EVALI
| Повреждение лёгких, связанное с вейпингом «болезнь вейперов» | |
|---|---|
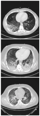
| Изображения компьютерной томографии, показывающие диффузные инфильтраты в лёгких у трех пациентов, 2019 год | |
| МКБ-10 | U07.0 |
«Болезнь вейперов», англ. EVALI (от E-cigarette and Vaping use-Associated Lung Injury = повреждение легких, ассоциированное с курением электронных сигарет и вейпов)[1] — неинфекционное респираторное заболевание, которое связано с использованием электронных сигарет и наиболее сходно с экзогенной липоидной пневмонией или химическим пневмонитом. В международной медицинской литературе употребляются аббревиатуры EVALI, VAPI (от англ. Vaping-associated pulmonary injury) и VALI (от англ. vaping-associated lung injury)[2][3].
Причины и механизм развития заболевания не изучены, известно только, что причиной является накопление в клетках лёгочной ткани масляных компонентов аэрозоля электронных сигарет, наиболее вероятными кандидатами являются ацетат витамина Е и тетрагидроканнабинол[1][3]. Симптомы заболевания типичны для классической липидной (липоидной) пневмонии[1] и включают кашель, боль в груди, затруднённое дыхание, тошноту, рвоту и диарею, а также другие респираторные, конституциональные и гастроэнтерологические расстройства[4]. На 2020 год не существовало единого руководства по лечению «болезни вейперов», наибольшую эффективность показали системные кортикостероиды. Но медицинское сообщество также допускает возможность естественного выздоровления при отказе от электронных сигарет[5][4][5][2].
Первый случай заболевания документирован в 2012 году. Наибольшее распространение болезнь получила во время вспышки в США в 2019—2020 годах, когда число госпитализированных превысило 2,5 тысячи человек. Было зафиксировано 68 смертей[6][7][1]. Медицинские службы развитых стран говорят об нарастающей эпидемии EVALI, которая стала скрытой на фоне пандемии коронавируса из-за схожести симптомов этих заболеваний[1].
В России, по данным Росстата, с 2009 по 2023 годы число курящих снизилось с 41 до 30%. При этом остаётся проблема быстрого привыкания к электронным сигаретам[8]. В августе 2024 Минздрав РФ предупредил о распространении болезни EVALI, симптомы которой во многом напоминают COVID-19 — единственным отличием является нарушение пищеварительной системы[9].
Симптомы и патология
Несмотря на сбор данных о клинических особенностях «болезни вейперов», её патология изучена недостаточно[10]. Установленные симптомы включают респираторные, конституциональные и гастроэнтерологические расстройства[4]. Наиболее часто встречаются кашель, боль в груди, затруднённое дыхание, тошнота, рвота и диарея. Среди менее распространённых симптомов — лихорадка, кровохарканье, одышка, потеря веса и усталость, головокружение и боль в груди сразу после использования электронных сигарет[2][6][11]. В отдельных случаях зафиксированы тахикардия, тахипноэ, стойкая гипоксемия. Симптомы развивались за несколько недель или дней до госпитализации, многим пострадавшим требовалась интенсивная терапия, искусственная и неинвазивная вентиляция лёгких. У пациентов в возрасте или с сопутствующими заболеваниями, а также у беременных женщин риск жёсткого проявления симптоматики был выше[5][10][12].
Компьютерная томография больных зафиксировала лёгочный инфильтрат: диффузные или располагающиеся в нижних отделах уплотнения по типу «матового стекла» с сохранением структуры в субплевральных (78,1 %), лобулярных (59,4 %) или перибронховаскулярных (40 %) областях. Последнее встречалось у более молодых пациентов и не являлось характерным при остром повреждении лёгких[13][14]. При поступлении в больницу у всех пострадавших наблюдалось повышенное количество лейкоцитов с преобладанием нейтрофилов и отсутствием эозинофилии[12][4][15]. Плазма потребителей электронных сигарет также показывала повышенный уровень гидроксиэйкозатетраеновой кислоты и различных эйкозаноидов[6].
Первоначально врачи подозревали инфекционный характер заболевания. Макрофаги, обнаруженные у госпитализированных, могли вызывать воспалительный иммунный ответ, приводящий к липоидной пневмонии и другим пневмонитоподобным реакциям[3]. Так, у пациентов отмечались повреждения лёгких с патологическими проявлениями острого фибринозного пневмонита, диффузного альвеолярного поражения или организующей пневмонии, обычно сопровождающейся бронхиолитом, острой эозинофильной или атипичной пневмоний[13][10][4]. Некоторым пациентам был диагностирован химический пневмонит, другим — коронавирусная инфекция. Но поражения лёгких у госпитализированных с EVALI зачастую отличались от таковых у пациентов с коронавирусной пневмонией[4][13]. В ходе исследований не было обнаружено никаких доказательств инфекции, отсутствовала реакция на лечение антибиотиками[15].
Причины и диагностика
- Причины
Все пациенты с острыми повреждениями лёгких сообщали о потреблении различных электронных сигарет до поступления в больницу[5]. Устройства представляют собой портативный испаритель жидкости-наполнителя, которая может содержать никотин, пропиленгликоль и растительный глицерин, ароматизаторы и усилители вкуса, тетрагидроканнабинол (ТГК) и каннабидиол, гашишное масло, минеральное масло и масло со среднецепочечными триглицеридами. Тепловой элемент е-сигарет нагревает жидкость, превращая её в аэрозоль, влияние которого на организм человека мало изучено[6][16]. Исследования на животных показывают, что вейпинг может увеличить гиперреактивность дыхательных путей или восприимчивость к респираторным патогенам[7]. Токсическое воздействие ТГК в составе аэрозоля считается наиболее вероятной причиной респираторных нарушений[17]. Чаще всего с развитием EVALI связывают:
- Витамин Е, использующийся в качестве загустителя в картриджах с ТГК[18]. Вещество обычно безопасно при употреблении в пищу или нанесении на кожу, но в составе аэрозоля может негативно влиять на функции лёгких[19][20][21]. В процессе его нагревания образуется исключительно токсичный газ кетен, предположительно ответственный за рост травм лёгких, а также опасные для человека алкен и бензол[22][6].
- Тетрагидроканнабинол, который может быть связан с окислительным повреждением и воспалительными реакциями в респираторной системе, дисфункцией лёгочных тканей[6].
- Каннабидиол, который токсичен для моноцитов и связан с провоспалительным ответом иммунной системы и нарушением функции эпителиального барьера[6]. В испытаниях на мышах воздействие синтетических каннабиноидов вызывало провоспалительное состояние, активируя каннабиноидный рецептор типа 1 в тканях лёгких[23]. Предположительно, именно поддельные устройства с различными каннабидиолами в составе жидкостей наиболее опасны для пользователей[6].
- Масляные добавки, которые могут способствовать накоплению липидов в тканях лёгких[17]. К этой группе относят не только растительные масла, но и дистилляты нефти, которые при нагревании выделяют токсичные летучие органические соединения. Минеральные масла и триглицериды, вероятно, цитотоксичны и связаны с дисфункцией эпителиального барьера[19][6].
- Глицерин и пропиленгликоль, продуктами разложения которых является канцерогенный формальдегид[16].
- Никотин, который стимулирует выработку адреналина, повышая артериальное давление[16].
- Ароматизаторы, ассортимент которых на рынке превышает 7,5 тысячи вариантов. Большинство из них не были протестированы на токсичность и считаются потенциальными возбудителями[24].
- Мышьяк и металлы, включая алюминий, сурьму, кадмий, кобальт, хром, медь, железо, свинец, марганец, никель, селен, олово и цинк. Их присутствие в аэрозолях электронных сигарет потенциально представляет серьёзную угрозу для здоровья, например, они могут вести к развитию раковых опухолей[4][25].
Тем не менее, возбудитель EVALI не установлен, так как ни один компонент не связан со всеми случаями заболевания[5]. Пациенты в разных регионах США употребляли жидкости разных марок и с разным составом. Например, Управление по санитарному надзору за качеством пищевых продуктов и медикаментов не обнаружило ацетат витамина Е, наиболее часто называемый виновником болезни, в жидкостях на основе никотина. Его использовали только производители наполнителей с ТГК для уплотнения дыма[21][18]. И хотя большинство пациентов сообщили об употреблении продуктов с ТГК (примерно 82 %), около 14 % уверяли, что потребляли электронные сигареты исключительно с никотином, а значит, не подвергались воздействию ацетата витамина Е. Эксперты допускают, что пользователи, например, могли не знать точный состав[6][5][26]. Часть устройств поступала из неофициальных источников, например, от друзей или нелегальных уличных торговцев, поэтому установить состав их картриджей невозможно[20][15]. Чем больше химикатов содержится в жидкости для электронных сигарет, тем более токсичной она может быть. Однако исследований о долгосрочных воздействиях электронных сигарет на организм человека не проводилось, и на 2020 год механизм развития EVALI неизвестен[24][16].
История распространения
Электронные сигареты распространены на рынке США примерно с 2007 года[27]. Сообщения о заболеваниях лёгких с симптомами без прямой этиологии у потребителей электронных сигарет известны как минимум с 2012 года. На тот момент пациентам ставили различные диагнозы, включая острое повреждение лёгких, атипичный пневмонит, эозинофильную или липоидную пневмонию[6]. Уже к 2014-му е-сигареты стали наиболее часто используемым табачным продуктом среди молодёжи в стране. Только за 2017—2018 годы распространённость вейпинга выросла с 11,7 % до 20,8 % среди американских старшеклассников. Среди взрослого населения к тому моменту о привычке сообщало 3,2 % населения[28]. В 2018 году Управление по надзору за качеством пищевых продуктов и медикаментов объявило вейпинг эпидемией[29].
Первые пациенты, заболевание которых официально связали с потреблением электронных сигарет, зафиксированы в США весной—летом 2019 года[30][28][31]. В августе 2019 года Центры по контролю и профилактике заболеваний начали сбор данных о случаях EVALI, департаменты здравоохранения разных штатов начали собственные расследования. Так, службы штата Нью-Йорк признали ацетат витамина Е наиболее вероятным агентом, вызывающим повреждения лёгких. Как минимум против трёх компаний, производивших загустители с витамином Е в составе, были поданы судебные иски[18][11].
В сентябре 2019 года количество зафиксированных в более 20 штатах США случаев заболевания EVALI составляло 350, количество смертей — 6[15][4]. К середине месяца эпидемия достигла своего пика, ежедневно сообщалось о более 200 случаев. Еженедельное количество госпитализированных пациентов с тех пор неуклонно снижалось[26], всего на тот момент числилось около 1,2 тысячи пострадавших в 21 штате[5]. С ноября Центры по контролю и профилактике заболеваний рекомендовали врачам докладывать только о тяжёлых случаях заболевания, требовавших госпитализации[20]. По состоянию на 14 января 2020 года общее число соответствующих сообщений составило 2668 за всё время вспышки заболевания[26]. Было подтверждено 57 смертей[32]. К тому моменту орган прекратил сбор информации о пациентах с EVALI из-за резкого снижения числа ежедневно госпитализированных. Так, в течение всего января 2020 года было зарегистрировано только 67 случаев[11][28]. Динамику в первую очередь связывали с быстрой реакцией общественного здравоохранения, повышением осведомлённости общественности о рисках вейпинга и отказом части потребителей от вейпинга. Ряд производителей удалил из состава жидкостей витамин Е или полностью прекратил производство[26][18][2].
На февраль 2020 года в общей сложности было зарегистрировано 2807 госпитализированных случаев в 50 штатах, округе Колумбия, Пуэрто-Рико и на Виргинских островах. Подтверждено 68 смертей в 29 штатах и округе Колумбия[6][7][33].
Одновременно со вспышкой заболевания EVALI в США подобные случаи были выявлены в других странах, но не получили широкого распространения. Агентство Bloomberg сообщало о минимум 15 инцидентах в других странах мира, включая Гуам, Японию и Великобританию[34]. В Канаде первый случай EVALI выявлен в сентября 2019 года у жителя Квебека[35]. К августу 2020-го в Агентство общественного здравоохранения Канады поступила информация о 20 пострадавших от «болезни вейперов», о смертельных исходах не сообщалось[36]. В России первый случай EVALI зафиксирован в московской детской больнице летом 2021 года[37][33]. Тем не менее в июле 2022-го Минпромторг не поддержал запрет на вейпы и электронные сигареты в России, опасаясь увеличения контрабанды и потерь для российского бюджета. Как альтернативную меру чиновники рассматривали введение обязательной маркировки, что поддерживали производители[38]. В марте 2025 года[39] первый случай EVALI зафиксировали в Томске[40].
Статистика
За время вспышки EVALI в 2019—2020 годах в США наибольшее количество случаев было зарегистрировано в Техасе и Иллинойсе, Калифорнии и Нью-Йорке. Среди более 2,5 тысяч госпитализированных 66 % являлись мужчинами. У большинства наблюдалась минимум одна сопутствующая патология, например, астма, хроническая обструктивная болезнь лёгких или муковисцидоз. Так, примерно 22 % всех пациентов страдали астмой[2][26][7].
Средний возраст больных EVALI составлял 24 года, 62 % пациентов были в возрасте от 18 до 34 лет, ещё 16 % — моложе 18 лет[28]. Средний возраст умерших пациентов составил 49,5 года (минимум 15, максимум 85 лет)[28][32][26]. Среди умерших пациентов 52 % страдали ожирением. Также летальность была высока среди пациентов старше 35 лет, cреди пациентов с астмой, сердечными заболеваниями или психическими расстройствами[7][2].
Большинство пациентов с EVALI сообщили, что получали свои продукты из неофициальных источников: приобретали с рук или в онлайн-магазинах перекупщиков, получали от друзей или родственников[32]. 82 % больных пользовались средствами с тетрагидроканнабинолом, 57 % — никотинсодержащими продуктами[26].
Лечение и диагностика
- Диагностика
Изначально врачи допускали, что связанные с вейпингом повреждения лёгких, могут представлять собой экзогенную липоидную пневмонию. Предположительный диагноз связывали с маслами, которые курильщики электронных сигарет вдыхали с аэрозолем. Однако в ряде случаев не было обнаружено соответствующей патологии или радиологических доказательств[10][17]. Другие распространённые диагнозы включали острый респираторный дистресс-синдром, сепсис, гипоксическую дыхательную недостаточность и пневмонит[15]. Но соответствующее лечение не давало положительных результатов. В ходе дальнейших исследований было установлено, что новое заболевание не является инфекционным[41][31].
EVALI считается диагнозом исключения, потому что не существует специального теста или маркера для его диагностики[5]. В первую очередь врачи исключают бытовую и острую эозинофильную пневмонию: лабораторное исследование включает общий анализ крови с дифференциалом на маркеры воспаления (C-реактивный белок, скорость оседания эритроцитов), уровня трансаминазы печени, токсикологическое исследование мочи, в том числе на наличие ТГК[5]. Медики традиционно назначают КТ-ангиографию или КТ грудной клетки, бронхоскопию с бронхоальвеолярным лаважем[2]. На рентгенограмме грудной клетки больного EVALI обычно наблюдаются двусторонние диффузные, мутные или консолидированные помутнения, но больные показывают отрицательные тесты на респираторные инфекционные заболевания. Биопсия лёгких необязательна для постановки диагноза, но выполняется в соответствии с клиническими показаниями[42]. Среди прочего необходимо исключить коронавирусную инфекцию, симптомы которой сходны с EVALI[43][19]. Если пациент является вейпером и в медицинской карте отсутствуют вероятные альтернативные диагнозы (например, сердечные, ревматологические или опухолевые процессов), врач может предположить наличие у больного «болезни вейперов»[41].
- Лечение
На 2020 год не существовало единого руководства по лечению EVALI. Системные кортикостероиды являются основой терапии, их эффективность, вероятно, связана с ослаблением воспалительной реакции. Курс с эквивалентом метилпреднизолона обычно длится 5—10 дней в зависимости от клинического состояния[2][15]. В некоторых случаях больным назначали бронхоальвеолярный лаваж[27]. Так как признаки и симптомы заболевания совпадают с бытовой пневмонией и другими инфекционными заболеваниями, рекомендуют также назначение эмпирических антибиотиков или стероидов в зависимости от клинического контекста. Естественное развитие болезни неизвестно, и медицинское сообщество предполагает возможность самовыздоровления при отказе от электронных сигарет[4].
В тяжёлых случаях госпитализированные с гипоксической дыхательной недостаточностью нуждались в интенсивной терапии, интубации трахеи и искусственной вентиляции лёгких. Таким больным предписывают постоянное наблюдение за респираторной системой после выписки, пациентам, получившим высокие дозы кортикостероидов, — помощь эндокринолога для контроля функции надпочечников[5][12][41].
Долгосрочные эффекты и риск рецидива EVALI неизвестны[5]. Зафиксированы отдельные случаи повторного обращения выписанных пациентов за медицинской помощью. Риск обострения повышается, если больные продолжают использование электронных сигарет. Поэтому рекомендации об отказе от вейпинга и поведенческое консультирование должны быть неотъемлемой частью лечения[7][17]. Центры по контролю и профилактике заболеваний предлагают избегать употребления любых электронных сигарет[44]. Ряд экспертов называет наиболее «здоровым подходом воздержание от вдыхания чего-либо, кроме свежего чистого воздуха»[17][5][2].
Примечания
- ↑ 1 2 3 4 5 Васильева и Акулова, 2022.
- ↑ 1 2 3 4 5 6 7 8 9 R. Adhikari, T. Koritala, R. Gotur, S. V. Malayala, N. K. Jain. EVALI – E-Cigarette or Vaping Product Use-Associated Lung Injury: A Case Report. Cureus (2021). Дата обращения: 5 января 2021. Архивировано 21 июня 2021 года.
- ↑ 1 2 3 Are Electronic Cigarette Users at Risk for Lipid-mediated Lung Injury? // American Journal of Respiratory and Critical Care Medicine. — 2020. — С. 1012—1013. Архивировано 19 июля 2022 года.
- ↑ 1 2 3 4 5 6 7 8 9 W. G. Carlos et al. Vaping-associated Pulmonary Illness (VAPI) // American Thoracic Society. — 2020. — doi:10.1164/rccm.2007P13. Архивировано 10 декабря 2021 года.
- ↑ 1 2 3 4 5 6 7 8 9 10 11 12 Siegel D. A., Jatlaoui T. C. Update: Interim Guidance for Health Care Providers Evaluating and Caring for Patients with Suspected E-cigarette, or Vaping, Product Use Associated Lung Injury — United States, October 2019 // MMWR Morb Mortal Wkly Report. — 2019. — С. 919—927.
- ↑ 1 2 3 4 5 6 7 8 9 10 11 12 Thivanka Muthumalage,1 Joseph H. Lucas,1 Qixin Wang,1 Thomas Lamb,1 Matthew D. McGraw,2 and Irfan Rahman. Pulmonary Toxicity and Inflammatory Response of Vape Cartridges Containing Medium-Chain Triglycerides Oil and Vitamin E Acetate: Implications in the Pathogenesis of EVALI // Toxics. — 2020. Архивировано 1 ноября 2020 года.
- ↑ 1 2 3 4 5 6 G. A. Triantafyllou, P. J. Tiberio, R. H. Zou, M. J. Lynch, J. W. Kreit, B. J. McVerry. Long-term outcomes of EVALI: a 1-year retrospective study. PlumX Metrics (2021). Дата обращения: 5 января 2021. Архивировано 4 февраля 2022 года.
- ↑ Минздрав: курение электронных сигарет вызывает болезнь легких EVALI, Ведомости (29 августа 2024). Дата обращения: 29 августа 2024.
- ↑ Минздрав предупредил, что вейпы вызывают похожую на коронавирус болезнь Evali, Interfax.ru (29 августа 2024). Дата обращения: 29 августа 2024.
- ↑ 1 2 3 4 Butt Y. M. et al. Pathology of Vaping-Associated Lung Injury // The New England Journal of Medicine. — 2019. Архивировано 10 декабря 2021 года.
- ↑ 1 2 3 Why did CDC stop reporting on the number of EVALI cases in February 2020? Centers for DIsease Control and Prevention (2020). Дата обращения: 5 января 2021. Архивировано 29 декабря 2020 года.
- ↑ 1 2 3 Kю Davidson, A. Brancato, P. Heetderks, W. Mansour, E. Matheis, M. Nario, S. Rajagopalan, B. Underhill, J. Wininger, D. Fox. Outbreak of Electronic-Cigarette–Associated Acute Lipoid Pneumonia — North Carolina, July–August 2019 // MMWR. — 2019. — С. 784—786. Архивировано 7 мая 2022 года.
- ↑ 1 2 3 А. Теслина. Обобщены клинические характеристики американских пациентов с EVALI // Медвестник. — 2021-10-07. Архивировано 8 октября 2021 года.
- ↑ 2019 Lung Injury Surveillance Primary Case Definition (CDC). U.S. Department of Health & Human Services (18 сентября 2019). Дата обращения: 5 января 2021. Архивировано 13 декабря 2020 года.
- ↑ 1 2 3 4 5 6 CDPH Health Alert: Vaping-Associated Pulmonary Injury. California Department of Public Health (27 августа 2019). Дата обращения: 5 января 2021. Архивировано 24 сентября 2019 года.
- ↑ 1 2 3 4 Lestari K. S., Humairo M. V., Agustina U. Formaldehyde Vapor Concentration in Electronic Cigarettes and Health Complaints of Electronic Cigarettes Smokers in Indonesia // Journal of Environmental and Public Health. — 2018. Архивировано 30 мая 2022 года.
- ↑ 1 2 3 4 5 Boland J. M., Aesif S. W. Vaping-Associated Lung Injury: Nonspecific Histopathologic Findings Necessitate a Clinical Diagnosis // American Journal of Clinical Pathology. — 2019. — С. 1—2. Архивировано 10 декабря 2021 года.
- ↑ 1 2 3 4 Three Companies Subpoenaed in Weed Vape Illness Investigation. RollingStone (10 сентября 2019). Дата обращения: 5 января 2021. Архивировано 26 января 2021 года.
- ↑ 1 2 3 Transcript of CDC Telebriefing: Update on Lung Injury Associated with E-cigarette Use, or Vaping. U.S. Department of Health & Human Services (9 ноября 2019). Дата обращения: 5 января 2021. Архивировано 18 марта 2021 года.
- ↑ 1 2 3 Overview. Centers for DIsease Control and Prevention (2020). Дата обращения: 5 января 2021. Архивировано 29 декабря 2020 года.
- ↑ 1 2 L. H. Sun. Contaminant found in marijuana vaping products linked to deadly lung illnesses, tests show. The Washington Post (16 сентября 2019). Дата обращения: 5 января 2021. Архивировано 3 января 2021 года.
- ↑ Wua W., O’Shea D. F. Potential for release of pulmonary toxic ketene from vaping pyrolysis of vitamin E acetate // PNAS. — 2020. — С. 6349—6355. Архивировано 18 июля 2022 года.
- ↑ Zawatsky C. N., Abdalla J., Cinar R. Synthetic cannabinoids induce acute lung inflammation via cannabinoid receptor 1 activation // ERJ. — 2020.
- ↑ 1 2 Sassano M. F. Evaluation of e-liquid toxicity using an open-source high-throughput screening assay // PLoS Biology. — 2018. Архивировано 26 декабря 2020 года.
- ↑ Zhao D., Aravindakshan A., Hilpert M., Olmedo P., Rule A. N., Navas-Acien A., Aherrera A. Metal/Metalloid Levels in Electronic Cigarette Liquids, Aerosols, and Human Biosamples: A Systematic Review // Environ Health Perspectives. — 2020. Архивировано 13 августа 2022 года.
- ↑ 1 2 3 4 5 6 7 Krishnasamy V. P., Hallowell B. D., Ko J. Y., et al. Update: Characteristics of a Nationwide Outbreak of E-cigarette, or Vaping, Product Use–Associated Lung Injury // MMWR Morb Mortal Wkly Report. — 2020. — С. 90—94. Архивировано 10 декабря 2021 года.
- ↑ 1 2 Layden J. E., Ghinai I., Pray I. et al. Pulmonary Illness Related to E-Cigarette Use in Illinois and Wisconsin — Final Report. — 2020. Архивировано 16 декабря 2021 года.
- ↑ 1 2 3 4 5 Outbreak of lung injury associated with e-cigarette use, or 'vaping'. U.S. Department of Health & Human Services (2020). Дата обращения: 5 января 2021. Архивировано 12 апреля 2021 года.
- ↑ Dr Evan Stepp: Patient Concern Over EVALI Appears to Have Faded. AJMC (20 октября 2021). Дата обращения: 5 января 2021. Архивировано 13 декабря 2021 года.
- ↑ E-cigarette or vaping product use associated lung injury (EVALI). — 2021. Архивировано 13 декабря 2021 года.
- ↑ 1 2 Болезнь вейперов: загадочная эпидемия косит любителей электронных сигарет. Комсомольская правда (19 сентября 2019). Дата обращения: 5 января 2021. Архивировано 28 октября 2020 года.
- ↑ 1 2 3 B. A. King, C. M. Jones, G. T. Baldwin, P. A. Briss,. The EVALI and Youth Vaping Epidemics — Implications for Public Health // The New England Journal of Medicine. — 2021. Архивировано 17 октября 2022 года.
- ↑ 1 2 Что известно об EVALI — «болезни вейперов», которую впервые зафиксировали в России Спойлер: очень мало. The Village (29 июня 2021). Дата обращения: 5 января 2021. Архивировано 29 июня 2021 года.
- ↑ R. Langreth. How Early Signs of Lung Effects of Vaping Were Missed and Downplayed. Wells Media Group (30 сентября 2019). Дата обращения: 5 января 2021. Архивировано 29 ноября 2020 года.
- ↑ Quebec resident confirmed as first Canadian case of vaping-related illness. CBC News (27 сентября 2019). Дата обращения: 5 января 2021. Архивировано 11 ноября 2020 года.
- ↑ Vaping-associated lung illness. Government of Canada (2020). Дата обращения: 5 января 2021. Архивировано 2 января 2021 года.
- ↑ Российские врачи рассказали о поражающей лёгкие болезни EVALI. Лента.ру (20 июня 2021). Дата обращения: 5 января 2021. Архивировано 20 июня 2021 года.
- ↑ Минпромторг не поддержал идею запрета вейпов и электронных сигарет. Forbes (28 июля 2022). Дата обращения: 4 апреля 2022. Архивировано 28 июля 2022 года.
- ↑ В Томске подростку поставили диагноз EVALI, или попкорновой болезни, BFM.ru (19 марта 2025). Дата обращения: 19 марта 2025.
- ↑ Новую болезнь вейперов EVALI выявили у подростка в Томске, Известия (19 марта 2025). Дата обращения: 19 марта 2025.
- ↑ 1 2 3 J. G. Schier, J. G. Meiman, J. Layden, C. A. Mikosz. Severe Pulmonary Disease Associated with Electronic-Cigarette–Product Use — Interim Guidance // MMWR. — 2019. Архивировано 31 марта 2022 года.
- ↑ S. Mukhopadhyay, M. Mehrad, P. Dammert,A. V. Arrossi, R. Sarda, D. S. Brenner, F. Maldonado, H. Choi, M. Ghobrial. Lung Biopsy Findings in Severe Pulmonary Illness Associated With E-Cigarette Use (Vaping): A Report of Eight Cases // American Journal of Clinical Pathology. — 2020. — С. 30—39. Архивировано 13 декабря 2021 года.
- ↑ M. M. Pitlick, D. K. Lang, Anne M.Meehan, C. P. McCoy. EVALI: A Mimicker of COVID-19 // Elsevier. — 2021. — С. 682—687. Архивировано 13 декабря 2021 года.
- ↑ Смерть на вдохе Сотни американцев страдают от загадочной болезни лёгких. Во всем винят вейпинг. Лента.ру (27 сентября 2019). Дата обращения: 5 января 2021. Архивировано 14 октября 2021 года.
Литература
- McCauley, L. An Unexpected Consequence of Electronic Cigarette Use : [англ.] / L. McCauley, C. Markin, D. Hosmer // Postgraduate Education Corner Pulmonary and Critical Care Pearls : журн. — 2012. — Vol. 141, no. 4. — P. 1110–1113. — doi:10.1378/chest.11-1334. — PMID 22474155.
- Huaa, M. Potential health effects of electronic cigarettes: A systematic review of case reports : [англ.] / M. Huaa, P. Talbotb // Preventive Medicine Reports : журн. — 2016. — Vol. 4. — P. 169–178. — doi:10.1016/j.pmedr.2016.06.002. — PMID 27413679. — PMC 4929082.
- Schier, J. G. Severe Pulmonary Disease Associated with Electronic-Cigarette–Product Use — Interim Guidance : [англ.] : [арх. 19 августа 2022] : weekly / J. G. Schier, J. G. Meiman, J. Layden … [et al.] // MMWR. — CDC, 2019. — Vol. 68, no. 36 (13 September). — P. 787–790.
- Siegel, D. A. Update: Interim Guidance for Health Care Providers Evaluating and Caring for Patients with Suspected E-cigarette, or Vaping, Product Use Associated Lung Injury — United States, October 2019 : [англ.] : [арх. 7 октября 2022] : weekly / D. A. Siegel, T. C. Jatlaoui, E. H. Koumans … [et al.] // MMWR. — CDC, 2019. — Vol. 68, no. 41 (18 October). — P. 919–927.
- Outbreak of Lung Injury Associated with the Use of E-Cigarette, or Vaping, Products : [англ.] : [арх. 14 декабря 2022] / Office on Smoking and Health, National Center for Chronic Disease Prevention and Health Promotion // CDC. — 2020. — 25 February.
- Васильева, А. Что такое «болезнь вейперов», откуда она взялась и чего мы о ней не знаем : [арх. 13 октября 2022] / А. Васильева, М. Акулова // N+1. — 2022. — 13 октября.
Ссылки
- Программа «Реальная стоимость» Управление по санитарному надзору за качеством пищевых продуктов и медикаментов США
- Руководство Центра по контролю и профилактике заболеваний о просвещении подростков об опасностях вейпинга
- Визуальное руководство об электронных сигаретах Центра по контролю и профилактике заболеваний