Аденома сальных желёз
Адено́ма са́льных желёз (адено́ма себоце́йная, адено́ма себоре́йная) — доброкачественная опухоль кожи, которая развивается из железистого или протокового эпителия сальных желёз и, как правило, характеризуется медленным ростом. Обычно выглядит как розовая, цвета кожных покровов, либо желтоватая папула или узелок. Этиология и патогенез точно неизвестны. Диагноз устанавливается на основании клинической картины и данных гистологического исследования. Основным методом лечения аденомы сальных желёз является хирургическое удаление опухоли[1][2].
Общие сведения
| Аденома сальных желёз | |
|---|---|
| МКБ-11 | 2F22 |
| МКБ-10 | D23.9 |
| MedlinePlus | 002292 |
История
Аденому сальных желёз впервые описал Е. Бок в 1880 году. В дальнейшем аденому сальных желёз описывали К. Рейтман в 1909 году, П. Массон и И. Гери в 1922 году. В России одним из первых подробную клиническую и морфологическую характеристику опухоли дал А. К. Апатенко[1].
Классификация
Варианты аденомы сальных желёз на основании морфологических особенностей[2]:
- старческий вариант — чаще выявляется у людей старше шестидесяти лет;
- кистозный вариант — проявляется множественными мелкими узелками, имеющими различную окраску;
- симметричный вариант — отличительной особенность является достаточно быстро увеличивающиеся в размерах и сливающиеся между собой опухоли.
Этиология
Точные причины возникновения аденомы сальной железы в настоящее время не установлены. Заболевание может развиваться спорадически или на фоне предшествующих изменений сальных желёз. Описаны случаи возникновения аденомы на фоне невуса сальных желёз[1].
К возможным предрасполагающим факторам относят детский и пожилой возраст, наследственную предрасположенность, хронические воспалительные процессы со стороны пищеварительного тракта, а также заболевания сальных желёз, в частности себорею, связанную с гормональными и метаболическими нарушениями. В отдельных наблюдениях развитие новообразования связывали с воздействием низких температур, включая местное и общее переохлаждение[2].
Особое клиническое значение имеет ассоциация аденомы сальных желёз с синдромом Мьюира — Торре. В рамках данного синдрома себорейная аденома является наиболее частым проявлением поражения сальных желёз[3].
Патогенез
Аденома сальной железы развивается в результате доброкачественной пролиферации клеток железистого эпителия с выраженной сальной дифференцировкой. Источником опухолевого роста считаются зародышевые клетки сальной железы, анатомически и онтогенетически связанные с волосяным фолликулом. Это объясняет морфологическое и иммуногистохимическое сходство сальных и волосяных новообразований[2][3].
В спорадических случаях патогенез чаще связывают с нарушениями сигнального пути Wnt/бета-катенина, а также мутациями гена LEF1, регулирующего клеточную дифференцировку[3].
В рамках синдрома Мьюира — Торре патогенез обусловлен мутациями генов системы репарации ошибочно спаренных нуклеотидов ДНК, включая MSH2, MSH6, MLH1 и PMS2. Нарушение репарации приводит к микросателлитной нестабильности и формированию сальных опухолей, нередко в сочетании со злокачественными новообразованиями внутренних органов[3].
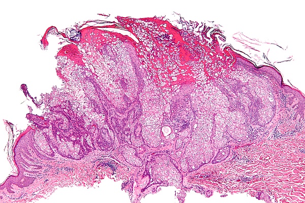
При гистологическом исследовании выявляется, что опухоль располагается в дерме и состоит из множества долек различной величины и формы, часто очень крупных, особенно в центральных отделах. Дольки отграничены друг от друга тонкими прослойками соединительной ткани и состоят из клеток двух типов — ростковых и зрелых клеток сальной железы. Ростковые клетки имеют маленький размер с округлым или овальным ядром и скудной базофильной цитоплазмой без признаков жира. Зрелые клетки имеют крупный размер, полигональной формы, с чёткими границами, округлым светлым ядром и пенистой цитоплазмой, содержащей жир. Между этими клетками имеются переходные формы[1]. Признаки атипии или инвазивный рост отсутствуют[2].
Эпидемиология
Точная частота возникновения аденомы сальных желёз неизвестна. Заболевание рассматривается как редкое новообразование кожи[3]. Аденома сальных желёз возникает чаще в возрасте 60—74 лет, при этом случаи в молодом и детском возрасте описываются крайне редко[1]. Заболевание встречается у мужчин и женщин с одинаковой частотой[3].
Диагностика
Диагноз устанавливается на основании клинической картины и данных гистологического исследования[1].
Аденома сальной железы обычно проявляется в виде одиночного опухолевидного элемента округлой формы с гладкой поверхностью. Цвет новообразования варьирует от желтоватого до розового, коричневого или цвета кожи. Размеры аденом варьируют от менее 1 см (обычно 2-4 мм) до более 5 см в диаметре. Рост, как правило, медленный, субъективные симптомы отсутствуют. Поверхность может быть блестящей, покрываться коркой или иметь центральное углубление. При травматизации могут возникать кровотечения, изъязвления и боль[3][4].
Наиболее типичная локализация включает кожу лица и волосистой части головы. Реже поражаются шея, туловище и другие участки кожи. Описаны единичные случаи локализации на веках, конъюнктиве, роговице и слизистой оболочке полости рта[3].
Выделяют несколько клинических вариантов аденомы сальной железы. Старческий вариант представлен одиночным плотным узлом округлой формы, чаще выявляемым у лиц пожилого возраста и локализующимся преимущественно в области лица. Кистозный вариант характеризуется наличием множественных мелких плотных узелков размером от 2 до 5 мм, не склонных к слиянию и имеющих окраску от розоватой до желтоватой. Сами узелки имеют плотную и блестящую поверхность. Данный вариант наиболее характерен для детей. Симметричный вариант проявляется возникновением нескольких плотных новообразований, возвышающихся над поверхностью кожи, склонных к быстрому увеличению размеров и слиянию между собой. Окраска таких элементов чаще соответствует цвету окружающей кожи или имеет розовый оттенок[2].
При синдроме Мьюира — Торре клиническая картина отличается множественным характером поражений. Отмечается появление многочисленных папул и узелков диаметром обычно от 5 до 10 мм, количество может доходить до ста и более штук[1][2].
- Гистологические исследование аденомы сальных желёз[3].
Дифференциальная диагностика
Дифференциальная диагностика проводится со следующими заболеваниями:
- базальноклеточный рак кожи;
- себорейная карцинома;
- невус сальных желёз;
- гиперплазия сальных желёз;
- себоматрикома[3];
- себацеома;
- трихобластома;
- меланома баллонных клеток[5].
Осложнения
При травматизации аденомы сальных желёз могут возникать кровотечение, изъязвление и болезненность. При синдроме Мьюира — Торре аденомы сальных желёз сочетаются с повышенным риском развития внутренних злокачественных новообразований. Наиболее часто выявляются опухоли толстой кишки и органов мочеполовой системы. Реже описываются злокачественные новообразования других отделов желудочно кишечного тракта, молочной железы, гортани и системы кроветворения[4].
Лечение
Основным методом лечения аденомы сальных желёз является хирургическое удаление опухоли. При небольших размерах образования применяются локальные деструктивные методы, включая криодеструкцию, электрокоагуляцию и лазерную коагуляцию. Наиболее предпочтительным методом считается углекислотная лазерная коагуляция, поскольку она обеспечивает хороший косметический результат и минимальный риск рубцевания. В ряде случаев проводится хирургическое иссечение опухоли с полным удалением изменённых тканей[2].
При синдроме Мьюира — Торре в качестве системной терапии может применяться изотретионин, который используется для уменьшения числа новых кожных поражений. Крупные опухоли удаляются методом хирургического иссечения, тогда как мелкие образования могут быть устранены с помощью диатермокоагуляции или лазерного воздействия[1].
В отдельных случаях описано применение местной фотодинамической терапии при одиночных поражениях[4].
Прогноз
Аденома сальных желёз является доброкачественным новообразованием. При одиночных опухолях прогноз благоприятный. При множественных себорейных аденомах, ассоциированных с синдромом Мьюира — Торре, существует риск развития злокачественных новообразований[3]
Диспансерное наблюдение
Наблюдение у врача-дерматовенеролога и врача-онколога.
Профилактика
Специфических мер профилактики не разработано. Для профилактики развития данного патологического процесса рекомендуется заниматься лечением себореи, своевременно устранять проблемы со стороны желудочно-кишечного тракта, а также избегать переохлаждения организма[2].