Остеома

Остеома (osteoma) — доброкачественная костная опухоль. В большинстве случаев не малигнизируется.

Общие сведения

Классификация

Различают остеомы трёх видов:

1) твёрдая остеома (osteoma durum s. eburneum), состоящая из плотного, как слоновая кость, вещества, расположенного концентрическими, параллельными к поверхности опухоли пластинками;

2) губчатая остеома (osteoma spongiosum);

3) мозговидная Остемома (osteoma medullosum), содержащая обширные полости, наполненные костным мозгом.

Различают ещё, по Вирхову, две группы остеом: одни, которые развиваются из костной системы (гиперпластические), и другие, которые возникают из соединительной ткани разных органов (гетеропластические).

К первым относятся остеофиты — небольшие наслоения на костях; если они занимают всю окружность кости, то носят название гиперостозов; если костная масса выдаётся в виде опухоли на ограниченном месте — экзостозов[1], если она заключена внутри кости — эностозов[2].

Твёрдые экзостозы встречаются нередко на костях черепа, лица[3] и таза; в последнем случае они могут сильно затруднять родовой акт (так называемый остистый таз)[2].

Из гетеропластических остеом упомянем о тех, которые локализируются в местах прикрепления сухожилий и в мышцах; сюда относятся так наз. плац-парадные кости (Exercirknochen) и кавалерийские кости, которые развиваются в мышцах плеча и бедра вследствие повторных механических раздражений прикладом ружья [Hasse нашёл их у рекрутов в 3 % всех случаев.] и верховой ездой; они бывают величиной от горошины до гусиного яйца. Далее, встречаются обширные костные пластинки в твёрдой мозговой оболочке, не имея, однако, никакого патологического значения; то же самое можно сказать о костных отложениях в сердечной сорочке, плевре и грудобрюшной преграде; сравнительно часто находят О. в веществе мозга[2].


Остеоид-остеома (osteoid osteoma) характеризуется чрезмерным разрастанием костеобразующих клеток; при этом человека обычно начинают беспокоить боли в диафизе длинной трубчатой кости.

Причины

Некоторые случаи, особенно множественных экзостозов говорят о наследственном предрасположении (вероятность передачи заболевания прямым потомкам составляет 50 %); далее, описаны врождённые экзостозы; обвиняют также травму, различные худосочия: сифилис (нередко экзостозы на черепе), подагру, ревматизм, перенесенные инфекции[4].

Распространенность

Остеома — сравнительно редкое заболевание, обычно развивается в юношеском возрасте и чаще у мужчин, чем у женщин; образование Остеома идёт медленно, обычно безболезненно.

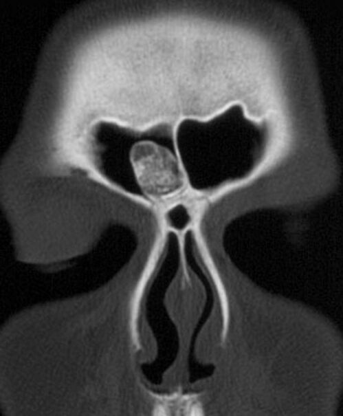
Диагностика

Диагноз остеомы ставят на основании клинико-рентгенологических данных. Дифференциальный диагноз между хроническим остеомиелитом и остеогенной саркомой легко установить на основании рентгенологической картины и течения заболевания.

Лечение

Лечение остеом только хирургическое. Оно показано при клинической симптоматике или с косметической целью. Операция состоит в удалении опухоли с обязательной резекцией подлежащей пластинки здоровой кости. В случаях бессимптомного течения и небольших размеров опухоли считают целесообразным лишь динамическое наблюдение.

Галерея

См. также

Примечания