Гипофиз
Гипо́физ (лат. hypophysis — отросток; синонимы: ни́жний мозгово́й прида́ток, питуита́рная железа́) — мозговой придаток в форме округлого образования, а также орган внутренней секреции, отвечающий за рост человека, он расположен на нижней поверхности головного мозга в костном кармане, называемом турецким седлом, вырабатывает гормоны, влияющие на рост, обмен веществ и репродуктивную функцию. Является центральным органом эндокринной системы; тесно связан и взаимодействует с гипоталамусом мозга.
Расположение
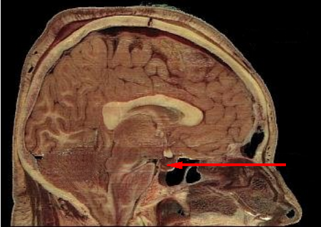
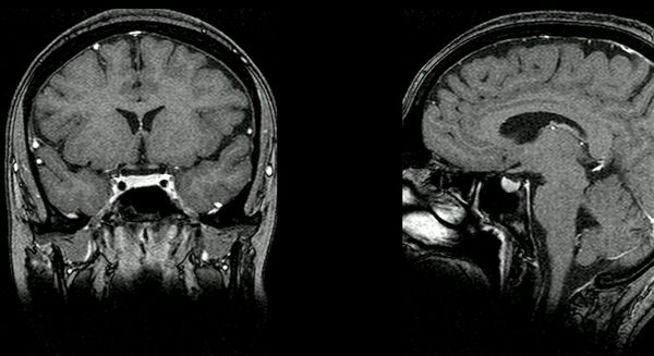
Гипофиз располагается в основании головного мозга (нижней поверхности) в гипофизарной ямке турецкого седла клиновидной кости черепа. Турецкое седло прикрыто отростком твёрдой оболочки головного мозга — диафрагмой седла, с отверстием в центре, через которое гипофиз соединён с воронкой гипоталамуса промежуточного мозга; посредством её гипофиз связан с серым бугром, расположенным на нижней стенке III желудочка. По бокам гипофиз окружён пещеристыми венозными синусами.
Размеры
Размеры гипофиза достаточно индивидуальны: переднезадний/сагиттальный размер колеблется от 5 до 13 мм (до 16 мм у людей за 2 м ростом), верхненижний/корональный — от 6 до 8 мм, поперечный/аксиальный/трансверзальный — от 3 до 5 мм, масса гипофиза 0,5 г.
Строение
Гипофиз состоит из двух крупных различных по происхождению и структуре долей: передней — аденогипофиза (составляет 70—80 % массы органа) и задней — нейрогипофиза. Вместе с нейросекреторными ядрами гипоталамуса гипофиз образует гипоталамо-гипофизарную систему, контролирующую деятельность периферических эндокринных желёз.
Передняя доля гипофиза (лат. pars anterior), или аденогипо́физ (лат. adenohypophysis), состоит из железистых эндокринных клеток различных типов, каждый из которых, как правило, секретирует один из гормонов. Анатомически выделяют следующие части:
- pars distalis (бо́льшая часть аденогипофиза)
- pars tuberalis (листовидный вырост, окружающий ножку гипофиза, функции которого не ясны)
- pars intermedia, которую правильнее обозначать как промежуточную долю гипофиза.
Гормоны передней доли гипофиза:
- Тропные, так как их органами-мишенями являются эндокринные железы. Гипофизарные гормоны стимулируют определённую железу, а повышение уровня в крови выделяемых ею гормонов подавляет секрецию гормона гипофиза по принципу обратной связи.
- Тиреотропный гормон (ТТГ) — главный регулятор биосинтеза и секреции гормонов щитовидной железы.
- Адренокортикотропный гормон (АКТГ) — стимулирует кору надпочечников.
- Гонадотропные гормоны:
- фолликулостимулирующий гормон (ФСГ) — способствует созреванию фолликулов в яичниках, стимуляция пролиферации эндометрия, регуляция стероидогенеза.
- лютеинизирующий гормон (ЛГ) — вызывает овуляцию и образование жёлтого тела, регуляция стероидогенеза.
- Соматотропный гормон (СТГ) — важнейший стимулятор синтеза белка в клетках, образования глюкозы и распада жиров, а также роста организма.
- Лютеотропный гормон (пролактин) — регулирует лактацию, дифференцировку различных тканей, ростовые и обменные процессы, инстинкты заботы о потомстве.
Из аденогипофиза развиваются аденомы гипофиза[1].
Задняя доля гипофиза (лат. pars posterior), или нейрогипо́физ (лат. neurohypophysis), состоит из:
- нервная доля. Образована клетками эпендимы (питуицитами) и окончаниями аксонов нейросекреторных клеток паравентрикулярного и супраоптического ядер гипоталамуса промежуточного мозга, в которых и синтезируются вазопрессин (антидиуретический гормон) и окситоцин, транспортируемые по нервным волокнам, составляющим гипоталамо-гипофизарный тракт, в нейрогипофиз. В задней доле гипофиза эти гормоны депонируются и оттуда поступают в кровь.
- воронка, infundibulum. Соединяет нервную долю со срединным возвышением. Воронка гипофиза, соединяясь с воронкой гипоталамуса, образует ножку гипофиза.
Функционирование всех отделов гипофиза тесно связано с гипоталамусом. Это положение распространяется не только на заднюю долю — «приемник» и депо гипоталамических гормонов, но и на передний и средний отделы гипофиза, работа которых контролируется гипоталамическими гипофизотропными гормонами — рилизинг-гормонами[2].
Гормоны задней доли гипофиза:
- аспаротоцин
- вазопрессин (антидиуретический гормон, АДГ) (депонируется и секретируется)
- вазотоцин
- валитоцин
- глумитоцин
- изотоцин
- мезотоцин
- окситоцин (депонируется и секретируется)
Вазопрессин выполняет в организме две функции:
- усиление реабсорбции воды в собирательных трубочках почек (это антидиуретическая функция вазопрессина);
- влияние на гладкую мускулатуру артериол.
Однако название «вазопрессин» не совсем соответствует свойству этого гормона суживать сосуды. Дело в том, что в нормальных физиологических концентрациях он сосудосуживающим эффектом не обладает. Сужение сосудов может происходить при экзогенном внедрении гормона в больших количествах или же при кровопотере, когда гипофиз интенсивно выделяет этот гормон. При недостаточности нейрогипофиза развивается синдром несахарного диабета, при котором с мочой в день может теряться значительное количество воды (15 л/сутки), так как снижается её реабсорбция в собирательных трубочках.
Окситоцин во время беременности не действует на матку, так как под воздействием прогестерона, выделяемого жёлтым телом, она становится нечувствительной к данному гормону. Окситоцин способствует сокращению миоэпителиальных клеток, способствующих выделению молока из молочных желез.
У многих животных хорошо развита промежуточная доля гипофиза, расположенная между передней и задней долями. По происхождению она относится к аденогипофизу. У человека она представляет тонкую прослойку клеток между передней и задней долями, довольно глубоко заходящую в ножку гипофиза. Эти клетки синтезируют свои специфические гормоны — меланоцитстимулирующие и ряд других.
Развитие
Закладка гипофиза происходит на 4—5 неделе эмбриогенеза. Передняя доля гипофиза развивается из эпителиального выпячивания дорсальной стенки ротовой бухты в виде пальцевидного выроста (кармана Ратке), направляющегося к основанию головного мозга, в области III желудочка, где встречается с будущей задней долей гипофиза, которая развивается позднее передней из отростка воронки промежуточного мозга.
Сосуды и нервы
Кровоснабжение гипофиза осуществляется из верхних и нижних гипофизарных артерий, являющихся ответвлениями внутренней сонной артерии. Верхние гипофизарные артерии вступают в воронку гипоталамуса и, проникая в мозг, разветвляются в первичную гемокапиллярную сеть; эти капилляры собираются в портальные вены, которые направляются по ножке в переднюю долю гипофиза, где снова разветвляются на капилляры, образуя вторичную капиллярную сеть. Нижние гипофизарные артерии снабжают кровью преимущественно заднюю долю. Верхние и нижние гипофизарные артерии анастомозируют друг с другом. Венозный отток происходит в пещеристые и межпещеристые синусы твёрдой мозговой оболочки.
Гипофиз получает симпатическую иннервацию от сплетения внутренней сонной артерии. Кроме того, в заднюю долю проникают множество отростков нейросекреторных клеток гипоталамуса.
Функции
В передней доле гипофиза соматотропоциты вырабатывают соматотропин, активирующий митотическую активность соматических клеток и биосинтез белка; лактотропоциты вырабатывают пролактин, стимулирующий развитие и функции молочных желез и жёлтого тела; гонадотропоциты — фолликулостимулирующий гормон (стимуляция роста фолликулов яичника, регуляция стероидогенеза) и лютеинизирующий гормон (стимуляция овуляции, образования жёлтого тела, регуляция стероидогенеза); тиротропоциты — тиреотропный гормон (стимуляция секреции йодсодержащих гормонов тироцитами); кортикотропоциты — адренокортикотропный гормон (стимуляция секреции кортикостероидов в коре надпочечников). В средней доле гипофиза меланотропоциты вырабатывают меланоцитстимулирующий гормон (регуляция обмена меланина); липотропоциты — липотропин (регуляция жирового обмена). В задней доле гипофиза питуициты активируют вазопрессин и окситоцин в накопительных тельцах. При гипофункции передней доли гипофиза в детстве наблюдается карликовость. При гиперфункции передней доли гипофиза в детстве развивается гигантизм.
Болезни и патологии
- Акромегалия
- Болезнь Иценко — Кушинга, не путать с синдромом Иценко-Кушинга, который связан с поражением надпочечников, а не гипофиза.
- Несахарный диабет
- Синдром Шихана
- Карликовость
- Гипофизарный гипотиреоз
- Гипофизарный гипогонадизм
- Гиперпролактинемия
- Гипофизарный гипертиреоз
- Гигантизм
- Аденома гипофиза
Гипофиз в искусстве
В повести М. А. Булгакова «Собачье сердце» профессор Преображенский делает операцию по пересадке гипофиза от человека собаке с целью выяснить его влияние на омоложение. В результате он приходит к выводу, что гипофиз отвечает за человеческий облик и, возможно, его личные качества.
Дополнительные изображения
Примечания
Литература
- Н. А. Агаджанян, В. М. Смирнов. Нормальная физиология. Издательство «Медицинское Информационное Агентство». 2007 г.


