Дистрофия колбочек
Дистрофия колбочек — наследственное глазное расстройство, характеризующееся потерей колбочек фоторецепторов, ответственных как за центральное, так и цветовое зрение.
Наиболее распространённые симптомы дистрофии колбочек — потеря зрения (начиная от старшего подросткового возраста до шестидесяти лет), чувствительность к яркому свету и бедное цветовое зрение. Таким образом, эти пациенты лучше видят в сумерках. Острота зрения обычно ухудшается постепенно, но она может быстро ухудшаться до 20/200; позже, в более тяжёлых случаях, она падает до невозможности определения количества пальцев перед глазами. Проверка цветового зрения с использованием тестовых цветных пластин (HRR серии) показывает много ошибок как с красно-зелеными так и сине-желтыми пластинами.
Патогенез дистрофии колбочек ещё предстоит выяснить. Похоже, что дистрофия является первичной, так как субъективные и объективные нарушения функций колбочек происходят до видимыхх офтальмоскопических изменений. Тем не менее, в этот процесс быстро вовлекается пигментный эпителий сетчатки (RPE), приводя к дистрофии сетчатки, прежде всего, в районе жёлтого пятна. Гистологическое исследование глаз одного такого пациента показало, что наружный ядерный слой колбочек и палочек полностью исчез, в то время как RPE показал выраженные изменения пигмента. Была также атрофия височного диска.
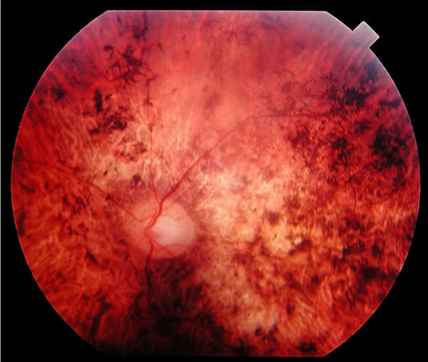
Просмотр глазного дна с помощью офтальмоскопа, по существу, бесполезен на ранних стадиях дистрофии колбочек, и пятнистые изменения обычно наблюдаются после потери зрения. Флуоресцентная ангиография (FA) является полезным дополнением в проработке подозрения на дистрофию колбочек, так как она может обнаружить ранние изменения в сетчатке, которые являются слишком тонкими, чтобы быть замеченными офтальмоскопом. Например, FA может выявить области гиперфлуоресценции, указывая, что RPE потерял некоторые из своих элементов, не препятствуя быть более видимой основной флуоресценции от сосудистой оболочки. Эти ранние изменения, как правило, не определяется во время офтальмоскопической проверки.
Наиболее распространённый тип макулярного поражения, видимый во время офтальмоскопического тестирования, имеет вид яблочка и состоит из похожей на пончик зоны атрофированного пигментного эпителия, окружающего более тёмную центральную зону. В другой, менее распространённой форме дистрофии колбочек есть довольно размытая атрофия заднего полюса с пятнистым пигментом, слипшимся в области жёлтого пятна. Изредка у пациентов на ранней стадии видна атрофия капилляров и больших сосудов хориоидеи. Включение флуоресцентной ангиографии в обследование этих пациентов важно, поскольку она может помочь обнаружить многие из этих характерных офтальмоскопических особенностей. В дополнение к перечисленному, обычно наблюдается временная бледность диска зрительного нерва.
Как и ожидалось, тест поля зрения при дистрофии колбочек обычно показывает центральную скотому. В случаях с типичным «яблочком», центр поля зрения часто сохраняется.
Из-за широкого спектра изменений глазного дна и трудностей в постановке диагноза на ранних стадиях, электроретинография (ERG) остаётся лучшим тестом для постановки диагноза. О нарушении функций колбочек на ЭРГ свидетельствует сниженние отклика на одиночные вспышки, когда тестирование проводится в хорошо освещённой комнате (фотопический ERG). Частично сохранившиеся функции палочек при дистрофии колбочек — свидетельство нормального скотопического ERG, то есть когда тест проводится в темноте. В более тяжёлых случаях, дистрофия представляет большую часть палочек с субнормальными скотопическими записями. Дистрофии колбочек является наследственной и может быть бессимптомной на ранней стадии процесса заболевания и ERG является бесценным инструментом в ранней диагностике пациентов с положительной семейной историей.
Дистрофия колбочек в целом обычно происходит спорадически. Чаще всего наблюдается аутосомно-доминантный характер наследования, однако также возможны случаи аутосомно-рецессивного и Х-хромосомного наследования.
В дифференциальном диагнозе должны быть рассмотрены другие виды макулярной дистрофии, а также наследственные оптические атрофии. Флюоресцентная ангиография, ERG, и цветные тесты зрения являются важными инструментами, которые помогут облегчить диагностику на ранних стадиях.
Генетика
По крайней мере, один тип аутосомно-доминантный дистрофии колбочек вызывается мутациями в гене гуанилатциклаза 2D GUCY2D на хромосоме 17 .
Лечение
Хотя нет никакого лечения для дистрофии колбочек, некоторые средства могут помочь в замедлении прогрессирования заболевания.
Бета-каротиноиды, лютеин и зеаксантин могут снизить риск развития возрастной макулярной дегенерации (ВМД)[1].
Потребление омега-3 жирных кислот (докозагексаеновой кислоты и эйкозапентаеновой кислоты) коррелирууется с пониженным прогрессированием раннего AMD, а в сочетании с продуктами с низким гликемическим индексом — с пониженным прогрессированием основного AMD[2], и может поэтому задержать прогрессирование дистрофии колбочек.
Примечания
Литература
- Стивен Дж. Райан и др., "Сетчатка", 3-е изд. (К.В. Мосби, 2001) ISBN 0-323-00804-6
- Стивен Дж. Райан и др., "Сетчатка", 4-е изд. (К.В. Мосби, 2005) ISBN 0-323-02598-6
- Карпентье С., Кнаус М., Су М. (2009). «Ассоциации между лютеином, зеаксантином и возрастной макулярной дегенерацией: обзор». Критические обзоры в журнале Food Science and Nutrition 313-326. doi:10.1080/10408390802066979. PMID 19234943.
- Чиу Си Джей, Кляйн Р., Милтон Р.К., Генслер Г., Тейлор А. (июнь 2009 г.). «Изменяет ли употребление определенных диет риск возрастной макулярной дегенерации у потребителей добавок для исследования возрастных заболеваний глаз?». Br J Офтальмол 93 (9): 1241-6. doi:10.1136/bjo.2008.143412. PMC 3033729. PMID 19508997.



