Диффузное аксональное повреждение головного мозга
Диффузное аксональное повреждение головного мозга (ДАП) — распространённый вид черепно-мозговой травмы, при которой резкое ускорение либо торможение головы, например, в момент ДТП, приводит к натяжению и разрыву аксонов. Другими, менее распространёнными причинами ДАП могут быть падения, удары при драке или избиении, а у маленьких детей аксональное повреждение отмечается при «синдроме сотрясения».
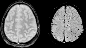
При диффузном аксональном повреждении головного мозга микроскопические мелкоочаговые кровоизлияния выявляются в мозолистом теле, полуовальном центре, верхних отделах ствола мозга. Клинически оно проявляется длительной комой, которая в большинстве случаев переходит в вегетативное состояние. Последнее характеризуется отсутствием корковой деятельности и длится месяцы и годы.
Дети с данным повреждением могут иметь нормальный или неспецифический срез КТ[1].
Примечания
Литература
- Лекция по нейрохирургии (недоступная ссылка)


