Пейеровы бляшки
Пейеровы бляшки (или агрегированные лимфоидные узелки) (лат. noduli lymphoidei aggregati) — это скопления (агрегаты) солитарных лимфатических фолликулов в дистальном отделе тонкой и проксимальном отделе толстой кишки. Составляющие пейеровы бляшки солитарные фолликулы имеют вид беловатых возвышений плоской, линзо- или шарообразной, реже — заостренной формы. Форма фолликулов определяет положение слизистой оболочки в этой области стенки кишки (может возвышаться над фолликулом или образовать углубление).[1] Пейеровы бляшки также называют тканевым барьером между патогенами и внутренней средой организма.[2] Они названы в честь швейцарского анатома XVII века Иоганна Конрада Пейера
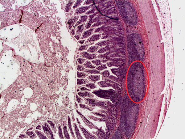
Структура
Основная масса пейеровых бляшек локализуется в подвздошной кишке, особенно в самом нижнем его отделе по всей окружности стенки кишки. Но чаще они находятся на стороне, противоположной месту приклепления брыжейки. Количество пейеровых бляшек у большинства людей равняется 20 — 30. С возрастом их число увеличивается. Каждая пейерова бляшка состоит в среднем из 10 — 25 солитарных фолликулов (возможны комбинации от 20 до 400 и более). В верхнем отделе кишки пейеровы бляшки имеют круглую форму, в конце — овальную или эллипсоидную. Из подслизистого слоя они немного выступают над поверхностью слизистой. При осмотре слизистой кишки пейеровы бляшки имеют вид овальных пластинок длиной 2 — 10 см, шириной — 0,12 — 1,2 см. Продольный диаметр пейеровых бляшек совпадает с продольной осью кишки. Величина бляшки с возрастом увеличивается. На слизистой, покрывающей верхушки лимфатических фолликулов пейеровых бляшек, ворсинки сидят очень редко или совсем отсутствуют. Нередко слизистая над ними даже слегка вдавливается, в результате чего образуются маленькие ямки.
В тощей кишке пейеровых бляшек значительно меньше и встречаются они, в основном, в конечном ее отделе. На остальном протяжении кишки располагаются одиночные фолликулы, общее число которых у грудных детей составляет 3552, у взрослых — 5080. К периферии тощей кишки количество солитарных фолликулов увеличивается.
Различные патологические процессы в тонкой кишке (энтериты, туберкулёз, брюшной тиф) сопровождаются набуханием и увеличением размеров пейеровых бляшек. При брюшном тифе они воспаляются, некротизируются и на их месте появляются язвы. Последние могут осложняться кровотечением или перфорацией с развитием перитонита.
Каждая пейерова бляшка кровоснабжается не менее чем двумя прямыми артериями, которые пронизывают мышечный слой кишки. У основания бляшек они дихотомически разветвляются и образуют сосудистую сеть наподобие корзиночки, от которой кровеносные капилляры лучеобразно проникают в вещество лимфатического узла. Венозные веточки от солитарныxлимфатических фолликулов и пейеровых бляшек впадают в подслизистое венозное сплетение. Оттекающая от пейеровых бляшек лимфа поступает в систему грудного протока через лимфатические сосуды, выходящие из ворсин кишечника.
Пейеровы бляшки участвуют в важнейшем свойстве кишечника — феномене рециркуляции лимфоцитов. Сенсибилизированные антигенами (как пищевыми, так и инфекционными) лимфоциты пейеровых бляшек мигрируют в брыжеечные лимфатические узлы, а оттуда по лимфатическим сосудам через грудной проток и систему кровообращения направляются к собственному слою слизистой оболочки кишечника, главным образом в качестве клеток, секретирующих IgA. Этот механизм обеспечивает формирование клонов лимфоцитов и образование специфических антител в участках слизистой оболочки, отдаленных от очага первичной сенсибилизации. В процессе сенсибилизации плазматических клеток с последующим клонированием лимфоцитов, вырабатывающих антитела с определенными свойствами (аналогичными тем, которые выступили матрицей), участвуют не только нативные молекулы иммуноглобулинов.[3]
Патологии
Несмотря на то, что факт роста пейеровых бляшек является важным для иммунного ответа, чрезмерный рост лимфоидной ткани в пейеровых бляшках является патологическим, поскольку гипертрофия пейеровых бляшек тесно связана с идиопатической инвагинацией.
Наличие слишком большого количества пейеровых бляшек или их более крупного размера, обычно связано с повышенным риском прионных заболеваний.
Сальмонеллы и вирус полиомиелита также поражают данный отдел кишечника.


