Окклюзии артерий сетчатки
Окклю́зии арте́рий сетча́тки (тромбоз артерий сетчатки, тромбоэмболии артерий сетчатки, острое нарушение кровообращения в артериях сетчатки, ретинальные артериальные окклюзии) — полное или частичное перекрытие просвета центральной артерии сетчатки (ЦАС), ветви ЦАС или цилиоретинальной артерии. В результате окклюзии прекращается кровоснабжение, наступает гипоксия и ишемия сетчатки. Причины: сердечно-сосудистые заболевания, артерииты и склонность к тромбообразованию. Большинство пациентов с окклюзией ЦАС теряют зрение, у 1 % пациентов развивается неоваскулярная глаукома, у 1-2 % окклюзия артерий возникает на втором глазу. У 80 % пациентов с окклюзией ветви ЦАС острота зрения может восстановиться до 0,5 или лучше[1][2][3].
Что важно знать
| Окклюзии артерий сетчатки | |
|---|---|
| МКБ-11 | 9B74.0 |
| МКБ-10 | H34.0-H34.2 |
Классификация
- Преходящая ретинальная артериальная окклюзия
- Центральная ретинальная артериальная окклюзия
- Другие ретинальные артериальные окклюзии
- Пятно Холленхорста
- Ретинальные:
- окклюзия ветви ЦАС
- частичная окклюзия
- микроэмболия[4]
Этиология
- Сердечно-сосудистые заболевания: атеросклероз, артериальная гипертензия, эндокардит, пороки сердца, аритмии.
- Артерииты: сифилис, лептоспироз, болезнь Хортона, болезнь Такаясу, синдром Чарга — Стросса, узелковый периартериит.
- Гиперкоагуляция крови: полицитемия, антифосфолипидный синдром, тромбофилии[3].
Факторы риска: курение, высокий индекс массы тела, отёк или друзы диска зрительного нерва, офтальмогипертензия, ретробульбарные инъекции, объёмные образования орбиты, внутривенное введение контрастного вещества, приём оральных контрацептивов или мочегонных, падение артериального давления в результате кровопотери, инфаркта миокарда, вегетативного криза и т. п.[1][5]
Патогенез
Спазм сосудистой стенки, эмболия, тромбоз и артериит — самые частые механизмы. Обычно окклюзия развивается в результате эмболии сосуда холестериновыми, фибринозными или кальцифицированными эмболами. Эмбол полностью или частично перекрывает просвет артерии, кровоток останавливается или резко замедляется. Развивается гипоксия тканей, которые кровоснабжает поражённая артерия. По разным мнениям, необратимые изменения в сетчатке наступают через 12-90 минут[1][3][6].
Эпидемиология
Распространённость 1-8,5 случая на 100 000 населения, среди людей старше 80 лет — 10 случаев на 100 000 населения[2]. Распространённость среди мужчин в 2 раза выше, чем среди женщин. В 57 % случаев возникает окклюзия центральной артерии сетчатки, в 38 % — её ветвей, в 5 % — цилиоретинальной артерии. В 91 % случаев окклюзии развиваются как осложение сердечно-сосудистых заболеваний[1].
Диагностика
Пациенты жалуются на внезапную потерю зрения или выпадение участков поля зрения. За несколько дней до потери зрения 12 % пациентов отмечают преходящую слепоту, фотопсии, боли в орбите. Реакция зрачка на свет отсутствует или вялая при полной окклюзии ЦАС, относительный афферентный зрачковый дефект — при частичной[1].
- Клинический анализ крови. Для диагностики важны количество лейкоцитов, тромбоцитов, скорость оседания эритроцитов.
- Коагулограмма. Выполняют для оценки свёртываемости крови.
- Биохимический анализ крови. Определяют концентрацию глюкозы, гомоцистеина, ревматоидного фактора, C-реактивного белка, холестерина[6].
- Проверка остроты зрения. Зрение снижается до слепоты или счёта пальцев в 74-90 % случаев окклюзий ЦАС[2]. Однако у пациентов, имеющих цилиоретинальную артерию, центральное зрение может сохраниться на уровне 0,8-1,0.
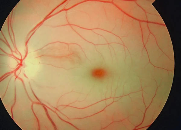
- Офтальмоскопия. В ходе осмотра глазного дна выявляют симптом «вишнёвой косточки», патогномоничный для окклюзии ЦАС, — тонкий центр сетчатки выглядит красным из-за близости хориоидеи, остальная сетчатка — белая и отёчная, сосуды спазмированы, кровоток отсутствует. В первые дни в сосудах видны эмболы. У больных окклюзией ветвей ЦАС сетчатка повреждается только в участках, лишённых кровоснабжения. У 15-30 % людей есть цилоретинальная артерия, которая питает область между макулярной ямкой и диском зрительного нерва. У таких пациентов эта область окажется не затронутой даже при окклюзии ЦАС. Если же происходит окклюзия цилиоретинальной артерии, то изменённой оказывается только кровоснабжаемая ею область. Через 4-6 недель отёк сетчатки спадает, сосуды остаются суженными, развивается атрофия диска зрительного нерва.
- Компьютерная периметрия. По результатам компьютерной периметрии обнаруживается выпадение участков поля зрения, соответствующих поражённой области сетчатки: окклюзия цилиоретинальной артерии проявляется центральной скотомой, окклюзии ветвей ЦАС — секторальными скотомами.
- Флюоресцентная ангиография. При окклюзии ветвей ЦАС помогает определить степень окклюзии, найти эмбол или диагностировать ангиит. В случае окклюзии ЦАС исследование неинформативно[1].
Дифференциальная диагностика
- Гипертоническая ретинопатия
- Ретиноваскулит
- Передняя ишемическая нейропатия[1]
- Отравление угарным газом
- Глазной ишемический синдром[6]
Осложнения
- Неоваскулярная глаукома[2]
Лечение
Предполагают, что необратимое повреждение сетчатки развивается через 6-6,5 часов. В течение 48-72 часов возможна спонтанная реканализация и улучшение зрения у 22 % пациентов, однако значимое улучшение происходит лишь у 10 %. Поэтому важно начать лечение как можно раньше. Эффективность приведённых методов не была доказана в рандомизированных контролируемых испытаниях. Исследователи сообщают об 1-10 % случаях успешного лечения[2][7].
- Массаж глазного яблока линзой Гольдмана. На глазное яблоко устанавливают линзу Гольдмана, надавливают в течение 10-15 секунд. Повторяют несколько раз с интервалом 3-5 минут. После этого пациенты могут выполнять самомассаж через закрытые веки. Массаж даёт шанс уменьшить площадь повреждения сетчатки, сместив эмбол или тромб в сосуд меньшего калибра.
- Парацентез передней камеры. Иглой 27 G пунктируют роговицу у лимба и удаляют 0,1-0,2 мл водянистой влаги.
- Глазные капли апраклонидина 1 %, тимолола 0,5 % и внутривенное вливание ацетазоламида применяют, чтобы добиться стойкого снижения внутриглазного давления.
- Сублингвальный приём таблетки динитрата изосорбида для расширения сосудов.
- Дыхание в бумажный пакет повышает концентрацию углекислого газа в крови и респираторный ацидоз. Это помогает расширить сосуды.
- Вдыхание карбогена рекомендуют для замедления ишемии и расширения сосудов.
- Лазерная эмболэктомия[8][9].
- Витрэктомия с прямым массажем эмболизированной артерии.
- Интраартериальный фибринолиз[3].
Прогноз
В большинстве случаев развивается атрофия зрительного нерва, у 1 % пациентов — неоваскулярная глаукома. Окклюзия во втором глазу возможна в 1-2 % случаев. В 2 раза возрастает риск смерти от сердечно-сосудистых заболеваний[1]. У 80 % пациентов с окклюзией ветви ЦАС острота зрения может восстановиться до 0,5 или лучше[2].
Диспансерное наблюдение
Пациентов рекомендуется обследовать в неврологическом стационаре, поскольку в течение 4 недель у них повышен риск ишемического инсульта (3-6 %). Частота сопутствующего инсульта 20-24 %. В дальнейшем больных наблюдают врачи общей практики или терапевты[5].
Профилактика
Профилактика и лечение сердечно-сосудистых заболеваний, аутоиммунных заболеваний, контроль свёртываемости крови при склонности к тромбообразованию. Просвещение пациентов с факторами риска — знание симптомов окклюзии и тактики её лечения помогает начать лечение в первые минуты[1].


