Центральный венозный катетер

undefined

Центральный венозный катетер (англ. central venous catheter) — катетер, используемый в медицине для катетеризации центральных вен (внутренняя яремная вена, подключичная вена, бедренная вена). ЦВК используется для более быстрого по сравнению с иглой введения инфузионных растворов и лекарственных средств, парентерального питания, забора крови, а также инвазивного изменения центрального венозного давления.

Типы центральных венозных катетеров

Существует несколько типов центральных венозных катетеров:[1]

Нетуннелируемые и туннелируемые ЦВК

undefined

Нетунеллируемые венозные катетеры фиксируются в месте их входа в кожу, катетер напрямую проникает через кожу и стенку вены. Обычным типом нетуннелируемого ЦВК является катетер Квинтона.

Туннелируемые катетеры проходят в туннеле под кожей, от места их входа в кожу до отдалённого участка, где они проникают в вену. Как правило, место выхода катетера из кожи располагается в области груди, что делает расположение катетера и его линий более незаметным по сравнению с тем, если бы оно располагалось в области шеи. Проведение катетера в кожном канале помогает снизить риск развития инфекции и обеспечивает более прочную фиксацию. Наиболее часто используются туннелируемые катетеры следующих типов: Хикман (Hickman catheters), Грошонг (Groshong catheters) и Биометрикс (Biometrix).

Имплантируемые порты (порт-катетеры или порт-системы)

undefined

Порт-катетер полностью имплантируется под кожу. Медицинские препараты вводятся в катетер через прокалываемую кожу. Некоторые порт-катетеры имеют камеру (резервуар), который можно заполнить также чрескожным доступом. После заполнения камеры медицинский препарат медленно выделяется в кровоток. Порт-катетер менее заметен, чем туннелируемый, и требует значительно меньшего ухода. Его наличие намного меньше влияет на каждодневную активность пациента в сравнении с периферически вводимыми и туннелируемыми катетерами. Хирургически имплантируемые порт-катетеры располагаются в области подключичной ямки и далее проводятся до правого предсердия через вену. После имплантации можно осуществлять венозный доступ через порт при помощи нережущей иглы Губера, которая вводится через кожу. Перед введением иглы кожу необходимо обрабатывать антисептиком. Порт-катетер можно применять для введения медицинских препаратов, химиотерапии, полного парентерального питания и крови. По сравнению с периферически вводимыми и обычными центральными катетерами, порт-катетеры намного более удобны для проведения терапии на дому.

Порт-катетеры, как правило, применяют у пациентов, которым необходим краткий венозный доступ при проведении долгосрочной терапии. Если есть необходимость эксплуатировать венозный доступ более активно, то удобнее пользоваться катетеры со внешним доступом.

Периферически-имплантируемый центральный венозный катетер (ПИК-катетер)(Peripherally Inserted Central Catheter) ПИК-катетер является устройством длительного венозного доступа. ПИК-катетер - малоинвазивное устройство для обеспечения длительного центрального венозного доступа. Катетер имплантируется в поверхностную подкожную вену руки. Дистальный конец катетер располагается в кавоатриальном соединении, обеспечивая центральный венозный доступ. Имплантация ПИК-катетера проводится с соблюдением максимального стерильного барьера под обязательным контролем УЗИ с последующей верификацией местоположения кончика катетера. ПИК-катетер подходит для краткосрочного и среднего по длительности использования (от 6 дней до 6 месяцев, показан для амбулаторного и стационарного лечения Показаниями для имплантации ПИК-катетера являются необходимость введения препаратов, повреждающих сосуды (ирританты, везиканты, например, химиотерапия, антибактериальная терапия, парентеральное питание), средняя по длительности и длительная терапия, требующая венозного доступа, частые заборы образцов крови, неудовлетворительное состояние периферических вен.

Техническое описание

В зависимости от их назначения, катетеры могут иметь разное количество просветов (1, 2-х и 3-х просветные катетеры). Некоторые катетеры могут иметь 4 или 5 просветов, что зависит от целей их применения.

Катетер, как правило, закрепляется лигатурой или скрепками, а сверху закрывается адгезивной окклюзивной повязкой. Регулярное промывание просвета катетера физраствором или раствором, содержащим гепарин, поддерживает просвет катетера открытым и предотвращает тромбоз. Некоторые катетеры могут быть импрегнированы антибиотиками, серебросодержащими веществами или хлоргексидином для снижения риска инфицирования.

Показания к применению

Абсолютные показания к катетеризации центральной вены:[2]

  • Необходимость обеспечения постоянного и надёжного сосудистого доступа, независящего от положения тела
  • Невозможность катетеризации периферической вены вследствие гиповолемии, отёка, ожогов, испорченных вен, отсутствия видимой периферической венозной сети
  • Мониторирование центрального венозного давления (ЦВД) у пациентов с острыми состояниями для контроля водного баланса

Относительные показания:

  • Длительное внутривенное введение лекарственных средств (антибиотиков, сред для парентерального питания)
  • Длительная терапия боли
  • Химиотерапия
  • Введение препаратов, которые могут вызвать флебит при введении в периферические вены (например, со щелочным pН), таких как:
  • Плазмаферез
  • Забор стволовых клеток из периферической крови
  • Диализ

С помощью центрального венозного катетера, как правило, осуществляют длительный венозный доступ (по сравнению с иными устройствами для венозного доступа), особенно в тех случаях, когда необходимо обеспечить полное парентеральное питание у хронических больных. Следует рассмотреть применение туннелируемых катетеров, периферически вводимых центральных катетеров, либо порт-систем для подобных пациентов в связи с меньшим риском инфицирования подобных типов катетеров. В данном случае очень важно соблюдение техники асептики при введении центральных венозных катетеров, т.к. он может служить входными воротами для патогенных микроорганизмов, таких как Staphylococcus aureus или коагулазо-негативные стафилококки.

Введение

undefined

Необходимо обработать кожу с помощью антисептика. Расположение вены определяют по анатомическим ориентирам, либо с применением ультразвука. Полая игла вводится через кожу до момента аспирации порции крови. Цвет крови и интенсивность кровотока помогает отличить венозную кровь от артериальной (в случае непреднамеренного прокола артерии), хотя точность подобной оценки не всегда высока. Постановка центральных катетеров под контролем ультразвука представляет собой золотой стандарт обеспечения венозного доступа. В странах Северной Америки и Европы частота постановки катетера только по анатомическим ориентирам снижается.[3][4]

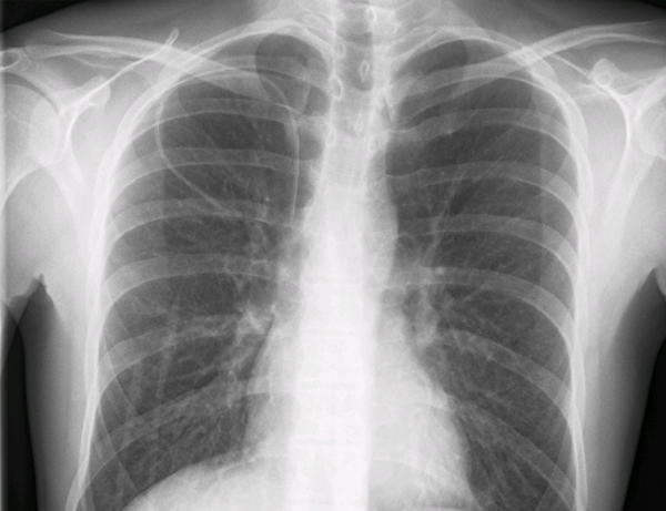
Во многих случаях введение катетера осуществляется по методике Сельдингера: сквозь иглу проводится проводник, далее игла удаляется. Далее по проводнику вводится дилататор для того, чтобы немного расширить канал для введения мягкого катетера. На завершающем этапе по проводнику вводится сам центральный венозный катетер и проводник удаляется. Производится аспирация из всех просветов катетера (чтобы убедиться, что они расположены в просвете вены), после чего катетер необходимо промыть. Как правило, по завершении постановки катетера проводится рентгенограмма грудной клетки, для подтверждения правильного положения кончика катетера в верхней полой вене, а также для исключения пневмоторакса на стороне пункции. Системы васкулярного позиционирования также помогают определить область нахождения кончика катетера при введении без необходимости применения рентгена, но эта техника пока не является стандартной.

На видеороликах представлена техника введения ЦВК без контроля УЗ[5] и под контролем УЗ.

Осложнения

Введение центрального венозного катетера может повлечь за собой ряд осложнений. Именно поэтому необходимо оценивать целесообразность его введения – перевешивает ли польза от его введения риск развития потенциальных осложнений.

Пневмоторакс

Пневмоторакс (при введении ЦВК в области грудной клетки); частота его выше при катетеризации подключичной вены. При катетеризации внутренней яремной вены риск развития пневмоторакса можно значительно уменьшить, применяя технику катетеризации под контролем ультразвука. У опытных операторов частота пневмоторакса составляет 1.5-3.1%. По рекомендациям Национального института здравоохранения и клинического совершенствования (National Institute for Health and Clinical Excellence, UK) следует применять рутинный контроль УЗ при постановке ЦВК для снижения частоты осложнений.[6]

Катетер-ассоциированные инфекции кровотока (КАИК)

Катетер-ассоциированные инфекции кровотока (КАИК) – группы инфекционных заболеваний, развивающихся у человека в результате использования сосудистого катетера для введения лекарственных средств при оказании ему медицинской помощи. КАИК являются составной частью инфекций, связанных с оказанием медицинской помощи (ИСМП).

Частота инфекций, связанных с сосудистыми катетерами, установленная в результате мультицентрового исследования, включающего взрослые и детские отделения интенсивной терапии была в несколько раз выше в развивающихся странах (6.9-8.9 на 1000 дней катетеризации) по сравнению с системными показателями в США (1.5 на 1000 дней). [Пособие ВОЗ по гигиене рук 2013]

Система мер для предотвращения КАИК включает в себя:

  • обучение медицинского персонала особенностям ухода за ЦВК и информирование о потенциальных осложнениях;
  • диагностику КАИК, основанную на стандартном определении и учёт всех случаев заболеваний по дате заболевания;
  • клинико-эпидемиологический анализ заболеваемости с использованием статистических методов для расчёта частоты развития случаев КАИК, оценку динамики их возникновения и этиологической структуры;
  • установление контингентов риска, факторов риска, времени риска возникновения КАИК;
  • выработку согласованного перечня профилактических мероприятий на основании данных анализа;
  • установление схем эмпирической антимикробной терапии КАИК, адаптированных к конкретным контингентам риска;
  • систематическое информирование о результатах наблюдения за КАИК всех заинтересованных лиц, в том числе врачей, обеспечивающих оказание медицинской помощи пациентам, а также руководителей медицинской организации, принимающих решения в планировании и расходовании средств бюджета.

Для снижения частоты КАИК во многих странах разработаны национальные программы по контролю заболеваемости пациентов ИСМП и стандарты по уходу за центральными и периферическими катетерами. В Российской Федерации базовые требования профилактики КАИК закреплены на законодательном уровне в СанПиН 2.1.3. 2630 – 10 (2010 г.).

Для более подробного описания мер по профилактике КАИК во многих странах на основе национальных стандартов разработаны клинические рекомендации. Ведущее место в подобных клинических рекомендациях отводится описанию техники соблюдения асептики при различных манипуляциях, связанных со внутривенным катетером. Чёткое соблюдение свода этих правил позволяет значительно снизить частоту возникающих осложнений.

Частота инфекционных осложнений, связанных с наличием сосудистого катетера, зависит от:

  • эффективной профилактики перекрёстного инфицирования пациентов друг от друга путём гигиены рук и дезинфекции поверхностей в близком окружении пациента;
  • профилактики эндогенного инфицирования катетера благодаря внедрению в работу современных материалов и технологий ухода за катетером и раной входного отверстий катетера, эффективность применения которых следует оценивать в клинической практике, наблюдая за частотой, динамикой и этиологической структурой заболеваемости КАИК.

Ключевыми рекомендациями протоколов по введению и уходу за ЦВК являются:

  • Гигиена рук
  • Соблюдение максимальных барьерных предосторожностей (полное укрывание пациента, использование стерильных халатов, перчаток, масок и т.д.)
  • Кожный антисептик с хлоргексидином
  • Оптимальный выбор локализации ЦВК
  • Ежедневная оценка состояния катетера
  • Дезинфекция портов доступа катетера до и после присоединения шприцев или систем.

Если у пациента с центральным катетером появляются признаки инфекции, то необходимо осуществить забор крови из катетера и из периферической вены. Если в заборе крови из центрального катетера отмечается более быстрый рост колонии микроорганизмов (разница >2 ч), чем в заборе из периферической вены, то, скорее всего катетер является источником инфекции. Количественные посевы крови являются более информативными, но данный вид анализа доступен не везде.[7]

Для предотвращения развития инфекции рекомендуется осуществлять тщательную обработку кожи антисептиком при постановке катетеров. Часто для этого применяют спиртовые растворы повидон-йода, но показано, что раствор хлоргексидина является в два раза более эффективным средством.[8] Рутинная замена катетеров не помогает снизить частоту возникновения инфекции.[9]

Для защиты раны входного отверстия катетера от контаминации извне используют прозрачную адгезивную полупроницаемую повязку. У пациентов с высоким риском инфицирования (предполагаемое длительное использование катетера, ожоговая поверхность, ослабленный иммунитет и т.п.) целесообразно применение прозрачной адгезивной полупроницаемой повязки, содержащей хлоргексидина глюконат.

Тромбоз

Наличие у пациента ЦВК является фактором риска венозного тромбоза[10] (в том числе тромбоза глубоких вен верхних конечностей).[11]

Иные осложнения

В редких случаях в просвет вены может попасть небольшой объём воздуха в результате наличия отрицательного внутригрудного давления и погрешностей в технике введения катетера. Существуют устройства для венозного доступа, имеющие клапаны, что позволяет уменьшить риск возникновения подобного осложнения. Если воздух обтурирует просвет сосуда, развивается воздушная эмболия.

Кровотечение и формирование гематомы более часто встречается при катетеризации внутренней яремной вены по сравнению с иными локализациями ЦВК.[12]

Во время установки ЦВК могут возникать аритмии, если происходит контакт проводника с эндокардом. Они, как правило, исчезают сразу после подтягивания проводника наружу.

Примечания

Ссылки