Бериллиоз
Бериллио́з — профессиональное заболевание; воспаление соединительной ткани лёгких, вызванное вдыханием пыли или паров, которые содержат бериллий. Бериллиозу в основном подвержены работники космической промышленности. Наиболее токсичными соединениями бериллия являются фтороксид, фторид и хлорид бериллия[2][3].
Индекс по МКБ-10: J63.2 Бериллиоз.
Воздействие бериллия может происходить во многих отраслях промышленности, включая добычу и извлечение бериллия, производство сплавов, обработку металлических сплавов, электронику, телекоммуникации, производство ядерного оружия и оборонную промышленность, аэрокосмическую промышленность, а также рекультивацию и переработку металлов[4]. Для получения бериллиевых сплавов небольшое количество бериллия может также быть добавлено к меди, алюминию, никелю и другим металлам. Учитывая, что бериллий является сенсибилизатором, воздействие его относительно небольшого уровня может вызвать заболевание у лиц, предрасположенных к данной патологии[5].
Высокая токсичность бериллия и его малорастворимых соединений — Be, BeO, Be(OH)2 обусловливает возможность случаев отравления им или его солями, например, при извлечении бериллия из руд, при получении сплавов, керамических изделий, при изготовлении рентгеновских трубок, флюоресцентных и неоновых ламп и т. д[6].
Бериллиоз может проявиться спустя несколько месяцев или даже лет после прекращения работы с соединениями бериллия. Чем короче латентный период, тем тяжелее течение бериллиоза и выше смертность больных[6].
Бериллий и его соединения оказывают поливалентное действие: раздражающее, общетоксическое, аллергическое, канцерогенное. Особенно стоит выделить способность соединений бериллия вызывать неспецифические аллергические реакции. Согласно иммунологической концепции бериллиоза, бериллий образует с белками плазмы и тканей преципитаты (комплексы бериллий-белок), которые в силу своих антигенных свойств приводят к развитию в тканях организма (преимущественно — в лёгких) гиперергических реакций замедленного типа.
Следствием гиперергической реакции является формирование характерного альвеолярно-капиллярного блока: утолщение межальвеолярных перегородок вследствие их отёка и инфильтрации мононуклеарами ведёт к нарушению газообмена.
Чаще всего бериллиоз развивается у рабочих при плавлении бериллия, при производстве сплавов и люминесцентных ламп и т. д. Ускоряют развитие или вызывают обострение болезни сопутствующие заболевания, хирургические вмешательства, беременность и др[6].
Что важно знать
Симптомы
Картина отравления бериллием и его соединениями зависит от степени их дисперсности: пары и дымы более ядовиты и ведут к поражениям глубоких отделов дыхательных путей. По мнению некоторых исследователей, соединения бериллия нарушают проницаемость клеток, вызывая отёк последних. Затем развивается некроз клеток с последующим разрастанием соединительнотканных элементов[6].
Основным путём проникновения бериллия и его соединений являются органы дыхания; депонируется бериллий в костях, лёгких, лимфатических узлах, печени, сердечной мышце и др. Выделение бериллия из организма происходит через кишечник, в меньшей степени через почки[6].
Острые формы отравления бериллием наблюдаются при вдыхании BeCl2, BeF2, BeS04, Be(NO3)2, фторокиси бериллия[6].
В ряде случаев острая интоксикация проявляется в виде заболевания типа литейной лихорадки, в других случаях — в виде резкого раздражения слизистых оболочек дыхательных путей, конъюнктивы глаз. У больных наблюдаются ларингит, трахеит, а также бронхобронхиолит, которые протекают с высокой температурой и дыхательной недостаточностью. Нередко острый бронхобронхиолит сопровождается бронхоспазмом[6].
Клинические симптомы отравления стихают через 2—3 недели (иногда 2—3 месяца). Тяжесть клинического течения при отравлении фторидом бериллия (BeF2) объясняют поражением не только слизистой оболочки бронхов и бронхиол, но и всей бронхиальной стенки с сопутствующим поражением перибронхиальной ткани. При повторной интоксикации заболевание протекает в более тяжёлой форме. Наиболее частым осложнением является пневмония[6].
Отдалёнными последствиями острого отравления являются развитие хронического токсического бронхита, пневмосклероза и бронхоэктазов[6].
Обычно бериллиоз развивается постепенно; первые симптомы могут проявиться через 10-20 лет после контакта с бериллием.
Наблюдается общая слабость, потеря веса, одышка, кашель (вначале сухой, в последующем влажный), боли в грудной клетке. Уже в начальных стадиях бериллиоза наблюдаются нарушения сердечной деятельности, развивается лёгочное сердце, происходит дистрофия миокарда и т. д. Рентгенологически выявляются две основные формы бериллиоза: 1) интерстициальная — характеризуется более лёгким течением и относительно менее выраженным прогрессированием патологического процесса; 2) гранулёматозная — характеризуется более тяжёлой клинической симптоматикой и более быстрым прогрессированием. В начальных фазах развития множественные клеточные гранулёмы в лёгких имеют небольшие размеры; они выявляются лишь на первично увеличенных рентгенограммах. В выраженных случаях появляются более крупные тени и отчётливо выявляемая перинодулярная эмфизема. По мере прогрессирования процесса на фоне этих изменений появляются грубые цирротические поля, перемежающиеся с крупнобуллезной эмфиземой. На рентгенограммах обнаруживаются плевральные сращения, в корнях лёгких нередко выявляются гиперплазированные лимфатические узлы[6].
Согласно существующей рабочей классификации, бериллиоз делится на три стадии: I, II и III. В основу указанного деления наряду с характерными рентгено-морфологическими проявлениями положены преимущественно данные общеклинических исследований (см. Пневмокониоз)[6].
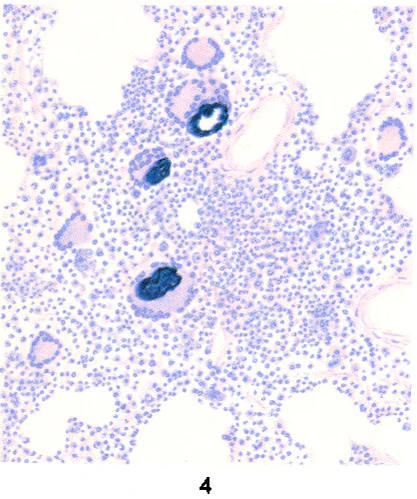
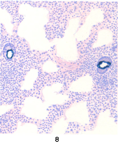
При бериллиозе морфологические изменения характеризуются диффузным поражением обоих лёгких и плевры, распространённым гранулёматозом и хроническим межуточным (синоним «промежуточный») пролиферативным процессом, локализующимся в перегородках альвеол, под плеврой, перибронхиально, периваскулярно. Гранулёмы — серовато-белого цвета, плотной консистенции, размером от 0,2 до 1,5 см. Гранулёма состоит в основном из гистиоцитов, эпителиоидных клеток с примесью (главным образом по периферии) лимфоидных, плазматических и гигантских клеток типа клеток инородных тел (цветн. рис. 4—9). Гигантские клетки содержат кристаллические образования. В дальнейшем происходит созревание клеток гранулёмы с появлением в ней фибробластов. Фибробласты начинают продуцировать коллагеновые волокна, и процесс завершается развитием на месте гранулёмы соединительнотканного узелка, который нередко подвергается гиалинозу. В гранулёмах обнаруживают типичные для Б. конхоидальные (раковинообразные) тельца диаметром от 2,5 до 10 мкм, которые могут образовывать скопления диаметром до 190 мкм. Иногда они располагаются в многоядерных гигантских клетках. Конхоидальные тельца окрашиваются гематоксилином в синий, сине-фиолетовый цвет, иногда дают положительную реакцию на железо, имеют вид флюоресцирующих голубоватых зёрен при освещении ультрафиолетовыми лучами. Наряду с гранулёматозом в межальвеолярных перегородках наблюдается диффузный пролиферативный процесс с наличием гистиоцитов, лимфоидных, плазматических клеток, фибробластов, заканчивающийся диффузным пневмосклерозом. Наблюдается бронхит, возможно развитие бронхоэктазов. Встречаются участки ателектаза и эмфиземы. В кровеносных сосудах могут иметь место эндартериит, эндофлебит, тромбозы. Описанные изменения в лёгких обычно приводят к развитию лёгочного сердца[6].
Гранулёмы были найдены также в печени, селезёнке, почках, скелетных мышцах, миокарде, плевре, лимфатических узлах, главных бронхах и костном мозге. Возможно развитие гранулём в коже и подкожной клетчатке при проникновении бериллия через повреждённый покров[6].
Острый бериллиоз
У некоторых людей болезнь развивается внезапно, обычно в форме воспаления соединительной ткани лёгких (пневмонита). При остром бериллиозе начинаются кашель, затруднение и уменьшение глубины дыхания, боль в области груди, потеря веса. Могут поражаться глаза и кожа.
При остром отравлении выделяют несколько синдромов: вследствие раздражающих свойств соединений бериллия развиваются поражения верхних дыхательных путей (ринит, фарингит, трахеит), самостоятельно исчезающие через 24-48 часов после устранения контакта с бериллием даже при отсутствии лечения. Другим возможным синдромом является острый трахеобронхит, характеризующийся сухим кашлем, одышкой при физической нагрузке, болями за грудиной. На рентгенограмме при этом обнаруживается усиление бронхососудистого рисунка. При поражении нижних отделов дыхательных путей развиваются бронхо-бронхиолит и бериллиевая пневмония. Пациенты жалуются на одышку, кашель со скудной мокротой, затруднённое дыхание, неясные боли в грудной клетке. В лёгких выслушиваются влажные хрипы. Бериллиевая пневмония может начаться сразу остро, без предвестников, либо присоединиться к раздражению верхних дыхательных путей, бронхиту или трахеобронхиту. Заболевание проявляется кашлем с мокротой, резкой одышкой, цианозом, общей слабостью и повышенной утомляемостью. Рентгенологически выявляется эмфизематозность лёгочных полей, размытость лёгочного рисунка. Возможно развитие острого интерстициального миокардита, что на ЭКГ проявляется снижением вольтажа и инверсией зубца Т в стандартных и грудных отведениях. Острое отравление, протекающее по типу бронхиолита и пневмонии, продолжается 2-3 месяца, затем клинические проявления бронхиолита исчезают, самочувствие больных улучшается, температура тела и рентгенологическая картина нормализуются.
Хронический бериллиоз
При хронической форме в лёгких начинается рост патологической ткани, лимфатические узлы увеличиваются, кашель и одышка развиваются постепенно.
Хронический бериллиоз продолжает встречаться в отраслях промышленности, где используется сам бериллий и его сплавы[7]. Заболевание отличается от большинства пневмокониозов, поскольку является клеточной реакцией гиперчувствительности. Т-клетки сенсибилизируются к бериллию и затем при его повторном воздействии пролиферируют. Это приводит к высвобождению провоспалительных цитокинов (таких как фактор некроза опухоли-альфа, интерлейкин-2 и гамма-интерферон) и гранулематозному воспалению. Пролиферация Т-клеток из лёгких или крови при воздействии бериллия in vitro лежит в основе теста пролиферации лимфоцитов с бериллием [BeLPT], который используется в клинической практике для определения иммунной сенсибилизации к бериллию[6].
В зависимости от рентгенологической картины, выделяют две морфологические формы: гранулёматозную и интерстициальную. Больные могут значительно терять в весе (на 8-10 кг), иметь чугунный оттенок лица. Лихорадка, рвота, лимфаденопатия. При перкуссии определяются эмфизематозные изменения в лёгких (коробочный звук), аускультативно — влажные хрипы. Так же, вследствие развития гипертензии в малом круге кровообращения, возможно появление признаков лёгочного сердца и правожелудочковая недостаточность. В зависимости от тяжести хронического бериллиоза выделяют три стадии.
- На I стадии отмечают мелкие узелки в лёгких.
- На II — более чёткие узелки на фоне диффузного склероза.
- На III — увеличенные отдельные узелки, диффузный фиброз, экзематозные изменения и признаки лёгочного сердца.
Диагностика
Основывается на выяснении, контактировал ли больной с бериллием или нет, симптомах, характерных изменениях на рентгеновских снимках грудной клетки[8]. Однако рентгенологическая картина бериллиоза весьма схожа с таковой при другой болезни, саркоидозе. Поэтому могут быть необходимы дополнительные исследования, в том числе иммунологические, например кожная аллергическая проба Куртиса.
Кожная аллергическая проба Куртиса производится с помощью накожных аппликаций растворимых солей бериллия (обычно 1-2 % раствора сульфата или нитрата бериллия). В случае сенсибилизации организма к бериллию на месте аппликации развивается кожная экзематозная и воспалительная реакция. При положительной пробе на коже появляются эритема, заметная инфильтрация и шелушение. Проба Куртиса достаточно специфична, однако в ряде случаев при относительно доброкачественной форме она может быть отрицательной.
В наиболее сложных случаях показана биопсия лёгкого с целью гистологического исследования биоптата на наличие бериллия в гранулёме.
Диагноз хронического бериллиоза обычно ставится на основании:
- Рентгенография грудной клетки или КТ
- При гиперчувствительности к бериллию, которую устанавливают с помощью теста пролиферации лимфоцитов с бериллием (BeLPT), используются клетки периферической крови или бронхоальвеолярного смыва
- Биопсии лёгких для подтверждения гранулёматозного воспаления[5]
Рентгенограмма грудной клетки может быть нормальной или показывать диффузные инфильтраты, которые могут быть узловыми, сетчатыми или иметь вид «матового стекла» в верхних зонах лёгких, часто с прикорневой и медиастинальной аденопатией, напоминающей картину, наблюдаемую при саркоидозе. КТ высокого разрешения более чувствительна, чем рентгенография, хотя случаи доказанного биопсией заболевания встречаются даже при отсутствии изменений при проведении визуализационных методов обследования[5].
Как и при саркоидозе, результаты исследования функции лёгких вариабельны и могут показать рестриктивные нарушения и уменьшение диффузионной способности лёгких по монооксиду углерода (DLCO) и/или обструкцию[5].
Тест BeLPT, в котором лимфоциты, полученные из образца крови или бронхоальвеолярной промывной жидкости, культивируются с сульфатом бериллия, используется для выявления иммунной сенсибилизации к бериллию. BeLPT рекомендуется проводить во всех случаях подозрения на бериллиоз. Он также используется для выявления сенсибилизации у рабочих, подвергающихся воздействию бериллия[5].
Постановка диагноза бериллиоза может быть сложной, поскольку BeLPT имеет свои ограничения и не настолько широко доступен, а образцы лёгочной ткани не всегда могут быть получены. Однако диагноз вероятного бериллиоза может быть поставлен с помощью различных комбинаций диагностических показателей, включая наличие в анамнезе воздействия пыли или паров, содержащих бериллий, визуализирующие исследование органов грудной клетки с признаками, соответствующими саркоидозу, аномальные результаты исследования функции лёгких, аномальные результаты BeLPT теста, лимфоцитоз жидкости бронхоальвеолярного лаважа (жБАЛ) и признаки гранулёматозного воспаления при биопсии лёгких. Следует отметить, что некоторые полученные данные, такие как патологический BeLPT тест, дают большую диагностическую достоверность, чем другие исследования, как например, неспецифические рентгенографические изменения[5].
Прогноз
Острый бериллиоз может протекать достаточно тяжело и в некоторых случаях даже приводить к смерти. Однако большинство пациентов постепенно выздоравливает, хотя поначалу пребывают в тяжёлом состоянии, так как лёгкие теряют эластичность. При правильном лечении, в частности, при подключении к аппарату искусственной вентиляции лёгких и назначении кортикостероидов, больные обычно выздоравливают на 10-12 день без последствий.
Если лёгкие значительно повреждены хроническим бериллиозом, возрастает нагрузка на сердце, и создаются условия для развития сердечной недостаточности.
Лечение
Лечение больных при острой интоксикации растворимыми соединениями бериллия проводится по общим принципам профессиональных отравлений: этиологическому, патогенетическому и симптоматическому. Прежде всего необходимо возможно более быстрое прекращение дальнейшего контакта с патогенным агентом: удаляют пострадавшего из загазованного помещения, снимают загрязнённую одежду, удаляют токсическое вещество с кожных покровов. При легко выраженных интоксикациях, развитие которых обусловлено прямым раздражающим действием растворимых соединений бериллия (хлористые, сернокислые, фтористые и др.) в отношении слизистых оболочек, конъюнктивы, дыхательных путей, целесообразно назначение аэрозольтерапии в виде щелочных ингаляций (2 % раствор бикарбоната натрия) ежедневно в течение 10—15 дней, промывание конъюнктив 2 % раствором бикарбоната натрия с последующим закапыванием в глаза 10 % раствора сульфацила натрия; симптоматическая терапия (противокашлевые средства, спазмолитики). При острых интоксикациях средней и тяжёлой степени (капиллярный бронхит, бронхиолит) рекомендуются ингаляции карбогена; назначение лекарственных препаратов бронхолитического и противовоспалительного действия (эуфиллин, аминофиллин, синтофиллин), антибактериальных средств (антибиотики и сульфаниламиды), антигистаминных препаратов. В случаях неэффективности различных бронхо-спазмолитиков при выраженных явлениях бронхоспазма рекомендуется применение средств, действующих на воспалительный компонент патологического процесса. Лучшими препаратами являются кортикостероиды (30—40 мг преднизолона в сутки в виде коротких курсов по 15—20 дней с постепенным снижением до минимальных доз)[5].
Во всех случаях острой интоксикации лечение должно быть комплексным, необходимо в каждом отдельном случае строго индивидуально использовать сочетание тех или иных лекарственных препаратов. Также индивидуально следует решать вопрос и о дозировке препаратов и методе их введения. По ликвидации симптомов интоксикации рекомендуется санитарно-курортное лечение (средняя полоса, южный берег Крыма)[5].
Для лечения гранулёматозной формы бериллиоза, как и для лечения диффузных болезней соединительной ткани, широко применяются кортикостероиды. Лечение рекомендуется проводить курсами. Длительность одного курса 30—60 дней. Обычно проводится два курса в год. Назначаются средние терапевтические дозы. Наряду с кортикостероидами можно применять и цитостатические иммунодепрессанты (азотионрин и др.)[5].
Для ликвидации раздражения верхних дыхательных путей применяют тёплые щелочные ингаляции. В нос закапывают раствор эфедрина. При развитии острого бронхо-бронхиолита и пневмонита показаны сердечные гликозиды, эуфиллин, мочегонные и глюкокортикоидные средства. При отсутствии эффекта — искусственная вентиляция лёгких. Для лечения хронического бериллиоза широко применяются кортикостероидные гормоны. При тяжёлом течении заболевания терапию начинают с 30-40 мг и более преднизолона в сутки, в дальнейшем постепенно снижая дозу до поддерживающей (5-10 мг в сутки). Так же широко используют антигистаминные препараты, отхаркивающие средства, бронхолитики и оксигенотерапию.
Профилактика
Профилактика должна быть направлена в первую очередь на герметизацию производственных процессов, правильную организацию системы вентиляции производственных помещений и очистку вентиляционных выбросов, применение средств индивидуальной защиты (спецодежда, респираторы и др.), предварительные осмотры лиц, поступающих на работу, и периодические медосмотры рабочих[6].
Предприятия, использующие бериллийсодержащую продукцию, должны внедрить программу контроля для того, чтобы свести к минимуму воздействие бериллия. Допустимый предел воздействия (ДПВ) бериллия — на уровне 0,2 микрограмма на кубический метр воздуха в среднем за 8 часов (см. Стандарты OSHA по бериллию). Ожидается, что этот стандарт уменьшит количество случаев заболевания, но не полностью устранит хронический бериллиоз, поскольку заболевание всё ещё может развиваться и при уровнях воздействия бериллия ниже стандарта OSHA. Необходимо также постараться свести к минимуму воздействие химического агента на кожу, учитывая возможность развития сенсибилизации организма при его контакте с кожей[5].
Медицинское наблюдение, включая анализ крови на BeLPT и функциональные тесты лёгких, рекомендуется для рабочих, подвергшихся воздействию химического вещества. Рабочие с положительным результатом BeLPT должны пройти дальнейшее обследование — КТ органов грудной клетки и, возможно, бронхоскопию, чтобы определить, есть ли у них хронический бериллиоз[5].
При диагностировании бериллиоза независимо от тяжести заболевания дальнейший контакт с бериллием должен быть немедленно прекращён (решение вопросов экспертизы трудоспособности проводится дифференцированно с учётом особенностей реакции организма и санитарно-гигиенических условии труда)[6].
Положительная кожная проба с солями бериллия, указывающая на сенсибилизацию организма, является также противопоказанием к продолжению контакта с бериллием. Не рекомендуется дальнейший контакт с бериллием и его соединениями после перенесённой острой интоксикации этими веществами даже при полном выздоровлении, так как возможна сенсибилизация к указанным веществам[6].
Примечания
Литература
- Бериллиоз, под ред. К. П. Молокано-ва и др., М., 1972 ;
- Войнар А. И. Биологическая роль микроэлементов в организме животных и человека, М., 1960;
- Гельфон И. А. и Орлова А. А. Некоторые клинико-биохимические параллели при бериллиозе, Клин, мед., т. 47, № 6, с. 73, 1969;
- Дарвин Дж. и Баддери Дж. Бериллий, пер. с англ., М., 1962, библиогр.;
- Движков П. П. Пневмокониозы, М., 1965;
- Израэльсом 3. И., Могилевская О. Я. и Суворов С. В. Вопросы гигиены труда и профессиональной патологии при работе с редкими металлами, с. 78, М., 1973;
- Орлова А. А. Современное состояние вопроса о лечении бериллиоза, там же, т. 48, Л" 3, с. 140, 1970;
- Орлова А. А. и Розенберг П. А. Состояние окислительных процессов при выраженных формах бериллиоза, Гиг. труда и проф. заболев., № 4, с. 22, 1969;
- Розенберг П. А. Количественное определение бериллия в биологических средах, Лабо-рат. дело, № 4, с. 11, 1963;
- Уайт Д. и Берк Дж. Бериллий, пер. с англ., М., 1960, библиогр.;
- Шуберт Дж. Некоторые новые сведения по химии и биохимии бериллия, Усп. хим., т. 30, в. 4, с. 550, 1961;
- Эверест Д. А. Химия бериллия, пер. с англ., М., 1968, библиогр. Профессиональные вредности — Акопов И. А. и др. Безопасность труда при работе с бериллием и его сплавами, М., 1964;
- Andrews J.M., К a z е-ш i H. а. H а г d у H. L. Patterns of lung dysfunction in chronic beryllium disease, Amer. Rev. resp. Dis., v. 100, p. 791, 1969;
- Chiappino G., Cirla A. a. Vigliani E. C. Delayed-type hypersensitivity reactions to beryllium compounds, Arch. Path., v. 87, p. 131, 1969;
- Lie ben J. a. Williams R. R. Respiratory disease associated with beryllium refining and alloy fabrication, J. occup. Med., v. 11, p. 480, 1969.
- MacMurdo MG, Mroz MM, Culver DA, Dweik RA, Maier LA. Chronic Beryllium Disease: Update on a Moving Target. Chest 2020;158(6):2458-2466. doi:10.1016/j.chest.2020.07.074
- Balmes JR, Abraham JL, Dweik RA, et al. An official American Thoracic Society statement: diagnosis and management of beryllium sensitivity and chronic beryllium disease. Am J Respir Crit Care Med 2014;190(10): e34-e59. doi:10.1164/rccm.201409-1722ST


