Ушиб головного мозга
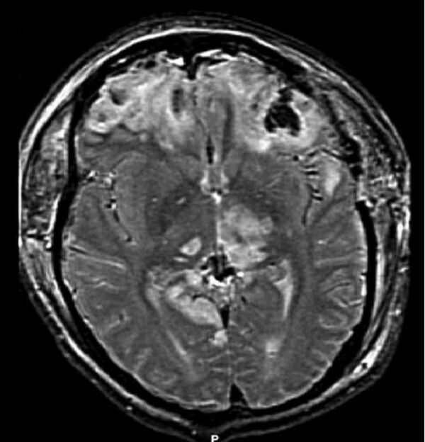
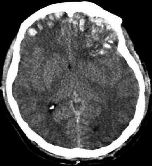
Ушиб головного мозга (лат. contusio cerebri) — черепно-мозговая травма, при которой происходит поражение непосредственно тканей головного мозга, всегда сопровождается наличием очага некроза нервной ткани. Наиболее часто очаги повреждения располагаются в области лобных, височных и затылочных долей. Повреждения, развившиеся при травме, могут быть как односторонние, так и двухсторонние[2].
Классификация
Различают ушиб головного мозга лёгкой, средней и тяжёлой степени тяжести в зависимости от глубины и продолжительности потери сознания[3].
Ушиб мозга легкой степени характеризуется непродолжительной потерей сознания после травмы (от нескольких до десятков минут). После ушиба больные жалуются на головную боль, головокружение, тошноту, рвоту. Иногда встречается умеренная брадикардия или тахикардия, бывает артериальная гипертензия, нарушение витальных функций. Температура тела нормальная. Возможны переломы костей свода черепа и субарахноидальное кровоизлияние[4].
Ушиб мозга средней степени тяжести характеризуется более продолжительной потерей сознания после травмы, нежели при легкой форме (от нескольких десятков минут до нескольких часов). После ушиба больные жалуются на сильную головную боль, наблюдается многократная рвота. Могут возникнуть нарушения психики. Встречается брадикардия или тахикардия, повышение АД, тахипноэ. Часто выражены менингеальные симптомы. Возможны переломы костей свода черепа и субарахноидальное кровоизлияние. Спинномозговая жидкость с выраженной примесью крови[2][4].
Ушиб мозга тяжелой степени характеризуется длительной потерей сознания после травмы (от нескольких часов до нескольких недель). Обычно выражено двигательное возбуждение. Наблюдается доминирование стволовых неврологических симптомов (множественный нистагм, нарушения глотания, двухсторонний мидриаз или миоз, горметония и др.). Могут выявляться парезы конечностей. Часто выражены менингеальные симптомы. Возможны переломы костей свода черепа и массивное субарахноидальное кровоизлияние. Тяжёлые ушибы мозга часто приводят к летальному исходу[2][4].


