Болезнь Пика
Боле́знь Пи́ка — вариант лобно-височной деменции. Редкое хроническое, прогрессирующее заболевание центральной нервной системы, встречающееся обычно в возрасте 50—60 лет и характеризующееся деструкцией и атрофией коры головного мозга преимущественно в области лобных и височных долей[3]. Средний возраст начала заболевания — 54 года, средняя продолжительность до наступления смерти — 6 лет.
Что важно знать
Симптомы
Клинически сопровождается симптомами тотального пресенильного слабоумия с распадом речи в виде нарушений логического мышления и восприятия, эмоционального уплощения, афазии и амнезии с апатией и экстрапирамидными расстройствами. Как правило, наблюдается анозогнозия.
Поведение пассивное, аспонтанное. Может наблюдаться грубость, расторможённость, сквернословие, непристойное поведение. Характерны стоячие обороты речи, стереотипная деятельность. Майер-Гросс описал «симптом граммофона»: рассказы больных на какие-либо интересующие его темы, прервать которые не представляется возможным, а спустя короткое время повторение сказанного точно в тех же выражениях и оборотах речи[4].
По клиническим симптомам сходно с болезнью Альцгеймера, но в отличие от неё болезнь Пика протекает более злокачественно, быстро приводит к распаду личности[5]. При этом на первый план выходят именно расстройства личности и мышления, заслоняя нарушения памяти.
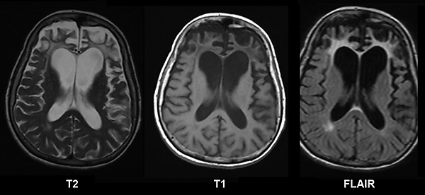
Патоморфология
При гистологическом исследовании ткани головного мозга в нейронах обнаруживаются необычные включения. Пирамидные нейроны набухшие, содержат цитоплазматические тельца Пика. Толщина серого вещества снижена, граница между серым и белым веществом размыта. Отмечается расширение желудочков (преимущественно передних рогов боковых желудочков) и субарахноидального пространства, углубление борозд полушарий.
Классификация
В клинической практике и в литературе встречаются синонимы болезни Пика — «синдром Пика», «атрофия Пика», «лобарный склероз», «ограниченная предстарческая атрофия мозга», «лобно-височная деменция». Названа по имени чешского психиатра и невропатолога Арнольда Пика, описавшего её симптомы в 1892 году. Нейроморфологические изменения были описаны в 1910—1911 годах Альцгеймером, который выделил клетки и тельца Пика и указал на сочетание их с локальной мозговой атрофией в области лобных и височных долей. Поначалу болезнь рассматривали как атипичный вариант сенильного слабоумия, но позднее она была выделена в отдельную нозологическую форму[6].
По Международной классификации болезней ВОЗ десятого пересмотра относится к рубрике «G31.0 Ограниченная атрофия головного мозга», а также описывается в рубрике «F02.0х* Деменция при болезни Пика». По международной классификации болезней ВОЗ МКБ-11 относится к рубрике «6D83 Лобно-височная деменция».
Диагностика
Диагноз ставится на основании клинической картины, инструментальных методов исследования, а также результатов шкал и тестов, используемых для диагностики когнитивных расстройств[7].
Дифференциальный диагноз проводится с такими заболеваниями как: деменция при болезни Альцгеймера, сосудистой деменцией, деменцией с тельцами Леви[7].
Для деменции при болезни Пика характерно, в первую очередь, нарушение поведения и эмоций, личностные изменения, ранняя утрата критики. В то время как нарушения памяти на события жизни возникают на поздних сроках болезни. Длительно сохраняется ориентировка в месте и времени. При инструментальных исследованиях головного мозга дегенеративный процесс локализуется преимущественно в передних отделах коры головного мозга[7].
Лечение
В настоящее время болезнь-модифицирующей терапии не разработано, в связи с этим существующее лечение не влияет на ход болезни и является симптоматическим. Для коррекции поведенческих расстройств используются нейролептики и антидепрессанты из группы СИОЗС[8].
Примечания
Литература
- Яхно Н. Н., Штульман Д. Р. Болезни нервной системы. В 2 томах. Руководство для врачей — 2 изд. М.: Медицина, 2007. ISBN 5-225-04029-2, ISBN 5-225-04030-6;
- Н. Н. Иванец, Ю. Г. Тюльпин, В. В. Чирко, М. А. Кинкулькина. Психиатрия и наркология: учебник. М.: ГЭОТАР-Медиа, 2006. — 832 с.: ил. ISBN 5-9704-0197-8;
- Pick A. (1892) Über die Beziehungen der senilen Hirnatrophie zur Aphasie. Prager medicinische Wochenschrift Prague 17:165—167.


