Ателектаз
Ателекта́з (от греч. ατελης — неоконченный, неполный и греч. εχτασις — растягивание) — спадение ткани лёгкого[1].
По распространённости различают тотальный, субтотальный и очаговый ателектаз.
По времени возникновения различают врождённый (первичный) и приобретённый (вторичный) ателектаз лёгких.
При первичном ателектазе у новорождённого после родов лёгкие полностью или частично не расправляются, просветы альвеол остаются спавшимися и в них не поступает воздух. Может быть обусловлено как закупоркой дыхательных путей слизью и аспирированными околоплодными водами, так и недостаточной выработкой поверхностноактивного вещества, поддерживающего в норме альвеолы в расправленном состоянии (сурфактанта).
Вторичные ателектазы развиваются уже в расправленных ранее и дышавших лёгких и могут быть обусловлены различными их заболеваниями (пневмония, опухоли, инфаркт лёгкого, эмпиема плевры, гидроторакс), травмами (пневмоторакс, гемоторакс), аспирацией инородных тел и пищевых масс, а также другими патологическими состояниями.
Что важно знать
Этиология
Ателектаз может также развиться вследствие сдавления лёгочной ткани извне массивным плевральным выпотом (компрессионный ателектаз). Причиной закупорки бронха могут быть опухоли, инородное тело, увеличенный лимфатический узел, а также вязкий секрет бронхов при пневмониях, бронхитах, бронхоэктазах. Возникновению ателектаза иногда способствует хирургическое вмешательство на органах брюшной полости, сопровождающееся нарушением вентиляции лёгких в связи с общим обезболиванием.
Патогенез
1. Обтурационный ателектаз — обусловлен полным или почти полным (дистелектаз) закрытием просвета бронха, возникает в случаях обтурации бронха инородным телом, вязкой мокротой, кровью, рвотными массами, опухолью.
2. Дистензионный (функциональный) ателектаз (ДА) — возникает вследствие нарушений условий расправления лёгкого на вдохе.
3. Компрессионный ателектаз («коллапс лёгкого») — вследствие сдавления лёгкого газом или жидкостью (экссудат, транссудат, кровь).
4. Смешанные ателектазы — возникают вследствие сочетания обтурации бронхов, компрессии и дистензии лёгочной ткани.
Клиника
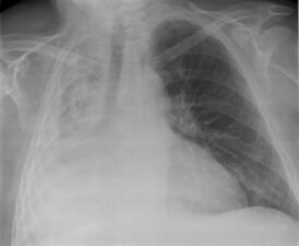
Достаточно часто у больных могут быть симптомы предшествующего поражения лёгких. При остро возникшем значительном ателектазе больные могут ощущать боль в грудной клетке, усиление одышки; при обследовании больного отмечают цианоз, некоторое отставание при дыхании поражённой половины грудной клетки, притупление перкуторного звука в соответствующем участке лёгкого, там же ослабление дыхания и голосового дрожания. Могут быть тахикардия, гипотония, при осложнении ателектаза инфекцией — повышение температуры. Однако часто при постепенном развитии ателектаза и небольших его размерах клинические симптомы могут быть выражены незначительно, и ателектаз диагностируется рентгенологически. При этом прозрачность поражённого участка лёгкого уменьшается, тень его часто имеет треугольную форму с верхушкой, обращённой в сторону корня лёгкого. При большом ателектазе может быть смещение органов средостения в поражённую сторону. Своеобразной формой ателектаза является так называемый синдром средней доли, обусловленный обтурацией крупного бронха увеличенным лимфатическим узлом. Чаще всего этот лимфатический узел оказывается поражённым вследствие перенесённого туберкулёза. Для уточнения причины ателектаза иногда приходится проводить томографию, бронхографию.
Диагностика
- Анализ анамнеза заболевания и жалоб (когда появилась одышка, боль в грудной клетке на стороне поражённого лёгкого, учащение пульса; с чем пациент связывает возникновение этих симптомов).
- Анализ анамнеза жизни (какие заболевания были у пациента, перенёс ли он какие-либо операции).
- Рентгенография органов грудной клетки, которая позволяет определить безвоздушный участок лёгкого.
- Компьютерная томография, позволяющая более детально оценить нарушение воздушности лёгочной ткани.
- Общий осмотр – осматриваются кожные покровы, измеряется артериальное давление и частота пульса, с помощью фонендоскопа выслушиваются лёгкие.
Лечение
В качестве стимулятора дыхания при ателектазе может применяться этимизол. Для очистки слизистых пробок применяют пульмозим (дорназа альфа). При ателектазе предусматривают своевременное применение антибиотиков в связи с частым присоединением инфекции. Особенно важна профилактика ателектаза у больных, перенёсших операцию: заставляют больного глубоко дышать, активно откашливать мокроту, для чего назначают отхаркивающие и разжижающие мокроту средства.


