Эпифизеолиз
Эпифизеолиз (новолат. epiphyseolysis; эпифиз + др.-греч. λύσις — распад, разрушение) — это травматическое повреждение хрящевой ткани в области соединения метафиза трубчатой кости с эпифизом. Эта зона подвержена травмам преимущественно до окончания периода роста конечностей в длину. У взрослых хрящи в этой области полностью заменены твердой тканью. В медицине болезнь еще называют переломом Салтера — Харриса (Salter — Harris) по двум авторам, описавшим виды патологии. Разрушение хрящевой пластины приводит к асимметрии конечностей, деформации скелета, а иногда и к полному прекращению роста. Источник: https://xnog.ru/meditsina/sustavy/ehpifizeoliz/ Составляет около 15% от общего количества переломов у детей. Почти в половине случаев возникает в области лучезапястного и локтевого суставов. Мальчики страдают вдвое чаще девочек.
Эпифизеолиз хорошо срастается, но поражение эпифизарной пластинки может повлечь за собой дальнейшее нарушение роста кости.
Самыми распространенными признаны эпифизеолизы и остеоэпифизеолизы. Они классифицируются как хондропатии и имеют код по МКБ 10 от М91 до М94 в зависимости от локализации поражения.
Заболевания встречаются только у детей и подростков до завершения процесса окостенения.
При остеоэпифизеолизе линия перелома переходит на диафиз.
Эпифизеолизы головок трубчатых костей наблюдаются у пациентов с эндокринными нарушениями, включающими недостаточность гормона роста.
Что важно знать
| Эпифизеолиз | |
|---|---|
| eMedicine | radio/613 |
| MeSH | D000072042 |
Типы
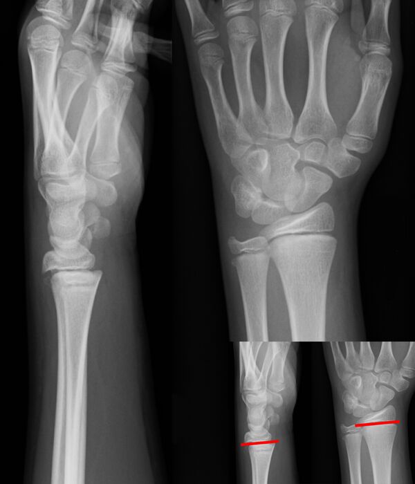
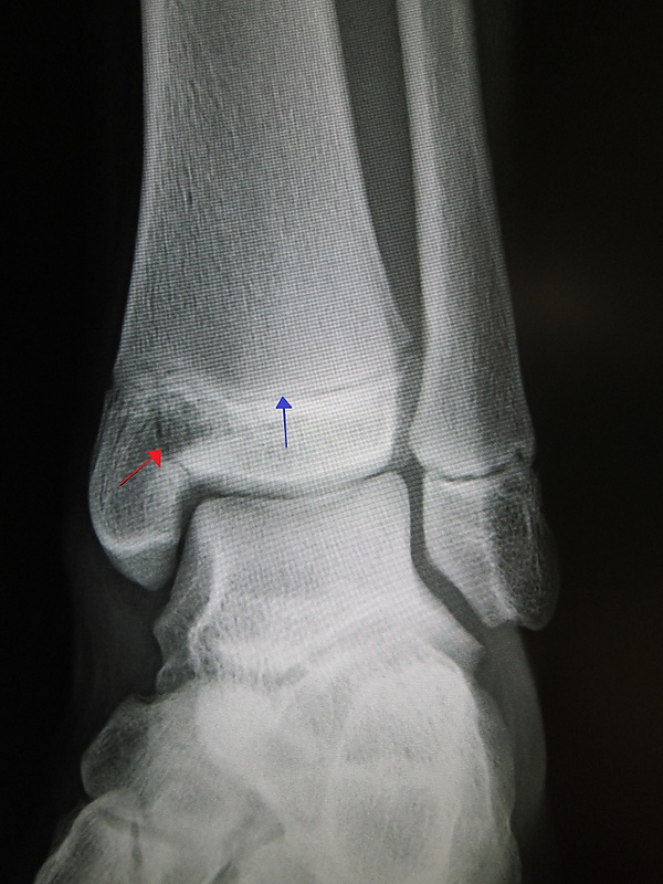
Существуют девять типов перелома, 5 из которых описаны Robert B Salter и W Robert Harris в 1963 году[1], остальные, более редкие, описаны позже[2]:
- I тип — поперечный перелом через ростковую зону[3] : 6 % случаев
- II тип — Линия перелома проходит через ростковую зону и метафиз, не затрагивая эпифиз[4]: 75 % случаев
- III тип — Линия перелома проходит через ростковую зону и эпифиз, не затрагивая метафиз[5]: 8 % случаев
- IV тип — Линия перелома проходит через три элемента кости: ростковую зону, метафиз и эпифиз[6]: 10 % случаев
- V тип — Компрессионный перелом ростковой зоны, выглядящий на рентгенограмме в виде уменьшения её высоты (расстояния между эпифизом и диафизом)[7]: 1 % случаев
- VI тип — Повреждение периферической порции ростковой зоны, приводящей к формированию костного мостика и ангулярной деформации конечности (введён в 1969 году Mercer Rang)[8]
- VII тип — Изолированное повреждение ростковой зоны (типы VII—IX введены в 1982 году JA Ogden)[9]
- VIII тип — Изолированное повреждение ростковой зоны с возможным нарушением энхондрального костеобразования
- IX тип — Повреждение периоста с возможным нарушением эндесмального костеобразования
Причины В группу риска входят в основном мальчики. Процесс закрытия зоны роста у них происходит дольше, чем у девочек. Они более активны в быту и на отдыхе. Также переломам головки эпифиза подвержены люди, увлекающиеся следующими видами спорта: футбол; гимнастика: волейбол; прыжки в длину и высоту. Кроме физических нагрузок и травм, остеоэпифизеолиз могут спровоцировать патологии эндокринной системы и особенности строения скелета. Слишком худые и высокие дети подвержены перелому эпифиза чаще, чем имеющие нормостенический тип телосложения. У них повышена нагрузка на хрящевые пластины за счет дефицита мышечной массы. Источник: https://xnog.ru/meditsina/sustavy/ehpifizeoliz/
Изображения эпифизеолиза
Рентгеновские снимки переломов Салтера-Харриса с вставками где показаны линии перелома


