Кольца Кайзера — Флейшера
Кольца Кайзера — Флейшера — желтовато-зелёная или зеленовато-коричневая пигментация по периферии роговицы на десцеметовой мембране.
Внешний вид
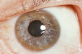
Кольца, являющиеся отложениями меди на границе роговицы и склеры внутри от лимба роговицы, в первую очередь появляются в форме полулуния на верхнем крае роговицы. Со временем образуется полулуние на нижнем крае; в конечном счёте, отложения полностью окружают роговицу.
На поздних стадиях коричневатые кольца могут быть обнаружены невооруженным глазом. На более ранних стадиях полулуния выявляют с помощью щелевой лампы.
Заболевания
Кольца Кайзера — Флейшера являются одним из признаков гепатоцеребральной дистрофии.
Также кольца Кайзера — Флейшера обнаруживаются при хроническом отравлении медью (например, при кормлении детей молоком, нагретым в медной посуде или при употреблении воды с повышенным содержанием меди).
Хроническое отравление медью проявляется симптомами, сходными с болезнью Вильсона — Коновалова: анемией, повреждением печени и почек.
Симптомы острого отравления медью включают в себя недомогание, тошноту, диарею и могут привести к анемии, тяжелому поражению печени и смерти.
См. также
- Кольцо Флейшера — отложения железа в роговице
- Роговичная дуга — отложения липидов
Ссылки
- Фотография на chemgapedia.de
- Фотографии на Wilson’s Disease Association International
- Крупное изображение


