Холестериновая эмболия
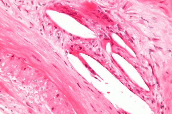
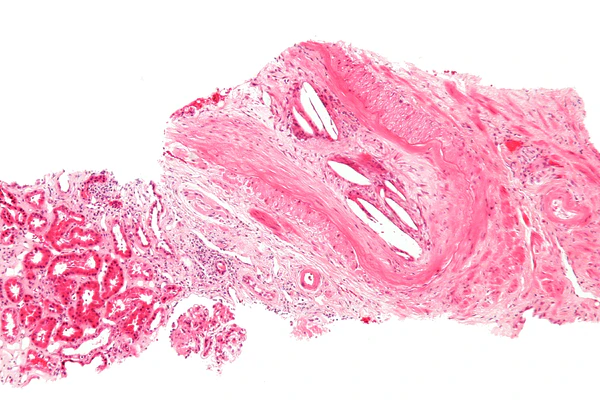
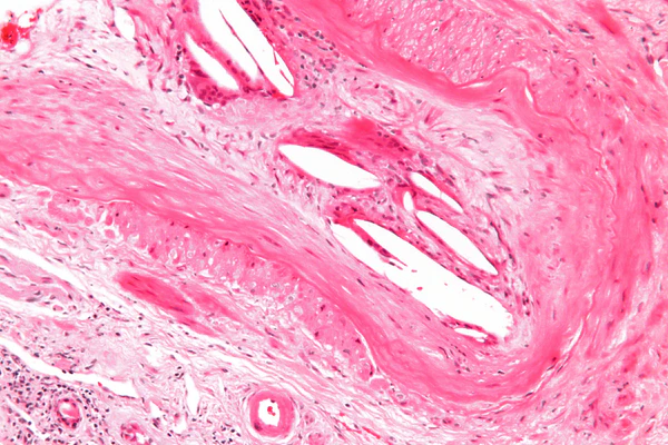
Холестериновая эмболия возникает, когда частица холестерина высвобождается (как правило, из атеросклеротической бляшки) и путешествует как эмбол в кровотоке, откладываясь впоследствии в другом месте сосудов и создавая вторичную эмболию (препятствие кровотоку). Наиболее часто поражаются конечности, с выраженностью симптомов от ретикулярной асфиксии до гангрены. Могут возникнуть проблемы и с другими органами, в зависимости от места, на котором кристаллы холестерина попадают в кровоток. При вовлеченности почек обычно говорят об атероэмболической почечной болезни (AERD). Диагностика обычно включает биопсию (извлечение образца ткани) пораженного органа. Эмболичность холестерина лечится устранением причины и поддерживающей терапией; было установлено, что препараты статинов улучшают прогноз.
Что важно знать


