Шок
Шок (от фр. choc — удар, толчок[1][2]) — патологический процесс, развивающийся в ответ на воздействие чрезвычайных раздражителей и сопровождающийся прогрессивным нарушением жизненно важных функций систем нервной, кровообращения, дыхательной, обмена веществ и некоторых других функций, в основе патомеханизма которого лежит нарушение гемодинамики, в первую очередь микроциркуляции, с развитием гипоксии тканей. По сути, это срыв нейрогуморальной регуляции и компенсаторных реакций организма в ответ на экстремальное повреждение, при дальнейшем критическом ухудшении адаптационного синдрома при стрессе.
Что важно знать
История
Состояние шока было впервые описано античным врачом Гиппократом. Впервые термин «шок» был применён в 1737 г. Ле Драном. В конце XIX века стали предлагаться возможные механизмы развития патогенеза шока, среди них наиболее популярными стали следующие концепции:
- паралич нервов, иннервирующих сосуды;
- истощение сосудодвигательного центра;
- нервно-кинетические расстройства;
- токсемия;
- нарушение функции эндокринных желез;
- уменьшение объёма циркулирующей крови (ОЦК);
- капиллярный стаз с нарушением проницаемости сосудов.
Патогенез шока
С современной точки зрения шок развивается в соответствии с теорией стресса Г. Селье. Согласно этой теории, чрезмерное воздействие на организм вызывает в нём специфические и неспецифические реакции. Первые зависят от характера воздействия на организм. Вторые — только от силы воздействия. Неспецифические реакции при воздействиях сверхсильного раздражителя получили название общего адаптационного синдрома. Общий адаптационный синдром протекает всегда однотипно, в три стадии:
- стадия компенсированная (обратимая): перфузия к жизненным органам, таким как мозг, сердце, поддерживается компенсационными физиологическими процессами;
- стадия декомпенсированная (частично обратимая, характеризуется общим снижением резистентности организма и даже гибелью организма): нарушение перфузии к жизненно важным органам;
- стадия терминальная (необратимая, когда никакие терапевтические воздействия не могут препятствовать летальному исходу).
Таким образом, шок, по Селье, является проявлением неспецифической реакции организма на чрезмерное воздействие.
Н. И. Пирогов в середине XIX века определил в патогенезе шока понятия эректильной (возбуждение) и торпидной (вялость, оцепенение) фаз.
Шок происходит при нарушении снабжения кислородом органов. При уменьшении сердечного выброса происходит уменьшение перфузии к органам. Организм взрослого компенсирует это состояние преимущественно уменьшением системного сосудистого сопротивления, увеличением сокращаемости сердца, увеличением частоты сердечных сокращений, централизацией кровообращения. Организм ребёнка компенсирует это состояние прежде всего увеличением частоты сердечных сокращений и вазоконстрикцией (сужением кровеносных сосудов). Вазоконстрикция у детей обуславливает то, что гипотензия становится поздним признаком шока[3].
Постановка диагноза
Диагноз «шок» ставят при наличии у больного следующих признаков шока:
- снижение артериального давления и тахикардия (при торпидной фазе);
- беспокойство (эректильная фаза по Пирогову) или затемнение сознания (торпидная фаза по Пирогову);
- нарушение дыхания;
- уменьшение объёма выделяемой мочи;
- холодная, влажная кожа с бледно-цианотичной или мраморной окраской;
- замедление наполнения капилляров.
Рвота с диареей или без неё, уменьшенный пероральный приём внутрь, уменьшенный диурез, особенно у детей свидетельствует об опасности гиповолемического шока. Травмы могут вести к геморрагическому шоку. Лихорадочное состояние, заторможенность или раздражимость, в некоторых случаях высыпания может свидетельствовать о септическом шоке. У детей с аспленией, серповидно-клеточной болезнью, с постоянным катетером, со сниженной иммунной реакцией существует повышенный риск сепсиса. Дети, у которых существует риск кардиогенного шока, характеризуются аускультативным шумом, недостаточным питанием, потением, цианозом, тахипноэ, диспноэ в более позднем возрасте сердцебиением.
Брадикардия является поздним угрожающим симптомом в шоковом состоянии — результатом гипоксемии. Гипотензия также является поздним симптомом. Следует учитывать, что нормальный уровень сердечного ритма и кровяного давления зависит от возраста. Нижний порог допустимого систолического давления для ребёнка от рождения до 1 мес. 60 мм рт. ст., а в возрасте от 1 мес. до 1 года 70 мм рт. ст. Для детей от 1 года нижний лимит давления рассчитывается по формуле 70+(2*(возраст в годах)) мм рт. ст. Для детей старше 10 лет нижний уровень давления 90 мм рт. ст. Давление ниже приведённых значений указывают на гипотензию с последующим декомпенсируемым шоком.
| Возраст | брадикардия | тахикардия | гипотензия |
|---|---|---|---|
| от рождения до 28 дн. | <100 уд. в мин. | >180 уд. в мин. | <60 мм рт. ст. |
| новорождённый 1-12 мес. | <90 уд. в мин. | >160 уд. в мин. | <70 мм рт. ст. |
| ребёнок 1-10 лет | <60 уд. в мин. | >140 уд. в мин. | <70 + (2*возраст в годах) мм рт. ст. |
| ребёнок старше 10 лет | <60 уд. в мин. | >120 уд. в мин. | <90 мм рт. ст. |
Слабый, нитевидный пульс или его отсутствие периферический пульс может указывать на шоковое состояние. Однако при септическом шоке пульс может быть изменчивым. Цвет кожи также может рассматриваться как признак шока, однако на ранних стадиях шока цвет кожи может быть нормальным. Уменьшенная перфузия к тканям проявляется в холодной и влажной на ощупь коже. Первоначально это наблюдается на конечностях.
Наполнение капилляров определяется мягким нажатием до побеления на капиллярное ложе кончиков пальцев, ногтей верхних конечностей. После нажатия цвет должен вернуться в течение 2 сек., если возвращение цвета происходит в течение 3 сек. и большего времени, это может свидетельствовать о шоке. При септическом шоке может наблюдаться сокращённое время наполнения капилляров. Наполнение капилляров должно тестироваться на конечности, предельно поднятой над уровнем сердца, для того чтобы проверялось не венозная, а артериальная перфузия. Также следует учитывать, что в условиях холода наполнение капилляров объективно замедляется.
При гиповолемическом шоке, связанном с дегидрацией, можно обнаружить признаки дегидрации, такие как сухие слизистые оболочки, отсутствие слёз, сниженный тонус глазных яблок, опущенный большой родничок у младенцев. Дети с острой сердечной недостаточностью и кардиогенным шоком могут характеризоваться диспноэ при напряжении, тахипноэ, ортопноэ, хрипами, гепатомегалией, ритмом галопа, сердечными шумами. Набухание шейных вен и периферический отёк наблюдается у детей реже, чем у взрослых.
Дуктальный кардиогенный шок может быть под подозрением у новорождённых первых недель жизни, если наблюдается цианоз, невосприимчивый к кислородной терапии. Подозрение на тампонаду сердца может возникнуть при приглушённых или сокращённых тонах сердца, парадоксальном пульсе (уменьшенном при систолическом давлении крови > 10 мм рт. ст. при вдохе) и набухшие шейные вены. Подозрение на напряжённый пневмоторакс может возникнуть у пациентов с отклонённой трахеей (в сторону от травмированной части). сниженные дыхательные шумы, гиперрезонанс на перкуссию на травмированной стороне, набухание шейных вен.
20 % детей в состоянии септического шока имеют форму, характерную для фазы «тёплого» шока взрослых (повышенный минутный сердечный выброс, гипотензия, уменьшенное сосудистое системное сопротивление, скачкообразный пульс, быстрое наполнение капилляров). 60 % детей имеют форму шока, характерную для фазы «холодного» шока взрослых (пониженный минутный сердечный выброс, повышенно-сосудистое системное сопротивление, нормальное или пониженное кровяное давление, холодная, влажная в пятнах кожа, нитевидный пульс, замедленное наполнение капилляров). Оставшиеся 20 % детей в состоянии септического шока характеризуются одновременно пониженным минутный сердечным выбросом и уменьшенным сосудистым системным сопротивлением. Патехия и пурпура указывают на менингококкемию как причину септического шока. Высыпания похожие на загар могут быть проявлением токсического шока из-за стрептококков и стафилококков.
При гиповолемическом шоке для определения дегидрации проводится биохимический анализ крови на установление нарушения баланса электролитов и ацидоза. Установление гематокрита и определение группы крови и её совместимости с донорской кровью важно осуществить при подозрении на нетравматическую кровопотерю. При септическом шоке должен быть проведён общий анализ крови и гемокультуры, так же как и анализ культур других потенциальных сред инфекции (моча, цереброспинальная жидкость, раны). Анализ свёртываемости крови, включая оценку диссеминированной внутрисосудистой коагулопатии, и анализ электролитов, включая уровень кальция и магния, часто показывают аномалию при сепсисе. Гипогликемия часто выявляется при разных видах шока, поэтому должно быть проведено оперативное определение уровня глюкозы. Анализ крови на газы и кислотность позволяет определить оксигенацию и степень ацидоза, и это важно для диагностики повышения уровня карбоксигемоглобина и метгемоглобина. Первоначальный уровень лактата, особенно в случае септического шока и травмы, связан с общим прогнозом, и слежение за ним позволяет осуществлять контроль состояния. Прокальцитонин также можно рассматривать как биомаркер для септического шока. Тропонины могут быть полезны для оценки серьёзности заболевания и слежения за состоянием пациентов в случае кардиогенного шока. D-димер применяется для пациентов с подозрением на лёгочную эмболию.
Цели контроля, а также оценки тяжести и течения шока:
- выявить механизмы, вызывающие развитие шока;
- установить степень тяжести течения шока;
- проконтролировать эффективность лечения шока.
Малая программа контроля включает основные пять параметров, которые могут быть исследованы в любом медицинском отделении, независимо от его профиля, а также в медицинском транспорте. Это:
- артериальное давление;
- центральное венозное давление при катетеризации центральной вены;
- частота дыхания;
- почасовой диурез;
- оценка кровотока в коже (цвет кожи, температура тела, наполнение капилляров кровью).
Специализированная программа контроля необходима при замедленном или осложнённом течении шока. Она проводится в условиях специализированного отделения (например, в отделении реанимации и интенсивной терапии) и включает следующие исследования:
- исследования гемодинамики специальными методиками (объём крови, вязкость крови, артериальное давление, минутный объём выброса, периферическое сопротивление, центральное венозное давление, контроль функции сердца);
- исследование микроциркуляции и метаболического баланса;
- исследования системы свёртывания крови;
- исследование функции дыхания;
- исследование функции мочевыведения;
- исследование кислотно-щелочного состояния и биохимических показателей крови.
Ниже приведена сравнительная характеристика нарушений гемодинамики при различных видах шока.
| Вид шока | Минутный объём сердца | центральное венозное давление | артериальное давление | периферическое сопротивление |
|---|---|---|---|---|
| Гиповолемический | ↓ | ↓ | ↓ | ↑ |
| Кардиогенный | ↓ | ↑ | ↓ | ↑ |
| Инфекционно-токсический | ↑ | ↑ | ↓ | ↓ |
| Анафилактический[5] | ↓ | ↓ | ↓ | ↓ |
Классификация шока
Существуют различные способы классифицировать шок, однако наиболее применима в наши дни классификация шока по типу циркуляторных нарушений.
| Тип шока | Физиологический механизм | Распространённые причины |
|---|---|---|
| гиповолемический | уменьшенное конечно-диастолическое давление |
|
| дистрибутивный | относительная гиповолемия из-за вазодилатации |
|
| кардиогенный | уменьшенная сократимость сердца |
|
| обструктивный | недостаточный сердечный выброс в большой круг кровообращения |
|
| диссоциативный | аномальный гемоглобин — недостаточное снабжение кислородом |
|
Дистрибутивный шок можно рассматривать как относительную гиповолемию. Вазодилатация приводит к неадекватному объёму циркулирующей крови относительно вазодилатации, увеличившемуся объёму. Непосредственной причиной вазодилатации является высвобождение вазоактивных медиаторов. Повреждение позвоночника (нейрогенный шок) может привести к потере сосудистого тонуса, регулируемого симпатическим нервом, и последующей вазодилатации. Также к вазодилатации и дистрибутивному шоку может привести интоксикация железом, барбитуратами, трициклическими антидепрессантами.
Септический шок является комбинацией элементов дистрибутивного, гиповолемического и кардиогенного шоков[3].
По типу циркуляторных нарушений выделяют следующие виды шока:
Ряд источников[6] приводит классификацию шока в соответствии с основными патогенетическими механизмами. Эта классификация по патогенезу подразделяет шок на:
- гиповолемический;
- кардиогенный;
- травматический;
- инфекционно-токсический;
- септический;
- анафилактический;
- нейрогенный;
- комбинированные (сочетают элементы различных шоков).
Клиническая классификация шока в зависимости от тяжести выделяет следующие степени:
- Шок I степени (компенсированный)
Состояние пострадавшего компенсированное. Сознание сохранено, ясное, больной контактен, слегка заторможен. Систолическое артериальное давление (АД) превышает 90 мм ртутного столба, пульс учащён, 90-100 ударов в минуту. Прогноз благоприятный.
- Шок II степени (субкомпенсированный)
Пострадавший заторможен, кожный покров бледен, тоны сердца приглушенны, пульс частый — до 140 ударов в минуту, слабого наполнения, максимальное АД снижено до 90-80 мм рт. ст. Дыхание поверхностное, учащённое, сознание сохранено. На вопросы пострадавший отвечает правильно, говорит медленно, тихим голосом. Прогноз серьёзный. Для спасения жизни требуется проведение противошоковых мероприятий.
- Шок III степени (декомпенсированный)
Больной адинамичен, заторможен, на боль не реагирует, на вопросы отвечает односложно и крайне медленно или вовсе не отвечает, говорит глухим еле слышным шёпотом. Сознание спутанное или отсутствует вовсе. Кожа бледная, покрыта холодным потом, выражен акроцианоз. Тоны сердца глухие. Пульс нитевидный — 130—180 ударов в минуту, определяется только на крупных артериях (сонной, бедренной). Дыхание поверхностное, частое. Систолическое АД ниже 70 мм ртутного столба, центральное венозное давление (ЦВД) равно нулю или отрицательное. Наблюдается анурия (отсутствие мочи). Прогноз очень серьёзный.
- Шок IV степени (необратимый)
Проявляется клинически как одно из терминальных состояний. Тоны сердца не выслушиваются, пострадавший без сознания, кожный покров серого цвета приобретает мраморный рисунок с застойными пятнами типа трупных (признак снижения кровенаполнения и застоя крови в мелких сосудах), губы синюшные, артериальное давление ниже 50 мм рт. ст., зачастую не определяется вовсе. Пульс едва ощутим на центральных артериях, анурия. Дыхание поверхностное, редкое (всхлипывающее, судорожное), едва заметное, зрачки расширены, рефлексов и реакций на болевое раздражение нет. Прогноз почти всегда неблагоприятный.
Ориентировочно тяжесть шока можно определить по индексу Альговера, то есть по отношению пульса к значению систолического АД. Нормальный индекс — 0,54; 1,0 — переходное состояние; 1,5 — тяжёлый шок.
Лечение шока
Лечение шока складывается из нескольких моментов:
- оксигенотерапия (ингаляция кислорода);
- возмещение дефицита объёма циркулирующей крови (ОЦК), с осторожностью при кардиогенном шоке;
- терапия вегетотропными препаратами с целью вызвать позитивный инотропный эффект;
- терапия ацидоза;
- устранение причин, вызвавших развитие шока.
Дополнительно применяют стероидные гормоны, гепарин и стрептокиназу для профилактики микротромбоза, диуретики для восстановления функции почек при нормальном АД, искусственную вентиляцию лёгких.
Задачами лечения в течение первого часа являются восстановление и поддержание сердечного ритма, наполнения капилляров ≤ 2 секунд, нормализация кровяного давления, устранение различий между периферическим и центральным пульсом, обеспечение оксигенации и дыхания, теплых конечностей, выделения мочи больше 1 мл/кг/ в час, нормализация психического состояния, обеспечение сердечного индекса 3,3 - 6,0 л/мин/м2, сатурация кислорода в полую верхнюю вену свыше 70 %.
Первой задачей при критических состояниях ребёнка — контроль и обеспечение проходимости дыхательных путей и функционирования дыхания. При дыхательной недостаточности необходимо использовать ручной дыхательный аппарат для искусственной вентиляции лёгких с последующем осуществлением эндотрахеальной интубации. Как правило, это не требуется на стадии компенсирования. Поэтому первой задачей становится снабжение кислородом и кардиореспираторный контроль (через маску или катетер). В то же время, чтобы сократить метаболические затраты на функционирование дыхания, можно использовать эндотрахеальную интубацию. В отношении шоковых пациентов, находящихся под интубацией и седативным эффектом, рекомендуется предпочитать препараты с меньшим гемодинамическим эффектом, такие как кетамин по отношению к препаратам, способствующим гипотензии, таким как опиаты, бензодиазепины и пропофол. Несмотря на то, что этомидат гемодинамически нейтрален, он не рекомендуется при септическом шоке, поскольку оказывает влияние на подавление кортизола. Оптимизация оксигенации. Снабжение кислородом должно осуществляться независимо от значения пульсовой оксиметрии. Трансфузию проводят при низких значениях гемоглобина (<8-10 гр/децилитр).
Следующей задачей является обеспечение сосудистого доступа. Рекомендуется начинать с периферического интравенозного доступа. При трёхкратной неудаче или невозможности такого доступа в течение 90 секунд может быть применена внутрикостная инфузия или можно при интравенозном доступе применить катетер центральных вен или технику вскрытия вен. Внутрикостная инфузия обеспечивает более ускоренный сосудистый доступ в сравнении с катетером центральных вен. У детей возраста от 1 до 2 недель может использоваться катетеризация пупочной вены. Пациенты, находящиеся в состоянии шока, часто требуют несколько линий сосудистого доступа.
Уменьшенное конечно-диастолическое давление и гиповолемия — распространённая причина педиатрического шока. Только при кардиогенном шоке не достигается положительного эффекта от увеличения конечно-дистолического давления за счёт внутривенного (внутрикостного) болюса. В общем случае первоначальный внутривенный (внутрикостный) болюс — 20 мл на кг веса, изотонического кристаллоидного раствора, такого как физиологического раствора или лактата Рингера, должен быть влит в течение от 5 до 10 минут (например, посредством большого шприца). Коллоидный раствор (например, Альбумин) имеет более продолжительный эффект. Если пациенты с травматической кровопотерей остаются гемодинамически нестабильными после двух болюсов кристаллоидного раствора, требуется вливание эритроцитарной массы объёмом 10 мл на кг веса. После каждого болюса пациент должен проверяться на улучшение психических функций, показателей жизненно-важных функций, периферический пульс. Повторный болюс раствора может понадобиться до достижения общего объёма вводимого раствора 80 мл (и больше) на кг веса для восстановления внутрисосудистого объёма. Развитие гепатомегалии или хрипов может свидетельствовать об избытке раствора и может потребовать других видов терапии, таких как вазоактивная инфузия. Это особенно характерно для кардиогенного и септического шока. Рекомендуется использовать инотропные и вазоконстрикторные препараты при невосприимчивости шока к применению растворов.
Для нормализации электролитов (особенно кальция) и глюкозы необходимо контролировать гипергликемию для достижения уровня ≤ 180 мг/децилитр. Также необходима терапия гипертермии и боли для понижения метаболических потребностей.
Дальнейшее лечение зависит от этиологии. При септическом шоке применяют антибиотики широкого спектра действия в течение первого часа. Пациенты с токсическим шоком должны принимать антибиотики - клиндамицин. При анафилактическом шоке применяют адреналин внутривенно, дифенгидрамин внутривенно, блокаторы H2-гистаминовых рецепторов, гликокортикоид, альбутерол через ингаляцию. Перикардиальная тампонада облегчается перикардиоцентезом, напряжённым пневмотораксом посредством пунктирования или торакостомии, также она облегчается посредством эмболии лёгких и тромболитиков. Отравление угарным газом лечится 100%-м кислородом, гипербарической кислородной терапией. Пациенты с метгемоглобинемией остаются цианотичными даже при получении 100%-го кислорода, поэтому может быть применено лечение метиленовой синью. Суправентрикулярная тахикардия лечится аденозином, если пациенты гемодинамически стабильны и синхронизированной кардиоверсией, если не стабильны. Дуктально зависимый обструктивный шок лечится инфузией простагландином Е.
Допаминовая терапия требуется для тех пациентов, у которых сохраняется состояние гипотензии после реанимации растворами.
Пациентам с кардиогенным шоком для увеличения сократительной способности сердца и тканевой перфузии требуются инотропные препараты. Даже в случае других видов шока (гиповолемического, дистрибутивного, септического) на поздних стадиях пациенты испытывают сердечные дисфункции. В таких случаях только после осуществления инфузионной реанимации, если признаки шока остаются, наблюдается гипотензия, применяют инотропные препараты. Необходимо осуществлять контроль венозного центрального давления для оценки адекватности инфузионной реанимации. При септическом шоке пациентам могут потребоваться вазоактивные препараты для понижения или повышения системного сосудистого сопротивления.
Адреналин или допамин - это инотропные препараты первой линии. Рекомендуется введение инотропных препаратов через периферический катетер без промедления. Малые дозы допамина (2-5 мг на кг в минуту) улучшают почечный кровоток и выведение мочи. Средние дозы допамина (5-10 мг на кг в минуту) вызывают первичный бета-адреномиметический эффект, улучшая сократимость и увеличивая сердечный ритм. Высокие дозы допамина (10-20 мг на кг в минуту) вызывают альфа-адреномиметический эффект, приводящий к периферической вазоконстрикции и улучшению гипотензии. В силу увеличенной смертности прежде всего взрослых больных при приеме допамина в качестве инотропных препаратов первой линии многие врачи предпочитают использовать адреналин. Эпинефрин (адреналин) имеет преимущественно бета-адреномиметический эффект при низких дозах (0,05–0,1 мг на кг в минуту) и альфа-адреномиметический эффект при высоких дозах (до 1 мг на кг в минуту). Адреналин рекомендуется для состояний устойчивого к допамину холодного септического шока. Норэпинефрин (0,01–1 мг на кг в минуту) имеет преимущественно альфа-адреномиметический вазокнстриктивный эффект поэтому предпочтителен при теплом септическом шоке с низким системным сосудистым сопротивлением, а также при состояниях дистрибутивного шока (анафилаксия, неврогенный шок, некоторые состояния токсического шока). Добутамин (1–20 мг на кг в минуту, обычно 10-20 мг на кг в минуту) полезен при кардиогенном шоке посокльку имеет бета-адреномиметический эффект увеличивая сократительную способность сердца, однако при гипотензии добутамин при периферической вазолидации может быть вреден. Добутамин и допамин могут быть неэффективны для пациентов в возрасте до 12 месяцев.
У новорождённых с дуктальными патологиями во второй половине первой недели жизни проявляется шок и цианоз. К таким патологиям относятся гипоплазия левой половины сердца, коарктация аорты, атрезия трёхстворчатого клапана. Для обеспечения открытости артериального протока необходима инфузия простагландина E1 (0,1 мг на кг в минуту, титруемый до появления эффекта) если причиной шока предполагается дуктальная патология. Результатом терапии простагландином E1 может быть апноэ поэтому необходим контроль проходимости дыхательных путей.
Если наблюдается гипотиреоз необходима терапия тиреоидным гормоном Для пациентов с септическим шоком и диссеминированным внутрисосудистым свёртыванием могут потребоваться препараты крови. Эритроцитная масса 10 см3/кг потребуется для того чтобы обеспечить поддержание гемоглобина 10 г/децилитр для нестабильных пациентов, пациентов с гипоксемией или пациентов с кровопотерей, а также для того чтобы обеспечить поддержание уровня 7-9 г/децилитр для стабильных пациентов. Свежезамороженная плазма может потребоваться для исправления нарушений с протромбином, и частичным тромбопластиновым временем. Но её использование должно осуществляться с осторожностью поскольку приводит к гипотензии. Криопреципитат может потребоваться при гипофибриногенемии.
В случае устойчивого к катехоламину септического шока при подозрении на недостаточность надпочечников применяют большие дозы гидрокортизона 2 мг/кг или 50 мг/м2 площади тела. Также при устойчивом ккатехоламину холодном септическоом шоке с нормальным кровяным давлением и сатурацией кислорода в полую верхнюю вену меньше 70% требуется вазодилататор (нитропруссид) ингибитор фосфодиэстеразы 3-го типа (милринон). При холодном септическоом шоке с низким кровяным давлением и сатурацией кислорода в полую верхнюю вену меньше 70% рекомендуется продолжающаяся титрация эпинефрина. При теплом септическоом шоке рекомендуется продолжающаяся титрация норэпинефрина, возможно с дополнительным вазопрессином (0.0003–0.0008 U/kg/min) или терлипрессина.Также при устойчивом ккатехоламину шоке (особенно септическом или кардиогенном) можно применить вспомогательную желудочковую систему или акстракорпоральную мембранную оксигенацию. Рекомбинантный активированный протеин C (Дротрекогин альфа) рекомендован при септическом шоке только для взрослых пациентов.
Гиповолемический шок
Этот вид шока возникает в результате быстрого уменьшения объёма циркулирующей крови, что приводит к падению давления наполнения циркуляторной системы и к снижению венозного возврата крови в сердце. Вследствие этого развивается нарушение кровоснабжения органов и тканей и их ишемия.
Объём циркулирующей крови может быстро уменьшиться из-за следующих причин:
- кровопотеря;
- плазмопотеря (например, при ожоге, перитоните);
- потеря жидкости (например, при поносе, рвоте, обильном потоотделении, во время или после процедуры гемодиализа, сахарном и несахарном диабете).
Нетравматическая кровопотеря, ведущая к гиповолемическому шоку может быть вызван эпистаксисом гастроинтестинальным кровотечением, образованием свища сосуда.
В зависимости от тяжести гиповолемического шока, в его течении выделяют три стадии, которые последовательно друг друга сменяют. Это
- Первая стадия — непрогрессирующая (компенсированная). Перфузия жизненно важных органов сохраняется за счёт компенсаторных механизмов; как правило, не наблюдается выраженной гипотензии вследствие повышение общего периферического сосудистого сопротивления. На этой стадии отсутствуют порочные круги.
- Вторая стадия — прогрессирующая. Компенсаторные механизмы не в состоянии обеспечить достаточную перфузию, запускаются и прогрессируют все патогенетические механизмы развития шока.
- Третья стадия — стадия необратимых изменений. На этой стадии никакие современные противошоковые средства не позволяют вывести больного из этого состояния. На этой стадии врачебное вмешательство может вернуть на короткий период времени артериальное давление и минутный объём сердца к норме, но это не останавливает разрушительные процессы в организме. Среди причин необратимости шока на этой стадии отмечают нарушение гомеостаза, которое сопровождается тяжёлыми повреждениями всех органов, особенное значения имеет повреждение сердца.
При гиповолемическом шоке формируется много порочных кругов. Среди них наибольшее значение имеет порочный круг, способствующий повреждению миокарда и порочный круг, способствующий недостаточности сосудодвигательного центра.
Уменьшение объёма циркулирующей крови приводит к снижению минутного объёма сердца и падению артериального давления. Падение артериального давления ведёт к уменьшению кровообращения в коронарных артериях сердца, что приводит к уменьшению сократимости миокарда. Снижение сократимости миокарда ведёт к ещё большему уменьшению минутного объёма сердца, а также к дальнейшему падению артериального давления. Порочный круг замыкается.
Гиповолемией обусловлено снижение минутного объёма выброса (то есть уменьшение объёма крови, изгоняемого из сердца за одну минуту) и уменьшение артериального давления. Это приводит к уменьшению кровотока в головном мозге, а также к нарушению деятельности сосудодвигательного центра. Последний находится в продолговатом мозге. Одним из последствий нарушения в сосудодвигательном центре считается падение тонуса симпатической нервной системы. В результате нарушаются механизмы централизации кровообращения, падает артериальное давление, а это, в свою очередь, запускает нарушение мозгового кровообращения, что сопровождается ещё большим угнетением сосудодвигательного центра.
Шоковые органы
В последнее время часто стал употребляться термин «шокового органа» («шоковое лёгкое» и «шоковая почка»). При этом имеется в виду, что воздействие шокового раздражителя нарушает функцию этих органов, а дальнейшие нарушения состояния организма больного тесно связаны с изменениями в «шоковых органах»[8].
Этот термин впервые ввёл в практику Ashbaugh (1967 год) при описании синдрома прогрессирующей острой дыхательной недостаточности. Однако ещё в 1944 году Burford и Burbank описали похожий клинико-анатомический синдром, назвав его «мокрым (влажным) лёгким». Через некоторое время было обнаружено, что картина «шокового лёгкого» встречается не только при шоках, но и при черепно-мозговой, торакальной, абдоминальной травмах, при кровопотере, длительной гипотензии, аспирации кислого желудочного содержимого, массивной трансфузионной терапии, острой почечной недостаточности, нарастающей декомпенсацией сердца, тромбоэмболии лёгочной артерии. В настоящее время не обнаружено никакой связи между длительностью шока и тяжестью лёгочной патологии.
Чаще всего причиной развития «шокового лёгкого» является гиповолемический шок. Ишемия многих тканей, а также массивный выброс катехоламинов приводят к поступлению в кровь коллагена, жира и других веществ, которые вызывают массивное тромбообразование. Из-за этого нарушается микроциркуляция. Большое количество тромбов оседают на поверхности сосудов лёгких, что связано с особенностями строение последних (длинные извитые капилляры, двойное снабжение кровью, шунтирование). Под действием медиаторов воспаления (вазоактивные пептиды, серотонин, гистамин, кинины, простагландины) увеличивается сосудистая проницаемость в лёгких, развивается бронхоспазм, выброс медиаторов приводит к сужению сосудов и к их повреждению.
Синдром «шокового лёгкого» развивается постепенно, достигая своего апогея обычно через 24-48 часов, исходом зачастую является массивное (часто двустороннее) поражение лёгочной ткани. Процесс клинически подразделяется на три стадии.
- Первая стадия (начальная). Доминирует гипоксия, рентгенологическая картина лёгкого обычно не изменена (за редким исключением, когда при рентгенологическом исследовании отмечается усиление лёгочного рисунка). Цианоз (синюшный оттенок кожи) отсутствует. Парциальное давление кислорода резко снижено. Аускультация выявляет рассеянные сухие хрипы.
- Вторая стадия. Во второй стадии нарастает тахикардия, возникает тахипноэ (частота дыхания), парциальное давление кислорода ещё больше снижается, усиливаются нарушения психики, парциальное давление углекислоты несколько повышается. Аускультация выявляет сухие, а иногда и мелкопузырчатые хрипы. Цианоз не выражен. Рентгенологически определяется уменьшение прозрачности лёгочной ткани, появляются двусторонние инфильтраты, неясные тени.
- Третья стадия. При третьей стадии без специальной поддержки организм нежизнеспособен. Развивается цианоз. Рентгенологически выявляется увеличение количества и размеров очаговых теней с переходом их в сливные образования и тотальное затемнение лёгких. Парциальное давление кислорода снижается до критических цифр.
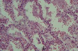
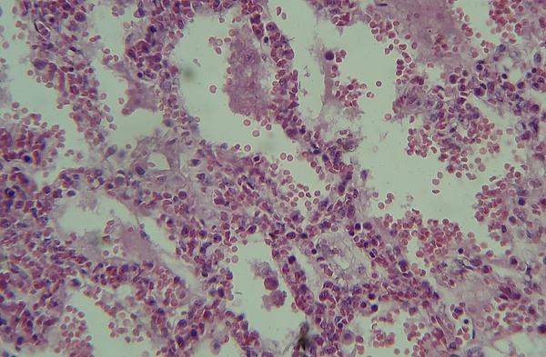
Понятие «шоковая почка» отражает острое нарушение функции почек. В патогенезе ведущую роль играет то, что при шоке происходит компенсаторное шунтирование артериального кровотока в прямые вены пирамид с резким снижением объёма гемодинамики в области коркового слоя почек. Это подтверждено результатами современных патофизиологических исследований[9].
Почки несколько увеличены в размерах, набухшие, корковый слой их малокровен, бледно-серого цвета, околомозговая зона и пирамидки, напротив, тёмно-красного цвета. Микроскопически в первые часы определяется малокровие сосудов коркового слоя и резкую гиперемию околомозговой зоны и прямых вен пирамид. Редко встречаются микротромбозы капилляров гломерул и приводящих капилляров.
В дальнейшем наблюдаются нарастающие дистрофические изменения нефротелия, охватывающие сначала проксимальные, а затем и дистальные отделы нефрона.
Картина «шоковой» почки характеризуется клиникой прогрессирующей острой почечной недостаточности. В своём развитии острая почечная недостаточность при шоке проходит четыре стадии:
Первая стадия протекает в то время, пока действует причина, вызвавшая острую почечную недостаточность. Клинический отмечается снижение диуреза.
Вторая стадия (олигоанурическая). К важнейшим клиническим признакам олигоанурической стадии острой почечной недостаточности относят:
- олигоанурию (с развитием отёков);
- азотемию (запах аммиака изо рта, зуд);
- увеличение размеров почек, боли в поясницах, положительный симптом Пастернацкого (появление эритроцитов в моче после постукивания в области проекции почек);
- слабость, головная боль, подёргивание мышц;
- тахикардия, расширение границ сердца, перикардит;
- диспноэ, застойные хрипы в лёгких вплоть до интерстициального отёка лёгких;
- сухость во рту, анорексия, тошнота, рвота, понос, трещины слизистой оболочки рта и языка, боли в животе, парез кишечника;
Третья стадия (восстановление диуреза). Диурез может нормализоваться постепенно, либо стремительно. Клиническая картина этой стадии связана с возникающей дегидратацией и дизэлектролитемией. Развиваются следующие признаки:
- потеря массы тела, астения, вялость, заторможенность, возможно присоединение инфекции;
- нормализация азотно-выделительной функции.
Четвёртая стадия (выздоровление). Показатели гомеостаза, а также функция почек приходит в норму.
Примечания
Литература
- Лосев Н. И. Чрезвычайный раздражитель // Большая медицинская энциклопедия / гл. ред. Б. В. Петровский. — 3-е изд.. — М.: Советская энциклопедия, 1986. — Т. 27. — 576 с.
- Лосев Н. И., Грачев С. В., Хитров Н. К. Экстремальные состояния // Большая медицинская энциклопедия / гл. ред. Б. В. Петровский. — 3-е изд.. — М.: Советская энциклопедия, 1986. — Т. 28. — 544 с.
- Розенбах П. Я.,—. Шок // Энциклопедический словарь Брокгауза и Ефрона : в 86 т. (82 т. и 4 доп.). — СПб., 1890—1907.
- Адо А. Д. Патологическая физиология. — М., «Триада-Х», 2000. С. 54—60
- Климиашвили А. Д. Чадаев А. П. Кровотечение. Переливание крови. Кровезаменители. Шок и реанимация. — М., «Российский государственный медицинский университет», 2006. С. 38—60
- Меерсон Ф. З., Пшенникова М. Г. Адаптация к стрессорным ситуациям и физическим нагрузкам. — М., «Триада-Х», 2000. С. 54—60
- Порядин Г. В. Стресс и патология. — М., «Минипринт», 2002. С. 3—22
- Стручков В. И. Общая хирургия. — М., «Медицина», 1978. С. 144—157
- Сергеев С. Т.. Хирургия шоковых процессов. — М., «Триада-Х», 2001. С. 234—338


