Helicobacter pylori
Helicobacter pylori (лат. спиралевидная бактерия, обитающая в привратнике желудка[1], традиционная транскрипция — Х(Г)еликоба́ктер пило́ри[1][2]) — спиралевидная грамотрицательная бактерия, которая инфицирует различные области желудка и двенадцатиперстной кишки. Многие случаи язв желудка и двенадцатиперстной кишки, гастритов, дуоденитов, рака желудка и, возможно, некоторые случаи лимфом желудка этиологически связаны с инфекцией Helicobacter pylori. Однако у большинства (до 90 %[3]) инфицированных носителей Helicobacter pylori не обнаруживается никаких симптомов заболеваний[4].
Спиральная форма бактерии, от которой произошло родовое название Helicobacter, как полагают, определяет способность этого микроорганизма проникать в слизистую оболочку желудка и двенадцатиперстной кишки и облегчает движение бактерии в слизистом геле, покрывающем слизистую желудка[5].
Общие сведения
| Helicobacter pylori | |
|---|---|
| Научная классификация | |
|
Домен: Тип: Класс: Порядок: Семейство: Род: Вид: Helicobacter pylori |
|
| Международное научное название | |
| Helicobacter pylori (Marshall et al. 1985) Goodwin et al. 1989 |
История открытия
В 1875 году немецкие учёные обнаружили спиралевидную бактерию в слизистой оболочке желудка человека. Бактерия не росла в культуре (на известных в то время искусственных питательных средах), и это случайное открытие было забыто[6].
В 1886 году профессор Валерий Яворский из Ягеллонского университета в Кракове, исследуя осадок из промывных вод желудка человека, обнаружил помимо бактерий, напоминавших по форме хворостины, также некоторое количество бактерий характерной спиралеобразной формы. Он назвал обнаруженную им бактерию Vibrio rugula. Он был первым, кто предположил возможную этиологическую роль этого микроорганизма в патогенезе заболеваний желудка. Его работа на эту тему была включена в польское «Руководство по заболеваниям желудка» и опубликована в 1899 году. Однако эта работа не имела большого влияния на остальной врачебный и научный мир, поскольку была написана на польском языке[7].
В 1893 году итальянский исследователь Джулио Бидзодзеро описал похожую спиралевидную бактерию, живущую в кислом содержимом желудка собак[8].
В 1974 году профессор И. А. Морозов из Москвы обнаружил спиралевидные бактерии в материале больных после ваготомии во внутриклеточных канальцах клеток желудка, а также у больных язвой, которым не делали ваготомию. Однако способ выращивания этих бактерий не был известен микробиологам, и обнаруженные бактерии были забыты ещё на десять лет[9][10].
Бактерия была вновь открыта в 1979 году австралийским патологом Робином Уорреном, который затем провёл дальнейшие исследования её вместе с Барри Маршаллом, начиная с 1981 года. Уоррену и Маршаллу удалось выделить и изолировать этот микроорганизм из проб слизистой оболочки желудка человека. Они также были первыми, кому удалось культивировать этот микроорганизм на искусственных питательных средах. В оригинальной публикации[11] Уоррен и Маршалл высказали предположение, что большинство язв желудка и гастритов у человека вызываются инфицированием микроорганизмом Helicobacter pylori, а не стрессом или острой пищей, как предполагалось ранее[12].
Медицинское и научное сообщество медленно и неохотно признавало патогенетическую роль этой бактерии в развитии язв желудка и двенадцатиперстной кишки и гастритов, вследствие распространённого в то время убеждения, что никакой микроорганизм не в состоянии выжить сколько-нибудь длительное время в кислом содержимом желудка. Признание научным сообществом этиологической роли этого микроба в развитии заболеваний желудка начало постепенно приходить лишь после того, как были проведены дополнительные исследования. Один из наиболее убедительных экспериментов в этой области был поставлен Барри Маршаллом: он сознательно выпил содержимое чашки Петри с культурой бактерии H. pylori, после чего у него развился гастрит[13]. Бактерия была обнаружена в слизистой его желудка, тем самым были выполнены три из четырёх постулатов Коха. Четвёртый постулат был выполнен, когда на второй эндоскопии, спустя 10 дней после преднамеренного заражения, были обнаружены признаки гастрита и присутствие H. pylori. Затем Маршалл сумел продемонстрировать, что он в состоянии излечить свой геликобактерный гастрит с помощью 14-дневного курса лечения солями висмута и метронидазолом[13]. Маршалл и Уоррен затем пошли дальше и сумели показать, что антибиотики эффективны в лечении многих, если не большинства, случаев гастрита и язв желудка и двенадцатиперстной кишки[13].
В 1994 году Национальный институт здравоохранения США опубликовал экспертное мнение, в котором утверждалось, что большинство рецидивирующих язв желудка и гастритов с повышенной кислотностью вызываются инфицированием микробом H. pylori, и рекомендовал включать антибиотики в терапевтические режимы при лечении язвенной болезни желудка, а также гастритов с повышенной кислотностью[14]. Постепенно накапливались данные также о том, что язвы двенадцатиперстной кишки и дуодениты также ассоциированы с инфицированием H. pylori[15][16].
В 2005 году первооткрыватели медицинского значения бактерии Робин Уоррен и Барри Маршалл были удостоены Нобелевской премии по медицине[17].
До того как стала понятна роль инфекции H. pylori в развитии язвенной болезни желудка и двенадцатиперстной кишки и гастритов, язвы и гастриты обычно лечили лекарствами, которые нейтрализуют кислоту (антациды) или снижают её продукцию в желудке (ингибиторы протонного насоса, блокаторы H2-гистаминовых рецепторов, М-холинолитики и др.). Хотя такое лечение в ряде случаев бывало эффективным, язвы и гастриты часто рецидивировали после прекращения лечения. Довольно часто используемым препаратом для лечения гастритов и язвенной болезни желудка и двенадцатиперстной кишки был субсалицилат висмута (пепто-бисмол). Он часто был эффективен, но вышел из употребления, поскольку его механизм действия оставался непонятным. Теперь стало ясно, что эффект пепто-бисмола был обусловлен тем, что соли висмута действуют на H. pylori как антибиотик. Сегодня большинство случаев язв желудка и двенадцатиперстной кишки, некоторых форм гастритов с доказанной лабораторными тестами геликобактерной этиологией, особенно в развитых странах, лечат антибиотиками в совокупности с ингибиторами протонной помпы, эффективными против H. pylori[18][19]. По последним уточнённым данным на долю язвенной болезни, связанной с инфекцией H. pylori, приходится 38 % язв желудка и 56 % язв двенадцатиперстной кишки во всем мире[20].
Хотя H. pylori остаётся наиболее медицински значимой бактерией, способной обитать в желудке человека, у других млекопитающих и некоторых птиц были найдены другие представители рода Helicobacter. Некоторые из них могут заражать и человека. Виды рода Helicobacter были также обнаружены в печени некоторых млекопитающих, причём они способны вызывать поражения и заболевания печени[21].
Систематика
Бактерия была вначале названа Campylobacter pyloridis в 1985 году, затем название было исправлено в соответствии с правилами латинской грамматики на Campylobacter pylori в 1987 году[22], и только в 1989 году, после того, как анализ последовательностей ДНК этой бактерии показал, что в действительности она не принадлежит к роду Campylobacter, её и близкие ей виды выделили в отдельный род, Helicobacter Goodwin et al. 1989[23]. Слово pylōri в названии является формой родительного падежа от «pylōrus» (привратник желудка, циркулярный жом, перекрывающий проход из желудка в двенадцатиперстную кишку), которое, в свою очередь, происходит от др.-греч. πυλωρός, означающего буквально «привратник».
Многие виды рода Helicobacter являются патогенными для человека и животных и обитают в ротовой полости, желудке, различных отделах кишечника человека и животных (патогенными для человека и животных кроме H. pylori являются также виды H. nemestrinae, H. acinonychis, H. felis, H. bizzozeronii и H. salomonis))[24]. Наибольший уровень сходства по результатам ДНК-ДНК гибридизации отмечен между видами H. pylori и H. mustelae[24].
Виды рода Helicobacter являются единственными известными на сегодняшний день микроорганизмами, способными длительно выживать в чрезвычайно кислом содержимом желудка и даже колонизировать его слизистую[25].
Разработано много методов определения как внутривидовой дифференциации штаммов H. pylori, так и для дифференцировки от других видов рода Helicobacter, такие как биотипические, и серологические методы, методы определения уреазной активности и токсинообразования, так и молекулярные — белковый электрофорез клеточного лизата, метод определения полиморфизма длин рестрикционных фрагментов (ПДРФ), полимеразная цепная реакция (ПЦР), секвенирование 16S рибосомальной РНК[24]. Показан высокий уровень внутривидового полиморфизма штаммов H. pylori по сравнению с крайне близким видом H. mustelae, проявляющим высокий уровень консерватизма. Полиморфизм заключается в однонуклеотидных заменах, а также крупных внутригеномных перестройках, и высоких частотах трансформации[24].
Типовые штаммы H. pylori: ATCC 43504, DSM 4867, JCM 7653, LMG 7539, NCTC 11637[24].
Строение
Helicobacter pylori — спиралевидная грамотрицательная бактерия, около 3 мкм в длину, диаметром около 0,5 мкм. Она обладает 4-6 жгутиками и способностью чрезвычайно быстро двигаться даже в густой слизи или агаре. Она микроаэрофильна, то есть требует для своего развития наличия кислорода, но в значительно меньших концентрациях, чем содержится в атмосфере.
Бактерия содержит гидрогеназу, которая может использоваться для получения энергии путём окисления молекулярного водорода, продуцируемого другими кишечными бактериями[26]. Бактерия также вырабатывает оксидазу, каталазу и уреазу.
Helicobacter pylori обладает способностью формировать биоплёнки, способствующие невосприимчивости бактерии к антибиотикотерапии и защищающие клетки бактерий от иммунного ответа хозяина[27]. Предполагают, что это увеличивает её выживаемость в кислой и агрессивной среде желудка.
В неблагоприятных условиях, а также в «зрелых» или старых культурах Helicobacter pylori обладает способностью превращаться из спиралевидной в круглую или шарообразную кокковидную форму. Это благоприятствует её выживанию и может являться важным фактором в эпидемиологии и распространении бактерии[28]. Кокковидная форма бактерии не поддаётся культивированию на искусственных питательных средах (хотя может спонтанно возникать по мере «старения» культур), но была обнаружена в водных источниках в США и других странах. Кокковидная форма бактерии также обладает способностью к адгезии к клеткам эпителия желудка in vitro. Кокковидные формы H. pylori могут обнаруживаться после попыток уничтожения, и имеются данные о том, что они более устойчивы к антибиотикам и синтезируют больше веществ, способствующих вирулентности и канцерогенезу, чем спиралевидные[29].
Кокковидные клетки отличаются деталями строения клеточной стенки (преобладанием N-ацетил-D-глюкозаминил-β(1, 4)-N-ацетилмурамил-L-Ала-D-Глю мотива в пептидогликане клеточной стенки (GM-дипептида)), изменение строения клеточной стенки приводит к неузнаванию бактерии иммунной системой хозяина (бактериальная мимикрия)[30].
Геном
Известно несколько штаммов Helicobacter pylori, и геном трёх из них полностью секвенирован[31][32][33][34].
Геном штамма «26695» представлен кольцевой двуцепочечной молекулой ДНК размером 1667867 пар оснований, и содержит 1630 генов, из которых 1576 кодируют белки, доля Г+Ц пар составляет 38 %. Геном штамма «J99» представлен кольцевой двуцепочечной молекулой ДНК размером 1643831 пар оснований, и содержит 1535 генов, из которых 1489 кодируют белки, доля Г+Ц пар составляет 39 %. Два изученных штамма демонстрируют значительные генетические различия, до 6 % нуклеотидов у них различны.
Изучение генома H. pylori ведётся в основном с целью улучшить наше понимание патогенеза гастритов и язвенной болезни желудка, причин способности этого микроорганизма вызывать заболевание. На данный момент в базе данных генома Helicobacter pylori 62 гена отнесены к категории «генов патогенных» (то есть их наличие у бактерии коррелирует с её патогенностью). Оба изученных штамма имеют общий «остров патогенности» (общую последовательность генов, имеющих отношение к вирулентности и патогенности H. pylori) длиной около 40 Кб, так называемый Cag. Этот участок содержит более 40 генов. Он обычно отсутствует у штаммов, которые выделены от людей, являющихся бессимптомными носителями H. pylori.
Ген cagA кодирует один из важнейших белков вирулентности H. pylori. Штаммы, имеющие ген cagA ассоциированны со способностью вызывать тяжёлые формы язвы желудка. Ген cagA кодирует белок длиной 1186 аминокислотных остатка. Белок cagA транспортируется внутрь клеток, где он нарушает нормальное функционирование цитоскелета. Остров патогенности Cag состоит из примерно 30 генов, кодирующих сложную систему секреции типа IV[35]. После адгезии H.pylori к клеткам эпителия желудка, cagA впрыскивается в клетку посредством системы секреции типа IV. Белок cagA фосфорилируется тирозиновыми протеинкиназами клетки и взаимодействует с фосфатазой Src, изменяя морфологию клеток[36]. Вирулентные штаммы H. pylori способны активировать рецептор эпидермального фактора роста (epidermal growth factor receptor, EGFR), мембранный белок с тирозинкиназным доменом. Активация EGFR H. pylori ассоциирована с изменённой сигнальной трансдукцией и изменением профиля экспрессии генов клетки хозяина, что может влиять на течение патологического процесса[37].
Показана синергетичность действия генов babA2, cagA, и s1 vacA при патологическом процессе, вовлечённом в метаплазии кишечника[38]. Продукты генов cagA и babA2 идентифицируются иммуногистохимически, гистологически и при помощи in situ гибридизации при метаплазии кишечника и злокачественных новообразованиях желудка, ассоциированных с геликобактерной инфекцией и могут служить возможными диагностическими маркерами[39].
Также идентифицированы некоторые гены, ассоциированные со способностью к колонизации эпителия желудка, такие как flg, flh, tlp (отвечают за наличие жгутиков и хемотаксис), ureA, nixA, amiE (гены, отвечающие за синтез уреазы и продукцию аммиака), fur, pfr, fecA, frpB (гены, отвечающие за метаболизм железа), sod, hptG (ответ на стресс), и algA, rfaJ, lpxB (гены, отвечающие за биосинтез липополисахарида и экзополисахарида)[40]. Показана роль в реакциях Helicobacter pylori на внешние раздражители продукта гена tlpD, предположительно кодирующего сенсорный белок[41].
Факторы вирулентности
Способность H. pylori колонизировать слизистую желудка и вызывать гастрит либо язву желудка зависит не только от состояния иммунитета организма хозяина, но и от индивидуальных особенностей конкретного штамма бактерии[42].
Одним из важных факторов вирулентности геликобактера является наличие у него жгутиков, благодаря которым обеспечивается быстрое движение микроорганизма в слое густой слизи, защищающей слизистую желудка от воздействия кислоты, её хемотаксис в места скопления других бактерий этого вида и быстрая колонизация слизистой.
Липополисахариды и белки наружной оболочки бактерии обладают свойством адгезии к наружной оболочке мембран клеток слизистой желудка. Кроме того, липополисахариды наружной оболочки H. pylori вызывают иммунный ответ организма хозяина и развитие воспаления слизистой.
Секретируемые бактерией во внешнюю среду литические ферменты — муциназа, протеаза, липаза — вызывают деполимеризацию и растворение защитной слизи (состоящей в основном из муцина) и повреждение слизистой желудка.
Очень важную роль в вирулентности бактерии и в её способности выживать в кислом содержимом желудка играет секреция бактерией уреазы — фермента, расщепляющего мочевину с образованием аммиака. Аммиак нейтрализует соляную кислоту желудка и обеспечивает бактерии локальное поддержание комфортного для неё pH (около 6-7). Одновременно с этим аммиак вызывает химическое раздражение и воспаление, а впоследствии и гибель клеток слизистой желудка.
Продукция геликобактером различных экзотоксинов, в частности, вакуолизирующего экзотоксина (продукта гена vacA), также вызывает вакуолизацию, повреждение и гибель клеток слизистой желудка.
Специальная «инжекционная система», имеющаяся у H. pylori, предназначена для непосредственного впрыскивания в клетки слизистой оболочки желудка различных эффекторных белков (в частности, продуктов гена cagA), вызывающих воспаление, повышение продукции интерлейкина-8[43], угнетение апоптоза и избыточный рост определённых типов клеток. Полагают, что именно этим обусловлена наблюдающаяся при инфицировании геликобактером гиперплазия париетальных (кислотообразующих) клеток желудка, гиперсекреция соляной кислоты и пепсина, и в конечном итоге повышение вероятности рака желудка[44].
Штаммы H. pylori, выделенные от больных с язвой желудка или двенадцатиперстной кишки, как правило, проявляют большую биохимическую агрессивность, чем штаммы, выделенные от больных с гастритом, а штаммы, выделенные от больных с гастритом, обычно более агрессивны и вирулентны, чем штаммы, выделенные от бессимптомных носителей[42]. В частности, штаммы, выделенные от больных с язвенной болезнью, чаще бывают cagA-положительными (то есть продуцирующими cagA эффекторные белки). Штаммы, выделенные от больных с гастритом, чаще продуцируют экзотоксин vacA, чем штаммы, выделенные от бессимптомных носителей[45][46].
Патогенетические механизмы
На начальном этапе после попадания в желудок H. pylori, быстро двигаясь при помощи жгутиков, преодолевает защитный слой слизи и колонизирует слизистую оболочку желудка. Закрепившись на поверхности слизистой, бактерия начинает вырабатывать уреазу, благодаря чему в слизистой оболочке и слое защитной слизи поблизости от растущей колонии растёт концентрация аммиака и повышается pH. По механизму отрицательной обратной связи это вызывает повышение секреции гастрина клетками слизистой желудка и компенсаторное повышение секреции соляной кислоты и пепсина, с одновременным снижением секреции бикарбонатов.
Муциназа, протеаза и липаза, вырабатываемые бактерией, вызывают деполимеризацию и растворение защитной слизи желудка, в результате чего соляная кислота и пепсин получают непосредственный доступ к оголённой слизистой желудка и начинают её разъедать, вызывая химический ожог, воспаление и изъязвление слизистой оболочки.
Эндотоксин VacA, вырабатываемый бактерией, вызывают вакуолизацию и гибель клеток эпителия желудка[47]. Продукты гена cagA вызывают дегенерацию клеток эпителия желудка, вызывая изменения фенотипа клеток (клетки становятся удлинёнными, приобретая так называемый «колибри фенотип»[48]). Привлечённые воспалением (в частности, секрецией интерлейкина-8 клетками слизистой желудка) лейкоциты вырабатывают различные медиаторы воспаления, что приводит к прогрессированию воспаления и изъязвления слизистой, бактерия также вызывает окислительный стресс и запускает механизм программируемой клеточной смерти клеток эпителия желудка[49].
Диагностика инфекции
Диагностика геликобактерной инфекции обычно производится путём опроса больного на наличие диспептических жалоб и симптомов и затем выполнения тестов, подтверждающих или опровергающих наличие инфекции.
Неинвазивные (не требующие эндоскопии) тесты на наличие геликобактерной инфекции включают определение титра антител в крови к антигенам H. pylori, определение наличия антигенов H. pylori в кале, а также уреазный дыхательный тест, состоящий в том, что пациент выпивает раствор меченной углеродом 14C- или 13C мочевины, которую бактерия расщепляет с образованием, соответственно, 14C- или 13C-диоксида углерода, которую затем обнаруживают в выдыхаемом воздухе при помощи масс-спектрометрии или диодной лазерной спектроскопии.
Существуют также уреазные дыхательные тесты, основанные на определении концентрации аммиака в выдыхаемом воздухе[50]. Данные методы предполагают приём пациентом мочевины нормального изотопного состава и последующее измерение концентрации аммиака с помощью газоанализатора. К достоинствам метода можно отнести невысокую стоимость обследования, скорость получения результатов, высокую чувствительность (96 %), значительно меньшую стоимость оборудования по сравнению с масс-спектрографами.
Инвазивным методом является взятие биопсии слизистой оболочки желудка.
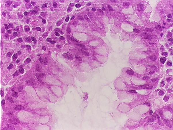
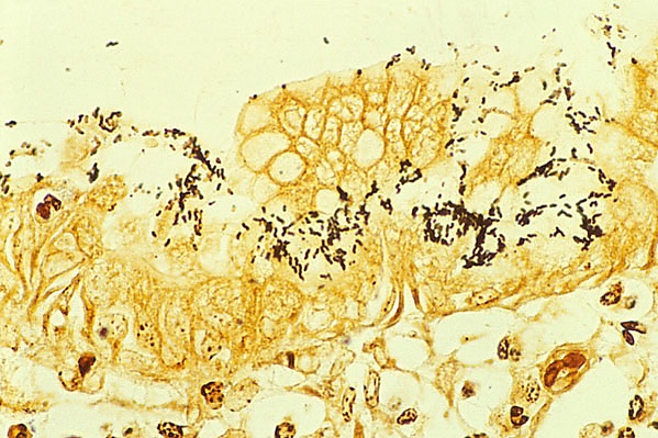
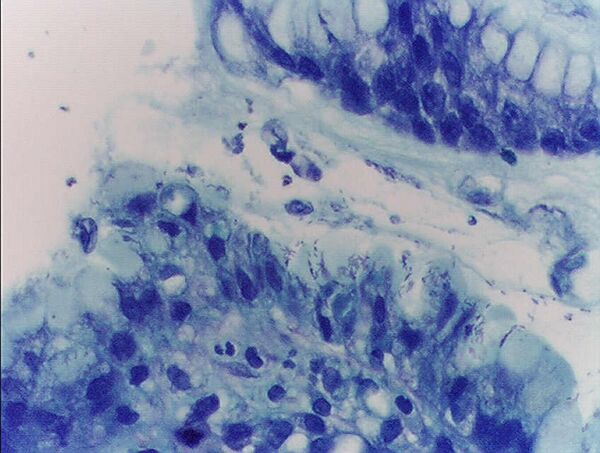
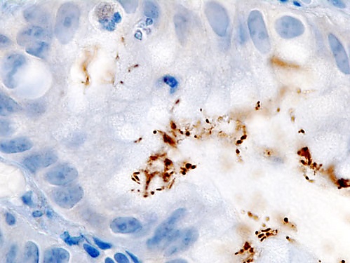
Первым методом, который стали использовать для диагностики геликобактерной инфекции, является гистологический метод. Материалом исследования являются клетки тканей, полученных с помощью биопсии, производимой во время эндоскопического обследования желудка и двенадцатиперстной кишки. Специфичность гистологического метода может достигать 100 %, а чувствительность — 91-93 %, ввиду того, что бактерии неравномерно распределены по слизистой оболочке желудка: взятие производится из мест с максимально выраженной гиперемией и отёком, при этом взятие из дна язв и эрозий, а также из их краёв, является ошибкой, поскольку в них нет эпителиальных клеток, необходимых для колонизации бактерий. Кроме того, приём антибиотиков и ингибиторов протонной помпы может трансформировать бактерии из спиралевидной формы в кокковую, которую невозможно выявить с помощью обычной микроскопии[51].
Анализ кала на ДНК H. pylori — Выявление H. pylori, в ходе которого с помощью метода полимеразной цепной реакции в реальном времени (РТ-ПЦР) определяется генетический материал (ДНК) микроорганизма в образце кала. Тест очень чувствителен к качеству исследуемого материала, что может приводить к ложноотрицательным результатам, из-за того, что исследуемый кал может содержать вещества, подавляющие ПЦР: термолабильные белки, гликолипиды, ДНК других бактерий, сложные полисахариды (остатки растительной пищи), внеклеточные полисахариды других бактерий, кровь, желчь, избыток неорганических солей, и т. п.[52][53][54][55][56] Чувствительность и специфичность этого метода исследования примерно такая же, как и у других методов. Недостаток этого теста — его неудобно использовать для контроля проведённого лечения, так как следы ДНК остаются в кале ещё минимум 12 недель после успешно проведённой антихеликобактерной терапии. Следы ДНК выявляются, в том числе, благодаря наличию кокковых форм бактерии, которые, со временем, начинают снижаться и полностью исчезают на 8-12 неделе[51].
Анализа кала на антиген H. pylori (HpSA-test) — Одностадийный иммунохроматографический метод. Может давать ложноотрицательные результаты, вызванные низкой колонизацией бактерий в желудке, что приводит к низкой концентрации антигенов H. pylori в фекалиях и неспособности реагировать в тесте. Причинами ложноотрицательных результатов также могут являться неравномерное распределение антигена в каловых массах, разрушение антигена при замедлении эвакуации каловых масс (запоры), желудочно-кишечное кровотечение[51]. Диагностическая точность HpSA-теста, особенно чувствительность, снижается при кровотечении из верхних отделов желудочно-кишечного тракта, приёме ингибиторов протонной помпы (антацидов) в течение 2-х недель, антибактериальных препаратов в течение последнего месяца, наличия атрофии и метаплазии желудочного эпителия, а отрицательный результат теста должен подтверждаться дальнейшими диагностическими методами[51].
Анализ крови на антитела (IgG, IgA) — Выявление иммуноглобулинов класса G и A к H. pylori в сыворотке крови. Может давать ложноотрицательные результаты у пациентов со слабым иммунным ответом, ранней стадией инфицирования. Диагностическая точность варьируется в зависимости от продолжительности воздействия бактерии, перекрёстной антигенности с другими антигенно-родственными бактериями, степени гастрита и обсеменённости. Кроме того, антитела сохраняются долгое время после успешного лечения, и использовать этот метод для проверки успешности лечения затруднительно. Однако, поскольку инфекция H. Pylori является хронической и её спонтанный клиренс (полное и окончательное самоизлечение лишь силами организма) невозможен, то положительные тесты на антитела у нелеченых пациентов указывают на наличие текущей инфекции[57]. Между тем, после успешного лечения, титр антител, со временем, снижается. Достоинством этого метода является то, что анализ крови на антитела можно делать во время приёма антибиотиков[51].
13С-уреазный дыхательный тест- лабораторный метод диагностики хеликобактериоза (инфекционного заболевания, вызванного бактерией Helicobacter pylori), основанный на анализе проб выдыхаемого пациентом воздуха. Этот неинвазивный высокочувствительный и высокоспецифичный тест рекомендуется использовать в целях диагностики. Helicobacter pylori, а также подтверждения её эрадикации (уничтожения) по истечении четырёх недель после окончания терапии.
Распространение, протекание инфекции
Ни один из методов диагностики инфекции не является полностью достоверным и защищённым от диагностических ошибок и неудач. В частности, результативность биопсии в диагностике хеликобактерной инфекции зависит от места взятия биоптата, поэтому при эндоскопическом исследовании обязательно взятие биоптатов из разных мест слизистой желудка. Тесты на наличие антител к антигенам H. pylori имеют чувствительность всего лишь от 76 % до 84 %.
Заражение H. pylori может сопровождаться симптомами или протекать бессимптомно (без каких-либо жалоб со стороны инфицированного). Предполагается, что до 70 % случаев инфекции протекают бессимптомно и что около 2/3 населения Земли инфицированы хеликобактером, что делает эту инфекцию самой распространённой в мире. Истинная частота встречаемости бессимптомного носительства хеликобактера варьирует от страны к стране. В развитых странах (Западная Европа, США, Австралия) эта частота составляет примерно 25 %; она значительно выше в странах так называемого «третьего мира», а также в странах Восточной Европы и в особенности в странах бывшего Советского Союза, где не редкостью является обнаружение хеликобактерной инфекции у детей и подростков.
Разница в частоте встречаемости хеликобактерной инфекции в развитых странах Запада и в странах «третьего мира» приписывается более строгому соблюдению гигиенических стандартов и широкому использованию антибиотиков. Однако со временем стала проявляться проблема антибиотикоустойчивости H. pylori[58]. В настоящее время многие штаммы в Европе, США и даже в развивающихся странах уже устойчивы к метронидазолу.
Хеликобактер был выделен из кала, слюны и зубного налёта инфицированных пациентов, что объясняет возможные пути передачи инфекции — фекально-оральный или орально-оральный (например, при поцелуях, пользовании общей посудой, общими столовыми приборами, общей зубной щёткой. Иногда возможно заражение через инфицированные эндоскопы при проведении диагностической гастроскопии.
Считается, что в отсутствие лечения H. pylori, однажды колонизовав слизистую желудка, может существовать в течение всей жизни человека, несмотря на иммунный ответ хозяина[59][60]. Однако у пожилых людей, а также у больных с давно существующим гастритом, хеликобактерная инфекция, вероятно, может самостоятельно исчезать, поскольку с возрастом или с давностью заболевания гастритом слизистая желудка становится всё более атрофичной, истончённой и менее благоприятной для обитания этого микроба. Вместе с тем, атрофический гастрит у пожилых или гастрит, перешедший в стадию атрофического гастрита после многих лет болезни, поддаётся лечению гораздо труднее, чем хеликобактерные гастриты.
Процент острых хеликобактерных инфекций, которые переходят в хроническую персистирующую форму, точно неизвестен, однако в нескольких исследованиях, в которых изучалось естественное течение болезни без лечения в человеческих популяциях, сообщалось о возможности спонтанного самоизлечения (спонтанной элиминации микроба-возбудителя)[61][62].
Лечение Helicobacter pylori-ассоциированных заболеваний
У пациентов с язвой желудка, язвой двенадцатиперстной кишки, атрофическим гастритом, MALT-омой, состоянием после резекции желудка, близким родством с больными, страдающими раком желудка с доказанной геликобактерной этиологией обязательным является эрадикация Helicobacter pylori, то есть лечебный режим, направленный на полное уничтожение этого микроба в желудке[63]. В то же время, уничтожение доказанной инфекции H. pylori в отсутствие перечисленных выше заболеваний (состояний) не всегда целесообразна, так как возможный вред от приёма антибиотиков может перевесить возможную пользу от лечения. Некоторые источники к числу обязательных для эрадикации H. pylori заболеваний (при наличии инфекции H. pylori) относят только язвенную болезнь[3].
Австралийский гастроэнтеролог Томас Бороди в 1987 году ввёл первый известный режим «трёхкомпонентной терапии» (англ. triple therapy)[64].
Возрастающая резистентность H. pylori к «стандартным» антибиотикам, необходимость уменьшить побочные эффекты от приёма антибиотиков, а также понизить стоимость лечения стимулировали создание новых схем эрадикации. За последние десятилетия были разработаны различные варианты эрадикационной терапии, направленные на использование других антимикробных средств, а также более современных ингибиторов протонного насоса[65][66].
Отмечены случаи непродуктивности антибиотикотерапии хеликобактерной инфекции, связанные как с антибиотикорезистентностью, так и с наличием зон в желудочно-кишечном тракте, в которых бактерии защищены от действия антибиотиков[67]. Отмечено появление полирезистентных к антибиотикам изолятов H. pylori[68], в том числе и кларитромицин-резистентных штаммов[69]. Также отмечены случаи появления хинолон-резистентных штаммов H. pylori[70].
Также ведутся исследования по поиску и синтезу более эффективных и менее токсичных препаратов, направленных на эрадикацию H. pylori, показана эффективность in vitro препарата TG44[71], препарат NE-2001 в опытах in vitro проявлял высокую селективность по отношению к H. pylori[72]. Показана эффективность пероральной вакцинации клеточным лизатом H. pylori на мышиной модели[73].
Для выработки оптимальных подходов к диагностике и лечению Helicobacter pylori-ассоциированных заболеваний в 1987 году была создана Европейская группа по изучению Helicobacter pylori (англ. European Helicobacter Study Group) (EHSG), которая периодически публикует рекомендации, называемые Маастрихтскими консенсусами[74] или «Маастрихтами» (от названия голландского города Маастрихт, в котором была проведена первая согласительная конференция EHSG). Каждый следующий «Маастрихт» является обновлением предыдущего. Были опубликованы следующие «Маастрихты»[18]:
- «Маастрихт-I» — в 1997 году (согласительная конференция состоялась в 1996 году в Маастрихте);
- «Маастрихт-II» — в 2000 году;
- «Маастрихт-III» — в 2005 году (конференция «Маастрихт-III» состоялась в 2005 году во Флоренции);
- «Маастрихт-IV» — в 2012 году (конференция «Маастрихт-IV» состоялась в 2010 году во Флоренции)[4][75];
- «Маастрихт-V» — в 2016 году (конференция «Маастрихт-V» состоялась в 2015 году во Флоренции).
Однако некоторые гастроэнтерологи считают, что EHSG «монополизировала право определять стратегию и тактику анти-НР-терапии» и допускает при этом ряд просчётов, результатом которых является распространение резистентных к антимикробным средствам штаммов бактерий[74].
Критика теории решающей роли Helicobacter pylori в возникновении и развитии язвенной болезни желудка и двенадцатиперстной кишки
Скептически настроенные в отношении инфекционной теории язвы желудка и двенадцатиперстной кишки специалисты приводят следующие аргументы[76]:
- Ни сам Барри Маршалл, ни его последователи после самозаражения H. pylori ни разу не заболели язвенной болезнью, а только гастритом.
- Как правило, язвенные дефекты встречаются в виде одиночных образований, хотя инфекция H. pylori может затрагивать значительную часть органа.
- Инфекционная теория не объясняет цикличность заболевания: «рецидив-ремиссия-рецидив».
- Процент заражённых H. pylori при тяжёлых формах язвенной болезни значительно меньше, чем при неосложнённых. Некоторые исследователи называют такие цифры: если при неосложнённой язвенной болезни двенадцатиперстной кишки инфицированные H. pylori составляют около 95 %, инфицированные H. pylori при неосложнённой язве желудка — 75—80 %, то при осложнённой рубцово-язвенным пилородуоденальным суб- и декомпенсированным стенозом язве, H. pylori имеются только у 50 % больных, осложнённых кровотечением — у 40 %, перфорацией — у 40—70 %.
- Инфекционная теория не объясняет сезонность обострений язвенной болезни.
- Имеются исследования, доказывающие на большом статистическом материале, что полная эрадикация H. pylori почти в два раза увеличивает вероятность развития рефлюкс-эзофагита, пищевода Барретта и кардиоэзофагеальной аденокарциномы, а также то, что наличие H. pylori в теле желудка снижает риск развития онкологических заболеваний кардиального отдела желудка[77][78][79].
- Инфекционная теория не объясняет и не учитывает известные факты о нарушении секреции мелатонина у язвенных больных.
- Эрадикация H.pylori не приводит к снижению смертности, а по некоторым данным даже связана с её увеличением[80].
Отмечается, что в связи с большим числом носителей H. pylori (в России — до 75 % населения) после эрадикации отсутствуют какие-либо гарантии отсутствия реинфекции, более того, она весьма вероятна. Критики инфекционной теории обычно подходят к язвенной болезни, как к системному гастроэнтерологическому заболеванию, в развитии которого играют важнейшую роль, в том числе, психосоматические и психосоциальные факторы[76].
В последние годы было установлено, что кроме H. pylori в желудке многих здоровых людей обитают другие микроорганизмы, в частности лактобактерии L. gastricus, L. antri, L. kalixensis, L. ultunensis, стрептококки, стафилококки, грибы Candida, бактероиды, коринебактерии и другие[74].
Некоторые исследователи акцентируют внимание на следующем[81]:
- многолетнее применение антихеликобактерной терапии H. pylori-ассоциированных заболеваний не привело к их снижению, а стало одной из причин развития дисбактериоза;
- рецидивы язвенной болезни и обострение хронического гастрита сопровождаются дисбиозом гастродуоденальной зоны, усиливающим язвообразование и воспалительные процессы в слизистой оболочке. При этом H. pylori не имеют самостоятельного значения в развитии этих заболеваний.
Высказывается гипотеза, что до начала эры антибиотиков H. pylori сосуществовали с человеком, не причиняя ему никакого вреда и только после начала их тотального уничтожения антибактериальными препаратами часть из них в результате мутаций приобрела резистентность к антибиотикам, а часть — «островки патогенности» содержащие гены цитотоксичности (CagA, VacA, IceA и другие), и стала угрожать здоровью человека[74].
После успешного лечения H. pylori через 3 года вновь заражаются этой бактерией около 32 % пациентов, через 5 лет — 82—87 %, а через 7 лет — примерно 90 %[74].
Примечания
Ссылки
- Mobley, Harry L. T.; Mendz, George L.; Hazell, Stuart L. Helicobacter pylori: Physiology and Genetics. — ASM Press, 2001. — С. 626. — ISBN 1-55581-213-9.
- Helicobacter pylori (англ.). MicrobeWiki. — The student-edited microbiology resource. Дата обращения: 9 марта 2009. Архивировано 26 августа 2011 года.
