Болезнь Боуэна
Боле́знь Бо́уэна (дерматоз Боуэна, плоскоклеточный рак in situ, внутриэпидермальный плоскоклеточный рак) — редкое кожное заболевание, которое представляет собой поверхностное плоскоклеточное новообразование, поражающее только эпидермис. Повреждение обычно не распространяется в более глубокие слои кожи[1][2]. В первые было описано американским дерматологом Дж. Т. Боуэном, в 1912 г., а в 1914 г. было названо в его честь.
Что важно знать
Историческая справка
Болезнь Боуэна была впервые описана в 1912 году Джоном Темплтоном Боуэном. Он описал два случая с множественными эритематозными бляшками на участках кожи, которые были защищены от солнца, и предположил, что это может быть преканцерозным состоянием. Позже французский дерматолог Жан Дарье дал заболеванию название «предраковый дерматоз Боуэна». В 1926 году Карол описал вариант болезни, локализующийся на половых органах, известный как эритроплазия Кейра[3][4]
Этиология и патогенез
Этиология болезни Боуэна включает несколько ключевых факторов. Одним из наиболее значимых является вирус папилломы человека (ВПЧ), особенно его онкогенные штаммы 16, 18, 34 и 48, которые могут поражать как кожу, так и слизистые оболочки. Однако наличие ВПЧ не является обязательным условием для развития заболевания. Существенный вклад вносит иммунодепрессия: пациенты с аутоиммунными заболеваниями, лейкозами, а также перенёсшие трансплантацию органов и принимающие иммунодепрессанты, находятся в группе повышенного риска. Лекарственные препараты, подавляющие иммунитет, могут способствовать развитию болезни Боуэна, так как ослабленный иммунный контроль приводит к нарушению механизмов защиты от злокачественной трансформации клеток. Другим важным фактором считается хроническое воздействие мышьяка. Этот элемент может провоцировать развитие злокачественных новообразований кожи. Также установлена связь заболевания с ионизирующим излучением: в группу риска входят специалисты, контактирующие с радиацией без должной защиты, а также онкологические пациенты, проходящие лучевую терапию. Существенную роль играет длительное воздействие солнечного ультрафиолета, особенно среди мужчин, работающих на открытом воздухе. Инсоляция способствует инактивации гена р53, что запускает механизмы агрессивного роста опухолей кожи[5].
Кроме того, хронические воспалительные процессы и местные повреждения кожи могут служить триггером болезни Боуэна, особенно у пожилых людей[5].
Гистологическая картина
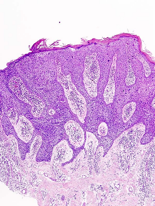
Гистологически отмечаются гиперкератоз, паракератоз и акантоз с удлинением и утолщением эпидермальных выростов. Базальный слой чётко очерчен. В шиповатом слое выявляются акантотические разрастания, беспорядочно расположенные клетки с выраженной атипией, крупными гиперхромными ядрами и вакуолизацией. Присутствуют многоядерные гигантские клетки, атипичные митозы, очаговый дискератоз в виде «роговых жемчужин». Некоторые клетки напоминают клетки Педжета, но без межклеточных мостиков. При малигнизации формируются акантотические тяжи, проникающие в дерму с разрушением базальной мембраны и выраженным клеточным полиморфизмом[3].
Эпидемиология
Частота болезни Боуэна зависит от региона и расы. В России статистика отсутствует, в США регистрируют 15 случаев на 100 000 человек в год, а на Гавайях — 150 случаев на 100 000 человек, что может быть связано с высокой солнечной активностью. Заболевание чаще встречается у мужчин, преимущественно в возрасте 40-70 лет, однако чёткая связь с полом не доказана. У детей и молодёжи болезнь встречается крайне редко[2][3].
Клиническая картина
При заболевании на коже возникают одиночные или множественные очаги: вначале это небольшое красное пятно или бляшка неправильной либо округлой формы с шелушением. Такие бляшки образуются при слиянии красноватых папул и узлов. Белые или жёлтые чешуйки на бляшке легко удаляются, под ними обнаруживается красная мокнущая поверхность. Бляшка чётко отграничена от окружающих тканей, постепенно растёт и со временем возвышается над уровнем кожи. Бляшка имеет пёстрый вид вследствие появления зон атрофии, гиперкератоза, разрастаний. Без лечения элемент медленно увеличивается в размере, трансформируясь в инвазивную форму плоскоклеточного рака кожи. Это позволяет говорить о болезни Боуэна как о предраке. Также возможны зуд, кровотечение, нагноение инфицированных участков и болезненность при прикосновении[6][7][5].
Течение болезни Боуэна может проявляться в виде четырёх клинических вариантов:
- анулярная — характеризуется образованием бляшки в форме круга;
- веррукозная форма, при которой на поверхности появляются бородавчатые разрастания;
- пигментная в виде бляшки тёмного окраса;
- акральная форма — поражение кожи ногтевой пластины;
- аногенитальная — поражение в области ануса и гениталий[5].
Наиболее частая локализация болезни Боуэна — кожа голеней, реже поражаются подошвы, ладони, половые органы, шея и голова[6].
Эритроплазия Кейра — неинвазивная форма плоскоклеточного рака кожи, локализующаяся на коже полового члена, представлена красной бляшкой с чёткими границами и влажной блестящей поверхностью. На поверхности очага могут образовываться корочки, появляться шелушение и язвы, которые вызывают болевые ощущения и зуд. Кроме того, возможно возникновение кровотечения в зоне поражения, а также затруднение или боль при мочеиспускании[7][5].
Диагностика
- Анамнез и клиническая картина
- Дерматоскопическое исследование: точечные или клубочковые сосуды, часто расположенные линейно, жёлтые бесструктурные области; пигментированная форма болезни Боуэна характеризуется коричневыми бесструктурными областями, точками и глобулами коричневого цвета, расположенными линейно
- Биопсия бляшки с гистологическим исследованием: дисплазия распространяется на всю толщину эпидермиса, но при этом не затрагивает дерму[1][2][7]
Дифференциальная диагностика
- Пигментная базалиома
- Вульгарная бородавка
- Лейкоплакия
- Красная волчанка
- Сифилитические папулы
- Старческий кератоз
- Беспигментный невус
- Экзема
- Псориаз
- Солнечный кератоз
- Бородавчатым туберкулёз кожи
- Бовеноидный папулёз
- Болезнь Педжета
- Дерматофития
- Дерматит[1][3][8]
Осложнения
- Трансформация в плоскоклеточный рак
- Повреждение кожи в области очага
- Присоединение вторичной инфекции[2]
Лечение
Лечение болезни Боуэна направлено на удаление поражённого участка кожи. Основным методом является хирургическое иссечение в пределах здоровых тканей. Если операция невозможна, применяют близкофокусную рентгенотерапию[3].
Альтернативные методы:
- криодеструкция,
- лазерная абляция,
- фотодинамическая терапия,
- кюретаж и коагуляция,
- местная терапия цитостатиками — мази с 5-фторурацилом или имиквимодом (используются за рубежом, так как фторурациловая мазь не включена в реестр лекарственных средств в России)[2][3].
После лечения возможны рецидивы, рубцы, депигментация, а при неполном удалении — переход в плоскоклеточный рак[2].
Прогноз
Прогноз при болезни Боуэна в целом благоприятный, но риск рецидивов и злокачественной трансформации зависит от стадии заболевания, длительности течения, состояния иммунной системы и наличия травм бляшки. По данным различных исследований, вероятность малигнизации варьирует от 11 до 80 %. Повышенный риск отмечается у пациентов с иммунодефицитными состояниями[2][3].
Профилактика
Для снижения риска развития болезни Боуэна рекомендуется ограничить воздействие ультрафиолетового излучения и соблюдать общие меры профилактики кожных заболеваний.
Основные рекомендации:
- Ограничение пребывания на солнце — избегать солнечной активности с 10:00 до 16:00, находиться в тени, не загорать и не посещать солярии.
- Использование защитных средств — носить одежду с длинными рукавами, брюки, широкополые шляпы, а также применять солнцезащитные кремы с SPF 30+ и защитой от УФА/УФВ, обновляя их каждые 2 часа или после купания/потоотделения.
- Поддержание общего здоровья кожи — соблюдать личную гигиену, особенно ног, избегать повреждений кожи, своевременно лечить варикоз, варикозную экзему и сосудистые заболевания.
- Защита от ВПЧ[1][2].
Примечания
Литература
- Карапетян И. С., Губайдуллина Е. Я., Цегельник Л. Н. Опухоли и опухолеподобные поражения органов полости рта, челюстей, лица и шеи. — М.: Медицинское информационное агентство, 2004. — 232 с. — 3000 экз. — ISBN 5-89481-207-0.
- Хисматуллина З. Р., Липова Е. В., Хамматова А. А., Хабибуллина М. И., Наджафизаде Э., Янбарисова К. З. Болезнь Боуэна (обзор литературы) // Креативная хирургия и онкология : Журнал. — 2023. — С. 68-76. — doi:10.24060/2076-3093-2023-13-1-68-76.
- Костина И. Н., Епишова А. А., Григорьев С. С., Чернышёва Н. Д., Сорокоумова Д. В. Предраковые заболевания слизистой оболочки полости рта, красной каймы губ и кожи лица: Учебное пособие для врачей-стоматологов-хирургов, челюстно-лицевых хирургов и стоматологов-терапевтов. — Екатеринбург: Издательский дом «ТИРАЖ», 2019. — С. 17-20. — 84 с. — ISBN 978-5-89895-921-0.


