Заболевания тазобедренного сустава
Заболева́ния тазобе́дренного суста́ва — врождённые и приобретённые патологические процессы, повреждающие связочный аппарат, хрящевую и костную ткань головки бедренной кости и вертлужной впадины. Болезни этой группы — одна из главных причин инвалидности в мире. Общие симптомы — боли в области тазобедренного сустава, усиливающиеся во время движения, хромота, нарушение походки и ограничение подвижности в суставе. В лечении применяют иммобилизацию, лечебную физкультуру, массаж, нестероидные противовоспалительные препараты, глюкокортикоиды, иммунодепрессанты, хирургические вмешательства.
Общие сведения
Дисплазия тазобедренного сустава
Врождённый или приобретённый порок развития, при котором головка бедренной кости не удерживается в вертлужной впадине. Дисплазия тазобедренного сустава проявляется вывихом бедра и составляет 70 до 80 % всех патологий опорно-двигательного аппарата у детей. Распространённость в мире 1—3 %. В 6 раз чаще встречается среди девочек. Может быть односторонней или двухсторонней, чаще встречается левосторонняя дисплазия. Распространённость в России 5—20 %, 80 % больных — девочки. Причины: нарушение эмбриогенез, тазовое предлежание плода, преждевременное излитие околоплодных вод, слабое шевеление плода во время беременности, тугое пеленание и отягощённый семейный анамнез (2—14 % случаев). Предполагают связь с мутациями генов WISP3, CX3CR1, UQCC, TGFB1, GDF5, PAPPA2, HOX, COL1A1, ASPN, генами семейства T-box[1].
Болезнь Легга — Кальве — Пертеса
Идиопатический остеонекроз головки бедра с деформацией и остеоартрозом. Наиболее распространённая дегенеративная болезнь, приобретённая в периоде роста. Распространённость 0,4—20,9:100 000. Часто встречается среди детей в возрасте 2—12 лет. Мальчики страдают в 3—4 раза чаще, в 10—15 % случаев поражение двухстороннее. Среди причин обсуждают мутации гена COL2A1, хроническую микротравматизацию сустава, дисфункцию эндотелия сосудов тазобедренного сустава, скрытые коагулопатии, гормональные расстройства липолиза и преобладание процессов липогенеза на фоне повышенной концентрации лептина. Проявляется хромотой, болью после нагрузки, укорочением конечности[2].
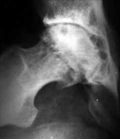
Остеонекроз головки бедренной кости
Разрушение головки бедренной кости на фоне ишемии. Причины: травма, тромбофилия, длительный приём глюкокортикоидов, серповидноклеточная анемия, системная красная волчанка, гиперлипидемия, хроническая почечная недостаточность, сахарный диабет, алкоголизм, аутоиммунные заболевания и др. На долю остеонекроза приходится 1,5—4,7 % случаев всей ортопедической патологии, 5—18 % тотальных эндопротезирований тазобедренного сустава. Чаще развивается у мужчин в возрасте 30—50 лет. У 75—80 % пациентов в течение 3—4 лет развивается коллапс головки бедренной кости, требующий тотального эндопротезирования. Пациенты жалуются на боли в паху, ягодицах или коленных суставах. При осмотре выявляется болезненность и ограничение движения при повороте бедра внутрь[2][3].
Юношеский эпифизеолиз головки бедренной кости
Частичное или полное отделение эпифиза от остальной части кости. Одна из самых частых болезней тазобедренного сустава у детей в возрасте 9—15 лет. Причины: увеличение ретроверсии тазобедренного сустава (скручивание назад по отношению к колену) и скошенности эпифизарной пластинки, стресс-синдром, ожирение, гипотиреоз, гипогонадизм, гипопитуитаризм, хронические болезни почек, лучевая терапия области таза. Юношеский эпифизеолиз больше распространён в северных странах и развивается в холодное время года. Распространённость 4,8:100 000, мальчики болеют в 1,7 раза чаще, пик заболеваемости приходится на 12—13 лет. На ранних стадиях болезнь протекает бессимптомно. Позже нарушается форма сустава, уменьшается амплитуда движений, появляются боль, хромота, утиная походка[2].
Разрыв суставной губы
Повреждение хряща вертлужной впадины в результате хронической травматизации, резких движений в суставе или ударных нагрузок. Чаще встречается у молодых спортсменов, испытывающих длительные нагрузки с сильным сгибанием или вращением бедра: футбол, бег с препятствиями, борьба, фигурное катание, прыжки на батуте, спортивные танцы. Острые разрывы проявляются резкой болью во время приземления после прыжка или резкого движения. Некоторые пациенты отмечают хруст, ощущение разрыва. Дегенеративные повреждения проявляются постепенным нарастанием симптомов: после тренировок и физических нагрузок, во время отдыха или в межсезонье. Боли часто сохраняются и при обычной ходьбе, развивается хромота.
Хондроматоз
Доброкачественная опухоль синовиального слоя капсулы сустава. Опухоль растёт в виде множественных узлов, которые позже отделяются в полость сустава и кальцинируются. Среди больных преобладают мужчины молодого и среднего возраста. Причины неизвестны. Хондроматоз проявляется периодическими блокадами сустава свободными узлами и скоплением выпота. Сильных болей не бывает. Со временем развивается коксартроз.
Фемороацетабулярный импиджмент
Патомеханический процесс, приводящий к повреждению хряща тазобедренного сустава и коксартрозу у молодых людей. Развивается вследствие патологий шейки бедра, суставной губы, вертлужной впадины. Выделяют cam-тип (нарушение формы проксимального отдела бедренной кости с потерей сферичности) и pincer-тип (увеличение площади покрытия головки бедра). Pincer-тип чаще встречается у женщин, сam-тип — у мужчин. Однако у 90 % больных оба типа сочетаются[4].
Коксартроз
Группа заболеваний различной этиологии, в основе которых лежит поражение всех компонентов сустава: хряща, субхондральной кости, синовиальной оболочки, связок, капсулы и околосуставных мышц. Первичный коксартроз — возникает без явных внешних причин; вторичный — как последствие фемороацетабулярного импиджмента, дисплазии тазобедренного сустава, травм и других болезней тазобедренного сустава. В развитии коксартроза сочетается воздействие метаболических расстройств, наследственной предрасположенности, возрастных изменений, аномалий сосудов, избыточного веса, неблагоприятных условий окружающей среды и труда. Заболеваемость посттравматическим коксартрозом среди лиц старше 35 лет достигает 10,8 %, среди лиц старше 85 лет — 35,4 %. Симптомы: боль, усиливающаяся при движениях или нагрузке на сустав, хромота, необходимость в опоре на трость, затруднения при вставании, подъёме или спуске по лестнице. По мере прогрессирования развивается контрактура тазобедренного сустава[5].
Артрит
Инфекционное, аутоиммунное или посттравматическое воспаление сустава, приводящее к необратимому разрушению сустава и утрате функции конечности. Большинство инфекционных артритов вызваны проникновением бактерий в полость сустава. Грибковые артриты составляют 3,2 %, вирусные — 1 % случаев. Факторы риска: возраст старше 80 лет, сахарный диабет, цирроз печени, заболевания почек, остеомиелит, инфекционные заболевания кожи, серповидноклеточная анемия, ВИЧ-инфекция, онкологические заболевания, наркомания[6].
Ревматоидный артрит тазобедренных суставов — наиболее тяжёлое проявление суставного синдрома, которое встречается у 20—30 % больных. При длительном течении сморщиваются капсула сустава, связки и сухожилия, разрушаются суставные поверхности, развиваются деформации, подвывихи и контрактуры. Каждый одиннадцатый больной становится инвалидом, в то время как при поражениях других суставов — только каждый сотый[7].
Бурсит
Воспаление суставной сумки тазобедренного сустава. Чаще воспаляется подвздошно-гребешковая сумка, находящаяся глубоко между мышцами и суставной капсулой, а также поверхностная или глубокая синовиальные сумки в области большого вертела бедренной кости. Бурситы тазобедренных суставов отличаются тяжёлым течением, проявляются болями, усиливающимися при ходьбе, особенно в начале движения, болезненностью при пальпации в области большого вертела. Активные движения, особенно поворот бедра наружу и отведение, причиняют острую боль.
Диагностика
Общие симптомы: боли в области тазобедренного сустава, усиливающиеся во время движения, хромота, нарушение походки и ограничение подвижности в суставе. В ходе осмотра выявляют боли при отведении, сгибании или повороте бедра внутрь; иногда — при разгибании бедра и в положении глубокого приседа; при пальпации — болезненность в проекции сустава[2][4].
В зависимости от предполагаемой причины или факторов риска назначают исследование концентрации биохимических или ревматологических маркеров. Однако клинический анализ крови и определение концентрации C-реактивного белка в сыворотке крови обычно назначают всем больным[5].
- Рентгенография, компьютерная или магнитно-резонансная томография позволяют выявить структурные нарушения сустава.
- Магнитно-резонансная артрография — полезна для диагностики разрывов связок и повреждениях хряща[8].
- Диагностическую артроскопию используют, когда лучевые методы не помогли найти причину болей. При необходимости процедуру можно расширить до терапевтической артроскопии[9].
- Гистологическое исследование биоптата выполняют при подозрении на опухоли.
Лечение
- Пациентам рекомендуют снизить физические нагрузки на сустав: избегать бега, длительной ходьбы, прыжков, подъёма тяжестей, однообразной рабочей позы и т. п.; носить обувь с хорошо амортизирующей подошвой; использовать трость или костыль для опоры.
- Лечебная физкультура помогает уменьшить выраженность боли и сохранить функциональную активность суставов.
- Для контроля боли рекомендуют приём нестероидных противовоспалительных препаратов, а при неэффективности — антидепрессантов, противосудорожных, наркотических анальгетиков.
- При ревматоидном артрите назначают иммунодепрессанты и глюкокортикоиды, при инфекционном — антибиотики[5][7].
- При дисплазии тазобедренного сустава используют стремена Павлика и отводящие шины для вправления головки бедренной кости, проводят курсы укрепляющего массажа.
- Для лечения болезни Легга — Кальве — Пертеса используют бандаж или шину, которые носят в 1—2 года[2].
Для лечения остеонекроза используют полузакрытую чрескожную core-декомпрессию метаэпифиза головки бедренной кости. Декомпрессию дополняют применением аутологичной обогащённой тромбоцитами плазмы крови, мезенхимальных стволовых клеток, факторов роста или танталовых стержней. В тяжёлых случаях прибегают к тотальному эндопротезированию тазобедренного сустава[2]. При разрывах суставной губы накладывают артроскопический шов[8]. Терапевтическую артроскопию применяют и для лечения хондроматоза — удаляют хондромные тельца. К радикальным методам лечения хондроматоза относят иссечение изменённых участков синовиальной оболочки и тотальную синовэктомию. При коксартрозе выполняют тройную остеотомию таза, резекцию бедренной кости или эндопротезирование тазобедренного сустава[5].
Примечания
Литература
- Гусев Д. С., Дианов С. В. Шов суставной губы тазобедренного сустава у пациентов-атлетов спорта высоких достижений // VII Международный конгресс ассоциации ревмоортопедов : тезисы докладов. Москва, 15–16 сентября 2023 года
- Жиляков А. В. Случай диагностики и лечения хондроматоза тазобедренного сустава // Уральский медицинский журнал. — 2007. — Т. 38, № 10. — С. 85—86.
- Ахтямова Н. Е. Современные подходы к лечению бурсита (рекомендации хирургу амбулаторного звена) // Русский медицинский журнал. — 2016. — № 3. — С. 193–196.
