органе памяти.
Первым учёным нового времени, предположившим функциональную значимость мозжечка, был Андреас Везалий[47]
Ранние исследования по физиологии мозжечка, проведённые в XVIII—XIX веках, не позволили сделать определённых выводов о его функциях. Первое серьёзное экспериментальное изучение мозжечка было предпринято Роландо в 1809 году. Повреждая или удаляя мозжечок у различных животных, он обратил внимание на нарушение у них произвольных движений и установил связи мозжечка с гомолатеральными частями тела. Эти наблюдения были продолжены М. Флурансом в 1830 году, который выдвинул концепцию о регуляторном влиянии мозжечка на моторную активность. Им же впервые была отмечена высокая степень компенсации, наступающая после частичного удаления мозжечка. Франсуа Мажанди в 1824 году на основании экспериментов по перерезке ножек мозжечка рассматривал его как центр нервных механизмов равновесия. Новый период в изучении функций мозжечка начинается с работ Лучани (1891 год), которому удалось наблюдать за животными в течение длительного времени после удаления мозжечка и произвести тщательный анализ симптомов поражения мозжечка. Им впервые была создана обоснованная теория о функциях мозжечка, получившая в своё время широкое признание. Исследования Лучани показали, что основным комплексом двигательных нарушений мозжечкового происхождения является атаксия, включающая такие симптомы, как атония, астазия и астения (триада Лучани). Согласно Лучани, мозжечок является вспомогательным органом головного мозга в координации работы двигательного аппарата; он оказывает регулирующее влияние на образования центральной нервной системы и периферическую нервно-мышечную систему путём тонического, статического и трофического действий. Исследованиями Лучани было показано активное участие коры больших полушарий, в частности её сенсомоторной области, в компенсации двигательных мозжечковых расстройств (функциональная компенсация), а также возможность замещения дефектов движения, вызванных частичным удалением мозжечка, сохранившимися его участками (органическая компенсация)[3].
Таким образом в XIX столетии сформировалось три основных направления в учении о мозжечке. Идея Роландо о диффузном мозжечковом влиянии на всю двигательную активность зародила гипотезу Лучани о тоническом облегчающем влиянии мозжечка на центральные структуры, контролирующие активность скелетных мышц. Концепция М. Флуранса о связи мозжечка с координацией движений была поддержана и усовершенствована Люссана в 1862 году и М. Левандовским в 1903 году, которые попытались скоррелировать функции мозжечка с мышечной чувствительностью. Гипотеза Ф. Мажанди нашла своё дальнейшее развитие в работах Д. Феррье (1876), Стефани (1877), В. М. Бехтерева (1884) и Тома (1897). В них мозжечок рассматривается как орган равновесия, тесно связанный с вестибулярным аппаратом. Все перечисленные исследования были выполнены методом удаления мозжечка[3].
В конце XIX века Ч. Шеррингтоном, Левенталем и В. Горслеем почти одновременно было обнаружено, что децеребрационная ригидность может быть заторможена раздражением мозжечка[3].
Это наблюдение явилось началом новой линии нейрофизиологических исследований, выявивших наличие тесных связей мозжечка со всеми системами супраспинального контроля. В последующем сочетание этих двух методов экспериментального изучения привело к выводу об особой роли мозжечка в процессе двигательного управления, а клинические наблюдения, подтвердив преимущественно двигательную направленность мозжечковой симптоматики, обнаружили общность в картине поражения мозжечка у человека и животных[3].
Примечания
Ссылки
- Атлас мозга на английском языке с русским переводом основных терминов.
- Лекция по анатомии мозжечка
- Проводящие пути и семиотика поражений мозжечка
- Статья БСЭ
- Научно-популярная статья д.м.н. В. П. Подачина об анатомии и нейрофизиологии мозжечка
- Калиниченко С. Г., Мотавкин П. А. Кора мозжечка. М.: Наука, 2005, 320 с.
- Межецкая Т. А., Савельева-Новосёлова Н. А., Савельев А. В., Колесников А. А. Устройство для моделирования нейрона Пуркинье // Авторское свидетельство СССР № 1497626, приоритет от 22.04.1987. — Москва: Бюллетень Изобретений, 1989. — № 28.
- Савельев А. В. Реализм теории модульной самоорганизации мозжечка // Журнал проблем эволюции открытых систем. — Казахстан, Алматы, 2007. — Т. 9, № 1. — С. 93—101.
Литература
- Калиниченко С. Г., Мотавкин П. А. Кора мозжечка. — М.: Наука, 2005. — 319 с. — ISBN 5-02-033688-2.
- С. В. Савельев. Происхождение мозга. — М.:: ВЕДИ, 2005. — 368 с. — ISBN 5-94624-025-0.


