Гиперчувствительный пневмонит
Гиперчувствительный пневмонит, ранее экзогенный аллергический альвеолит, обусловлен реакциями иммунной системы на внешние (экзогенные) антигены, возможно протекание заболевания не по аллергическому типу гиперчувствительности, а также как аллергия: острая форма протекает по III типу, подострая и хроническая формы по IV типу[3]. Распространённость этого вида альвеолита быстро растёт.
Общие сведения
Этиология
Аллергенами, вызывающими данный тип болезни является органическая пыль, которой могут быть споры грибков, которые находятся в прелом сене, кленовой коре; реже — растительная пыль, белковые антигены, домашняя пыль, лекарственные средства. Они поступают в организм с вдыхаемым воздухом или (реже) неингаляционным путём. Как и при идиопатическом фиброзирующем альвеолите, при экзогенном альвеолите основную роль в патогенезе играет иммунокомплексный механизм повреждения тканей.[4] Комплексы антиген-антитело откладываются в стенках альвеол, мельчайших бронхиол и кровеносных капилляров, вызывая их воспаление с исходом в фиброз, возможно образование гранулём.
В зависимости от этиологического фактора выделяют несколько вариантов аллергического альвеолита, имеющих достаточно экзотические названия
| Вид альвеолита | Источник аллергена | Аллергены, к которым имеются преципитины |
|---|---|---|
| Амбарная болезнь | Рассыпанная пшеница | Амбарный долгоносик (Sitophilus granarius) |
| Багассоз | Заплесневевший сахарный тростник | Thermoactinomyces vulgaris |
| Болезнь вдыхающих порошок гипофиза | Порошок высушенных гипофизов свиней и крупного рогатого скота | Антигены гипофиза |
| Болезнь молольщиков кофе | Зёрна кофе | Пыль кофейных бобов |
| Болезнь моющихся в сауне | Влажная древесина | Pullularia |
| Болезнь работающих с древесной массой | Древесная масса | Alternaria |
| Болезнь работников сыроварен | Некоторые сорта сыра | Penicillium casei Penicillium glaucum |
| Кашель ткачей | Заплесневевший хлопок | |
| Лёгкое волынщика | Загрязнённые духовые музыкальные инструменты | Fusarium oxysporum Penicillium species Rhodotorula mucilaginosa[5][6] |
| Лёгкое дубильщиков | Заплесневелая кора клёна | Cryptostroma corticale |
| Лёгкое любителей птиц | Помёт и перья голубей, цыплят, волнистых попугайчиков | Сывороточные белки |
| Лёгкое меховщиков | Каракуль, лисий мех | |
| Лёгкое молотильщиков | Перец молотый | |
| Лёгкое жителей Новой Гвинеи | Заплесневелая тростниковая пыль | |
| Лёгкое работающих с грибами | Грибные споры | Thermoactinomyces vulgaris Micropolyspora faeni |
| Лёгкое работающих с солодом | Прелый ячмень солодовая пыль |
Aspergillus fumigatus Aspergillus clavatus |
| Лёгкое фермера | Прелое сено | Micropolyspora faeni |
| Летний гиперчувствительный японский пневмонит | Влажный тёплый воздух помещений, содержащий споры грибов | Thermoactinomyces vulgaris Cryptococcus neoformans |
| Ликопердиноз | Споры гриба-дождевика | |
| Секвойоз | Опилки красного дерева | Aureobasidium pullulans |
| Субероз | Пробковая пыль | Плесень пыль пробкового дерева |
Клиника
ЭАА может протекать в острой, подострой и хронической формах, что зависит от частоты и длительности контакта организма с антигеном, дозы антигена и общей реактивности иммунной системы. Симптомы болезни напоминают симптомы ИФА, но с обильным выделением мокроты; могут быть другие аллергические симптомы — миалгия, сыпи, головная боль. Возможен приступ бронхиальной астмы. При остром течении возможны выраженная потливость, лихорадка, потеря аппетита, похудение. В постановке диагноза решающее значение имеют аллергические диагностические пробы и серологические исследования.
Диагностика
Повторный контакт с антигеном в естественных условиях
На некоторое время полностью исключают контакт пациента с органической пылью, а затем возвращают его в среду, где происходит естественный контакт с ней. До и после контакта с антигеном проводятся физикальное обследование, рентгенография грудной клетки и спирометрия.
Провокационные пробы
Если не установлена четкая связь между появлением симптомов заболевания и контактом с органической пылью, проводят провокационные пробы. Для ингаляции используются экстракты антигенов пыли и жидкостей, с которыми пациент сталкивается в повседневной жизни и на работе. Эти же экстракты применяются для реакции иммунодиффузии.
Для провокационных проб используются только очищенные экстракты антигенов. Поскольку ингаляция антигена может вызвать резкое ухудшение состояния, требующее госпитализации и внутривенного введения кортикостероидов, такие пробы проводятся исключительно в специализированных лабораториях[7].
Патогномоничных рентгенологических признаков экзогенного аллергического альвеолита не существует. В острой стадии заболевания изменения на рентгенограмме могут отсутствовать или проявляться двусторонними очаговыми тенями в средних и нижних отделах легких, реже - двусторонними ограниченными затемнениями. Для подострой и хронической форм характерны множественные мелкоочаговые тени на фоне сетчатой перестройки легочного рисунка, возможно развитие сотового легкого. Увеличение прикорневых лимфоузлов, плевральный выпот или утолщение плевры не являются характерными для экзогенного аллергического альвеолита.
Компьютерная томография грудной клетки (КТ)
Для диагностики используют также КТ с высоким разрешением. Это более чувствительный метод, чем рентгенография, но изменения на КТ можно также назвать лишь характерными, а не патогномоничными. К ним относятся:
- диффузное повышение плотности ткани легких;
- утолщение стенки сегментарных бронхов;
- множественные мелкоочаговые тени на фоне сетчатой перестройки легочного рисунка;
- отсутствие увеличения прикорневых лимфоузлов.
Исследование функции внешнего дыхания
Для всех форм экзогенного аллергического альвеолита характерны рестриктивный тип дыхательных нарушений со снижением легочных объемов, диффузионной способности и податливости легких, а также гипоксемия после физической нагрузки, затем в покое. Скорость развития дыхательных нарушений зависит от формы заболевания.
Бронхоальвеолярный лаваж используют как дополнительный метод диагностики.
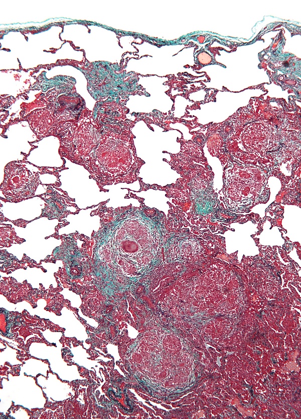
Биопсия легкого позволяет уточнить диагноз в неясных случаях. Сначала проводят трансбронхиальную биопсию. Если она недостаточно информативна и диагноз остается неясным, показана открытая биопсия легкого. Гистологическая картина экзогенного аллергического альвеолита весьма характерна, хотя не патогномонична. Если биопсия проведена при острой форме заболевания, типичны интерстициальная и альвеолярная инфильтрация из плазматических клеток, лимфоцитов, эозинофилов и нейтрофилов, иногда в сочетании с гранулемами. Васкулит при экзогенном аллергическом альвеолите не развивается[8].
Лечение
Основа лечения и профилактики обострений заключается в прекращении контакта с антигеном[9]. Для этого необходимо принять меры, направленные на элиминацию антигена из организма, от этого зависит эффективность последующей терапии.
В основе лечения лежит применение глюкокортикостероидов, как топически, так и местных. Прогноз на ранних стадиях болезни благоприятный (при условии прекращения контакта с аллергеном), при развившемся фиброзе — серьёзный.
При остром течении экзогенного аллергического альвеолита медикаментозного лечения можно не проводить, возможна спонтанная регрессия клинических и рентгенологических симптомов при условии полной элиминации причинного антигена в течение 1-2 недель[10].
Литература
- Рой Паттерсон, Лесли К. Греммер, Пол А. Гринберг «Аллергические заболевания, диагностика и лечение», Москва, «Гэотар Медицина», 2000, ISBN 5-9231-0011-8
- «Клиническая аллергология и иммунология» под редакцией Л. А. Горячкиной и К. П. Кашкина, Москва, «Миклош», 2009, ISBN 978-5-91746-002-4
- В. И. Пыцкий, Н. В. Адрианова, А. В. Артомасова «Аллергические заболевания», Москва, «Медицина», 1984 года
- Г. И. Дрынов «Терапия аллергических заболеваний», Москва, ЗАО «Объединённая редакция Боргес», 2004 год
- Н. М. Бережная, Л. П. Бобкова, И. А. Петровская, С. И. Ялкут «Аллергология», Киев, «Наукова думка», 1986 год