Зубной камень
Зубной камень — отвердевший зубной налёт, образующийся на поверхности зубов. Зубной камень достаточно тёмный, что объясняется тем, что в его состав входят остатки пищи, отмершие клетки, бактерии, соли фосфора, железа и кальция.
История
В своём фундаментальном произведении «Общая история дел Новой Испании» (1576) Бернардино де Саагун, опираясь на сведения ацтеков о лечении различных заболеваний, привёл объяснение причины возникновения зубного налета, а также методы борьбы с ним:
При болезни зубного камня на зубах и коренных зубах, необходимо, дабы у нас его не было, мыть зубы холодной водой, и чистить сукном, и измельчённым углем, и вымывать солью. Также следует мыть или чистить особым корнем под названием тлатлаукапатли с солью, и перемешать кошениль с чили [стручковый перец] и солью, приложить к зубам. С помощью этого лекарства выскрести зубы, вымыть рот, и с помощью ночестли, смешанным с чили и солью, затемняются зубы. Также нужно положить особое лекарство под названием тлильтиктламиауалли, хотя оно служит для затемнения самих зубов и окрашивает наши зубы в чёрный цвет, или для полоскания зубов мочой, или прикладывается к нашим зубам чичик куауитль, или промывания местной лебедой истауйатлем, или водой с особой корой дерева, называющегося куаутепустли, или приложить порошок этой коры к зубам. Неплохо бы снять затвердевший зубной камень каким-нибудь железом, а потом приложить немного смолотых квасцов и червеца с солью и чили[1].
Причины и механизмы возникновения
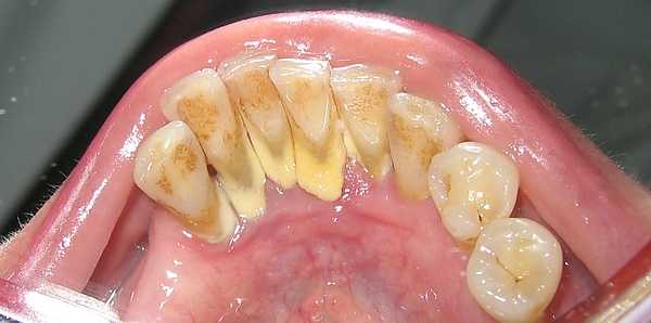
Началом образования зубного камня служит образование мягкого зубного налёта (зубная бляшка), состоящего из остатков пищи, бактерий и слизи, которая склеивает всё это в сплошную массу. В первую очередь зубной камень образуется в местах скопления мягкого зубного налёта, на тех участках зубов, где нет необходимого самоочищения при жевании пищи. После происходит пропитка отложения минеральными компонентами, что приводит к образованию твёрдой массы зубного камня. Нередко зубной камень появляется у детей-подростков, с возрастом его количество увеличивается, особенно при плохой личной гигиене полости рта.
Зубной камень откладывается на шейках зубов, может покрывать часть коронки и корня. Но он может образовываться и на зубных протезах, если за ними отсутствует должный уход.
Причины возникновения зубного камня:
- Человек нерегулярно чистит зубы или чистит их неправильно.
- В рационе человека преобладает мягкая пища.
- Жевание производится только одной стороной челюсти (левой или правой).
- Использование некачественных зубных щёток и паст.
- У человека нарушен обмен веществ, в первую очередь — солевой.
Причиной возникновения зубного камня может быть неправильное положение зубов, шероховатая поверхность вследствие установки пломб, ортодонтических и ортопедических конструкций. Отсутствие или недостаточная полировка зубов после профессиональной гигиены полости рта у стоматолога также приводит к быстрому повторному отложению зубного налёта и зубного камня.
Клинические проявления
Первыми симптомами зубного камня являются зуд и кровоточивость дёсен, неприятный запах изо рта. Зубной камень, прорастая в десневой карман, постепенно отслаивает десну и способствует углублению десневого кармана и развитию пародонтита. При отсутствии лечения зубы начинают шататься. Визуально зубной камень выглядит как тёмные пятна с внешней и внутренней стороны зуба около десны.
Классификация
Классификация производится по локализации — зубной камень делят на наддесневой и поддесневой (в зависимости от соотношения с краем десны).
Наддесневой зубной камень виден невооружённым глазом. Он имеет белый или желтоватый цвет, глинообразную или твёрдую консистенцию. При воздействии специальным инструментом легко отделяется от поверхности зуба.
Поддесневой зубной камень обычно твёрдый и плотный, он обнаруживается только стоматологом при помощи специальных инструментов (зонда). Имеет зеленовато-чёрный или тёмно-коричневый цвет, плотно прилегает к поверхности корня зуба.
Профилактика образования зубного камня
Для профилактики образования зубного камня следует регулярно и правильно чистить зубы. Врачи рекомендуют использовать хорошие зубные пасты и качественные щётки, зубные нити, и регулярно посещать стоматолога. Также можно использовать ополаскиватели для полости рта. Использовать зубочистки не рекомендуется.
Удаление зубного камня
Удаление зубного камня производится в кабинете стоматолога ультразвуковыми насадками. В среднем рекомендуется проводить процедуру профессиональной чистки зубов раз в полгода. Но в зависимости от уровня личной гигиены данный срок может как сокращаться (до 3 или даже 1 месяца), так и увеличиваться (до 1-3 лет).
См. также
Примечания
Литература
- Зубной камень / Тер-Асатуров Г. П. // Большая российская энциклопедия : [в 35 т.] / гл. ред. Ю. С. Осипов. — М. : Большая российская энциклопедия, 2004—2017.
- Боровский E. В., Персиц М. М. Зубной камень // Большая медицинская энциклопедия / гл. ред. Б. В. Петровский. — 3-е изд.. — М.: Советская энциклопедия, 1978. — Т. 8. — 528 с.


