Нейросаркоидоз
Нейросаркоидоз (НС) — это одно из проявлений саркоидоза, характеризующееся прогрессирующим поражением нервной системы. Заболевание проявляется гранулёматозным воспалением оболочек и/или ткани головного или спинного мозга, а также черепных и/или периферических нервов[1].
Эпидемиология
Согласно данным ряда исследований с патологоанатомическим анализом, поражение нервной системы наблюдалось у 10—25 % пациентов с саркоидозом, однако клинические неврологические симптомы были выявлены только у 5—15 % больных. Манифестация НС в виде изолированной формы характеризуется гетерогенностью клинических проявлений и встречается редко, составляя всего 2—5 % от всех случаев заболевания[1][2].
Этиология
Саркоидоз рассматривается как аутоиммунное заболевание, в патогенезе которого ключевую роль играет воздействие инфекционных (например, Mycobacterium tuberculosis, Propionobacterium, некоторые грибы и вирусы) или неинфекционных агентов (например, бериллий, тальк, цирконий). Эти агенты приводят к активации антигенпрезентирующих клеток. Также подтверждается теория о генетической предрасположенности к саркоидозу. Были идентифицированы аллели, связанные с развитием определённых клинических форм саркоидоза. Однако специфические аллели, ответственные за вовлечение нервной системы в патологический процесс, до сих пор не установлены[2].
Клиническая картина
Поражение черепных нервов
НС может вызывать поражение черепных нервов вследствие прямой компрессии, раздражения мозговых оболочек или воспаления основания черепа.
- Лицевой нерв — наиболее часто поражаемый черепной нерв при НС, и его поражение может быть первым проявлением заболевания. НС может вызывать паралич лицевого нерва через различные механизмы, включая воспаление мозговых оболочек, паротит, поражение спинного мозга, инсульт/васкулит или компрессию. Хотя чаще наблюдается одностороннее поражение, возможны одновременное или последовательное двустороннее вовлечение.
- При поражении зрительного нерва при НС пациенты могут иметь лёгкий, безболезненный неврит зрительного нерва, случайно выявленный при обследовании, или медленно прогрессирующую оптическую нейропатию (ишемического, а не воспалительного характера). У 30 % пациентов наблюдается двустороннее поражение, а у 36 % — сопутствующее воспаление глаз, обычно увеит.
- Поражение преддверно-улиткового нерва с вестибулярной дисфункцией и/или потерей слуха обычно развивается вследствие лептоменингита в области основания мозга. Другие поражения черепных нервов при нейросаркоидозе встречаются реже[3][4].
Синдром Хеерфордта-Вальденстрёма, включающий паротит, паралич лицевого нерва, лихорадку и воспаление глаз, является патогномоничным для НС. Описано, что этот синдром может сопровождаться другими проявлениями НС, такими как поражение других черепных нервов или радикулопатия[3].
Поражение спинного мозга
Саркоидоз может затрагивать спинной мозг через различные механизмы, включая инфильтрацию паренхимы спинного мозга, оболочек, эпидурального пространства или тканей, окражющих спинной мозг, с компрессией спинного мозга. Обычно НС спинного мозга проявляется слабостью нижних конечностей и парестезиями и чаще всего сочетается с поражением головного мозга. Любой сегмент позвоночника может быть вовлечён[3][4].
Поражение мозговых оболочек
НС чаще всего поражает оболочки головного мозга с преимущественным поражением основания черепа, хотя может возникать в любом отделе головного или спинного мозга. У пациентов с менингитом на фоне НС часто наблюдаются головные боли, однако классические симптомы менингита, такие как лихорадка и ригидность затылочных мышц, встречаются редко. В области ствола мозга компрессия нервных корешков может вызывать поражение черепных нервов. Наличие когнитивных нарушений или изменений зрения на фоне головной боли должно вызывать подозрение на редкое, но опасное осложнение — обструктивную гидроцефалию. Возможно развитие подострого менингита, который способен перейти в хроническую форму[3][4].
Поражение паренхимы головного мозга
Поражение паренхимы головного мозга при НС может возникать вследствие распространения процесса с мозговых оболочек. Объёмные внутрипаренхиматозные образования развиваются примерно в 15 % случаев и могут вызывать судороги и очаговые неврологические дефициты. Поражение паренхимы головного мозга при НС вызывает симптомы, зависящие от локализации патологического процесса. Многоочаговые поражения встречаются чаще, чем одиночные[3][4].
Поражение области турецкого седла
Вовлечение гипоталамуса/гипофиза с последующими нейроэндокринными нарушениями наблюдается в 10-25 % случаев нейросаркоидоза. Наиболее часто встречаются следующие эндокринные дисфункции:
Эндокринные нарушения могут быть первым проявлением НСпримерно у половины пациентов с поражением области турецкого седла[3].
Саркоидоз может вызывать различные формы поражения ПНС, включая полинейропатии с вовлечением крупных или мелких волокон, а также полирадикулонейропатии с моторными, сенсорными или смешанными проявлениями. Также могут наблюдаться нейропатия малых волокон и поражение мышц[3].
В литературе описаны единичные случаи, когда саркоидоз становился причиной развития редких неврологических синдромов, таких как хорея, паркинсонизм и прогрессирующая мультифокальная лейкоэнцефалопатия. Эти состояния могут возникать даже при отсутствии сопутствующих иммуносупрессивных состояний, что подчёркивает разнообразие клинических проявлений НС[2].
Диагностика
Изменения в ликворе при НС неспецифичны и чаще всего наблюдаются при вовлечении черепно-мозговых нервов и мозговых оболочек. Характерны умеренное повышение уровня лимфоцитов с увеличением индекса CD4/CD8, снижение уровня глюкозы, повышение содержания ангиотензинпревращающего фермента и IgG[5][6].
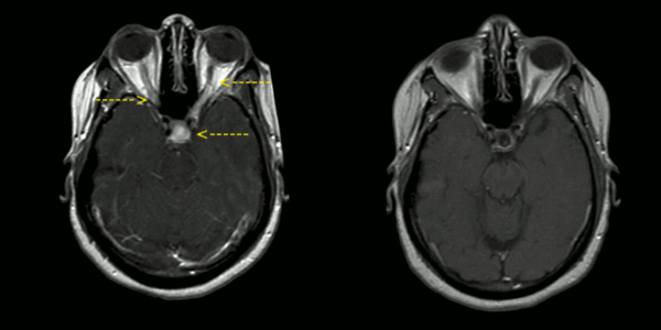
Магнитно-резонансная томография считается наиболее чувствительным методом диагностики НС, хотя изменения также неспецифичны. В 30—40 % случаев выявляется поражение оболочек основания головного мозга, очаговые изменения белого вещества и вовлечение гипоталамо-гипофизарной области. В 14 % случаев наблюдаются псевдотуморозные изменения, реже — гидроцефалия. В активной фазе заболевания характерно накопление гадолиния в поражённых участках[5].
Позитронно-эмиссионная томография (ПЭТ) с фтордезоксиглюкозой позволяет выявить изменения во всей нервной системе за счёт накопления фтордезоксиглюкозы, однако данные изменения необходимо дифференцировать с туберкулёзом и опухолевыми поражениями. ПЭТ также эффективна для определения участка для биопсии[5].
Поражение зрительного и слухового нервов может быть выявлено с помощью исследования вызванных потенциалов. Этот метод полезен для обнаружения субклинических изменений и оценки прогрессирования заболевания[5].
Золотым стандартом диагностики НС остаётся биопсия с гистологическим исследование спинномозговых оболочек или тканей головного мозга. При отрицательном результате или наличии противопоказаний к биопсии ЦНС может быть проведено исследование материала из других очагов, например, лимфатических узлов, лёгких, конъюнктивы, слёзных или околоушных желёз[5][6].
Лечение
Учитывая воспалительный характер процесса, кортикостероиды являются основным методом лечения нейросаркоидоза[7].
Иммуносупрессанты (циклоспорин, метотрексат и циклофосфамид) могут быть рассмотрены в качестве дополнительной терапии или альтернативы при непереносимости кортикостероидов[7].
Низкодозная лучевая терапия применяется у пациентов, не отвечающих на лечение стероидами[7].
Симптоматическое лечение
- заместительная гормональная терапия используются при эндокринных нарушениях;
- антипсихотики для контроля поведения и психоза[7].
Прогноз
НС может проявляться как монофазное, рецидивирующее заболевание или прогрессирующее заболевание с эпизодами ухудшения. Долгосрочные последствия НС изучены недостаточно[7].
Примечания
Литература
- Максимова М. Ю. Нейросаркоидоз // Анналы клинической и экспериментальной неврологии. — 2009. — № 1.
- Мозолевский Юрий Васильевич, Ахмеджанова Луиза Талгатовна, Суслова Е. Ю., Яхно Николай Николаевич. Изолированный нейросаркоидоз // Неврологический журнал. — 2013. — № 6.
- Суслина З. А., Кистенёв Б. А., Максимова М. Ю. Нейросаркоидоз. — 1-е изд.. — М.: Медпресс, 2009. — С. 208. — ISBN 5-98322-556-1.


